可降解封堵器成功封堵合并24mm膨出瘤的长隧道PFO一例
南京市第一医院周陵、谢渡江教授团队近日为一名复杂解剖结构(长隧道型PFO合并基底24mm房间隔膨出瘤)患者成功完成介入封堵术。患者临床表现为头痛、短暂性脑缺血发作,神经内科头颅核磁检查无异常,右心声学造影提示Ⅲ级右向左分流。经全面评估,团队应用MemoSorb BDPFO-I 3434生物可降解封堵器,在DSA联合ICE引导下精准植入。术后即刻及出院前超声评估显示封堵器形态良好、无残余分流,体现了可降解封堵器在处理复杂解剖时的安全性与有效性。
患者信息
基础信息:女,62岁。
病史:患者3年前无明显诱因下出现头痛,性质为胀痛,伴头晕,感天旋地转,每次持续30分钟左右,自服止痛药物后可自行缓解。1月前无明显诱因出现左眼视力下降,伴左下肢乏力,活动后胸闷胸痛。持续约10分钟左右,休息后缓解,在神经内科就诊,查头颅磁共振等无明显异常,查右心超声造影检查提示存在大量右向左分流,3级RLS,考虑卵圆孔未闭,予抗血小板、调脂、护胃、改善微循环、营养脑神经等治疗,患者症状稍好转,为求进一步诊治,遂再次入院就诊。
右心声学造影:阳性,右向左分流Ⅲ级。
临床诊断:
中央型房间隔缺损(卵圆孔型)
短暂性脑缺血发作
慢性胃炎
帕金森病
高胆固醇血症
临床策略


ICE下可见明显长隧道PFO
ICE下测量膨出瘤基底24mm
-
选伞考量:术前RLS为大量,ICE下可见明显长隧道PFO,并且合并基底24mm的房间隔膨出瘤,拟选择对称型封堵器BDPFO-I 3434,16F可降解封堵器介入输送系统。
-
术前策略:Mark点可在DSA下作为伞盘展开定位的辅助,采用ICE(心腔内超声)引导,图像清晰,可准确判断封堵器左右盘面展开和封堵器骑跨的情况。
手术过程
导丝过隔

