辽西首例——葫芦岛市第二人民医院张占修院长团队成功开展首例MitraClip微创二尖瓣缘对缘修复术,引领区域心脏介入技术新突破!
近日,葫芦岛市第二人民医院心血管内科再创技术里程碑!在学科带头人张占修教授的率领下,团队成功完成辽西地区首例MitraClip™二尖瓣钳夹术,为一名重度心衰合并重度二尖瓣反流患者实施微创修复。该技术的成功开展,标志着葫芦岛二院在结构性心脏病介入治疗领域跻身国内先进水平,填补了辽西地区经导管二尖瓣介入治疗的空白,为周边患者提供了“家门口”的国际尖端医疗选择。



患者基本信息
患者女性,51岁,胸闷气短3月,加重1月余。
患者自诉3月前无明显诱因出现胸闷气短,偶有夜间阵发性呼吸困难,1月前自诉上述症状逐渐加重。半月前因肾功能不全前往肾内科住院治疗,其间行心脏超声检查提示:三尖瓣反流(中量)、二尖瓣反流(大量)、左心功能降低EF:33%,经治疗后症状稍有缓解,现为进一步诊治,以“二尖瓣及三尖瓣关闭不全 慢性心力衰竭”为诊断收入院。
▶既往史
高血压病史2年余,最高160/80mmHg,糖尿病病史20余年,肾功能不全4年余,贫血10余年,目前口服药物治疗。冠心病病史2年,植入支架1枚,心力衰竭病史2年,双眼剥离切割术病史3个月。白癜风病史20余年。否认吸烟饮酒史。
▶心脏超声检查提示
左心增大 左室壁运动弥漫性减低
二尖瓣反流(中-重度)
三尖瓣反流(中度)
肺动脉收缩压增高(中度)
主动脉瓣反流(轻度)
肺动脉主干增宽
左室收缩功能减低(中度)
左室舒张功能减低(Ⅱ级)
心包积液(少量)
▶EF:34%
初步诊断
1.二尖瓣关闭不全
2.慢性左心功能不全
3.心功能Ⅱ级
4.慢性肾脏病4期
5.肾性贫血
6.高血压2级
7.2型糖尿病
8.不稳定型心绞痛
9.冠状动脉粥样硬化性心脏病
10.冠状动脉支架植入后状态
手术方式及策略
因患者心功能及整体状态较差,外科手术需在体外循环下进行,考虑术中及术后风险较高,建议选择经皮二尖瓣钳夹手术治疗。
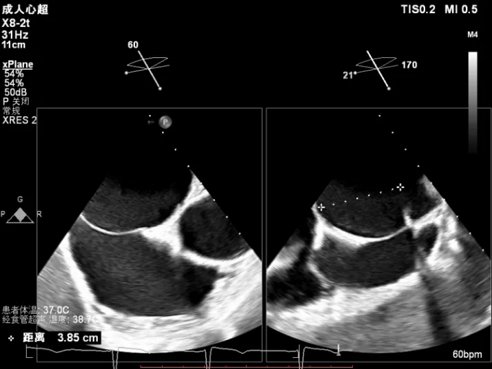
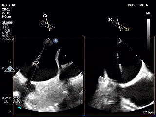
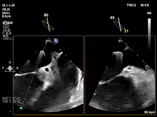
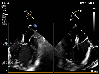
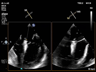
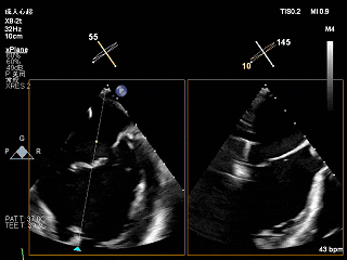
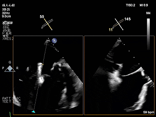
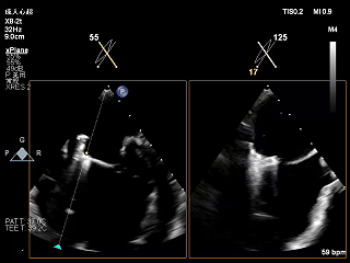
TEER术前评估


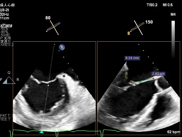
术前Bicom切面
术前X-Plane



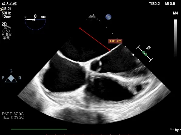
术前瓣口面积5.39cm²
后叶长度9.24cm
可用房间隔穿刺高度4.03cm


