正逆向策略灵活转换开通LAD近段CTO长病变一例

正逆向策略灵活转换开通LAD近段CTO长病变一例
患者病史
”
患者信息
间断胸痛9个月。
患者9个月前无明显诱因下出现胸痛,剑突下为主,持续约30min后自行缓解,伴大汗淋漓,恶心呕吐,后未出现类似症状,未予以重视。一个月前查体行心电图V1/V4中Q波异常、ST-T异常。行冠脉CTA示LM管壁见混合斑块,管腔未见明显狭窄;LAD近段、中段管壁见混合斑块,以非钙化为主,管腔重度狭窄;RCA近段管壁见非钙化斑块,管腔轻度狭窄;中段、远段未见狭窄。半月前行CAG,LAD近段完全闭塞,TIMI0级;RCA近段50%狭窄,TIMI3级。患者现为偶有活动后呼吸困难入院。
无高血压、糖尿病、高脂血症病史。
吸烟30年,20支/天。
检查及诊断
实验室检查
· 入院后血常规 Hb 149g/l 血小板 272*10^9/l
· 尿粪常规(-)
· 肝功能 ALT22u/l AST21u/l
· 肾功能 SCR 84umol/l
· 血脂 TG 1.21mmol/l TC 2.75mmol/l LDL1.67mmol/l LP(a) 191mg/l
· 血糖 4.13mmol/l 糖化 6.3%
· 甲状腺功能(-)
心电图

心脏超声
· LVEF 46.9%
· 节段性室壁运动障碍(室间隔、心尖部)
· 左房增大,左室高界,左室整体收缩功能低
· 中度二尖瓣关闭不全
· 轻度三尖瓣关闭不全
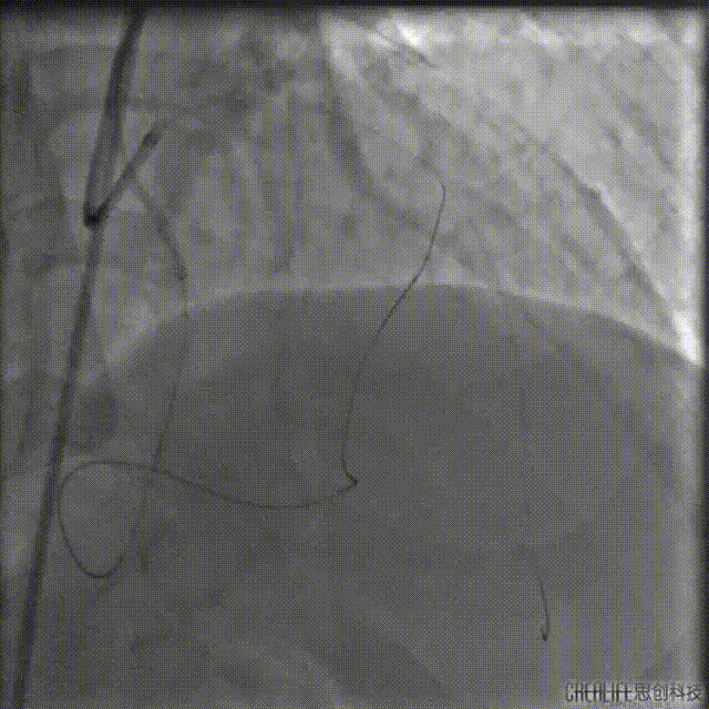
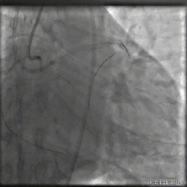
冠脉造影结果




