可降解病例大赛优秀病例分享:可降解封堵器在VSD+ASD双缺损联合介入治疗中的实践
在2025年MemoSorb可降解封堵器病例创新大赛中,深圳市儿童医院欧振恒教授分享了一例室缺+房缺的双降解封堵器同步植入手术,患儿11岁,自1月龄起发现室缺、房缺,近一年因频繁头痛入院,HIT评分结果显示有重大影响,团队经过审慎评估,使用可降解封堵器先后封堵VSD、ASD两处缺损,术后超声显示封堵器形态位置良好,稳定夹持缺损。术后一个月随访,房、室水平均未见残余分流,且患儿自述头痛消失。此次成功的“双降解”同步植入策略,不仅避免了传统治疗可能需要的二次手术,更保障了患儿长期生长发育及心理的双重健康。
患者信息
性别:女
年龄:11岁
病史:发现心脏杂音11年。患者于生后1月龄体检时发现心脏杂音,完善心脏彩超提示室间隔缺损、房间隔缺损,门诊定期复查。近1年诉频繁头痛,1周前门诊复查后决定行介入封堵治疗。

入院查体:T 36.4℃,P 93次/分,R 22次/分,BP 116/76mmHg。SpO2 99%,体重 40.4kg。胸骨左缘3-4肋间可闻及3/6收缩期杂音。
辅助检查
心脏超声:室间隔缺损(膜周部)、房间隔缺损(继发孔型)


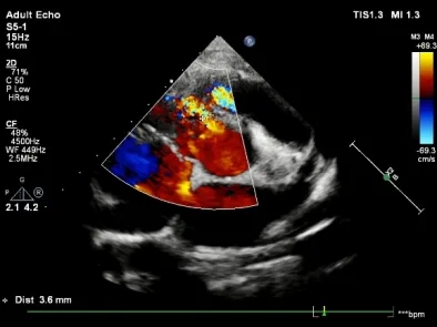
术前TTE示:膜周部室间隔缺损,基底大小11.3×10.5mm,分流口大小3.6mm,左向右分流,峰值流速4.07m/s。


术前TTE示:房间隔缺损继发孔型,断端大小4.5-5mm,薄弱范围约10mm,左向右分流 。
心电图:窦性心律不齐,不完全性右束支传导阻滞。

右心声学造影:
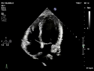
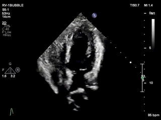
-
静息状态下右房显影后5个心动周期内左心房室显示大量造影剂微泡
-
Valsalva动作下右房显影后3个心动周期内左心房室显示大量造影剂微泡


静息状态
Valsalva动作
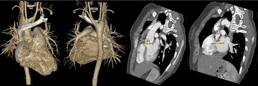
心脏CT:

膜周部室间隔缺损,伴随有膜部瘤形成;房间隔缺损;右位主动脉弓伴迷走左锁骨下动脉;Kommerell憩室;右位主动脉弓伴迷走左锁骨下动脉。
临床策略
选伞考量:本例患者经胸超声检查时,发现其同时患有继发孔型房间隔缺损(约5mm,薄弱范围10mm)和室间隔膜部缺损(基底大小11.3*10.5mm,分流口大小3.6mm)。综合评估两处缺损的封堵难易度及封堵后对周围血流及组织结构的影响,决定选用全降解ABFDQ-Ⅱ 08封堵器,搭配8F可降解封堵器输送系统行VSD封堵;选用可降解BDASD-I 14 封堵器,搭配14F可降解封堵器输送系统行ASD封堵。采用先VSD后ASD的封堵策略。
手术过程
血流动力学:肺动脉压力检查,压力为28/16(17)mmHg,为正常范围,Qp:Qs=1.5,PVRI=1.7,Pp:Ps=0.24;Rp:Rs=0.1。
术前造影:室间隔缺损处造影,造影显示有膜部瘤形成,测量缺损大小,左侧基底大小10.8mm,右侧分流口2处,分流大小约2mm。

