安贞医院宋光远教授团队:TAVR+PBMV一站式手术治疗重度主动脉瓣狭窄合并重度二尖瓣狭窄一例
在多瓣膜病高龄患者管理中,一站式介入策略正成为减少手术风险、提升总体预后的重要方向。近日,首都医科大学附属北京安贞医院宋光远教授团队成功为一例82岁合并重度主动脉瓣狭窄及重度二尖瓣狭窄的高危患者实施TAVR+PBMV 一站式介入治疗。手术在多学科团队协作下顺利完成,为多瓣膜联合疾病的微创治疗提供了新的临床实践参考。
患者术前资料
基本情况:82岁,女性。
主诉:间断胸闷1年余,加重1月。
现病史:1年前患者于呼吸道感染后出现持续胸闷,当地医院诊断为“主动脉瓣重度狭窄,心力衰竭”,予琥珀酸美托洛尔缓释片47.5mg qd、螺内酯20mg qd以及呋塞米20mg qd治疗后症状改善,偶有胸闷发作,每次发作持续5分钟左右。半年前患者再发胸闷,症状与活动无明显关系,含服速效救心丸后数分钟可缓解,外院行冠脉CTA示冠脉三支病变、多发狭窄伴重度钙化,诊断为冠心病,予氯吡格雷抗血小板及降压治疗。1月前胸闷症状较前频繁,平均每日发作1-3次,多于活动及睡眠欠佳时出现,每次持续10分钟左右,吸氧后缓解。为求进一步诊治收住我院。
既往史:高血压病史60年,外周动脉粥样硬化病史5年,冠心病病史半年。
体格检查:
T 36.2°C,P 78bpm,RR 18次/分,BP 125/70mmHg。听诊双肺听诊未闻及干湿啰音;心律不齐,有早搏,胸骨右缘第二肋间主动脉瓣听诊区可闻及3/6级收缩期喷射样杂音;左下肢轻度凹陷性水肿,右下肢无水肿。
实验室检查:
血常规:WBC 7.15*10^9/L,NE 4.6*10^9/L,RBC 3.56*10^12/L ,HBG 114g/L,PLT 269*10^9/L;尿便常规阴性。血生化:CREA 50.5mmol/L,BUN 6.26mmol/L,ALT 5U/L,AST 16U/L,TBIL 14.69mmol/L,DBIL 5.64mmol/L。
甲功:TSH 5.803mIU/L,T3、T4正常范围。炎症标记物:CRP 5.05mg/L,PCT 0.027ng/ml,IL-6 15.78ng/ml。hsTnI 40.1pg/ml,NT-proBNP 921pg/ml。
其他检查结果未见明显异常。
心电图:窦性心律不齐,一度房室传导阻滞(PR间期240ms)。

超声心动图:主动脉瓣狭窄(重度,Vmax 432cm/s,PG 75mmHg,AVA 0.55cm2)并关闭不全(中度,VCW 3.1mm,反流面积4.2cm2);二尖瓣钙化并狭窄(重度,2D测MVA 1.19cm2,PHT法 0.96cm2);左房增大(LA 53*54*62mm);三尖瓣反流(中度,VCW 5.5mm,反流面积5.64cm2);肺动脉高压(轻度);LVESD 28mm,LVEF 67%。
入院诊断:
1. 心脏瓣膜病
主动脉瓣狭窄(重度)主动脉瓣关闭不全(中度)
二尖瓣狭窄(重度)
三尖瓣关闭不全(中度)
慢性心力衰竭 心功能III级(NYHA分级)
2. 心律失常 房性期前收缩 一度房室传导阻滞
3. 冠状动脉粥样硬化性心脏病 不稳定性心绞痛
4. 高血压病3级(很高危)
5. 外周动脉粥样硬化
入院治疗:
阿司匹林100mg qd
氯吡格雷 75mg qd
瑞舒伐他汀 10mg qn
琥珀酸美托洛尔缓释片 47.5mg qd
苯磺酸氨氯地平 5mg qd
螺内酯片 20mg qd
呋塞米片 20mg qd
氯化钾缓释片 1g bid
雷贝拉唑肠溶胶囊 20mg qd
术前讨论
1. 患者老年女性,有活动后胸闷症状,超声心动图提示瓣上流速大于4m/s,EF值正常,MVA<1.5cm2,考虑患者症状性重度主动脉瓣狭窄(D1期)伴中-重度二尖瓣狭窄诊断明确,且有明确主动脉瓣及二尖瓣干预指征。
2. 患者高龄,且外科手术高危(STS评分8.62%),无明确介入手术禁忌症,经多学科心脏团队讨论并与家属商议后决定施行TAVR+ PBMV一站式介入手术治疗。
3. 患者既往存在冠心病病史,同期行冠脉造影评估冠脉情况,必要时行一站式冠脉PCI。
主动脉CT术前评估
三叶式主动脉瓣,瓣叶钙化。瓣环径 22.2mm,LVOT 21.3mm,瓣上无明显限制,窦部空间可,冠脉高度可。

CT动图




手术入路评估
手术入路方面,主动脉弓大弯侧弥漫性钙化,降主动脉粥样硬化伴钙化,右侧髂总动脉近环形钙化,内径稍小。左侧髂总动脉内径可,双侧髂外及股动脉内径可,右股动脉分叉位于股骨头平面下缘,左股动脉分叉均位于股骨头平面中下1/3。

