山东省首例!山东大学齐鲁医院成功完成经导管二尖瓣置换术1例!
近日,在山东大学齐鲁医院心血管内科主任张澄的指导下,心血管内科安贵鹏主任医师、孟晓主任医师、董梅副主任医师、马连越主治医师、曹媛主治医师、刘芳芳主治医师,老年医学科郄良毅副主任医师,逯伟达主治医师,心外科曹广庆主任医师联合麻醉科杨绍忠副主任医师成功完成了山东省首例经导管二尖瓣置换术。
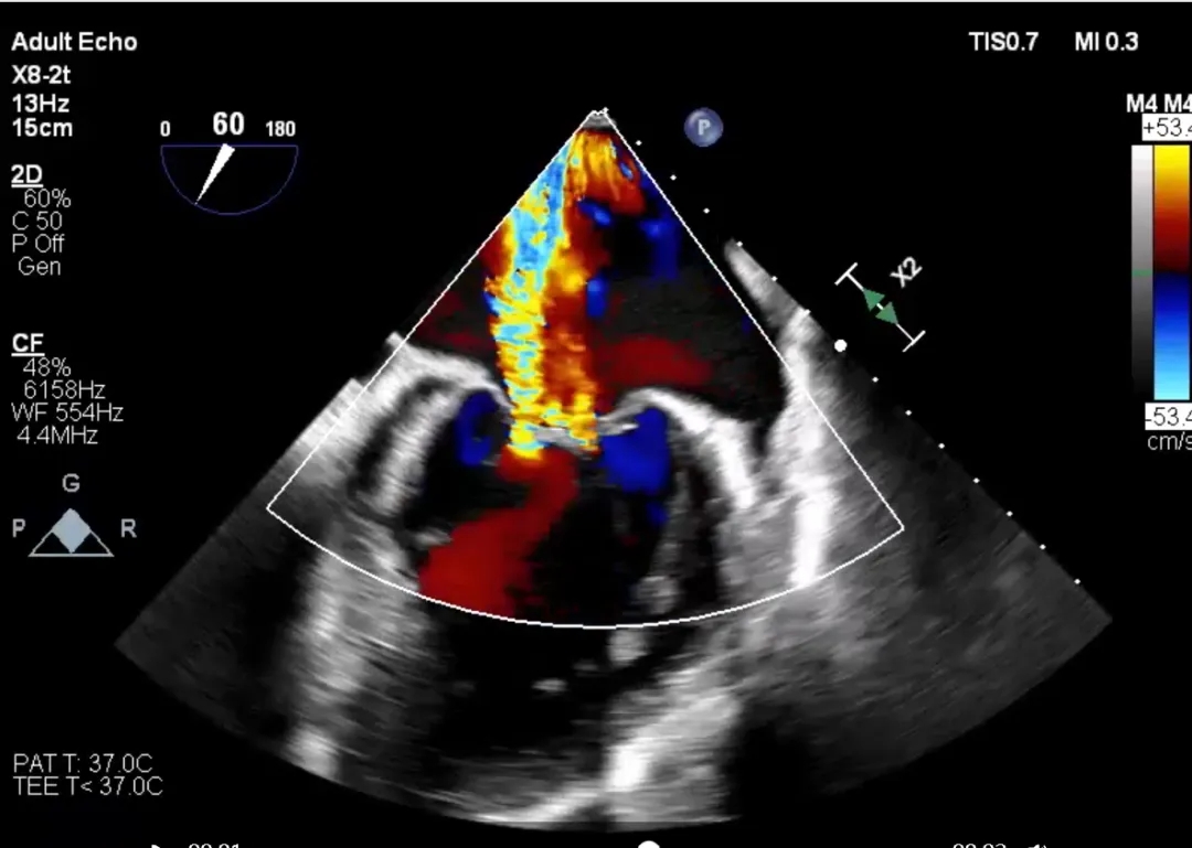
人工瓣膜植入后位置理想,无瓣周漏,无跨左室流出道压差。术后患者的二尖瓣反流明显改善,极大地缓解了患者的病痛并顺利出院。
病例信息
患者为72岁老年男性,因胸闷憋气入院,入院诊断为重度功能性二尖瓣反流,重度三尖瓣反流,心房颤动。超声心动图显示LVEF 39%,PASP 40mmHg,TAPSE 17.5mm,提示左心功能减低、左右心房增大与轻度肺动脉高压。术前心脏CTA显示各解剖径线适合经股经导管二尖瓣置换治疗。
手术策略
注意Trap识别与绕环位置确认;因左心房明显增大,避免房间隔穿刺位置过高。此例已经充分GDMT治疗,具备二尖瓣手术干预指征,决定使用HighLife系统行经股静脉房间隔二尖瓣置换术。此次手术主要包含三大步骤,逆行主动脉路径,利用导丝围绕原生二尖瓣成环;沿导丝轨道完成固定环植入;经房间隔路径植入人工瓣膜。

手术过程
术中,经左股动脉入路,在术前规划的DSA投射体位和超声引导配合下确认绕环导管初始深度,前进导丝绕过外交界-P3-P2-P1-内交界后,随血流跨主瓣返回升主动脉,在升主动脉使用snare抓捕。为了更充分地验证导丝成环轨道,术者在DSA与超声影像的共同指引下,清晰地观察到导丝均匀地向二尖瓣环与中心收紧。整个过程快速且一气呵成,术者顺利避开预估的所有Trap,为后续固定环的植入建立了确切的轨道。轨道建立后,固定环输送器沿着成环导丝经主动脉瓣推送至左心室,将固定环从输送器中推出,收紧导丝两端并完成固定环扣合。最后,在建立房间隔入路后,经右股静脉送入 HighLife瓣膜,在DSA的指引下先缓慢释放人工瓣膜心室端,后回拉输送器将瓣膜心室端与固定环贴紧二尖瓣环,并快速释放瓣膜心房端。在固定环的辅助下,人工瓣膜于二尖瓣瓣环平面完成自同轴展开释放,最后逐步撤出输送器。即刻超声评估提示二尖瓣反流完全消失,无瓣周漏,无左室流出道梗阻,人工瓣膜植入位置理想,形态良好。手术顺利结束。

近年来,安贵鹏教授带领山东大学齐鲁医院心内科结构性心脏病团队取得了系列成绩,继经导管主动脉瓣置换术(TAVR)、经导管肺动脉瓣置换术(TPVR)、经导管二尖瓣缘对缘修复术(TEER)和经导管三尖瓣环修复术之后,又一项全球同步推进的前沿技术—经股静脉房间隔二尖瓣置换术(TSMVR)在齐鲁医院成功落地,为更多患者带来了获益。
-END-
专业的心血管医生学术交流平台


版权及免责声明:
本网站所发表内容知识产权归属医谱平台、主办方以及原作者等相关权利人,未经许可,禁止进行复制、传播、展示、镜像、转载、摘编等。经授权使用,须注明来源,否则将追究其法律责任。有关作品内容、版权和其他问题请与本网联系
发表留言
暂无留言
输入您的留言参与专家互动