ICE下可见导丝通过缺损
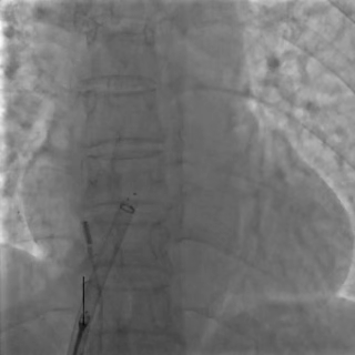
左盘展开


DSA下左盘展开,轻轻牵拉成型线辅助左盘成型,左盘1个Mark点靠近腰部2个Mark点
后撤钢缆和鞘管使左盘贴靠房间隔
右盘展开


后撤鞘管,展开右盘面,DSA下可见右盘1个Mark点靠近左盘和腰部3个Mark点
ICE下清楚显示右盘已展开呈球状,钢缆轻轻前推使其贴靠房间隔
成型锁定

前顶钢缆和鞘管,牵拉成型线进行锁定,DSA下可见4个Mark点聚拢
牵拉试验


DSA下后退鞘管,轻轻牵拉钢缆,4个Mark点相对位置未发生变化,证明锁定成功
ICE下牵拉试验可见封堵器整体移动
释放封堵器


轻轻前抵鞘管,逆时针旋拧钢缆,成功释放封堵器
释放后评估


DSA下可见4个Mark点相对位置保持不变,整体随心博移动
ICE下可见封堵器成型良好,左右盘面牢牢夹持房间隔,且无残余分流,封堵手术成功
出院前评估

超声描述:
各房、室内径正常,主动脉窦部内径正常,升主动脉内径稍增宽。各瓣膜形态、回声及开放活动未见异常。左室壁厚度正常,静息状态下左室壁收缩运动未见明显异常。房间隔中部可见封堵器强回声,位置固定。室间隔回声未见中断。心包及心包腔未见异常。
CDFI:房间隔处未见房水平分流,二、三尖瓣房侧及主动脉瓣下可见少许反流束,测TV反流速度2.3m/s。二尖瓣口舒张期血流速度:E/A>1。组织多普勒显像(TDI):二尖瓣环E′/A′<1。
超声诊断:
卵圆孔未闭封堵术后:升主动脉稍增宽、主动脉瓣反流(轻度)、二尖瓣反流(轻度)、三尖瓣反流(轻度)、左室松弛性异常、左室收缩功能正常。
病例小结
本例患者临床诊断为短暂性脑缺血发作(TIA),右心声学造影提示大量右向左分流,超声下清晰显示长隧道型PFO,并合并基底约24mm的房间隔膨出瘤(ASA)。在完善TIA病因学评估并排除其他可能致病机制后,结合“大量分流+长隧道+ASA”等高危解剖特征,综合判断本次TIA与PFO相关的可能性较高。其潜在机制在于:PFO可形成右向左分流通道,使静脉系统血栓或微栓子绕过肺循环过滤进入体循环并栓塞脑血管,从而导致缺血性脑事件(反常栓塞)[1]。《中国生物可降解卵圆孔未闭封堵器临床操作专家建议》表明术前评估 PFO 封堵术的获益高于介入相关操作风险的 60 岁以上 PFO 相关脑卒中患者可进行可降解PFO封堵(II, B)。
与患者及家属充分沟通后,决定为患者实施PFO介入封堵术。然而,在PFO合并ASA的情况下,封堵难度较单纯PFO明显增加,ASA可导致房间隔活动度增大、腔体形态更复杂,且其异常摆动可能影响封堵器的贴合与稳定性。因此封堵的关键原则在于尽可能使伞盘有效覆盖并稳定夹持ASA活动范围[2]。经综合讨论,决定采用BDPFO-I 3434可降解封堵器,并搭配16F可降解封堵器介入输送系统,在ICE(心腔内超声)全程引导下行PFO封堵,从解剖学上阻断右向左分流通道,以降低未来缺血性脑事件复发风险。该封堵器采用双盘内扣设计,提供足够的支撑力,有效夹合原发隔与继发隔,夹闭房间隔瘤,形成稳定有效的封堵。封堵器使用的生物可降解高分子材料具有良好的柔韧性与自适应性,能够贴合复杂的PFO隧道解剖结构,为组织重建提供稳定的支撑。同时,腰部阻流膜进一步填充隧道,降低残余分流的风险。术后即刻及出院前超声评估均显示:封堵器形态与位置良好,稳定扣合于房间隔两侧,未见残余分流,封堵手术成功,术后患者头痛症状缓解。
感谢南京市第一医院周陵、谢渡江教授团队的病例分享
参考文献:
[1] Kent D M, Wang A Y. Patent foramen ovale and stroke: a review[J]. JAMA, 2025.
[2] 唐红, 孔令秋. 手把手教你学超声心动图[M]. 北京: 人民卫生出版社, 2025.
专家简介




医学博士,南京市第一医院心内科主治医师。
CDQI国家标准化肺血管病中心青年委员。
主要研究方向为先天性心脏病介入治疗及肺动脉高压的诊治工作。
参与多项国家及省市级课题,以第一作者发表SCI及核心期刊数篇。
-END-
文献分享 | 可降解封堵器经皮封堵卵圆孔未闭封堵术后残余分流病例报告

扫码观看可降解学苑精彩内容
专业的心血管医生学术交流平台


版权及免责声明:
本网站所发表内容知识产权归属医谱平台、主办方以及原作者等相关权利人,未经许可,禁止进行复制、传播、展示、镜像、转载、摘编等。经授权使用,须注明来源,否则将追究其法律责任。有关作品内容、版权和其他问题请与本网联系
send a message
暂无留言
输入您的留言参与专家互动