前降支:根部闭塞,中间支弥漫粥样硬化斑块,狭窄最重约50%,TIMI血流3级。
回旋支:远段狭窄50%,TIMI血流3级。
右冠脉:近段狭窄20%,管壁不规则,TIMI血流3级,通过间隔支及心外膜支向LAD发出侧枝循环。
手术方案
”
病变特点
前降支根部完全闭塞:起始处疑似存在微小通道。
闭塞段长且复杂:长度>20mm,近段伴有钙化,远端出口处血管细小且位于分叉部位,导丝进入LAD中段真腔困难,手术难度高。
逆向侧枝条件:右冠(RCA)提供多支逆向侧枝,间隔支侧枝可作为逆向通路。但多数侧枝走形扭曲,仅少数显影清晰,逆向通路挑战大。
手术策略
首选正向攻坚:LAD近端疑似微孔道,可尝试平行导丝技术,灵活切换导丝升级(硬导丝穿透)或降级(软导丝探查),力争进入远端真腔。
备选逆向方案:若正向反复失败,则启动逆向介入。需克服侧枝扭曲难题,可能联合以下技术:
· AGT(主动迎客)
· RG3导丝体外化(建立逆向-正向轨道)
· Rendezvous(逆向微导管引导正向导丝)
· Re-CART(逆向内膜下重回真腔)
知识点总结:
· 钙化+长闭塞:易导致导丝通过困难,需结合IVUS 或旋磨辅助。
· 分叉部位出口:需保护分支血管,避免丢失重要血流。
· 扭曲侧枝逆向:微导管支撑+轻柔操作是关键,防止侧枝损伤。
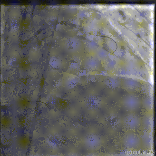
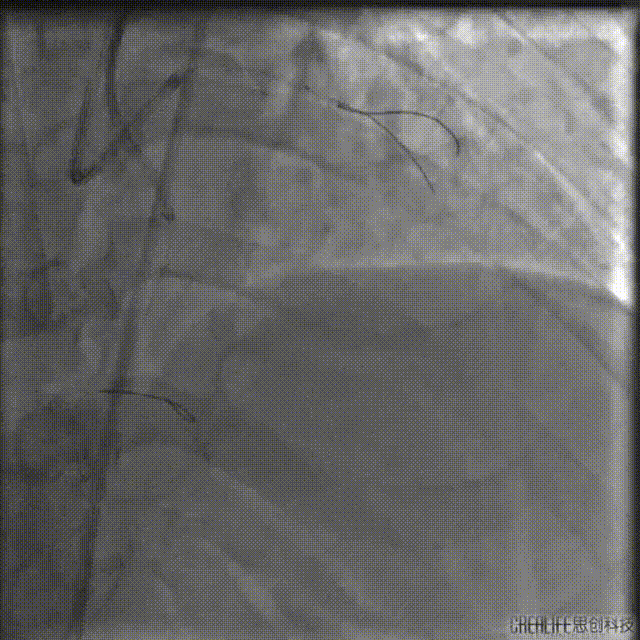
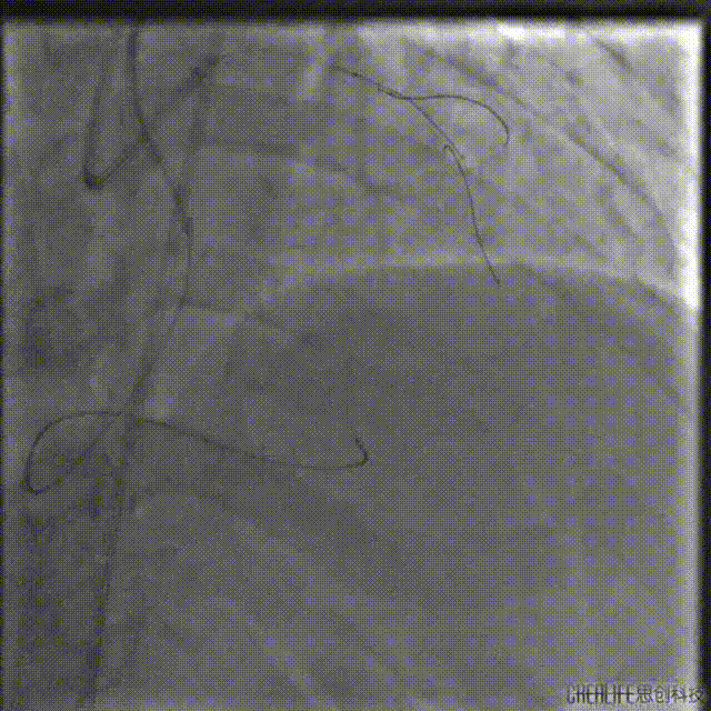
手术过程
”
微导管辅助下尝试正向开通


