西北首例!新疆医科大学第五附属医院成功完成房间隔缺损封堵术后TEER二尖瓣缘对缘修复术
近日,新疆医科大学第五附属医院心脏中心何鹏义教授、李发鹏教授团队,成功完成西北地区首例房间隔缺损封堵术后经导管二尖瓣缘对缘修复术(TEER)。该病例解剖结构极度复杂,全球成功报道案例极少,团队成功突破ASD封堵器存在下房间隔穿刺这一关键技术瓶颈,标志着医院复杂结构性心脏病微创介入水平跻身西北领先、国内先进行列。
该病例患者为房间隔缺损封堵术后中重度二尖瓣反流,手术核心难点在于:心脏内金属封堵器完全遮挡常规房间隔穿刺位点,团队仅能在封堵器边缘数毫米狭小正常组织内建立通道,既要避开金属结构避免器械损伤,又要满足TEER手术精准角度与位置要求,操作容错率极低,技术壁垒极高。面对这一罕见高难度病例,团队联合多学科周密评估,制定了绕开封堵器、非常规角度精准穿刺的个体化微创方案。术中,在经食道超声与DSA双重引导下,团队精准完成高难度房间隔穿刺并顺利实施TEER手术,全程不开胸、心脏不停跳、无需体外循环,仅通过股静脉微小切口完成瓣膜修复。术后患者二尖瓣反流即刻消失,心功能显著改善,恢复顺利。

此次手术不仅攻克了ASD封堵术后难以开展TEER的技术禁区,也为全球同类罕见病例提供了重要临床经验,更为西北及全国房间隔缺损术后合并二尖瓣瓣膜病患者开辟了全新微创治疗路径。未来,何鹏义、李发鹏教授团队将继续深耕心血管微创技术,以顶尖医疗水平守护各族群众心血管健康。
基础信息:62岁,男性。
主诉:反复胸闷,气短9月,加重1周。
术前诊断:1.急性心力衰竭失代偿期 心功能Ⅲ级。2.冠状动脉粥样硬化性心脏病 稳定型心绞痛。3.心脏瓣膜病 二尖瓣关闭不全 三尖瓣关闭不全。4.原发性高血压3级 极高危。5.2型糖尿病。6.慢性阻塞性肺病。7.肾功能不全。8.先天性心脏病 房间隔缺损封堵术后。
既往史:高血压病史4年,血压最高180/90mmHg,口服硝苯地平控释片控制, 2型糖尿病病史7年,现降糖方案为”门冬30胰岛素15单位/日,皮下注射”。
患者为房间隔缺损术后合并功能性二尖瓣反流(FMR),病变位于二尖瓣2区偏3区,因既往ASD修补史(可降解房间隔缺损封堵器),致房间隔穿刺区域存在瘢痕粘连、穿刺难度增加,于靠下靠后位置穿刺,避开房间隔缺损封堵伞,其余病变解剖结构相对简单;术前制定手术策略,拟使用1把XTR行二尖瓣修复,术中克服瘢痕粘连难点成功完成房间隔穿刺,穿刺点距二尖瓣瓣环平面3.1cm,将XTR‑CDS送入左心房,通过”A”旋钮旋转180度借高度,LVOT切面夹子严重Huge,使用”+”旋钮一键消除Huge,通过操控“M”旋钮将二尖瓣夹精准定位于2区正上方,完成弹道测试及Orientation调整后,于2区将夹子送入左心室,顺利捕捞并夹持瓣叶后缓慢闭合夹臂;TEE检查示二尖瓣反流充分降低至微量,二尖瓣双孔组织桥稳定,跨瓣压差2mmHg,肺静脉逆流明显改善,手术安全顺利结束。


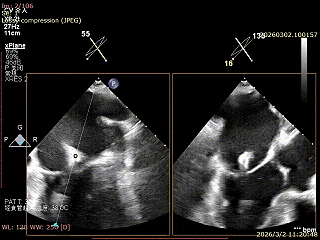
可降解房间隔缺损封堵器


选择靠下靠后穿刺位点,避开房间隔缺损封堵器,避免器械损伤
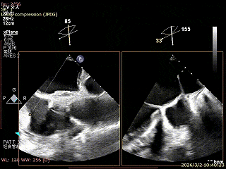
房间隔成功穿刺,穿刺位点距二尖瓣瓣环平面高度3.1cm,可使用高度不足


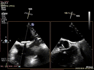
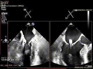
XPLAN切面2区偏3区中重度反流


3D enface 切面
3D enface观察反流


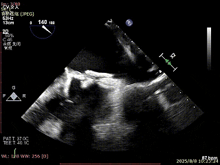
SGC进入左房
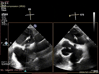
穿刺可用高度不足,通过”A”旋钮旋转180度借高度,此时LVOT切面夹子严重Huge


使用”+”旋钮一键消除Huge
XTR弹道测试


3D enface 完成Orientation调整
成功捕捞瓣叶并夹持


缓慢关紧夹臂
释放夹子


双孔组织桥稳定
3D enface反流充分降低

术后平均跨瓣压差2mmHg
专家简介


· END ·
专业的心血管医生学术交流平台


版权及免责声明:
本网站所发表内容知识产权归属医谱平台、主办方以及原作者等相关权利人,未经许可,禁止进行复制、传播、展示、镜像、转载、摘编等。经授权使用,须注明来源,否则将追究其法律责任。有关作品内容、版权和其他问题请与本网联系
发表留言
暂无留言
输入您的留言参与专家互动