全球首例!上海长海医院心血管内科成功完成主动脉窦瘤破裂全降解封堵器植入术,开创RSVA介入治疗新路径
近日,上海长海医院郭志福主任团队秦永文、白元教授成功完成全球首例主动脉窦瘤破裂(RSVA)经导管全降解封堵器植入术!本例患者解剖结构复杂,操作风险较高。团队通过全面的术前评估,决定选用MemoSorb全降解封堵器实现封堵。该封堵器具有良好的柔韧性与生物相容性,可逐步降解并避免远期对瓣膜的磨蚀和功能影响。经过术者团队娴熟的操作,术中实现精准封堵,封堵器形态稳定、基本无残余分流。此次手术不仅标志着全降解封堵器在主动脉窦瘤破裂治疗领域的首次成功应用,更为RSVA的介入治疗开辟了全新路径。
患者信息
性别:女
年龄:31岁
主诉:体检发现主动脉窦破裂一年余。
现病史:患者既往轻度活动后感胸闷气短,于外院体检时超声心动图提示:先天性心脏病,主动脉窦破裂。于外院行升主动脉造影,可见右冠窦下方有瘤样凸出,局部嵌入右心房,破口直径约为8mm,经股静脉送入单弯导管入肺动脉测肺动脉压力,约为22/7(15)mmHg。患者有慢性肾病病史,长期服激素治疗。患者抵抗力低,如植入镍钛合金封堵器,需要终生预防感染性心内膜炎。因此,外院建议选择外科手术修补。
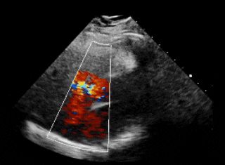
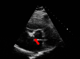
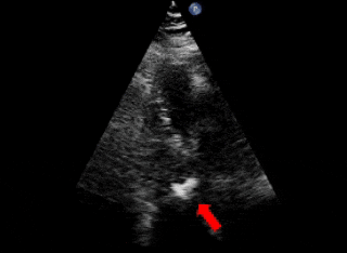
术前超声




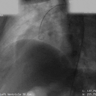
术前造影

主动脉瓣上造影,破口约5mm
手术策略
根据术前超声及造影检查结果,提示破口直径约5mm。考虑到患者抵抗力低,如植入镍钛合金封堵器,术后需终身预防感染性心内膜炎。而采用可降解封堵器则可实现生理性修复,术后体内无异物残留,无需长期预防感染。因此,本次手术选用腰部直径10mm、腰高5mm的全降解封堵器完成封堵治疗。
手术操作
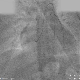
轨道建立


导丝通过主动脉窦瘤破口
导丝置于下腔静脉

圈套器抓取导丝建立完整轨道
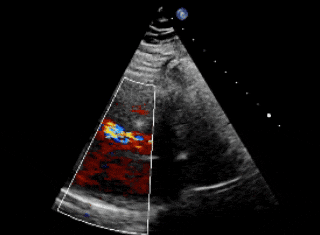
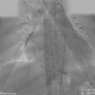
左盘展开


保留导丝技术
展开封堵器左盘
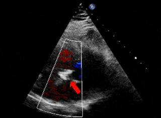
超声下可见左盘面贴靠主动脉侧
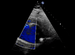
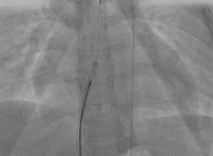
右盘展开


右盘面展开后
前推钢缆使其成型
超声下可见双盘面骑跨
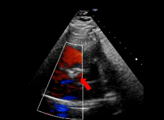
锁定后评估

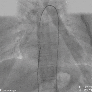
释放前瓣上造影

分流明显减少
牵拉试验

牵拉试验确认封堵器稳定
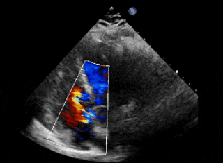
释放后评估



封堵器形态良好,基本无残余分流
术后用药
阿司匹林肠溶片 100mg1/日 口服 (口服6月)、硫酸氢氯吡格雷片 1/日 口服75mg (口服3月)
病例小结
主动脉窦瘤破裂(RSVA),又称瓦氏窦瘤破裂,是一种发病率较低(占先心病0.31%~3.56%)的先天性心血管畸形[1]。瘤体好发于右冠窦,未破裂时通常无症状;一旦破裂,则可能引发急性心功能不全、心力衰竭甚至猝死,故需及时治疗。随着心脏介入技术的发展,介入封堵已成为重要治疗方式。研究证实,对于破口约0.5cm且不伴其他心脏畸形的患者,介入治疗成功率高、并发症少、住院周期短,并能显著改善心功能,可作为优选方案[2]。
本例患者于外院体检时发现心脏异常,升主动脉造影初步提示破口约8mm。由于患者抵抗力较低,如植入镍钛合金封堵器,术后需终身预防感染性心内膜炎,因此外院曾建议行外科手术修补。为进一步明确破口情况,术前团队对其进行了详尽的超声及造影评估,确认破口直径约为5mm,血流通向右房。考虑到破口位置靠近瓣膜,且可降解封堵器能够实现生理性修复,术后不留异物,无需终身预防感染性心内膜炎,本次手术最终选用ABFDQ-II 10全降解封堵器进行封堵。该封堵器材料柔韧,植入后可自适应周围结构及组织运动,不易影响或磨损瓣膜功能。术中释放后封堵器形态稳定,瓣上造影显示基本无残余分流,主动脉瓣启闭正常,手术取得圆满成功。术后1天超声复查提示瓦氏窦瘤封堵效果良好,封堵器位置及功能正常,患者恢复顺利,已康复出院。
此例手术的成功,标志着全球首例全降解封堵器应用于主动脉窦瘤破裂取得圆满成功。这不仅为RSVA的临床治疗提供了一种全新的介入选择,更将“介入无植入,植入无残留”的先进理念引入该领域。全降解封堵技术为符合条件的患者提供了更优的远期愈后方案,展现出广阔的临床应用前景。
感谢上海长海医院秦永文、白元教授的病例分享
参考文献
[1] 贾志豪, 马依彤. 主动脉窦瘤破裂的介入治疗进展[J]. 中国介入心脏病学杂志, 2008, 16(1):55-57.
[2] 邵永谕,沈群山,李丁扬,等.介入封堵治疗与外科手术治疗主动脉窦瘤破裂的临床回顾分析[J].中国介入心脏病学杂志,2022,30(10):765-769.
专家简介




-End-
可降解PFO封堵器应用于长隧道PFO合并29mm下腔静脉瓣病例分享

扫码观看可降解学苑精彩内容
-END-
专业的心血管医生学术交流平台


版权及免责声明:
本网站所发表内容知识产权归属医谱平台、主办方以及原作者等相关权利人,未经许可,禁止进行复制、传播、展示、镜像、转载、摘编等。经授权使用,须注明来源,否则将追究其法律责任。有关作品内容、版权和其他问题请与本网联系
发表留言
暂无留言
输入您的留言参与专家互动