双剑合璧:微导管支撑下经IVUS指导正向开通前降支CTO一例
双剑合璧:微导管支撑下经IVUS指导正向开通前降支CTO一例
术者介绍

本期病例术者
刘华东
深圳市人民医院心血管内科
副主任,博士,南方科技大学临床教授,博士生导师,主任医师,纽约长老会医院访问学者。于深圳市⼈⺠医院工作20余年,擅长冠心病、瓣膜病、主动脉夹层、主动脉瘤、颈动脉、下肢动脉、肾动脉、锁骨下动脉等疾病的诊治,擅长多血管同期介入治疗,在复杂冠心病、主动脉、外周血管疾病及瓣膜病的介入治疗方面有丰富经验。
兼任国家卫健委、中国医师协会心血管介入培训导师,广东省医师协会心脏重症专委会副主任委员,中国医师协会心脏重症专委会冠状动脉及主动脉学组委员,中国医师协会心脏重症专委会腔内⾎管学组委员,广东省医师协会心血管介入分会常务委员,广东省医师协会心血管内科分会常务委员,⼴东省介⼊性⼼脏病学会周围⾎管分会副主任委员,⼴东省介⼊性⼼脏病学会⼥性⼼⾎管病分会副主任委员,广东省老年保健协会冠心病精准治疗专委会副主任委员,深圳市医师协会结构性心脏病专业委员会副主任委员。
病历资料
患者:
-
性别:男
-
年龄:64岁
-
主诉:胸闷7年余,再发伴胸痛1月,收治入院。
-
患者7年前因“胸闷2天,加重伴气促21小时。”于我科住院治疗,行冠脉造影检查提示:LM大致正常,LAD近段完全闭塞,LCX中段80%狭窄,见侧支供血LAD远段,RCA近段95%狭窄,成功干预RCA、D1、LCX。出院诊断:急性下壁心肌梗死;冠心病;心功能I级(Killip分级)。
1月前因家中突发事件后出现左侧胸闷,胸闷呈持续性,伴胸痛,呈放射痛,向左背部放射,情绪激动时症状加重。门诊查【2025/01/24心电图】窦性心律,V1-V2导联Q波形成(较前无动态演变)。予硝酸异山梨酯、硫酸氢氯吡格雷对症治疗。现为进一步诊治收入我科。近3月体重较前减轻约10斤。
高血压病史10余年,血压最高达150+/120mmHg,目前规律服用“培哚普利吲达帕胺、美托洛尔缓释片、苯磺酸氨氯地平”降压,血压控制不详;
冠心病病史10余年,行支架植入术后规律服用阿托伐他汀约2年,出现肌肉酸痛不适,遂停药;
糖尿病病史6年余,现口服阿卡波糖50mgtid+谷赖胰岛素:早餐前10IU 中餐前 9IU 晚餐前9IU +甘精胰岛素12IU降糖,未规律监测血糖;
1月前因情绪欠佳于康宁医院就诊,出院诊断不详,予劳拉西泮、盐酸米那普仑调节情绪、改善睡眠治疗;
有吸烟史40余年,20支/天,未戒烟,现约15支/天;有饮酒史20余年,8两/天,已戒酒6年。
检查及诊断
检验结果:
-
电解质+肾功能(20250205):钾3.3+mmol/L,氯94+mmno1/L,尿素 8.2 个 mmo1/L,肌酐 55umo1/L,肾小球滤过率 104.9ml/(min•1.73m2)。
-
生化(20250206):葡萄糖(空腹)12.50 mmol/L,总胆汁酸18.4fumol/L;甘油三酯0.51mmol/L 总胆固醇 4.1mmol/L LDL-C 2.69mmol/L
-
尿常规(20250206):尿葡萄糖 阳性(4+),尿比重 1.029个;
-
血常规、凝血功能、D-二聚体、甲功、大便常规检查未见明显异常。
-
【心肺运动试验】未见运动相关性异常。
心电图检查:


超声检查:


辅助检查:


