浙江大学附属邵逸夫医院成功举办第三期心脏瓣膜病介入中心规范化系列培训——TEER手术实操观摩培训班!
2025 年 9 月 12 日,浙江大学附属邵逸夫医院心脏瓣膜病介入中心成功举办 “第三期心脏瓣膜病介入中心规范化系列培训—— TEER 手术实操观摩培训班”。本次培训汇聚国内心脏瓣膜病介入领域顶尖专家,吸引江浙沪皖豫渝 6 省共 13 家中心的 19 位学员参与,通过理论授课与实操观摩相结合的形式,打造了一场兼具专业性与实用性的学术盛宴,为 TEER 技术规范化推广注入新动能。

开场致辞:奠定专业培训基调
培训班开幕式由浙江大学附属邵逸夫医院王蓓教授主持,医院心内科黄翯教授与特邀专家 —— 厦门大学心血管病医院王焱教授先后致辞。两位教授在致辞中强调,TEER 技术作为心脏瓣膜病介入治疗的关键手段,其规范化应用对提升患者救治效果、推动学科发展具有重要意义,同时对参训学员寄予厚望,希望大家通过本次培训深化理论认知、提升实操能力,为区域内心脏瓣膜病诊疗水平提升贡献力量。


专题授课:覆盖 TEER 全流程核心知识
厦门大学心血管病医院
在手术全流程管理环节,三位专家从不同维度搭建知识框架,帮助学员形成系统认知:
上海交通大学医学院附属瑞金医院












