名院大查房丨“隔月水”先后引发消化道症状及反复室速:多番追查锁定ARVC,诊治过程揭秘!
第292期名院大查房内蒙古自治区人民医院教学团队分享了一例因饮用“隔月水”后,先后出现消化道症状和反复室速,最终明确诊断为致心律失常性心肌病(ACM)累及右心室(ARVC)的病例。医谱学术特此整理,以供临床参阅。

患者信息
患者31岁男性,主诉发作性恶心呕吐5天,伴心悸、呼吸困难16小时。
既往史:否认高血压病史,否认糖尿病病史;否认肝炎、结核病史;否认食物及药物过敏史,否认手术及外伤病史;
个人史:否认吸烟史,偶有饮酒史,平素无特殊用药史,无吸毒史,平时患者活动耐力正常。
家族史:父母健在、姐姐体健,直系血亲无晕厥、猝死病史。
病史回顾
病情进展
2025.5.12晚22点左右,患者饮用隔月水,半小时后出现恶心、呕吐,呕吐物为胃内容物,自述伴有血丝,呕吐约4~5次,伴有腹泻,稀便,未服用药物。
2025.5.13晚19点左右,患者因仍感恶心、呕吐不适,故就诊于内蒙古自治区人民医院。当时急查血常规:WBC:13.62*109/L↑,NE%85.70%↑,LY%:7.40%↓,CRP:8.75mg/L↑。生化:AST:245.42U/L↓,ALT:184.93U/L↓,钾4.57mmol/L,钠137.80mmol/L。急诊治疗对患者进行补液、保肝、抗炎治疗。心电图显示窦性心律,成对室早、前壁导联T波倒置,Ⅱ、Ⅱ、AVF导联T波低平。
2025.5.17下午14点左右,患者因间断恶心、呕吐5日,伴心悸、呼吸困难16小时再次就诊于内蒙古自治区人民医院急诊科。当时查验血常规显示,白细胞、中性粒细胞比值升高、淋巴细胞比值降低。CRP较前明显升高。肝功能AST、AST较前升高;电解质、心肌酶结果正常;NT-proBNP 9400.00ng/L↑、D-二聚体0.52μg/ml↑。急诊采取抑酸、抗炎、保肝及补液治疗。

2025年5.17下午17点左右病情再次出现变化。患者出现室速,210次/分,血压101/67mmHg较前下降,血氧饱和度98%,呼吸频率22次/分;急诊对患者进行反复电复律3次,地西泮镇静治疗。随后转入CCU。

转诊CCU
CCU查体:T36.3℃,P205次/分,R 25次/分,BP 94/69mmlg。BMI:21kg/m2,神志清醒,气短明显,呼吸稍促,对答切题,口齿清晰,查体合作。双肺呼吸音清,未闻及明显干、湿性啰音,心界叩诊无扩大,心率205次/分,节律齐,未闻及病理性杂音,腹部平坦,无腹部压痛,未触及肝脏,未触及脾脏,肝颈静脉回流征(-),双下肢无凹陷性水肿。
辅助检查:心电图依旧为室速,血常规较前无明显变化,肝酶较前翻倍升高,肌钙蛋白I轻度升高,CK正常,CK-MB升高,NT-proBNP 7810.00ng/L、D-二聚体8.31ug/ml↑。血气PH:7.442;PCO2:24.9mmHg↓;PO2:92.3mmHg;SO2:97.7%;HCO3:17.15。