临床诊断
-
冠心病
-
不稳定型心绞痛
-
冠脉支架植入术后
-
高血压病3级(很高危组)
-
左肾结石
-
右肾囊肿
-
右肾上腺肿物切除术后
-
前列腺增生症
-
抑郁状态
本次CAG
LCX近段狭窄70%,TIMI血流 3级
LAD近端支架内狭窄80%,LAD近中段完全闭塞,D1支架内狭窄60%,分叉口可见瘤样扩张
RCA支架近中段狭窄70%,远段狭窄70%,PDA近段80%狭窄,TIMI血流3级
手术策略
-
确定罪犯病变:患者PCI术后7年,既往LAD闭塞未能开通,本次造影提示原RCA、LCX及D1支架再狭窄;考虑LAD近端及D1内支架再狭窄率>80%,可能为本次心绞痛发作责任病变。
-
造影示LAD原闭塞处可见瘤样扩张,左冠造影可见LCX桥侧支指引LAD远段,故可尝试开通LAD闭塞病变。
-
首先考虑正向开通,正向可见闭塞残端,可应用IVUS送入D1实时指引导丝寻找LAD闭塞开口。 考虑RCA-LAD间隔支不明显、LAD桥侧支循环迂曲,且为心外膜桥侧支,逆向开通难度大。
手术过程
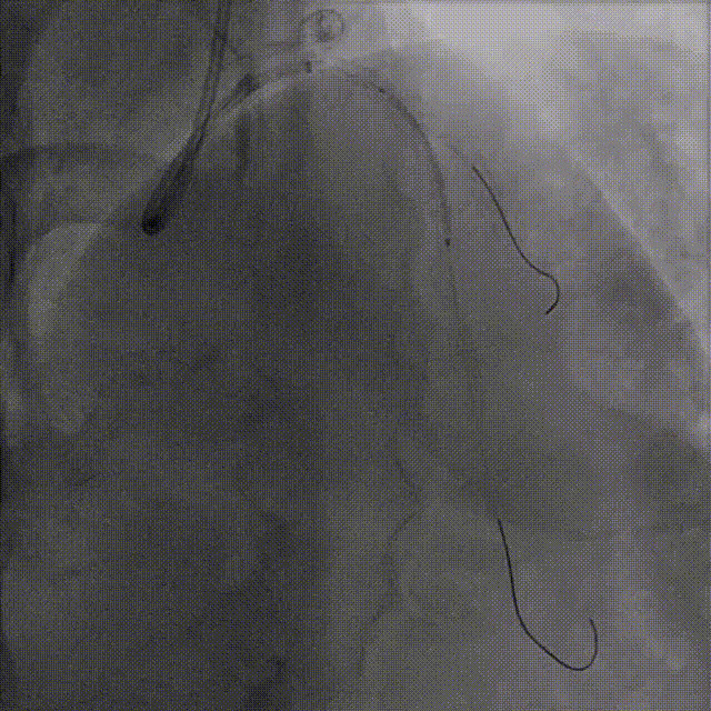
IVUS实时定位寻找开口
沿7F UBS3.5送Runthrough导丝至D1,
LAD开口不明确,送入IVUS至D1手动回撤,实时寻找LAD开口方向
在CTO闭塞入口不清的情况下,应用IVUS指导正向导丝穿刺时应遵循以下原则:
-
侧支应足够大以推进IVUS导管。
-
对于无残端的CTO,在开始前应在CTO病变近端的侧支中放置另一根导丝。然后,推进并置入IVUS导管至分叉处,并进行血管造影。
-
使用IVUS寻找入口处的凹陷后,成功导航导丝进入CTO的真实腔内。
-
IVUS还可辅助确定入口处的斑块性质及硬度。
IVUS引导下正向介入治疗CTO的技巧
-
对于CTO闭塞入口不清晰,近端纤维帽模糊的病变,如闭塞附近有1.5mm以上的分支血管,可以考虑使用IVUS指导正向进入。
-
建议使用7F指引导管,7F指引导管可以同时容纳IVUS导管和一根单腔微导管(如FineCross 等),可以实时使用IVUS 指导导丝穿刺;7F指引导管也方便再送入球囊固定导丝来撤出微导管。
-
IVUS回撤过程中可借助血管直径的变化判断闭塞段入口位置,在主支和分支血管汇合段,主支血管管腔在影像下会显示为突然扩张,附近多半可以发现IVUS图像在某个方向上有闭塞主支血管的影像。
-
分支血管的IVUS回撤过程中,还可通过闭塞血管的影像表现判断主支与分支的夹角大小,从而指导CTO导丝的塑形:汇入点以远回拉时可见多幅闭塞血管影像,这往往意味着分支血管和主支血管夹角比较小;相反,只能在闭塞部位见到主支血管,以远均未发现闭塞血管,则意味着主支血管和分支开口角度很大,从而辅助判断导丝塑形,提高近端纤维帽穿刺的成功率。
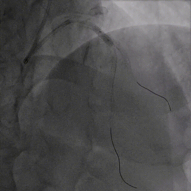
导丝通过闭塞段
在IVUS辅助下,顺利找到LAD开口方向
将HighTrack 1.5Fr 微导管送至LAD闭塞段开口处加强支撑,使用导丝升级技术,先后送入BMW、XT-R、P150、GAIA2导丝通过闭塞段远端
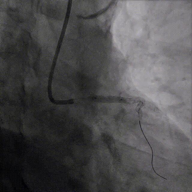
处理D1-LAD支架




LAD导丝交换为工作导丝,D1送入2.75*12mm、2.75*15mmNC球囊依次扩张病变处
LAD送入2.0*15mm、2.5*12mmNC球囊扩张病变处
复查IVUS可见:LAD多处环形钙化,原支架贴壁不良,支架远端导丝走形在支架外,IVUS指导下重新调整导丝进入支架
LAD植入支架


LAD由远及近植入2.75*33mm、3.5*23mm、3.5*18mm支架
球囊后扩张


LAD分别送入3.0*15mm、4.0*15mm、4.5*15mmNC球囊扩张病变处
经后扩复查IVUS


-
LAD中远段支架贴壁良好,LAD开口显示有明显支架贴壁不良
-
LAD近端EEM直径4.74mm,送入4.5*15 NC进行后扩
PCI术后IVUS
IVUS提示:后扩张处理后支架膨胀、贴壁良好
最终造影结果
体会与总结
-
对于开口不清晰的CTO病变,只要闭塞附近有1.5mm 以上的分支血管,建议使用IVUS指导进行正向准备成为一项常规操作。在IVUS引导下正向介入治疗CTO病变中建议应用7F及以上的指引导管。在IVUS回撤中要重点关注血管直径的突然改变,以及对闭塞血管和IVUS 检查分支血管的夹角进行判断。
-
在正向导丝穿刺操作中,微导管的选择对手术成功起到极为重要的作用,本例在正向纤维帽穿刺过程中,微导管为导丝提供了良好的支撑和操控,使得导丝在IVUS引导下顺利调整找到闭塞段开口并通过病变段。
-
冠心病支架植入术后的管理任重而道远,做好患者宣教,提高患者对于危险因素的重视程度,保持规律的术后复查,对于降低远期不良事件发生率至关重要。
点击?阅读原文查看查看完整内容

发表留言
暂无留言
输入您的留言参与专家互动