17岁少年PFO诱发TIA伴视觉先兆偏头痛:PannaWire导丝联合可降解封堵器成功治疗长隧道PFO合并左房囊袋
近期,中国医学科学院阜外医院深圳医院卢耀星教授团队应用MemoSorb可降解封堵器在纯超声引导下成功完成一例17mm长隧道伴左房囊袋的卵圆孔未闭(PFO)封堵。患者为17岁青少年,既往3年反复出现以偏颞侧视野缺损为主的短暂性脑缺血发作(TIA)症状,并伴有视觉先兆的偏头痛,发作频繁,已严重影响学习与生活。神经内科考虑PFO-AS,建议行PFO封堵术。术者团队经审慎评估并从患者长远获益考虑,选择BDPFO-Ⅰ 2828可降解封堵器,并在纯超声引导下(PAN技术)完成精准封堵,术后封堵器位置良好,无残余分流。术后一个月随访,患者自述症状较前明显减轻,生活质量显著改善。
患者信息
基础信息:男性,17岁。
病史:患者于3年前开始出现视野缺损,以偏颞侧为主,随后出现偏头痛并伴有视物模糊,伴有恶心、呕吐,持续数小时至1天,予对症治疗后稍有好转,但症状反复发作,多次于外院急诊就诊,已明显影响学习与生活。2月前于外院神经内科完善颅脑MRI平扫+颈椎MRI平扫未见异常,颅内动脉CTA未见明显异常,诊断为短暂性脑缺血发作(TIA)伴视觉先兆的偏头痛,为进一步明确病因,完善经食道右心声学造影提示阳性,右向左大量分流,经评估考虑卵圆孔未闭(PFO),测得隧道长度约17mm、宽约2.5mm。眼科视野检查未见明显异常、双眼OCTA未见异常血流信号。患者近期上述症状发作频率较前明显增加,神经内科考虑PFO-AS,建议行经皮卵圆孔未闭封堵术。


外院食道超声下右心声学造影呈阳性
外院经食道测量PFO长度17mm,宽度2.5mm
术前评估
-
三大常规、生化、凝血功能+D二聚体、抗核抗体谱、狼疮抗凝物抗体、血管炎三项、易栓症三项等未见异常。
-
动态心电图:窦性心律,偶见间歇 A 型预激,ST-T 改变。
-
心脏彩超:各房室腔内径正常范围,室间隔及左、右室壁心肌回声未见异常,各瓣膜形态、结构及启闭未见异常;多普勒检查:二尖瓣及三尖瓣轻度反流,估测肺动脉收缩压29mmHg;心功能:室壁运动协调,收缩幅度正常。组织多普勒:二尖瓣环运动速度e'(间隔侧)12 cm/s,e'(侧壁)18 cm/s。
-
经胸右心声学造影:经左肘静脉注入震荡生理盐水(8mL生理盐水+1mL回抽静脉血+1mL空气经震荡制成),上腔、右房依次显影,造影剂完全充盈右心后,平静呼吸时,左房内即可探及微泡回声,约20-30个/切面/帧;瓦氏呼吸释放即刻,左房内探及微泡回声,不可计数。


术前静息状态经胸右心声学造影(中量)
术前瓦氏动作后经胸右心声学造影(大量)
-
冠状动脉CTA:冠状动脉分布呈均衡型,左前降支中段浅肌桥;余冠状动脉CTA未见明显异常;卵圆孔未闭;左房囊袋。

冠脉CTA(长隧道+大开口+左房囊袋PFO)
术前策略
患者反复出现TIA,神经内科已排除脑血管问题,眼科已排除眼底病变。患者无高血压、糖尿病及吸烟史。结合病史、实验室检查与辅助检查,并参照2024年《卵圆孔未闭规范化诊疗中国专家共识》,依据PASCAL分类系统:RoPE 评分9分+PFO高危剖学特征4分(长隧道17mm+宽度2.5mm+大量RLS+左房囊袋),提示TIA很可能与卵圆孔未闭相关。但动态心电图提示偶见间歇A型预激ST-T改变,仍需进一步评估患者是否存在心动过速?是否合并左侧旁路?并据此判断是否需要经房间隔穿刺行射频消融术?与心律失常科MDT讨论后,建议在局麻下行一站式介入手术:先行心内电生理检查备射频消融术,再行卵圆孔未闭介入封堵术。
手术器械的选择:该患者为复杂型卵圆孔未闭,PFO隧道长约17mm、宽约2.5mm,并合并左房囊袋,同时继发隔与主动脉根部距离较近。在此解剖条件下,如选用较大规格封堵器,可能出现“抱”主动脉窦的情况,若采用金属封堵器,存在残余分流及远期组织磨蚀等潜在风险。相比之下,生物可降解封堵器整体更为柔韧,左右盘锁定后与周围组织贴合性更佳,植入后对相邻结构的压迫更小,从而降低机械性损伤风险。封堵完成后,器械可在体内逐渐降解,最终转化为二氧化碳和水排出体外,有助于进一步降低远期长期异物相关并发症风险。
手术引导方式的选择:相比于传统DSA引导介入技术,应用阜外原创的超声引导介入技术(PAN手术)对于生物可降解卵圆孔未闭封堵手术更具优势,超声引导在可降解封堵器手术中全程清晰显示封堵器,精准引导、即时效果评价。该患者处于青春发育期,生殖系统还可能在发育阶段,超声引导避免了辐射风险,也是一种更安全的治疗方法。
临床策略
患者先由心律失常科刘俊教授团队在 ICE(心腔内超声)辅助下行心内电生理检查术。经各种刺激及静滴异丙肾上腺素后刺激,均未能诱发心动过速,静推ATP 20mg出现房室传导阻滞时,未见QRS波形态改变,考虑患者不存在房室旁路的可能。此后由结构性心脏病卢耀星教授团队进一步行经胸超声引导下生物可降解卵圆孔未闭封堵术。
选伞考量:考虑到隧道较长,并且合并左房囊袋,最终选择BDPFO-Ⅰ 2828可降解封堵器,配合14F可降解封堵器介入输送系统实施介入封堵。
手术过程
PannaWire多功能导丝辅助过隔


