冠脉冲击波+PCI联合TAVR治疗冠脉钙化合并重度主动脉瓣狭窄1例

作者:马为、易铁慈、翁浩宇
经导管主动脉瓣置换术(TAVR)已经逐渐成为主动脉瓣重度狭窄和部分主动脉瓣重度反流患者的首选治疗方案之一。随着手术的逐渐成熟和操作流程的标准化,瓣膜的精准定位和减少并发症已经成为进一步的追求。
在行TAVR术当中,我们需要在三个重要的步骤当中使用造影,分别为升主动脉造影,瓣膜释放中的定位,以及行冠脉造影和入路的确认。在这三个步中使用造影剂的剂量、注射压力及速度都是不一样的。理想的显影支持需要操作简单,剂量可选,随时可重复以及安全可靠。
在TAVR术中,我们需要的造影剂的剂量通常在150-200ml。由于TAVR多用于高龄、心功能较差、合并多种疾病的患者,他们的对比剂相关肾损伤的风险也相对来说较高,故在TAVR术中减少造影剂的使用对患者而言也有较大的意义。
新型的CVi自动化注射系统,可以设置多个造影剂注射模式,满足TAVR术中的需求。术者可以更方便、快捷的切换不同的注射模式,对于减少造影剂及缩短手术时间都是有较大帮助。
病史简介
女性,85岁,主诉:间断胸痛15年,喘憋1月。
现病史:患者15年前胸痛,外院CAG提示狭窄70%,未介入。后间断发作类似不适。近1月反复喘憋发作,步行数米可发作,夜间可憋醒。门诊查hscTnI 145.9ng/L,BNP 955.00pg/ml,LDL-C 1.76mmol/L。UCG提示重度主动脉瓣狭窄。
既往史:高血压、糖尿病。
查体:BP 139/59mmHg,HR 72bpm。主动脉瓣听诊区收缩期4/6级杂音。
心电图提示:频发室性早搏,RBBB,V3-V6导联T波倒置、双向。

术前CT评估:





术前策略:
麻醉方式:全麻。
入路选择:优先选右侧股动脉作为主入路,术中确认。
冠脉病变:术前同期评估,必要时介入处理。
瓣膜选择:预装VenusA-Pro 23mm型号瓣膜,18mm球囊预扩,高位释放。
自动化注射方案介绍
▪ CVi血管造影注射系统是一款在心血管和其他介入治疗领域成熟应用的自动化注射系统,在欧美等市场应用尤其广泛,产品安全成熟;
▪ CVi系统有别于传统造影注射,由术者亲自控制注射手柄,注射流速和流量实时可变可控;
▪ 系统中的多重传感器可以实现造影及自动加注、自动排气、自动探测气栓等安全便捷的功能。

▪ 术前设置好三种模式,分别为:①升主动脉造影,18ml/s, 25ml,800psi。②术中定位:8-10ml/s,10-15ml,600psi。③入路、冠脉造影,4ml/s,6ml,400psi。
术中操作
主动脉根部造影:将6F猪尾导管置于升主动脉,使用ACIST CVi血管造影注射系统调整至升主动脉造影模式,行升主动脉造影,观察瓣膜形态、瓣膜反流情况以及冠脉风险。

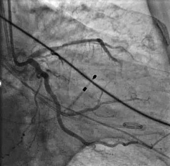
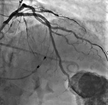
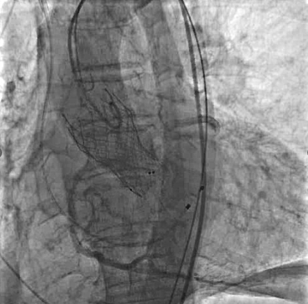
冠脉造影及介入治疗:将ACIST CVi血管造影注射系统调整至冠脉造影模式,完善冠脉造影。结果示:LM未见明显狭窄,LAD近端80%狭窄,严重钙化,IVUS可见360°钙化。回旋支少量斑块浸润,右冠状动脉30-40%狭窄。决定处理LAD,由于患者存在严重钙化,使用Shockwave球囊预处理打开钙化,后植入3.0*24mm +3.5*24mm药物涂层支架,效果满意。





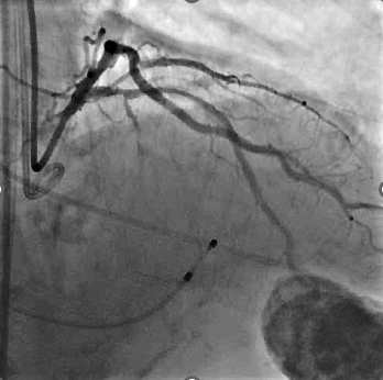
支架植入后
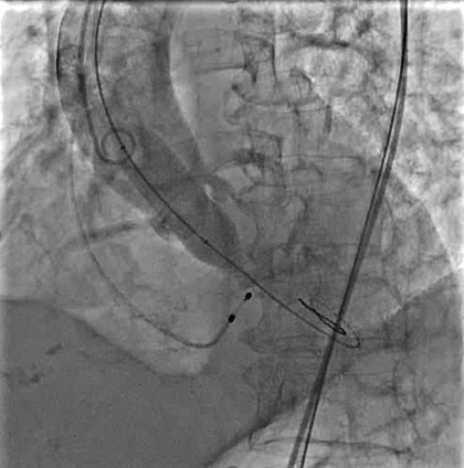
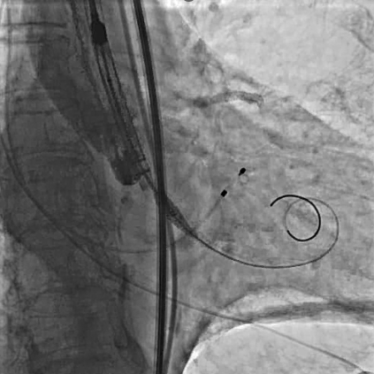
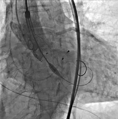
使用直头超滑导丝跨瓣后交换加硬导丝,行球囊扩张主动脉瓣,球囊扩张时行升主动脉造影,评估冠脉风险。

瓣膜定位及释放:将VenusA-Pro 23mm型号瓣膜系统送至主动脉瓣口处,以定位模式行造影,定位满意后释放瓣膜至工作位后,行定位造影,观察瓣膜位置及冠脉血流情况。瓣膜位置满意后完全释放瓣膜。


术后造影:以升主动脉模式造影显示瓣膜工作良好,少量瓣周漏,冠脉未受影响。术后测跨瓣压差5mmHg,主动脉瓣口峰值流速186cm/s。

病例总结
▪ 冠心病合并主动脉瓣病变常与冠脉、外周血管病变常同时出现。
▪ 钙化病变在瓣膜、冠脉、外周血管都可能带来挑战。Shockwave球囊是治疗严重钙化病变的又一利器。
▪ 应用CVi系统稳定持续注射造影剂,在TAVR过程中可以随时切换三种注射模式,完美满足临床需要,可以减少造影剂的使用,减少手术时间。
专家简介
专家简介
医谱app
扫码或者点击图片下载
微信公众号
扫码或点击图片关注
版权及免责声明:
本网站所发表内容知识产权归属医谱平台、主办方以及原作者等相关权利人,未经许可,禁止进行复制、传播、展示、镜像、上载、下载、转载、摘编等。经授权使用,须注明来源,否则将追究其法律责任。有关作品内容、版权和其他问题请与本网联系。
 
 





发表留言
暂无留言
输入您的留言参与专家互动