TEER成功治疗宽大交界区脱垂
患者术前资料
患者76岁老年男性,主因“间断胸闷、乏力2年,加重半个月”入院,患者自2年前出现活动后胸闷,伴有乏力、心悸及头晕,时有恶心、呕吐等,后就诊于当地医院,诊断为“心力衰竭、二尖瓣、三尖瓣关闭不全”,给予沙库巴曲缬沙坦、琥珀酸美托洛尔、螺内酯等药物治疗,患者自觉症状无明显缓解,且活动耐量较前逐渐下降。近半个月来上述症状明显加重,快走后即可发作胸闷喘憋,偶伴头晕,休息后可缓解,伴有出汗、乏力等不适,后就诊于当地医院,行超声心动图提示二尖瓣脱垂伴重度关闭不全,后为求进一步诊治由门诊收入院。既往史无特殊。
入院体格检查:体温36.5 ℃,脉搏 68次/分,呼吸 18次/分,血压 124/81 mmHg,身高171cm,体重67kg。患者神志清,精神可,未闻及异常呼吸音,心律齐,二尖瓣听诊区可闻及3/6级收缩期杂音,双下肢无水肿。心电图示窦性心律,B型预激综合征。
超声心动:二尖瓣脱垂(PC区)合并腱索断裂,二尖瓣反流(重度,4+级,Carpentier II),左房增大,主动脉瓣狭窄(轻度),三尖瓣反流(轻度)。
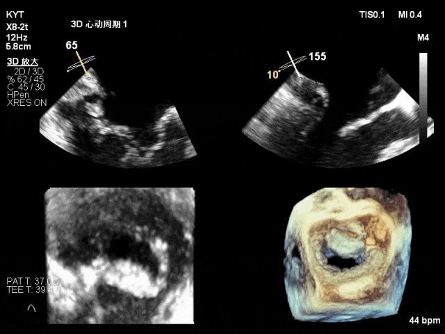
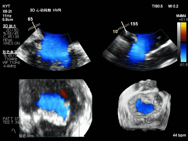
术前超声评估结果:
二尖瓣PC区收缩期脱向左房侧,其上可见飘带样回声。二尖瓣口左房侧见大量反流信号,主要呈偏心性并沿前叶走行达房顶并折返。

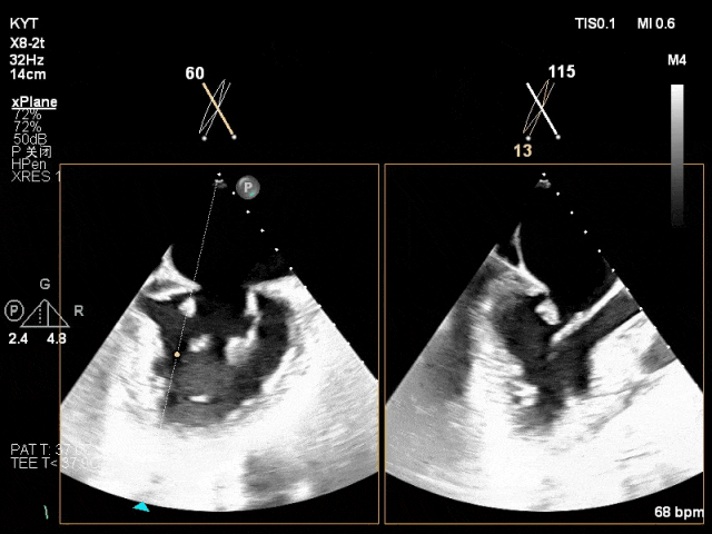
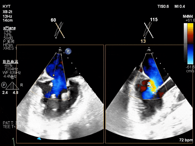
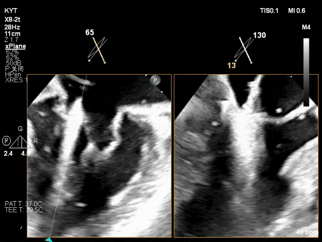
术前TTE及TEE影像:


TTE 左心室长轴切面with color Doppler
TTE 四腔心切面with color Doppler


TEE X-plane示二尖瓣内交界区脱垂
TEE X-plane with color Doppler

TEE 3D示二尖瓣内交界区脱垂及断裂腱索
术前诊断:
1.心脏瓣膜病 二尖瓣关闭不全(重度)
2.心力衰竭 心功能III级(NYHA分级)
3. B型预激综合征。
手术策略
1.患者为PC区“大舌头样”脱垂,后叶短小长度仅有4-5mm,脱垂范围较宽,分型为Carpentier II 型,但同时也存在心脏扩大对引起的后叶栓系所致二尖瓣对合不良,考虑为DMR+FMR;
2.结合患者二尖瓣内交界宽大脱垂、后叶较短的解剖特征,拟采用第一枚夹子首先钳夹前叶和交界组织,再于靠近中央区放置第二枚夹子以提供更加稳定的夹持作用。
手术过程
患者取平卧位,气管插管全麻,右侧颈内静脉置入中心静脉置管,左侧烧动脉穿刺置管监测动脉压力。术区无菌消毒铺巾,穿刺右股静脉,使用20F鞘扩张皮下及血管后。在食道超声引导下穿刺房间隔成功,予肝素6000单位,保持ACT>250秒。

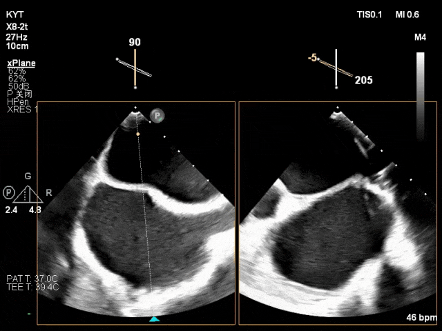
TEE X-plane引导下房间隔穿刺,穿刺高度4.2cm
将Superstiff导丝送至左房,沿导丝将可操控导引导管送入左房。将MitraClip导管输送系统送至左房,在X线和食道超声指引下,调整成形夹位置,送入左心室,使用NTR二尖瓣夹两枚,钳夹反流区域,超声显示反流明显减少,多切面证实夹合组织充分,释放成形夹。



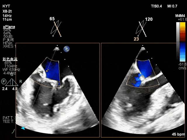
TEE X-plane及Multiview引导下放置第一枚NTR夹合器,夹持PC脱垂组织及前叶


放置第一枚NTR夹合器后的TEE 3D影像,瓣叶脱垂明显改善



TEE X-plane及Multiview引导下在靠近中央区位置以11-5点左右角度放置第二枚NTR夹合器
在X线和食道超声指引下,撤出导引导管和输送系统,缝合右股静脉穿刺点,应用弹力绷带加压包扎。血压心率平稳,拔除气管插管,返回病房。
手术心得
1.术前超声清晰分析交界区,前叶,后叶以及与主要JET之间的关系对决策至关重要,本例患者PC脱垂,P3内侧瓣叶短小,不能提供稳定的夹合,JET主要来自于PC。
2.控制反流,消除脱垂,稳定的夹合,提供良好的对合缘和足够的瓣膜开口面积是经导管缘对缘修复的目标,夹合方法可以在达到目标的前提下根据病变特点探索,复杂病变不能墨守成规,本例患者第一枚夹子夹合A3和PC,消除脱垂,第二枚夹子夹合A3和P3,稳定第一枚夹子,消除残余反流和脱垂瓣叶,整理瓣膜的对合缘,取得了优异的效果。
3.第二枚夹子的夹合方向调整需要仔细,耐心操作,务必形成良好的对合缘,同时需要避开P3瓣叶过短处,提供稳定的夹合。
专家简介





席子惟,医学博士,首都医科大学附属北京安贞医院心脏瓣膜病介入中心住院医师。
主要从事心脏瓣膜病、冠心病等领域的临床和研究工作,第一作者/共同第一作者发表SCI论文12篇,10分以上2篇,最高影响因子>18分。
-END-
专业的心血管医生学术交流平台


版权及免责声明:
本网站所发表内容知识产权归属医谱平台、主办方以及原作者等相关权利人,未经许可,禁止进行复制、传播、展示、镜像、转载、摘编等。经授权使用,须注明来源,否则将追究其法律责任。有关作品内容、版权和其他问题请与本网联系
发表留言
暂无留言
输入您的留言参与专家互动