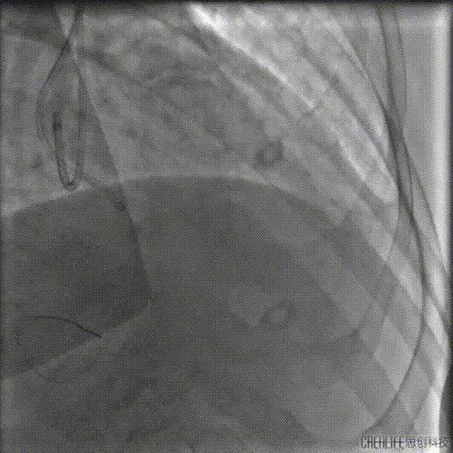
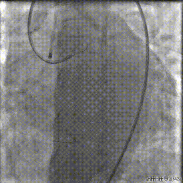
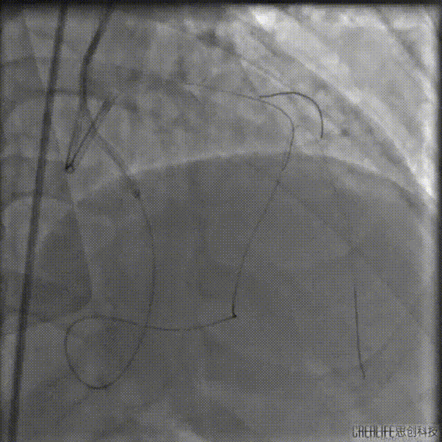
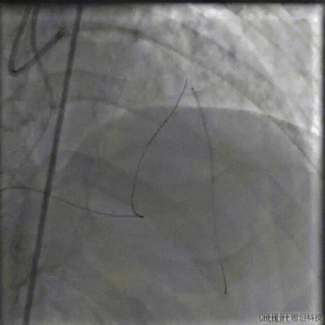
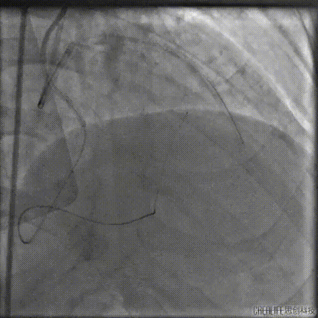
左冠:7Fr EBU3.5;右冠:7Fr AL1.0;Runthrough导丝送至RCA远端,LAD送P200导丝在微导管支撑下进入CTO病变体部。


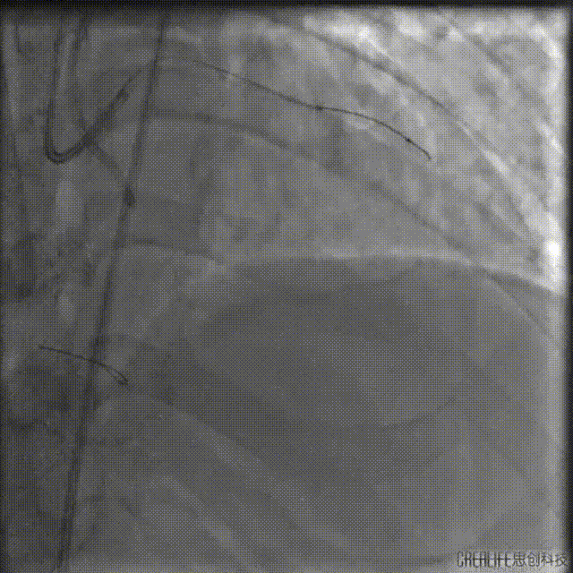
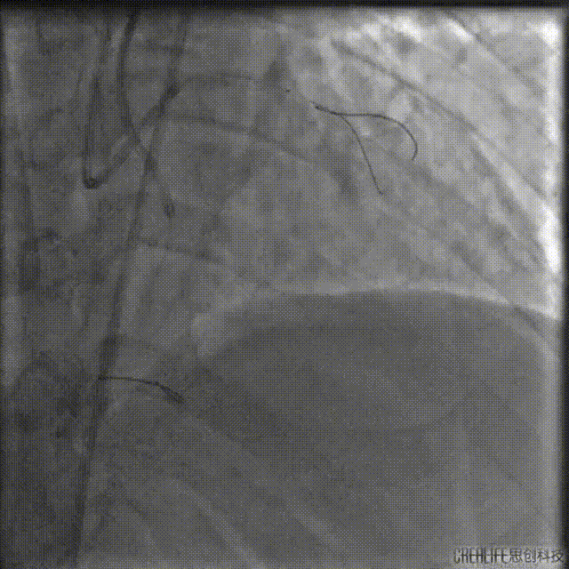
P200导丝反复调整仍无法突破CTO病变远段,遂走行至D1,通过逆向造影进一步确认。