剑下双房切面下PannaWire多功能导丝配合MPA2导管送至右心房
大动脉短轴切面下PannaWire多功能导丝进入隧道并顺利通过卵圆孔

PannaWire多功能导丝确定位置并放置左上肺静脉建立轨道
送入输送鞘


沿PannaWire多功能导丝送入14F输送鞘
撤出PannaWire多功能导丝及输送鞘内芯,出现双轨征
左右盘面展开


左盘展开,轻轻牵拉成型线辅助左盘成型,后撤钢缆和鞘管使左盘贴靠房间隔
后撤鞘管,展开右盘面,钢缆轻轻前推使其贴靠房间隔
锁定前观察



锁定前多切面观察,确认封堵器左右盘面稳定骑跨于房间隔两侧
成型锁定

前顶钢缆和鞘管,牵拉成型线进行锁定
锁定后牵拉试验


锁定后,封堵器形态良好,超声下多切面进行牵拉试验,可见封堵器整体移动,右盘面未被拉开
释放前二次锁定


释放前进行二次锁定
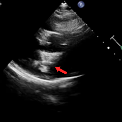
主动脉短轴切面下,封堵器呈Y字型抱住主动脉根部,夹持稳定
释放封堵器

剪断成型线并撤出体外后,轻轻前抵鞘管,逆时针旋拧钢缆,成功释放封堵器
释放后观察



释放后多切面下观察,封堵器位置正确、形态良好、夹持稳定,封堵手术成功
术后随访
术后1周随访
术后1周复查心脏彩超提示可降解封堵器形态位置良好,无残余分流,周围其他结构无异常。



术后1月随访
术后1月随访,患者自述症状较前明显减轻,复查心脏彩超提示可降解封堵器形态位置良好,无残余分流,周围其他结构无异常。



病例小结
本例患者17岁,3年前起反复出现以偏颞侧为主的视野缺损,继而发作性偏头痛,常伴视物模糊及恶心呕吐。对症治疗仅可短暂缓解,症状频繁复发并多次急诊就诊,已严重影响学习与生活。2个月前外院神经内科初步诊断为短暂性脑缺血发作(TIA)伴视觉先兆的偏头痛;经食道右心声学造影阳性,Valsalva后出现右向左大量分流,评估提示卵圆孔未闭(PFO)隧道长约17 mm、宽约2.5 mm。近期症状较前明显增频,外院神经内科考虑PFO相关卒中(PFO-AS),建议行经皮PFO封堵术。
冠脉CTA进一步提示PFO呈“长隧道+大开口+左房囊袋(LASP)”特征;经胸右心声学造影显示静息状态下中量右向左分流,瓦氏动作后为大量右向左分流。依据PASCAL分类系统评估,RoPE评分9分且合并PFO高危解剖学特征4分,提示症状与PFO相关性较高并具备介入获益的病理生理基础。
综合患者处于生长发育期、PFO解剖复杂及分流负荷较大等因素,最终选择BDPFO-Ⅰ 2828可降解封堵器在纯超声引导下行介入封堵。可降解封堵器在完成内皮化后逐步降解,有助于降低长期异物留存带来的潜在组织磨损等顾虑,更契合青少年长期安全需求。手术采用阜外原创的超声引导介入技术(PAN手术),全程可清晰显示器械与封堵器形态,实现精准引导与即时效果评价,并避免DSA相关辐射暴露,对于生殖系统仍在发育阶段的青少年获益更加显著。
考虑本例PFO结构较复杂,为提高长隧道过隔成功率与轨道建立的可控性,术中联合PannaWire多功能导丝作为核心过隔与导轨工具:其梭形头端在超声下显影更清晰、收放更可控,便于实时确认导丝位置并保持稳定防脱,同时遇阻形变可降低对薄弱组织的潜在损伤风险,提升整体安全性;其分段设计实现“一丝多用”,柔性转向段可配合MPA导管实现更灵活的转向,更利于在长隧道解剖特点中顺利过隔;不锈钢加硬主体可直接提供等同加硬导丝的稳定支撑与推送力,从而简化传统“泥鳅导丝探查—多功能导管跟进—交换加硬导丝”的多步流程,减少导丝交换并提升操作效率。
术后即刻超声多切面评估显示封堵器位置正确、形态良好、夹持稳定,封堵成功;术后1周及1个月复查心脏彩超提示封堵器形态与位置稳定,无残余分流,周围结构未见异常,随访期间未再发TIA,且患者自述视物模糊、偏头痛及伴随症状均明显改善,期待后续进一步随访结果。
感谢中国医学科学院阜外医院深圳医院卢耀星教授的病例分享
术中风采

专家简介

-END-
西藏首例!可降解封堵器治疗儿童房间隔缺损伴轻度肺动脉高压病例分享

扫码观看可降解学苑精彩内容
· END ·
专业的心血管医生学术交流平台


版权及免责声明:
本网站所发表内容知识产权归属医谱平台、主办方以及原作者等相关权利人,未经许可,禁止进行复制、传播、展示、镜像、转载、摘编等。经授权使用,须注明来源,否则将追究其法律责任。有关作品内容、版权和其他问题请与本网联系
发表留言
暂无留言
输入您的留言参与专家互动