手术过程
患者取平卧位,局麻+镇静,颈内静脉置入中心静脉置管,测中心静脉压3cmH20,左侧动脉穿刺置管监测动脉压力。穿刺右桡动脉置入6F桡动脉鞘管,穿刺右侧股静脉置入6F鞘管,穿刺右侧股动脉预置两把Proglide缝合器,穿刺左侧股动脉置入6F鞘管。将加硬导丝送至升主动脉,沿加硬导丝送入爱德华14F动脉鞘管。穿刺房间隔,予肝素4000单位,ACT大于250秒。经右桡动脉在导丝引导下送脑保护装置分别于头臂干及左侧颈总动脉释放保护。经左股动脉送入5F猪尾导管,在释放体位下行主动脉根部造影。6F JL4.0造影导管行冠脉造影示LAD中段狭窄50%,OM1中段狭窄60%,TIMI血流III级,余冠脉未见明显异常。送入INOUE26mm球囊至二尖瓣处,分别以24mm及25mm直径分别扩张瓣口一次,扩张后超声再次评价,瓣口面积上升至1.5cm2,瓣口返流较前未见明显改变。经右股静脉将临时起搏电极置于右心室心尖部。撤出加硬导丝及球囊,在AL2导管指引下,直头导丝跨瓣至左心室,沿导丝送猪尾导管至左心室,测得跨瓣压差46mmHg,经导管送Angelguide加硬导丝至左心室内,沿加硬导丝送Edwards23主动脉瓣膜系统至主动脉瓣,在释放体位下,以180次/分起搏后,标准容积释放瓣膜,复查造影示瓣膜支架膨胀良好,见少量瓣周漏,撤出瓣膜输送系统。行经胸超声心动图提示:主动脉瓣位为人工瓣回声,位置固定,瓣叶活动良好,见少量瓣周漏级反流。主动脉造影提示主动脉无夹层、出血。撤出14F鞘管,对侧造影,腹主动脉、髂动脉、股总动脉未见明显异常,Proglide缝合股动脉穿刺点,应用弹力绷带加压包扎。撤出脑保护装置,应用桡动脉压迫器止血。手术过程顺利,血压心率平稳,返回病房。
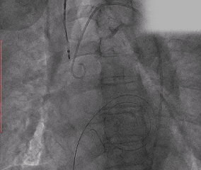
Step 1. 完成房间隔穿刺

Step 2. 放置脑保护装置

脑保护装置捕获碎片情况

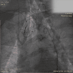
Step 3. 主动脉根部及冠状动脉造影




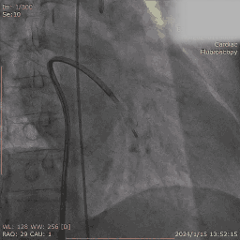
Step 4. 行PBMV术治疗

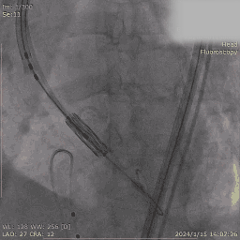
Step 5. 主动脉瓣定位及释放

Step 6. 复查造影示瓣膜支架膨胀良好,少量瓣周漏

Step 7. Proglide闭合主入路股动脉,造影确认未见明显狭窄、渗漏

术后心电图:窦性心律,一度房室传导阻滞,完全性左束支传导阻滞。

术后超声心动图:TAVR术后(主动脉瓣上Vmax 222cm/s,AVA 1.9cm2) 瓣周漏(少量);二尖瓣狭窄(重度,2D测MVA 1.43 cm2,PHT法1.35 cm2)并关闭不全(轻度);三尖瓣反流(重度,反流面积9.0cm2);未见心包积液;LVEF 70%。
手术心得
1. 本例高龄女性患者,主动脉瓣及二尖瓣干预指征明确,行TAVR+PBMV一站式手术。因TAVR术后主动脉瓣狭窄一旦解除需要快速补液,而如果患者仍存在二尖瓣狭窄快速补液将加重肺淤血,因此选择先完成PBMV,解除二尖瓣狭窄后再行TAVR的手术策略。
2. 本例患者需完成一站式手术,术前应对手术步骤进行详细规划,优先完成房间隔穿刺,其后给予肝素抗凝,再依次置入脑保护装置、完成冠脉造影、PBMV及TAVR手术。
3. PBMV和TAVR手术均存在钙化组织脱落导致脑梗死风险。本例患者主动脉瓣钙化重,且合并有主动脉弓大弯侧弥漫性钙化,术中栓塞风险高,采用脑保护装置可减少血栓栓塞风险。
来源:安贞心脏瓣膜病介入中心
专家简介





-END-
专业的心血管医生学术交流平台


版权及免责声明:
本网站所发表内容知识产权归属医谱平台、主办方以及原作者等相关权利人,未经许可,禁止进行复制、传播、展示、镜像、转载、摘编等。经授权使用,须注明来源,否则将追究其法律责任。有关作品内容、版权和其他问题请与本网联系
发表留言
暂无留言
输入您的留言参与专家互动