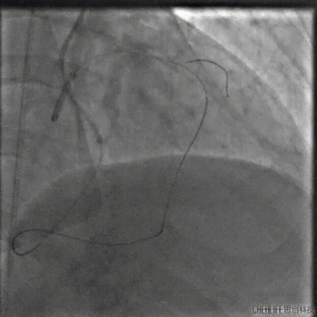
送入双腔微导管增强支撑,并送入第二根P200导丝继续尝试正向进攻,未能进入LAD中段真腔。
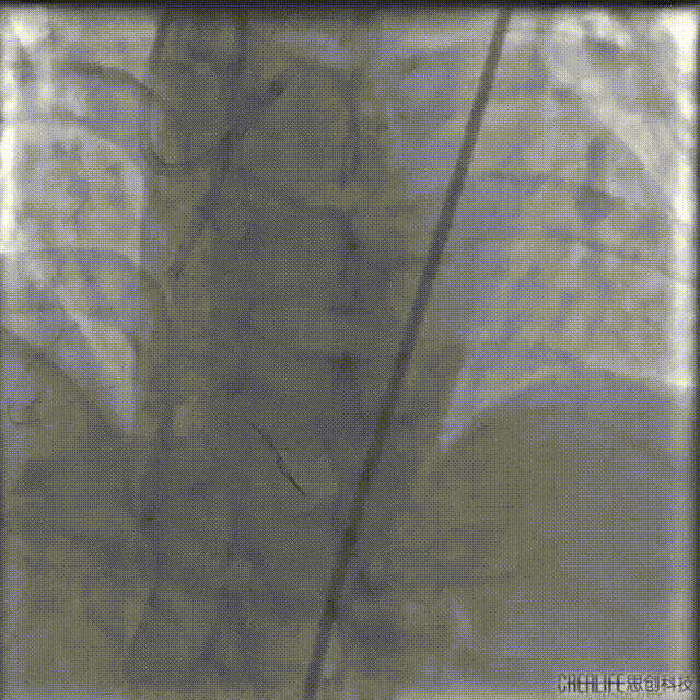
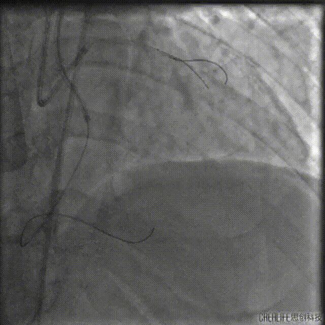
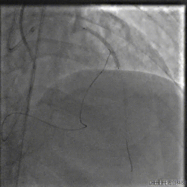
撤出微导管,1.5mm球囊扩张LAD近段后,送入IVUS导管,明确LAD近段导丝是否走行在真腔内,观察LAD在D1分叉处的开口位置,指导CTO导丝的进攻方向。