手术观摩:理论结合实践推向高潮
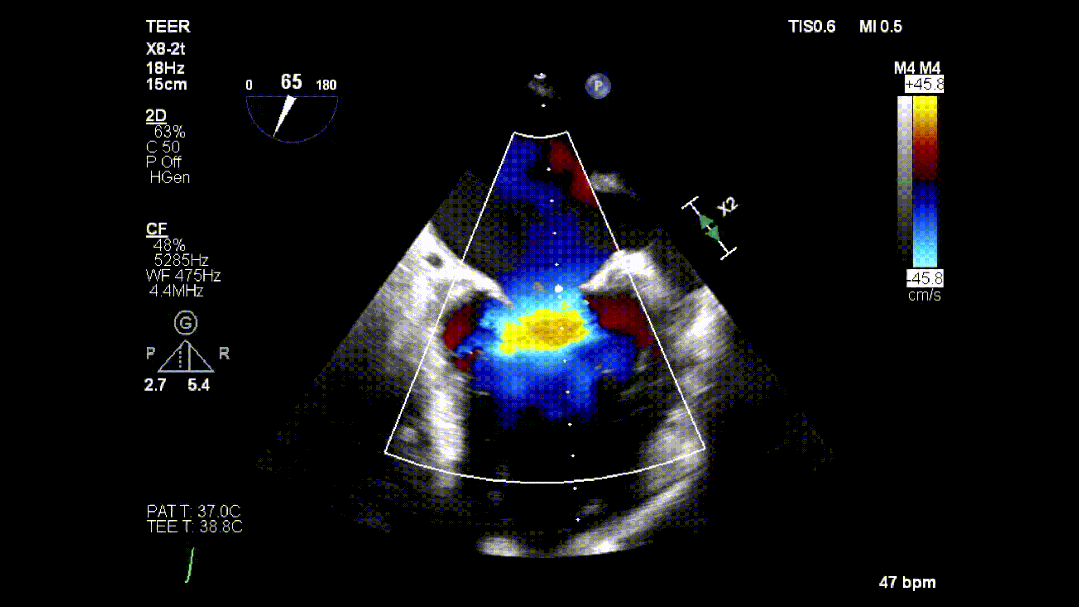
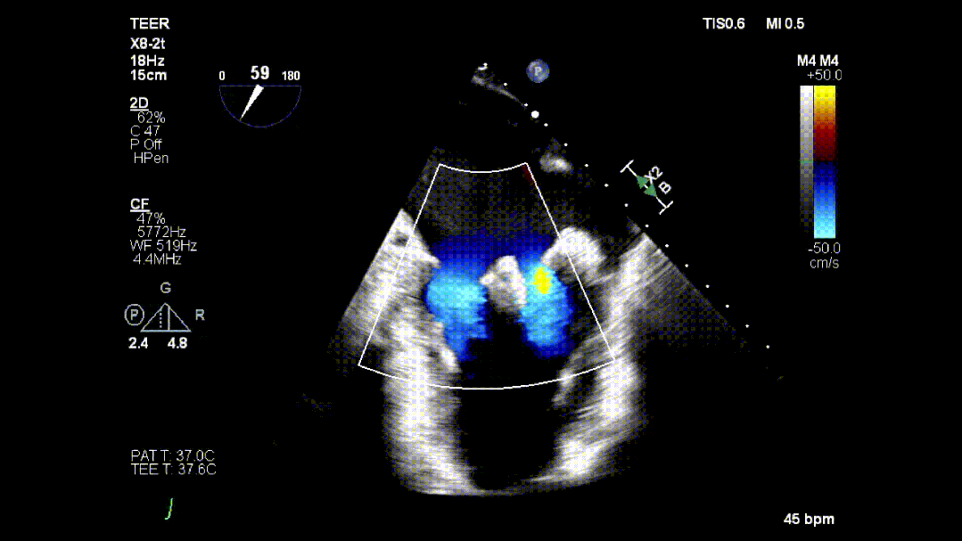
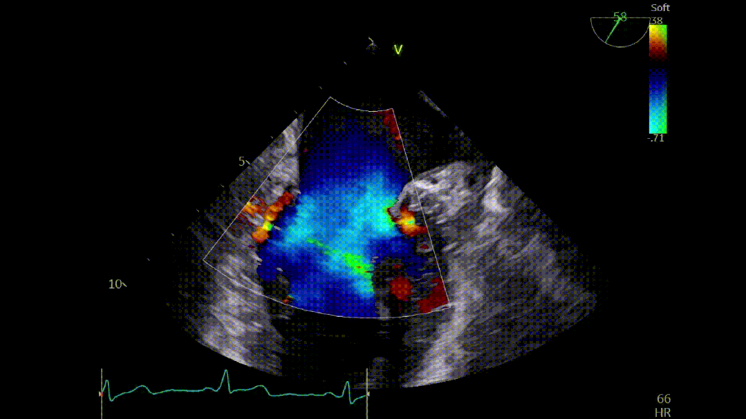
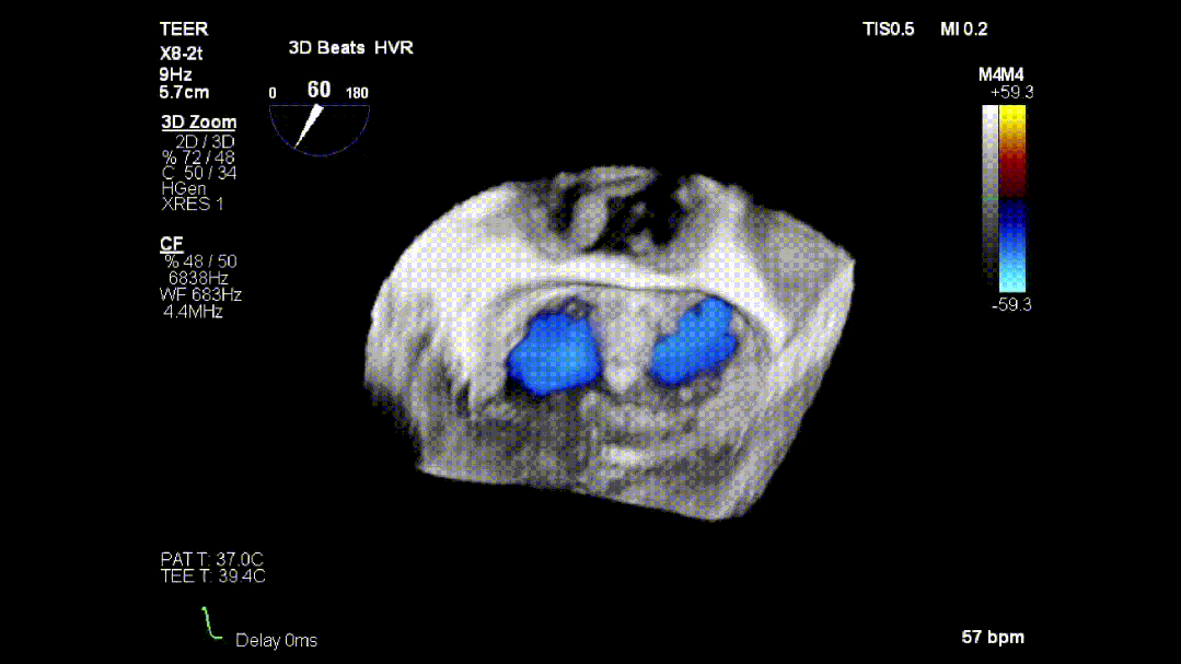
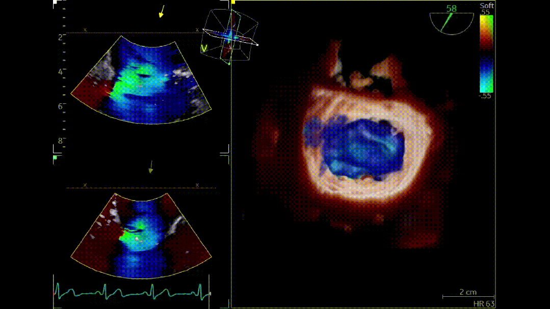
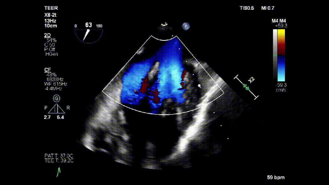
本次培训的“重头戏”—— 两台高难度 TEER 手术沉浸式观摩,将培训氛围推向高潮。手术病例分别为 “P2 宽大脱垂病变” 与 “早期 Barlow 病变”,由厦门大学心血管病医院团队与浙江大学附属邵逸夫医院团队协同完成。术中,专家团队操作精准、配合默契,不仅完美展现了 TEER 技术在复杂病例中的应用优势,更通过实时讲解,让学员直观掌握手术关键步骤、解剖评估要点与应急处理思路。
“纸上得来终觉浅,绝知此事要躬行”,这场沉浸式手术观摩让学员将理论知识与临床实践深度结合,切实感受到介入治疗手段在心脏瓣膜病治疗中的突出价值,也进一步提升了对复杂手术的认知与应对能力。




病例1:




病例2:




圆满收官:为 TEER 技术推广注入新活力

-END-
专业的心血管医生学术交流平台


版权及免责声明:
本网站所发表内容知识产权归属医谱平台、主办方以及原作者等相关权利人,未经许可,禁止进行复制、传播、展示、镜像、转载、摘编等。经授权使用,须注明来源,否则将追究其法律责任。有关作品内容、版权和其他问题请与本网联系
发表留言
暂无留言
输入您的留言参与专家互动