封耳心安 | MemoLefort稳定封堵近30mm大开口菜花型左心耳一例
近日,唐山市中心医院心血管内三科团队成功应用MemoLefort封堵器完成一例29.7mm大开口菜花型左心耳封堵。团队术中精准把握封堵器放置深度及位置,充分利用封堵器贴壁式成角倒刺设计,最终实现了稳定封堵。该手术的成功实施,充分彰显了MemoLefort封堵器在复杂菜花型左心耳中的良好适配性与安全性。
患者基本信息
基础信息:男性,63岁。
诊断:心房颤动,心律失常,心脏射频消融术后,冠状动脉粥样硬化性心脏病。
既往病史:高血压。
卒中风险评分和出血风险评分

-
CHA2DS2-VASc评分3分,HAS-BLED评分2分。
-
符合左心耳介入指征,拟行左心耳封堵手术。
术前三维重建






菜花型左心耳
-
肝位:开口24mm,深度17mm
-
右肩位:开口24.4mm,深度18mm
-
足位20度:开口24.1mm,深度17.2mm
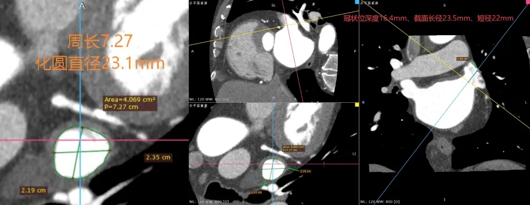
术前CT测量图

左心耳开口近圆形,MPR周长72.7mm,化圆直径23.1mm。
DSA造影+测量


封堵策略
-
DSA下心耳开口29.7mm,深度23mm;
-
综合测量结果,选择MemoLefort LAFDQ-32封堵器进行对共干区域进行封堵。
输送系统锁定并展开封堵器


锁定鞘管
后撤鞘管展开封堵器
展开封堵器后牵拉试验并造影

牵拉试验
封堵器顺应心耳形态,稳定锚定


多切面造影确认,封堵完全,无残余分流
展开后DSA下充分评估


压缩比10.6%,在8%-30%之间,符合推荐压缩比
封堵器释放后造影,无残余分流
释放后造影评估

MemoLefort封堵器评估符合PASS原则,释放封堵器,释放后,封堵器完美贴合心耳口,位置稳定且未见残余漏。
术后总结与思考
本病例中患者心耳属于大开口菜花型,心耳开口29.7mm,深度23mm,远端分叶及梳状肌较发达,对封堵器稳定性有一定要求。
本病例选择使用MemoLefort LAFDQ-32封堵器进行左心耳封堵,封堵器牵拉稳定,术后造影发现压缩比10.6%,在8%-30%之间,符合推荐压缩比,确保封堵器在不过度压缩的前提下实现稳定稳固,降低对心耳壁的压迫。MemoLefort左心耳封堵器贴壁式成角倒刺设计,贴壁式锚定获得初始稳定性,可以在不过度压缩的前提下实现稳定固定。同时封堵器释放后术中造影封堵器完美贴合心耳口,位置稳定且未见残余漏,更利于内皮化进程,降低血栓风险。
· END ·
专业的心血管医生学术交流平台


版权及免责声明:
本网站所发表内容知识产权归属医谱平台、主办方以及原作者等相关权利人,未经许可,禁止进行复制、传播、展示、镜像、转载、摘编等。经授权使用,须注明来源,否则将追究其法律责任。有关作品内容、版权和其他问题请与本网联系
发表留言
暂无留言
输入您的留言参与专家互动