回撤显示导丝位于真腔,分叉处CTO入口在11-12点处,遂在X线影像中标记入口位置。



重新送入双腔微导管及P200导丝,在CTO入口处尝试进入远端真腔,但反复调整导丝仍未成功。
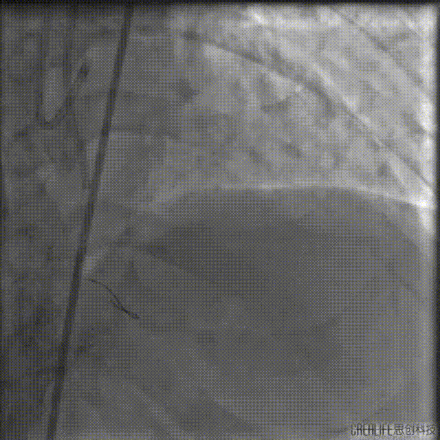
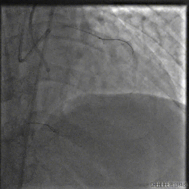
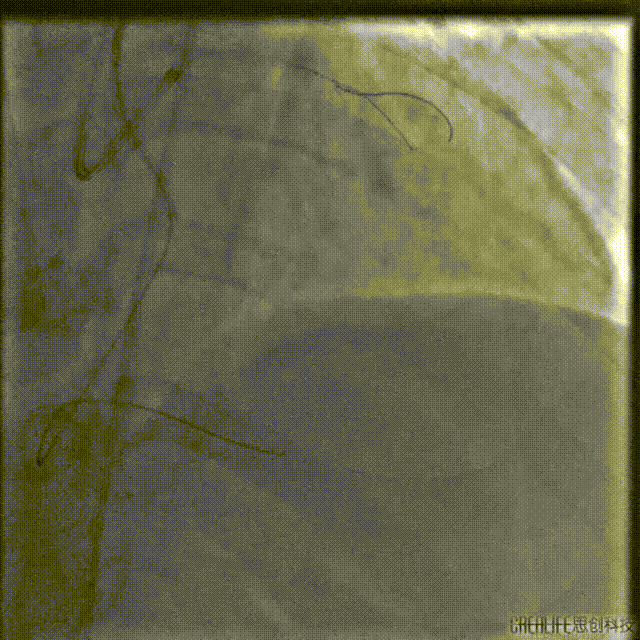
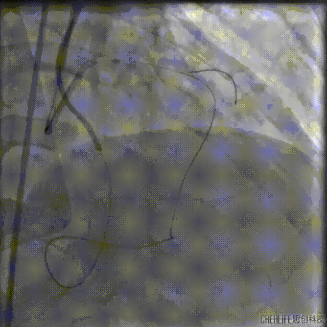
启动逆向开通


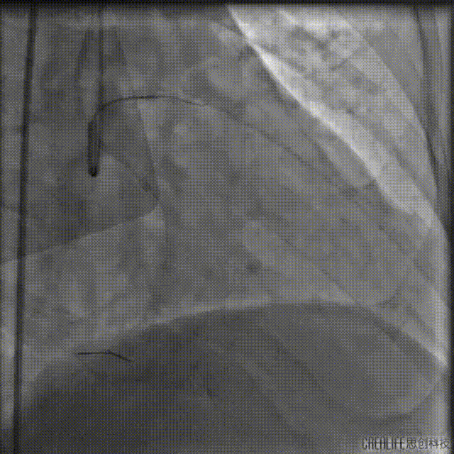
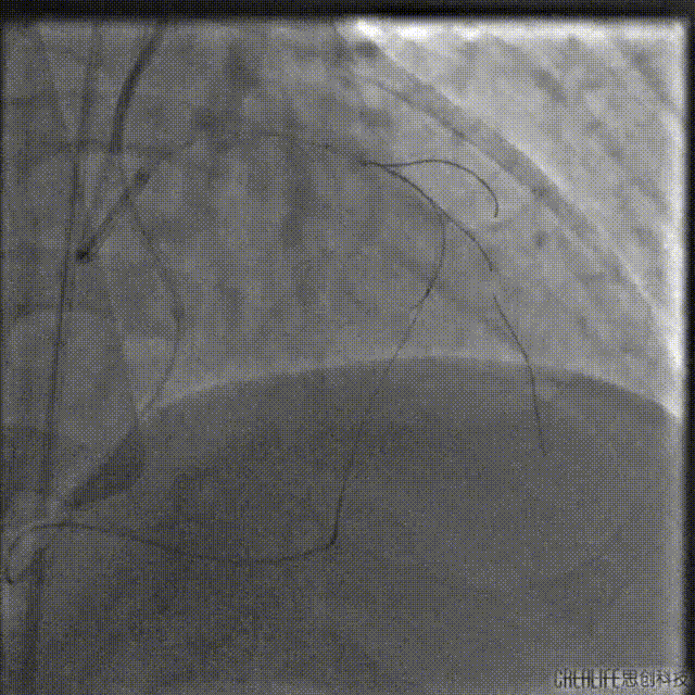
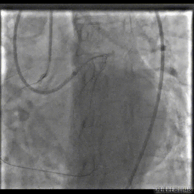
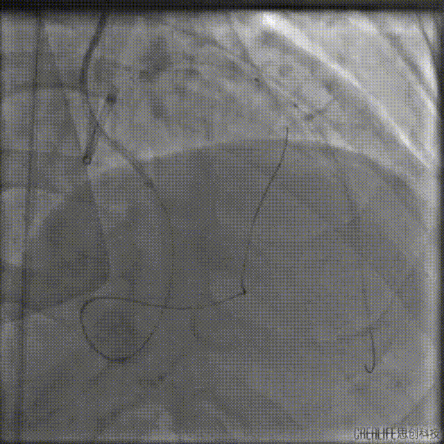
考虑间隔支侧枝纤细且存在显著成角迂曲,选择1.5F HighTrack微导管作为逆向微导管,支撑SION导丝进入侧枝。


