荆志成教授:可降解ASD封堵器成功封堵房间隔缺损伴房间隔膨出瘤
近日,广东省人民医院心血管内科主任荆志成教授成功应用MemoSorb可降解ASD封堵器治疗一例合并房间隔膨出瘤的大房缺患者。该患者房间隔缺损较大,四腔心切面测量缺损合并ASA为24.7mm,且膨出瘤局部组织薄弱、边缘偏软,使手术操作更为复杂,并对封堵器稳定性提出了更高要求。
荆志成教授团队基于对病例特征的深入评估,凭借对可降解封堵器降落伞成型锁定设计特点的精准把握与深厚的技术沉淀,术中实现稳固封堵并有效夹闭膨出瘤,术后超声确认封堵器位置良好、无残余分流,手术效果满意。此次手术的成功,为可降解封堵器在复杂ASD合并ASA病例中的临床应用积累了宝贵经验。
患者信息
患者信息:女,36岁。
临床诊断:房间隔缺损(继发孔型)
超声描述:
-
右房右室增大,室壁运动尚好;
-
房间隔中部连续中断,四腔心切面断口大小10.8mm,短轴切面断口大小11mm,彩色多普勒显示左向右分流,分流速度1.14m/s,缺损距右肺静脉开口17mm,距二尖瓣根部12.5mm,距下腔静脉17.5mm,距冠状窦9.3mm,房间隔伸展径44mm;
-
体静脉回流入右房,肺静脉回流入左房;
-
室间隔完整,未见PDA;降主动脉流速0.96m/s;
-
各瓣膜形态正常;未见心包积液;
-
下腔静脉内径17mm,随呼吸塌陷率小于50%;
-
CDFI:三尖瓣反流,彩束面积4.9cm2,估测肺动脉收缩压29mmHg。
超声提示
先天性心脏病
房间隔缺损(继发孔型)
中度三尖瓣反流

临床策略
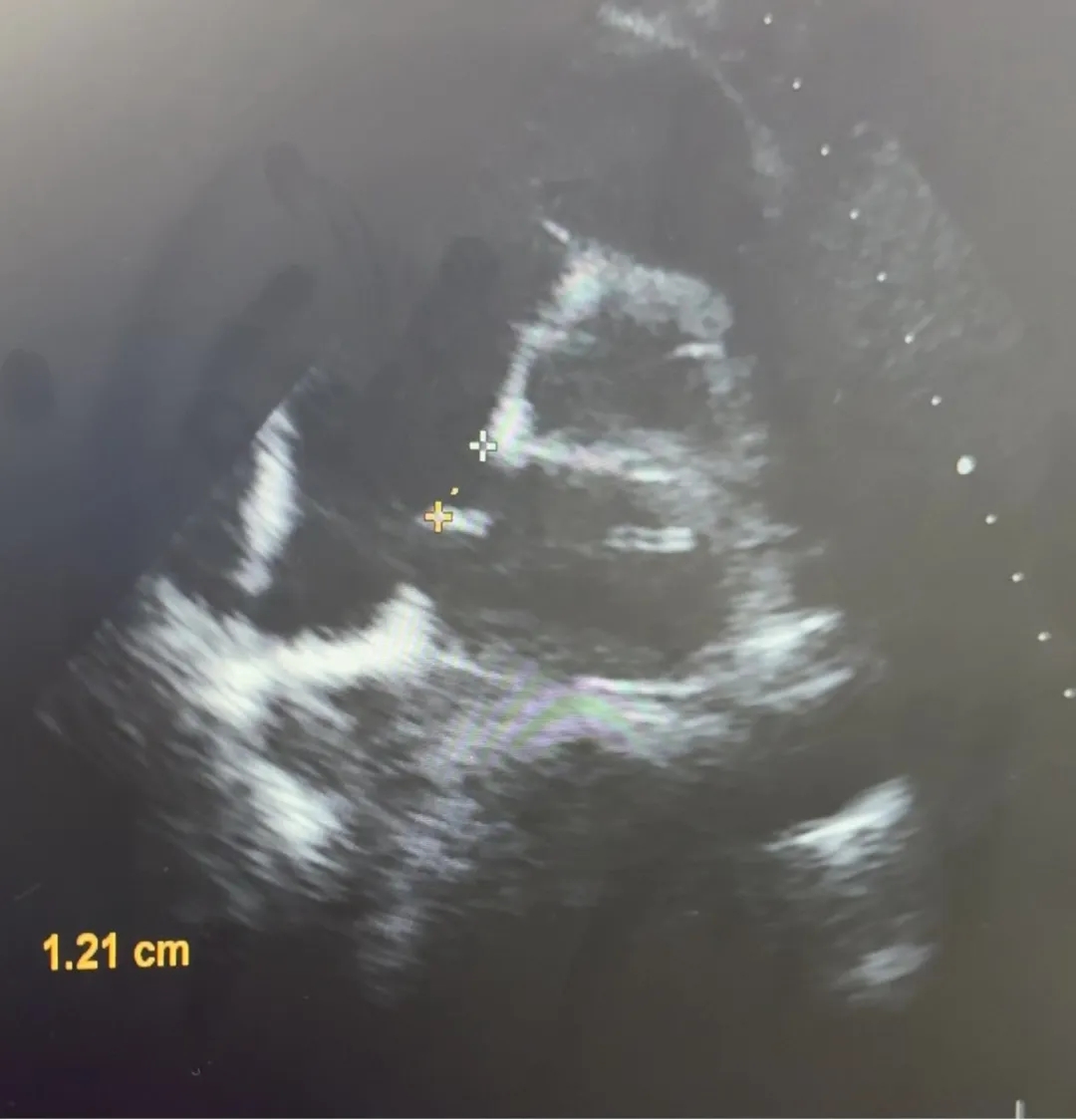
本例患者术前心脏彩超提示,四腔心切面断口大小10.8mm,短轴切面断口大小11mm,术中复测,主动脉短轴切面缺损12.1mm,缺损旁合并房间隔膨出瘤,其房间隔膨出瘤位置较薄弱、边缘偏软,主动脉短轴切面测量其缺损合并ASA为23.0mm,四腔心切面测量其缺损合并ASA为24.7mm,综合考虑使用BDASD-I-30规格生物可降解ASD封堵器,16F可降解输送系统进行封堵。
手术过程
术中超声复测


