大医二院TAVR技术为超高龄患者打开主动脉狭窄通道
近日,大连医科大学附属第二医院心血管内科赵昕主任团队成功为一名95岁超高龄患者实施经导管主动脉瓣置换术(TAVR),突破超高龄患者手术禁区,标志着大医二院在结构性心脏病微创治疗领域达到国内领先水平。
患者因反复晕厥、心力衰竭入院,经诊断为主动脉瓣重度狭窄伴钙化,反流(中度)。赵昕主任形象解释:"患者的心脏瓣膜就像打不开的门,血液无法顺畅流通,若不及时干预,一年生存率不足50%。"
跳动心脏上的"毫米级"精准:
多学科协作破解技术难题
针对患者"严重钙化二叶式主动脉瓣+升主动脉扩张+外周血管路径迂曲"的复杂病情,赵昕主任团队联合血管外科、放射科、麻醉科等多学科(MDT)专家,制定个性化TAVR手术方案:
▶ 微创入路精准定位:采用新一代可回收瓣膜系统,通过股动脉入路完成精准植入,术中应用3D打印模型辅助导航,确保手术路径精准;
▶ 双影像实时护航:结合经食道超声(TEE)与数字减影血管造影(DSA)双影像融合技术,动态调整导管位置,误差控制在毫米级;
▶ 创新技术保障安全:采用"预扩张球囊分级扩张"策略,并应用冠脉保护技术和循环快速起搏,最大限度降低手术风险。
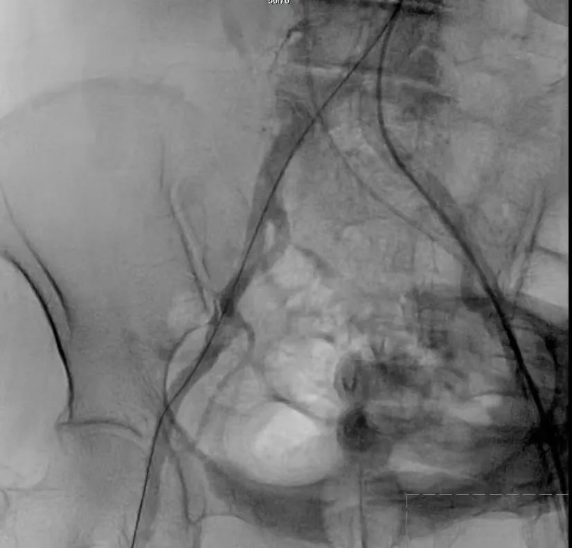
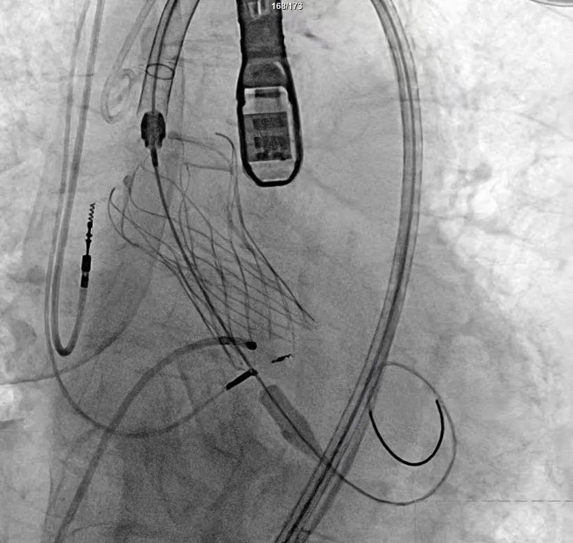
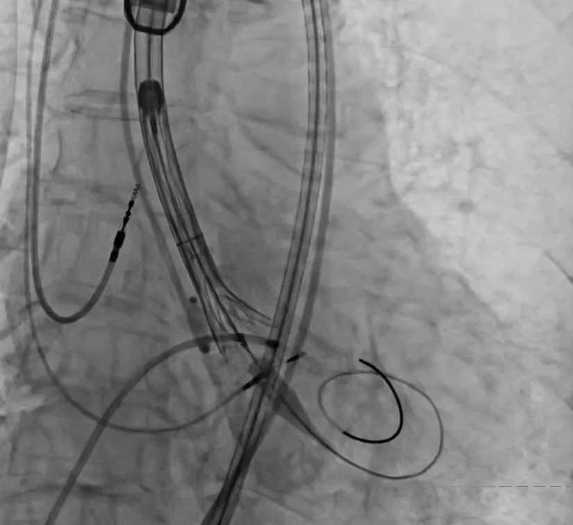
手术过程严谨有序:经术前精准评估与周密准备,团队成功送入预先装载的自膨式支架瓣膜输送系统,顺利完成过弓、跨瓣操作;经造影定位后,在180bpm快速起搏下精准释放瓣膜。瓣膜释放后,术中实时超声显示根部瓣架形态良好、启闭正常,瓣叶中心及瓣周未见反流;造影显示瓣膜位置满意、形态良好,冠脉显影清晰,入路血管无损伤,历经90分钟后,手术圆满成功。





术中影像
术后患者跨瓣压差从58mmHg降至8mmHg,主动脉瓣反流完全消失,5天后患者顺利出院。

东北地区TAVR技术领跑者:
高龄患者平均住院日仅5.2天
作为辽宁省心血管介入诊疗技术核心中心,大连医科大学附属第二医院心血管内科在TAVR领域已积累丰富经验:累计完成TAVR手术超100例,其中80岁以上患者占比35%,手术成功率达98%;建立"门球时间≤48小时"绿色通道,将高龄患者平均住院日缩短至5.2天。
此次手术的成功,不仅为超高龄心脏瓣膜病患者提供了新的治疗希望,更彰显了医院在复杂结构性心脏病微创治疗领域的综合实力与领先地位。赵昕主任表示:"TAVR技术让无法耐受开胸手术的高危患者有了治愈可能,我们将继续以精准微创技术,为更多患者守护'心'健康。"
-END-
专业的心血管医生学术交流平台


版权及免责声明:
本网站所发表内容知识产权归属医谱平台、主办方以及原作者等相关权利人,未经许可,禁止进行复制、传播、展示、镜像、转载、摘编等。经授权使用,须注明来源,否则将追究其法律责任。有关作品内容、版权和其他问题请与本网联系
发表留言
暂无留言
输入您的留言参与专家互动