SION导丝受限于严重迂曲无法通过,遂更换为SUOH 03导丝,通过侧枝走行至LAD闭塞处后反向前送至LAD远段,HighTrack微导管通过侧枝跟进至分叉处。


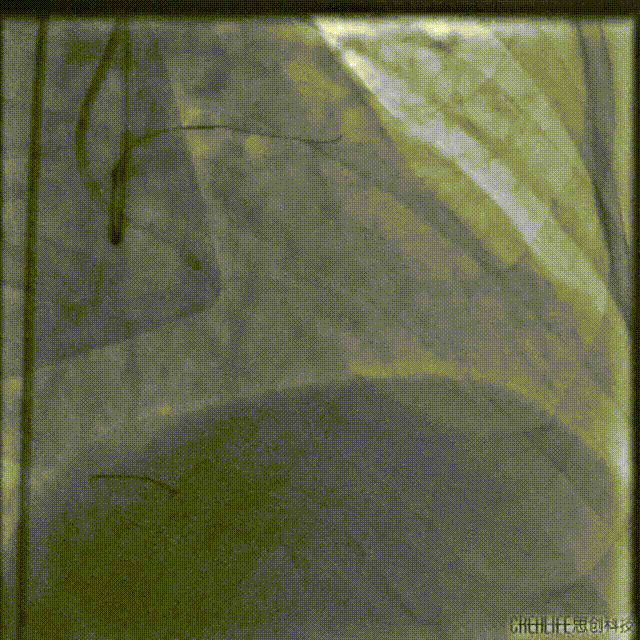
逆向导丝更换为P200后仍不能突破CTO远端纤维帽至LAD近段,遂调整前向导丝Kissing逆向导丝进入间隔支,送入1.5mm球囊扩张LAD至间隔支。


