5cm切口换心门!浙大二院沈中华教授团队成功应用新一代生物瓣膜Epic Plus完成胸腔镜下主动脉瓣置换术

病例简介
患者65岁男性,主诉5天余前睡觉时突发胸闷气促,遂于2025-09-13至当地医院就诊,体温39.1℃,床边心超提示心功能减低,甲型流感病毒RNA检测结果提示阳性,诊断为“1.急性左心衰竭;2.呼吸衰竭;3.甲型H1N1流行性感冒”,予气管插管、抗感染等治疗后好转,为求进一步诊治于浙江大学医学院附属第二医院急诊就诊,以“心力衰竭”收住入院。
既往高血压病史3年,脑梗死、发现先天性主动脉瓣畸形(伴重度反流)12年病史。患者既往心脏瓣膜病,未予规范诊疗。近期因甲型流感病毒感染诱发心脏功能急性失代偿,继发病毒性肺炎,叠加心功能不全致呼吸功能恶化,行气管插管机械通气,插管后出现肺功能损伤。患者存在营养不良,伴明显组织水肿。在前期抢救治疗阶段,外周动静脉血管穿刺,增加了经外周血管建立体外循环通路的操作难度。
术前诊断:1.主动脉瓣关闭不全;2.呼吸衰竭;3.肺部感染;4.甲型H1N1流行性感冒;5.先天性主动脉瓣畸形(伴重度主动脉瓣关闭不全);6.肾功能不全;7.高血压;8.脑梗死个人史;9.急性心力衰竭;10.贫血;11.动脉粥样硬化。
手术方案
经浙江大学医学院附属第二医院心脏大血管外科沈中华教授团队细致评估,确认患者符合手术条件且无明显手术禁忌,遂拟行右侧胸腔镜下主动脉瓣置换术。
术前检查
超声描述:
1.左心增大(左房横径约5.41cm、长径约6.30cm),右房室腔正常大小。腔内未见异常回声。
2.心肌厚度正常。左室壁活动协调,未见明显节段性运动异常,17节段室壁运动计分指数=1。
3.房室间隔结构完整。
4.二尖瓣回声纤细,开放自如,未见异常血流。
5.三尖瓣回声纤细,开放自如,少量反流,Vmax=2.61m/s,PGmax=27mmHg,估测肺动脉收缩压:30mmHg。
6.主动脉瓣环径约3.17cm,窦部内径约4.40cm,升主动脉内径约4.38cm。三维超声示主动脉瓣稍增厚,回声稍增强,呈斜裂二叶活动,左右冠瓣可见一个融合回声,开放自如,大量反流。
7.主肺动脉内径正常。肺动脉瓣微量反流。
8.心包未见分离。
9.下腔静脉内径约1.21cm,随呼吸变化率>50%。
10.左室舒张功能:E/A=1.6,E=102cm/s。TDI:室间隔e’=5.9cm/s,侧壁e'=8.2cm/s,平均E/e'=14.5。
超声结果:
1.主动脉瓣二叶式畸形(Type 1型):主动脉瓣重度关闭不全,主动脉根部及升主动脉增宽;2.左心增大,左室整体收缩功能正常范围;3.三尖瓣少量反流。