室间隔缺损介入封堵
根据术前测量和术中造影结果,选择MemoSorb全降解封堵器ABFDQ-Ⅱ08,配合8F可降解封堵器介入输送系统进行封堵。
建立输送轨道


飘导丝法导丝过室间隔缺损
圈套器抓捕导丝


送入8F输送鞘
改变输送鞘方向
使输送鞘朝向心尖
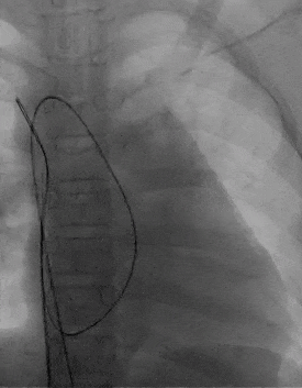
展开左右盘面


左盘展开
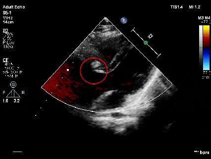
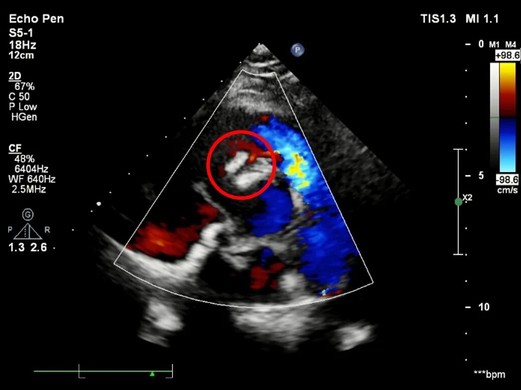
右盘展开并造影
基本无残余分流
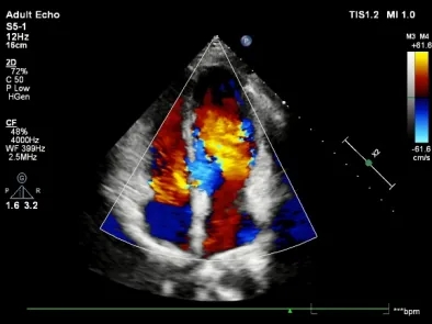
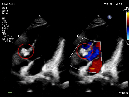
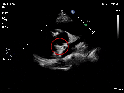
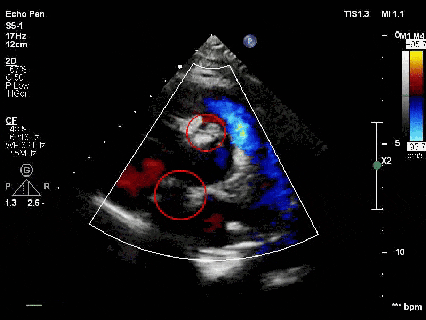
释放前超声


释放前超声下封堵器型态良好,骑跨室间隔两侧
释放封堵器

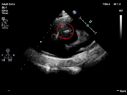
释放后超声


房间隔缺损介入封堵
根据术前测量结果,选择MemoSorb可降解ASD封堵器BDASD-I 14,配合14F可降解封堵器介入输送系统进行封堵。
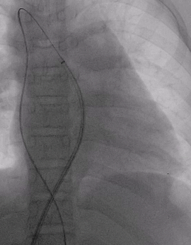
建立输送轨道



导管导丝送入左上肺静脉
加硬导丝送入左上肺静脉,送入14F输送鞘
送入BDASD-I 14可降解ASD封堵器
展开左右盘面

左盘展开

右盘展开
锁定与牵拉试验

释放封堵器


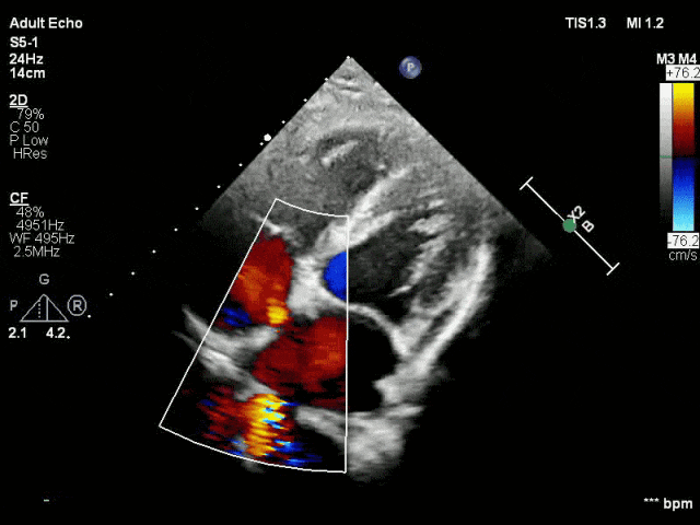
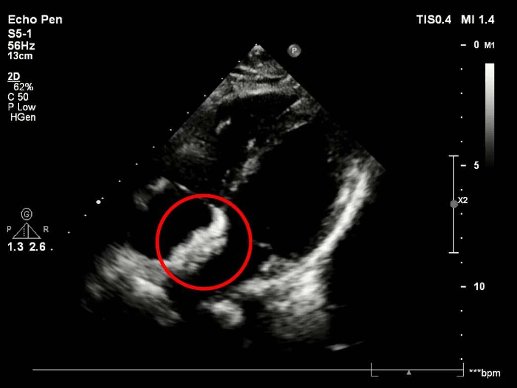
释放后超声