试图用SUOH03 逆向Knuckle至LAD近段未成功,遂将SUOH03导丝推送至LAD远段。
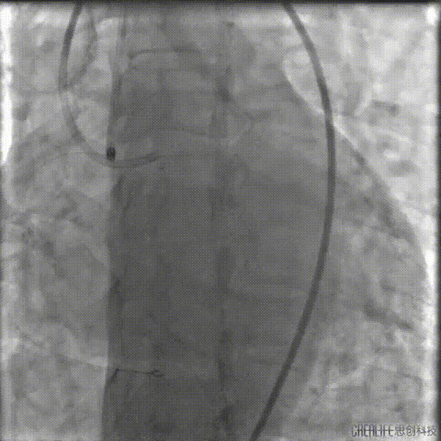
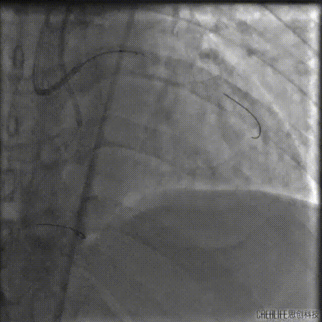
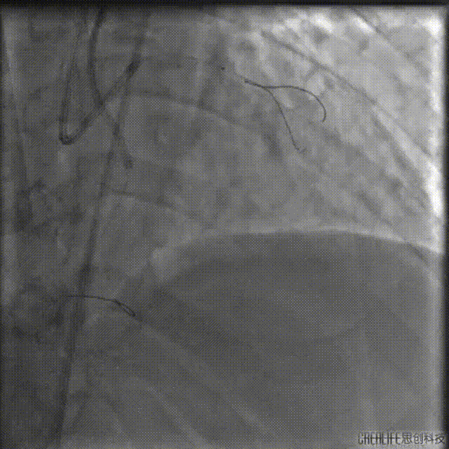
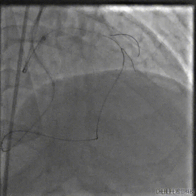
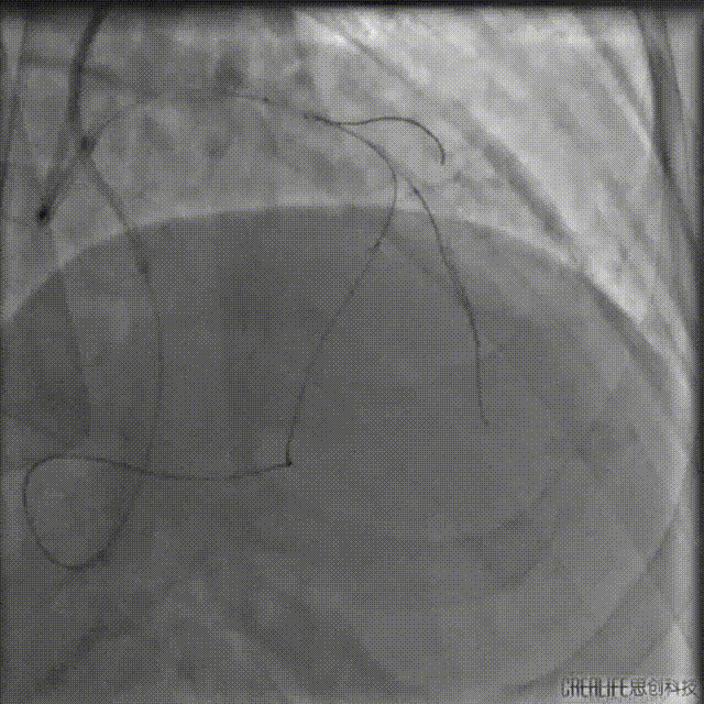
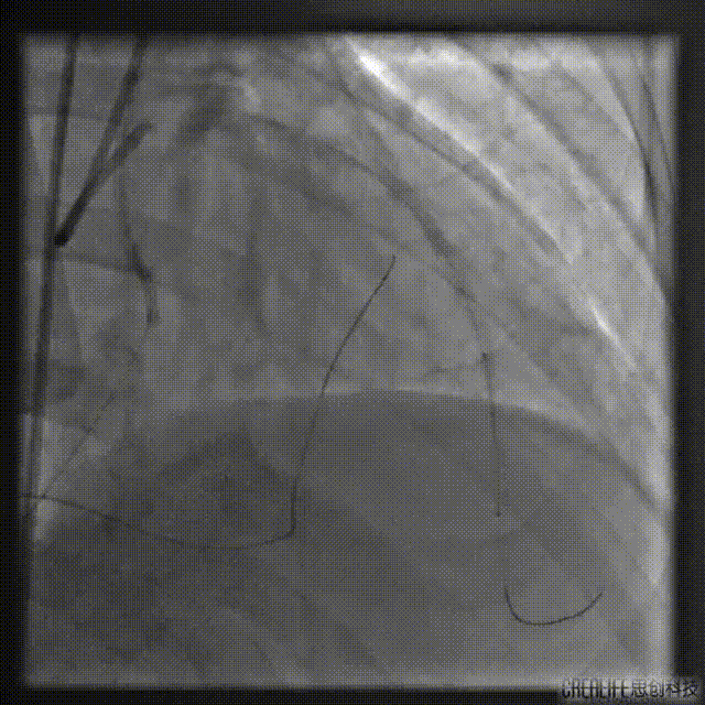
再次尝试正向开通