主动脉短轴切面
缺损12.1mm
主动脉短轴切面
合并房间隔膨出瘤
缺损+房间隔膨出瘤23.0mm

四腔心切面
合并房间隔膨出瘤
缺损+房间隔膨出瘤24.7mm
左盘面展开


前推钢缆,后撤鞘管,使左盘面3个Mark点及腰部显影点推送至鞘管外,并牵拉成型线
将封堵器和输送系统整体后撤,使左盘面贴合房间隔
右盘面展开

后撤鞘管,前抵钢缆释放右盘面
多切面确定封堵器大小及位置是否合适


成型锁定

鞘管抵住封堵器后,前顶钢缆并固定,牵拉成型线锁定
牵拉试验


牵拉试验时,5个Mark点一起摆动,相对位置未发生明显变化,表明已成功锁定
四腔心切面下
封堵器左右盘面骑跨房间隔两侧形态位置良好
释放封堵器

释放封堵器前,再次牵拉成型线锁定
撤出成型线后,前抵鞘管,逆时针旋转钢缆,5个Mark点相对位置不变,封堵器释放成功
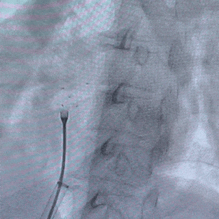
释放后影像


最后封堵器盘面稳固扣合,形态扁平且位置良好,封堵成功
病例小结
本例患者术前心脏彩超提示,四腔心切面断口大小10.8mm,短轴切面断口大小11mm,术中复测,主动脉短轴切面缺损12.1mm,缺损旁合并房间隔膨出瘤,主动脉短轴切面测量其缺损合并ASA为23.0mm,四腔心切面测量其缺损合并ASA为24.7mm。当房间隔缺损(ASD)与房间隔膨出瘤(ASA)同时存在时,会显著增加介入封堵手术的难度和复杂性。ASA的瘤壁组织通常菲薄、纤维化,缺乏足够的张力和韧性,植入封堵器后,其左右两侧的盘面需要依靠房间隔组织来夹持固定。薄弱的瘤壁可能无法提供足够的支撑力,因此需要选择更大尺寸的封堵器来“兜住”整个瘤体或覆盖所有缺损,同时也需要封堵器有足够的支撑性。可降解房间隔缺损封堵器采用专利降落伞成型锁定设计,锁定后相比金属封堵器有效提高1.8倍封堵器夹持力,可夹闭膨出瘤,封堵器骑跨房间隔稳定牢固。因此,综合考虑使用BDASD-I-30规格生物可降解ASD封堵器,16F可降解输送系统进行封堵。
手术过程采用DSA+经胸超声引导,封堵后,超声下显示盘面稳固扣合,形态扁平且位置良好,夹闭膨出瘤,未见残余分流,未见心包积液,封堵前后均无不良反应,封堵成功。
感谢广东省人民医院荆志成教授团队的病例分享
专家简介
广东省人民医院

-END-

扫码观看可降解学苑精彩内容
专业的心血管医生学术交流平台


版权及免责声明:
本网站所发表内容知识产权归属医谱平台、主办方以及原作者等相关权利人,未经许可,禁止进行复制、传播、展示、镜像、转载、摘编等。经授权使用,须注明来源,否则将追究其法律责任。有关作品内容、版权和其他问题请与本网联系

send a message
暂无留言
输入您的留言参与专家互动