术后半年随访 | 可降解房缺封堵器纯超声引导下治疗前缘短小房间隔缺损病例分享
本病例报道一例由中国医学科学院阜外医院深圳医院结构心团队完成的纯超声引导下房间隔缺损封堵术。该手术全程在无放射线暴露、未使用铅衣防护的条件下,通过超声实时引导实现了可视化操作,成功完成封堵。
患者房间隔缺损大小6.2×4.5mm,主动脉侧前缘短小。经全面评估,深阜结构心团队决定采用可降解房缺封堵器进行治疗。术中通过精细化操作,封堵器精准展开并牢固锁定,术后即刻超声检查未见残余分流。术后1周、3个月及6个月随访结果均证实封堵器位置稳定、形态完整,无残余分流,进一步验证了可降解封堵器在房间隔缺损治疗中的安全性及有效性。
患者信息
基础信息:女性,36岁。
超声报告:房间隔中部连续性中断约6mm,主动脉侧较秃,对侧14mm,距上腔14mm,距下腔17mm,距二尖瓣14mm,距房顶14mm,房间隔总长35mm;室间隔连续完整,未见动脉导管,弓降部通畅;三尖瓣环扩大,各瓣叶形态活动尚可; 右心饱满,左心正常,室壁厚度正常;多普勒检査:房水平左向右双期分流,流速1m/s,压差4mmHg,三尖瓣轻度反流,估测肺动脉收缩压26mmHg,左房内可见四支肺静脉汇入; 心功能:室间隔居中,未见节段性异常。
手术策略
选择BDASD-I 14可降解封堵器、12F可降解封堵器介入输送系统进行封堵,手术全程通过纯超声引导进行。
手术过程
MPA2导管配合导丝过到左心房

送入输送系统

送入输送系统至左心房后,将扩张器和导丝一同撤出
可见鞘管呈“双轨征”
左盘展开并贴壁


左盘面展开并牵拉成型线,使左盘面成型
将封堵器和输送系统整体后撤,
使左盘面贴合房间隔
右盘展开

前抵钢缆,后撤鞘管展开右盘面
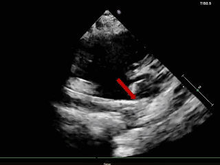
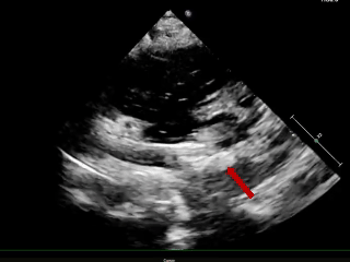
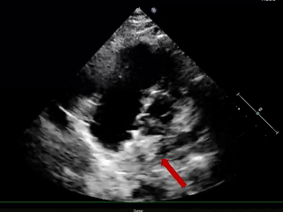
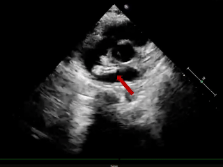
超声多切面确认
封堵器骑跨房间隔两侧


五腔心切面
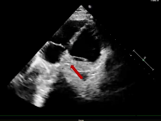
剑下双房心切面
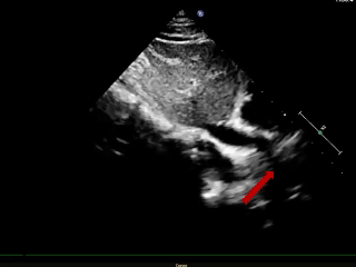
成型锁定


四腔心切面
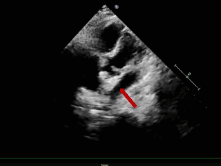
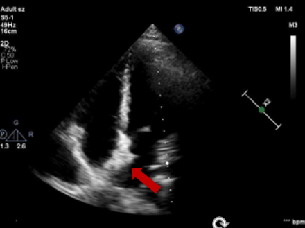
主动脉短轴切面
封堵器呈“Y”字形牢牢抱住主动脉,夹持缺损
封堵器释放

封堵器释放后形态良好
未见残余分流,封堵成功
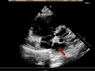
术后随访
术后1周随访
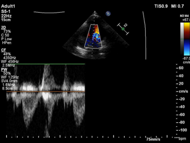
超声报告:(1)房间隔封堵器位置正常,各瓣叶形态活动未见异常,右心比例稍大,左房室腔不大,心包腔内未见液性暗区; (2)多普勒检查:房水平未见残余分流;心功能:室壁运动协调,未见节段性异常;(3)先天性心脏病房间隔缺损封堵术后未见残余分流。


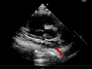
术后3个月随访
超声报告:(1)房间隔封堵器位置正常,各瓣叶形态活动未见异常,右心比例稍大,左房室腔不大,心包腔内未见液性暗区; (2)多普勒检查:房水平未见残余分流;心功能:室壁运动协调,未见节段性异常;(3)先天性心脏病房间隔缺损封堵术后未见残余分流。


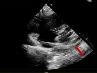
术后6个月随访
超声报告:(1)房间隔封堵器位置正常,伞盘可见部分降解,各瓣叶形态活动未见异常,右心比例稍大,左房室腔不大,心包腔内未见液性暗区; (2)多普勒检查:房水平未见残余分流;心功能:室壁运动协调,未见节段性异常;(3)先天性心脏病房间隔缺损封堵术后(可降解)未见残余分流。


病例小结
-
房间隔缺损是一种先天性心脏结构异常,也是常见的成人先天性心脏病之一。若缺损较小,患者早期可能无明显症状;进入成年期后,缺损大小多数维持稳定,但较大的缺损可导致心慌、胸闷、胸痛及气喘等临床表现。本例患者自去年起出现间断性心慌,偶伴心跳加重感,经心脏超声检查确诊为房间隔缺损,缺损大小为6.2×4.5mm,缺损>5mm,且也有临床症状,故综合考虑建议手术治疗。
-
传统的金属封堵器因其不可降解性,植入后会终身留存于患者体内,可能引发组织压迫、磨蚀、血栓等长期并发症风险。然而生物可降解房间隔缺损封堵器由生物高分子材料构成,植入后一年左右即可降解为水和二氧化碳,既避免了金属异物的长期影响,又能促进心脏的自然修复。因此术者经综合考虑后,选择了BDASD-I 14封堵器,并在纯超声引导下完成手术,不仅减少了患者和医生的辐射暴露,也进一步提高了手术的精准度和安全性。术中封堵器精准展开并锁定,术后即刻超声检查未见残余分流;术后1周心超复查均可见封堵器形态位置良好,稳定夹持缺损;术后3个月随访超声下可见封堵器位置结构正常,无残余分流;术后6个月随访可见封堵器位置正常,伞盘可见部分降解,无残余分流,封堵效果良好。
感谢中国医学科学院阜外医院深圳医院结构心团队的病例分享
-END-

扫码观看可降解学苑精彩内容
-END-
专业的心血管医生学术交流平台


版权及免责声明:
本网站所发表内容知识产权归属医谱平台、主办方以及原作者等相关权利人,未经许可,禁止进行复制、传播、展示、镜像、转载、摘编等。经授权使用,须注明来源,否则将追究其法律责任。有关作品内容、版权和其他问题请与本网联系
send a message
暂无留言
输入您的留言参与专家互动