通过双腔微导管送入P200导丝Kissing逆向导丝,最终在肝位Kissing进入LAD远段。


送入2.0*20mm球囊对病变段进行扩张。

再次送入IVUS超声导管至LAD远段回撤,结果显示导丝全程位于真腔,近端见钙化及少量血肿。



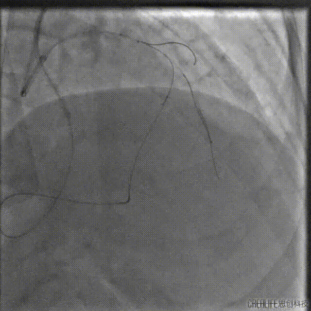
由远及近串联植入2.5*36mm、2.75*36mm、3.5*29mm支架三枚。


支架释放后造影,中段支架膨胀欠佳。



2.5*15mm球囊后扩时球囊发生断裂,导丝旋转缠绕后撤出左侧指引导管。
球囊杆断裂的处理方法:
断端在GC内:球囊断开的软段还在GC内,选择再送入导丝和球囊锚定后撤出。
断端在升主动脉:使用抓捕器,尤其断裂段在升主动脉,球囊断端以远没有坚硬的部位,紧紧抓住后收到GC内也是很好的方法,注意精细操作抓捕。
断端在冠脉内:选择抓捕法或导丝缠绕法,这两种方法的困难点在于把导丝通过球囊送到远端,其中抓捕法应该比较难实现,在近段可以进行尝试,选择自制抓捕器,同时使用延长导管辅助抓捕。对于缠绕法,需考虑导丝从支架中心腔通过的问题,还包括导丝能否顺利缠绕,能否顺利回拉,延长导管能否成功跨过血管近段病变跟入等等困难。



IVUS查看见支架远端局部血肿,遂远段植入2.25*29mm支架,并送入2.5*15mm球囊后扩,并用4.0*12mm球囊后扩近段支架。
最终造影结果


复查造影未见明显狭窄,TIMI血流3级。
术后体会
-
目前CTO病变介入治疗技术套路已趋向成熟,正向技术中平行导丝技术非常重要,术者需要不断练习。
-
对于逆向侧枝,不同体位的清晰造影非常重要,这有助于术中逆向侧枝的选择。
-
在逆向CTO介入治疗时,若逆向侧枝高度扭曲,侧枝导丝选择及微导管的选择非常重要,逆向导丝可考虑SUOH03导丝,逆向微导管优先选择外径小,远端细且薄,通过性好的微导管。
-
逆向导丝通过侧枝后,常规的体外化操作包括AGT、Rendezvous、Reverse CART、RG3体外化等,但本例手术因逆向导丝不能送入LAD近段,只能推进至LAD远段,遂以逆向导丝为路标,采用前向导丝Kissing逆向导丝的方法,最终将前向导丝送入LAD远段真腔,这一操作方法在类似病例中值得参考借鉴。
术者介绍

李春坚
南京医科大学第一附属医院

陶志文
南京医科大学第一附属医院
-END-
专业的心血管医生学术交流平台


版权及免责声明:
本网站所发表内容知识产权归属医谱平台、主办方以及原作者等相关权利人,未经许可,禁止进行复制、传播、展示、镜像、转载、摘编等。经授权使用,须注明来源,否则将追究其法律责任。有关作品内容、版权和其他问题请与本网联系
发表留言
暂无留言
输入您的留言参与专家互动