术后6个月随访|纯超声引导下植入全降解封堵器治疗PDA临床案例
本例报道一例中国医学科学院阜外医院结构性心脏病团队在单纯超声引导下成功实施PDA封堵的病例。患儿9岁,诊断为漏斗型PDA。术前超声精确测量显示肺动脉侧内径4mm,主动脉侧内径7mm。由于患者年龄较小,经家属综合考虑选择全降解封堵器。术中超声实时监测封堵器释放过程,显示其与PDA贴合紧密,术后即刻评估无残余分流。术后3个月及6个月随访结果一致证实封堵器位置稳定、形态良好,无残余分流,进一步验证了全降解封堵器在儿童PDA治疗中的安全性及有效性。
患者信息
患者:女,9岁。
超声描述:左心房室内径增大。室间隔及左室游离壁厚度正常,运动幅度正常。房、室间隔连续完整。各瓣膜形态结构及启闭运动未见异常。降主动脉峡部与左肺动脉间探及导管,肺动脉侧内径4mm,主动脉侧内径约7mm。大动脉关系及发育正常,主动脉弓降部未见号常。心包腔未见异常。
多普勒检查:动脉水平探及左向右连续性分流,峰值速度4.3m/s。二尖瓣微量反流。
超声诊断:先天性心脏病,动脉导管未闭,动脉水平左向右分流。
封堵策略
封堵策略:肺动脉侧内径4mm,主动脉侧内径约7mm,拟选择尺寸为腰高5mm、腰部直径9mm的全降解封堵器进行封堵。
手术过程
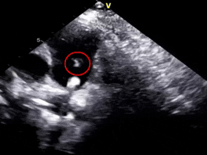
术前超声再次确认

动脉水平可见明显彩色血流
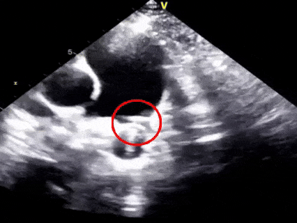
一“贴”,左盘贴壁


超声下可见左盘面展开
后撤整体系统,使左盘面贴靠肺动脉一侧
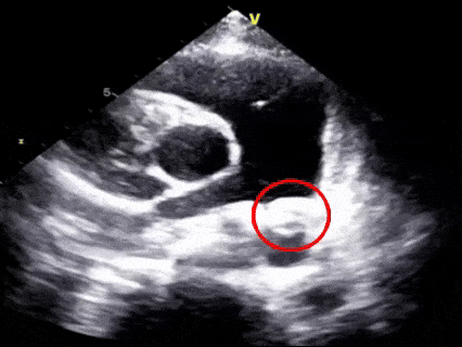
二“扣”,双盘扣合

超声下可见右盘面展开后盘面骑跨在肺动脉与主动脉两侧
三“锁”,成型锁定
多切面确认封堵器形态良好,一侧在肺动脉一侧在主动脉


胸骨旁主动脉短轴切面
胸骨上窝主动脉弓长轴切面
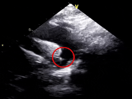
锁定后超声评估


胸骨旁主动脉短轴切面示封堵器稳固贴合,无残余分流

牵拉试验封堵器整体稳定,盘面无形变,判断已成功锁定
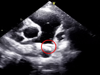
四“剪”五“撤”,释放封堵器
四“剪”、五“撤”:剪断成型线并撤出钢缆及鞘管



多切面确认封堵器形态良好,无残余分流,封堵成功
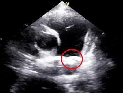
术后3个月随访


可见封堵器形态良好,无残余分流
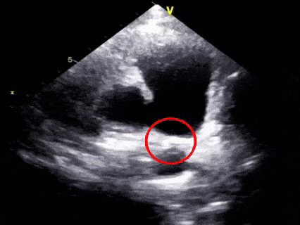
术后6个月随访


无残余分流,封堵效果良好
病例小结
动脉导管未闭(PDA)是常见的先天性心脏病,若未能及时闭合,可导致严重的远期并发症。随着介入技术的发展,经导管介入封堵已成为主流治疗方式,其中单纯超声引导技术因其无辐射、操作直观的优势,尤其适用于儿童患者。根据《单纯超声心动图引导经皮介入技术中国专家共识》,单纯超声引导下,PDA 最窄处直径≤ 4.5 mm, 一般选用经股动脉途径;PDA 最窄处直径 >4.5 mm, 一般选用经股静脉途径进行介入封堵。
本病例为一例9岁患儿,超声心动图检查显示为典型的漏斗型PDA,肺动脉侧内径4mm,主动脉侧内径7mm;鉴于患儿处于重要生长发育阶段,术中选择全降解封堵器联合纯超声引导的治疗方案,选用经股动脉途径进行介入封堵,既通过可降解材料避免金属永久存留,又完全规避X线辐射风险。本例手术经股动脉路径植入全降解封堵器(腰高5mm、腰部直径9mm),严格遵循“一贴二扣三锁四剪五撤”的5S规范化操作,超声影像清晰地观察到封堵器的释放过程及其与PDA的贴合情况,术后即刻评估显示封堵效果理想,无任何残余分流。术后3个月及6个月随访均无残余分流,封堵效果良好。
该病例的成功实施证实了全降解封堵器在儿童PDA治疗中的安全性和有效性,为全降解封堵器治疗儿童PDA提供了宝贵的循证医学依据。全降解封堵器有4种腰高、10种腰部直径,共40种型号可供选择,能满足PDA漏斗型等各类复杂分型封堵的临床需求。中国医学科学院阜外医院团队首创的无放射线经皮介入技术与可降解封堵器,双剑合璧,开启了“无辐射、无残留”的绿色治疗新时代。相信随着更多临床应用的开展,这一技术必将惠及更多先心病患儿。
感谢中国医学科学院阜外医院结构性心脏病团队的病例分享
-END-

扫码观看可降解学苑精彩内容
专业的心血管医生学术交流平台


版权及免责声明:
本网站所发表内容知识产权归属医谱平台、主办方以及原作者等相关权利人,未经许可,禁止进行复制、传播、展示、镜像、转载、摘编等。经授权使用,须注明来源,否则将追究其法律责任。有关作品内容、版权和其他问题请与本网联系
send a message
暂无留言
输入您的留言参与专家互动