CCU病房治疗时,考虑患者年纪较轻且出现频繁室速,给予抗心律失常药物胺碘酮、艾司洛尔、利多卡因泵入、静推维拉帕米,效果不佳,遂进行反复电复律;并进行地西泮镇静、谷胱甘肽及多烯磷脂保肝、抗心衰治疗。患者经过6次电复律后于5月17日20:10分恢复窦性心律,与先前心电图大致相同。
病因分析
患者为青年男性,既往无特殊疾病,无家族遗传病史;因饮用久置水后间断出现恶心、呕吐及肝损害,于不适症状出现的5天后出现持续性室性心动过速;多种抗心律失常药物治疗无效,反复电复律6次。
针对患者反复室速的原因及强化抗心律失常药物治疗后仍反复发作的后续治疗策略,各教学中心一致建议从暴发性心肌炎、病毒性或自身免疫性心肌炎、以及遗传性心律失常综合征等方面进行排查。结合患者临床表现与影像学资料,考虑其反复室速可能与ACM有关,建议下一步完善心脏磁共振及基因检测以明确诊断。
诊治过程
患者入CCU后于2025年5月17日21:27再发室速,经抗心律失常药物治疗效果不佳,再次行电复律后成功转复心律。此后患者未再出现室速,遂调整药物治疗方案:予利多卡因抗心律失常;重组人脑利钠肽抗心力衰竭治疗;多烯磷脂酰胆碱及谷胱甘肽保肝治疗;依诺肝素抗凝治疗;门冬氨酸钾镁纠正电解质紊乱。初步诊断为:(1)心律失常(持续性室性心动过速);(2)急性心力衰竭;(3)肝损伤。
经上述治疗后,患者BNP、肝酶、D-二聚体等等主要指标逐渐下降并恢复至正常范围。入院后心脏彩超提示右室增大、右室游离壁变薄、右室壁运动减低、左室舒张功能减低及三尖瓣轻度反流。D-二聚体升高,行下肢动静脉超声检查未见明显血栓。
结合患者临床症状、实验室及影像学检查,先后排除冠状动脉病变、风湿免疫性疾病、甲状腺功能异常所致心律失常、原发性心律失常/离子通道病等可能。完善心脏增强核磁:右室侧壁小室壁瘤;左心功能LVEF为70%,右心功能RVEF为31%;右室增大伴节段性室壁运动异常,右室收缩功能减低,右室心肌少许强化,符合非缺血性心肌病表现,考虑ACM(双室型)可能。另见室间隔稍厚、少量心包积液及三尖瓣关闭不全。
住院期间患者恢复情况良好,为求患者健康,建议植入ICD并行基因检测,但因家庭原因患者拒绝并要求出院。出院诊断:(1)ARVC;(2)心律失常(室性心动过速;多源性室性早搏、偶发房早);(3)心力衰竭 心功能Ⅲ级(NYHA分级);(4)急性肝损伤。
随访诊治
患者出院后予以密切随访。
(1)鉴于其家庭经济状况,医院为其提供了免费基因检测,结果在PKP2基因检出可解释临床表型的疑似致病变异(OMIM: 609040),该变异可导致ACM。
(2)7月27日门诊随访复查心脏彩超,提示右心增大、右心室游离壁变薄、右心室心尖部局部膨出、三尖瓣轻度反流及左室舒张功能减低。
(3)心电图仍提示频发室性早搏(2076次/24h)。
综合其临床表现与辅助检查,该例患者ACM诊断明确。
在分型上该例患者符合4项主要诊断标准:室壁瘤形成、RVEF降低、V1~V2或更多导联T波倒置,以及频发室性早搏/室性心动过速;另符合1项次要标准:右心室区域出现明确延迟强化。因此,患者表型明确为ARVC。
治疗策略
在治疗上,胺碘酮抗心律失常;利伐沙班抗凝;缬沙坦、螺内酯、呋塞米抗心力衰竭;多烯磷脂酰胆碱保肝;辅酶Q10及门冬氨酸钾镁辅助治疗。虽建议植入ICD,但目前患者及家属暂未同意。因此下一步需要考虑该例患者否可以尝试进行导管消融还需进一步探讨。
随后,各中心专家围绕该病例进行个人经验分享及ACM疾病鉴别等内容,开展了系统性学习与交流,为临床诊治ACM积累了更多经验。

扫码查看
更多查房教学讨论
知识拓展
ACM诊断标准
ACM的诊断主要依据包括主要标准和次要标准,其表型可从心室功能-形态异常;心肌结构异常;除极和传导异常;复极异常和室性心律失常方面综合判断明确。

ARVC的临床诊治
ARVC的临床诊治需综合评估病史、家族史、心电图/动态心电图、心脏超声或心脏磁共振以及基因检测等结果。诊断需满足以下条件之一:2项主要标准、1项主要标准+2项次要标准、或4项次要标准。确诊后应进行危险分层,包括分析心电图异常、室性心动过速、性别、晕厥病史及延迟强化(T1加权像)等指标。治疗上应以限制运动为基础,药物治疗首选β受体阻滞剂,介入治疗可考虑植入式心律转复除颤器(ICD)或射频消融。

ARVC病理表现
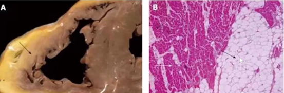
该例患者未进行心肌活检,若进行心肌活检,经典的ARVC表现为右室心肌厚薄不均,弥漫性或局限性室壁变薄,右室内径扩张。病变多局限于右室心尖部、漏斗部及后基底部,此处称为发育不良三角。扩张严重时,局部可形成室壁瘤,并可形成血栓。
组织学特征上,ARVC表现为右室心肌被脂肪浸润,取代心肌组织,室壁厚度可正常或变薄,部分患者左心室也可受累。

心电图表现
表现为V1~V2或更多导联T波倒置。

ACM治疗-药物治疗专家共识
(1)抗心律失常药物:存在室性早搏、室性心动过速的ARVC患者,推荐应用β受体阻滞剂(I,C)。当常规B受体阻滞剂不能控制心律失常时,应考虑胺碘酮(Ia,C)和索他洛尔(Ib,B)。
(2)抗心力衰竭药物:ACM合并右心室心力衰竭者,应使用ACEI/ARB、β受体阻滞剂、醛固酮受体拮抗剂和利尿剂(Ia,c),同时可使用硝酸酯类药物降低右心前负荷(IIb,C)
(3)抗凝治疗:推荐合并心房颤动、心内血栓或动/静脉血栓的ACM患者进行抗凝治疗(I,B),合并左/右心室室壁瘤的ACM患者可考虑抗凝治疗(IIb,C)。
ACM治疗-ICD/导管消融
ACM患者行UCD/导管消融的推荐证据均较高,具体如下。

本文为医谱学术原创,转载请标注来源
-END-
专业的心血管医生学术交流平台


版权及免责声明:
本网站所发表内容知识产权归属医谱平台、主办方以及原作者等相关权利人,未经许可,禁止进行复制、传播、展示、镜像、转载、摘编等。经授权使用,须注明来源,否则将追究其法律责任。有关作品内容、版权和其他问题请与本网联系
发表留言
暂无留言
输入您的留言参与专家互动