超声下可见室水平和房水平都无残余分流
术后用药
阿司匹林100mg qd
术后复查

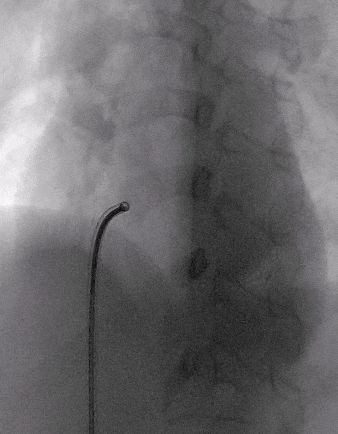
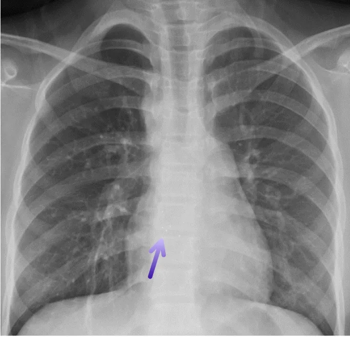
术后复查胸片

术后复查心电图,无房室传导阻滞
术后一个月复查
术后随访:
术后随诊1个月
无头痛
无残余分流
无并发症
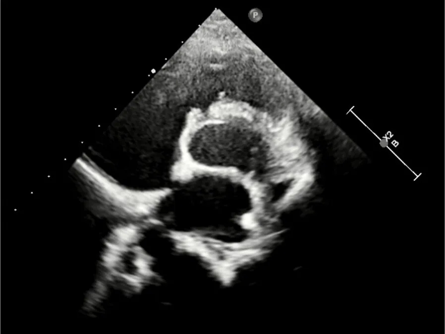
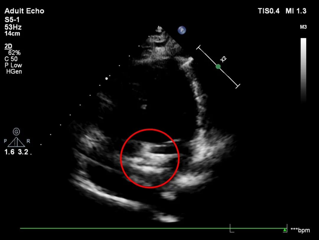
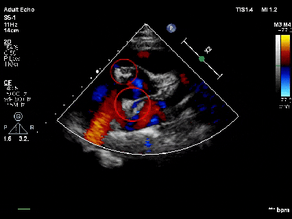
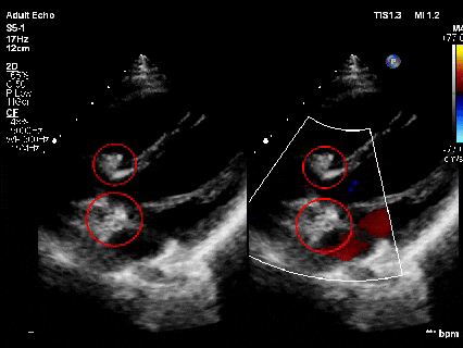
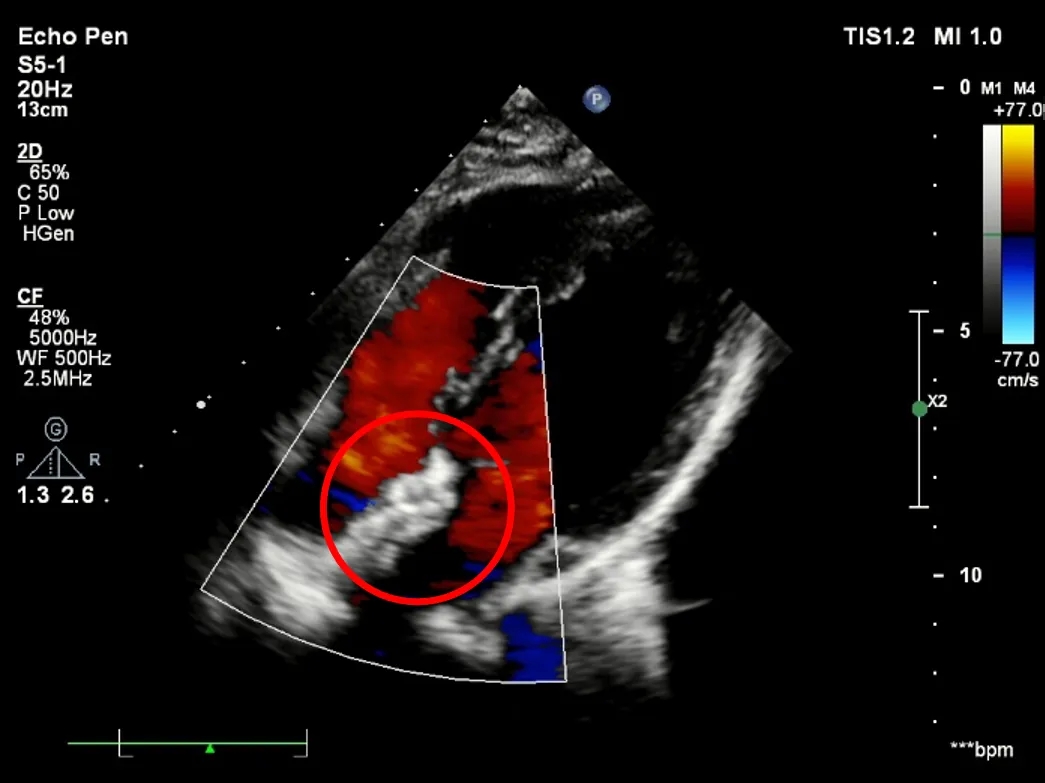
心脏彩超:心脏超声下可见两个封堵器双盘稳固夹持,无残余分流;