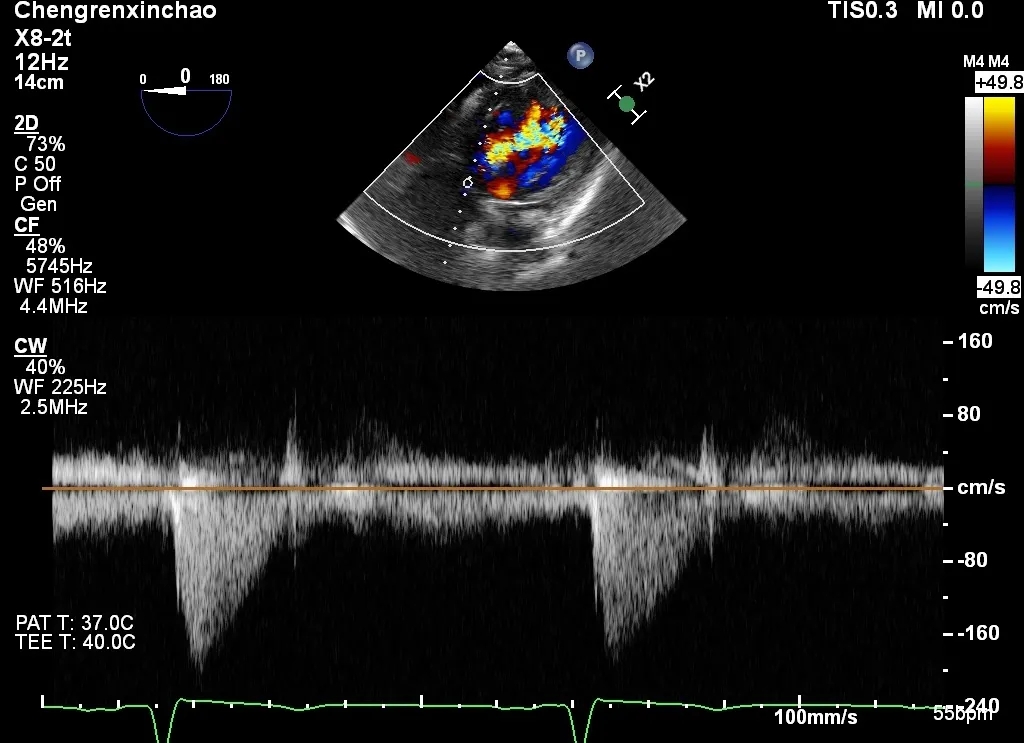
术前主动脉瓣前向血流

术前主动脉瓣反流
(食道中段主动脉瓣长轴切面)

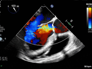
术前主动脉瓣反流
(深胃底五腔心切面)

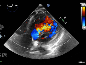
术前主动脉瓣反流,瓣叶钙化,左右交界融合
(食道中段主动脉瓣短轴切面)
术前CTA:
冠脉起始如常,右冠优势型,右冠、左冠主干、左前降支、对角支和左旋支未见明显管壁增厚,管腔内面尚光整,管腔未见明显狭窄,心脏增大。
胸主动脉未见明显增粗或狭窄,管壁未见分层,未见真假腔及内膜片,主动脉周围未见渗出,各分支规则,管腔未见明显扩张狭窄征象,内未见明显充盈缺损。
手术过程
患者平卧位,常规消毒铺巾,经股动、静脉插管建立体外循环,右侧胸骨旁切口约5cm,切开皮下组织,悬吊心包,经第二肋间进入胸腔,主切口置入阻断钳阻断升主动脉,斜行切口切开主动脉,使用Del Nido停搏液依次灌注左、右冠,悬吊主动脉壁后探查主动脉瓣,符合术前诊断,遂在胸腔镜辅助下进行主动脉瓣生物瓣置换,植入27# 雅培 Epic Plus Supra主动脉瓣膜。术中心脏自动复跳,术程顺利,病人安全返回ICU,术后康复出院。

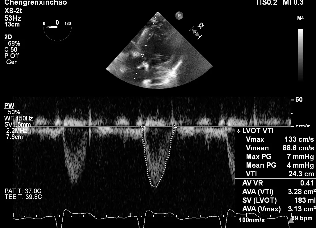
术后超声
术后心脏超声示:主动脉瓣生物瓣置换术后,人工生物瓣膜最大流速1.33m/s,平均压差4mmHg,连续性方程估测瓣膜开口面积3.13cm2。人工瓣微量反流,主动脉根部及升主动脉增宽,左心肥大。

术后主动脉瓣瓣口面积3.13cm2
(连续性方程估测)

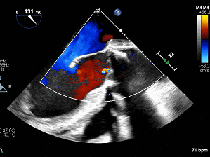
术后主动脉瓣生物瓣微量反流
(食道中段主动脉瓣长轴切面)

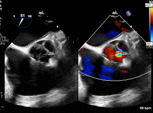
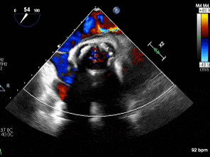
术后主动脉瓣生物瓣无瓣周漏
(食道中段主动脉瓣短轴切面)
术后采访
沈中华教授
??点击观看完整采访视频
手术小结

扫描二维码
观看精彩回放
作为Epic瓣膜的全新升级,新一代生物瓣膜Epic Plus传承了Epic瓣膜的优异产品特性,并契合全生命周期管理而进行了全面提升。
Epic Plus采用最先进的组织处理技术Linx AC, 是行业唯一彻底屏蔽α-Gal抗原,消除残留免疫原性的商业化瓣膜¹,并通过四种机制降低瓣膜组织钙化水平,瓣膜植入10年100%无钙化²。
在主动脉瓣位上,Epic Plus的行业最低瓣脚体径设计,极大降低冠状动脉开口阻塞的风险。Epic Plus新增瓣环瓣脚显影标记,FlexFit柔性聚合物支架仅需8 atm即可BVF。瓣膜的无“幕帘”特性,降低了主动脉未来ViV介入后冠状动脉阻塞的风险,真正为瓣膜疾病疗法做到全生命周期管理。

专家介绍

-END-
专业的心血管医生学术交流平台


版权及免责声明:
本网站所发表内容知识产权归属医谱平台、主办方以及原作者等相关权利人,未经许可,禁止进行复制、传播、展示、镜像、转载、摘编等。经授权使用,须注明来源,否则将追究其法律责任。有关作品内容、版权和其他问题请与本网联系
发表留言
暂无留言
输入您的留言参与专家互动