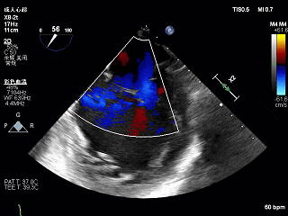
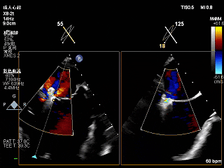
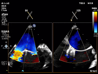
3D-ZOOM 彩色多普勒显示反流主要来源于2区
手术策略
考虑到患者的反流机制为FMR,主要由于瓣环扩张引起瓣叶对合不良导致二尖瓣重度反流,心衰等问题,且二尖瓣瓣叶质量长度尚可,患者年龄较小,综合考虑决定在2区反流最重位置植入第一枚XTR后观察反流情况,决定是否”side by side”植入第二枚XTR。
手术过程
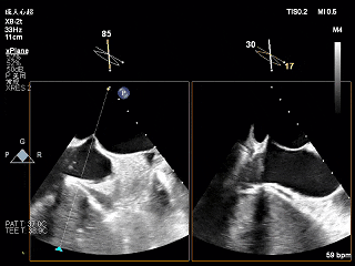
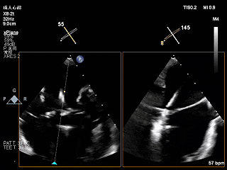
全麻下穿刺右股静脉,在TEE指导下完成房间隔穿刺,穿刺处与二尖瓣瓣环距离3.85cm。将superstiff导丝送至左房,应用18F鞘管扩张穿刺部位,沿导丝将可操控导引导管送入左肺静脉。




将“大鞘”送入左房
3D下大鞘的穿刺位置大概在3点钟方向


左房较大,完成骑跨
“+M”使夹子垂直于瓣环平面


“弹”道测试
打开夹子,调整轴向


3D上彩确认夹子位置
2维上彩确认夹子位置


夹子关小进入左心室
瓣下打开夹子确认轴向


倒置夹子,拉回左房,加“-”号调整“hug”,后修正轴向
第二次去到瓣下


夹子下到心室捕捞瓣叶
Gripper down抓捕瓣叶


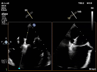
夹子关小后二维上彩,夹子两侧均有反流
重新打开夹子,调整位置


第二次捕捞瓣叶
夹子关紧后上彩


夹子关小后3D观察组织桥
夹子关小后3D上彩
反流降至轻度


夹子释放后,2D下color,反流降至轻度


夹子释放后3D下观察组织桥稳定,反流降至trace

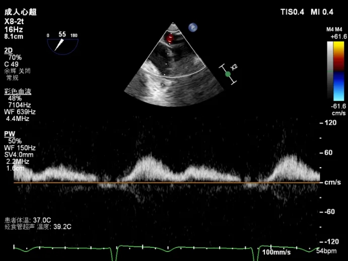
夹子释放后压差为2mmHg


肺静脉逆流明显改善
手术小结
此次手术的成功,标志着国际尖端技术落地辽西,微创手术破解“心脏阀门”难题,二尖瓣反流是常见的心脏瓣膜疾病,传统开胸手术创伤大、风险高,许多高龄、体弱患者无法耐受。MitraClip™技术作为全球领先的微创介入方案,仅通过股静脉入路,在超声引导下将特制夹合装置精准植入心脏瓣膜,以“微创修补”替代“大开胸”,具有手术时间短、创伤小、恢复快、安全性高等优势,尤其适合高危患者。张占修教授团队联合麻醉科、超声科、导管室等多学科协作,凭借精湛的操作技术和丰富的介入经验,成功将MitraClip™植入目标位置,术后患者二尖瓣反流即刻降至轻度,次日即可下床活动,目前恢复良好。 技术突破背后的“硬核实力”作为辽西地区心血管病诊疗高地,葫芦岛市第二人民医院始终以技术创新驱动发展,以顶尖团队领衔。张占修教授为辽宁省心血管介入知名专家,团队每年累计完成心脏介入手术近万例;多学科协作体系:依托医院国家级胸痛中心、心脏康复中心平台,整合超声、影像、重症监护等资源,确保复杂手术精准安全;设备与国际同步:配备三维超声、杂交手术室等高端设施,为高难度介入手术保驾护航。
“MitraClip™技术的开展是医院‘技术强院’战略的重要成果。未来我们将持续引入新技术,让辽西百姓无需远赴一线城市,即可享受与国际接轨的优质医疗。” 立足辽西,辐射东北,葫芦岛二院打造区域医疗新高地此次首例MitraClip™的成功实施,是葫芦岛市第二人民医院继冠脉介入、心律失常射频消融等技术后的又一重大突破,彰显了医院在疑难心脏病微创治疗领域的综合实力。医院将持续推进技术创新与学科建设,助力辽西地区心血管病诊疗水平提升,为东北地区患者带来更多生命希望。 新技术开展是医院核心竞争力的体现。葫芦岛二院以MitraClip™技术为契机,不仅提升了区域医疗能级,更展现了其“敢为人先”的魄力与“以患为先”的担当,为同级医院树立了技术攻坚标杆。
专家简介
葫芦岛市第二人民医院
葫芦岛市第二人民医院
葫芦岛市第二人民医院
葫芦岛市第二人民医院
-END-
专业的心血管医生学术交流平台


版权及免责声明:
本网站所发表内容知识产权归属医谱平台、主办方以及原作者等相关权利人,未经许可,禁止进行复制、传播、展示、镜像、转载、摘编等。经授权使用,须注明来源,否则将追究其法律责任。有关作品内容、版权和其他问题请与本网联系




发表留言
暂无留言
输入您的留言参与专家互动