术后1个月心脏超声,房室水平皆无残余分流
小结
本例患者经胸超声检查时,发现其同时患有继发孔型房间隔缺损(约5mm)和室间隔膜部缺损(基底大小11.3*10.5mm,分流口大小3.6mm)。综合评估两处缺损的封堵难易度及封堵后对周围血流及组织结构的影响,选择优先行VSD封堵。又因患儿仍处生长发育期,与家长沟通后决定选择使用可降解封堵器进行本次手术。两枚封堵器成功释放后,超声下观察封堵器形态位置良好,稳定夹持缺损。术后1个月复查房室水平皆无分流,封堵手术成功。
本病例成功实现了室缺+房缺的双降解同步植入,一次手术同时解决房缺与室缺两处缺损,突破了传统治疗可能面临的困境,并且避免了金属长期植入的远期并发症。可降解封堵器采用生物高分子材料制成,植入后一年左右降解为水和二氧化碳,降解过程与心脏组织修复同步进行,既能实现有效封堵又能实现长远保障,尤其适合儿童患者的生长发育需求,实现生理与心理的双重获益。
由于可降解封堵器的影像学特性,术中需结合DSA影像及超声监测完成手术,对术者操作有更高的要求。对于复合性先天心脏畸形,只要解剖条件合适,因可降解封堵器封堵的残余分流发生率低,术中同时应用多个可降解封堵器是可行的方案。可降解封堵器目前临床应用已取得显著成效,本中心近1年的随访数据验已验证其安全性和普适性,更长期的随访数据有待进一步观察研究。
感谢深圳市儿童医院李博宁教授团队的病例分享
-END-
23.9mm大型房缺 | 可降解封堵器成功治疗主动脉侧无缘ASD一例

扫码观看可降解学苑精彩内容
-END-
专业的心血管医生学术交流平台


版权及免责声明:
本网站所发表内容知识产权归属医谱平台、主办方以及原作者等相关权利人,未经许可,禁止进行复制、传播、展示、镜像、转载、摘编等。经授权使用,须注明来源,否则将追究其法律责任。有关作品内容、版权和其他问题请与本网联系
发表留言
暂无留言
输入您的留言参与专家互动