术式突破 | 阜外医院潘湘斌教授团队突破33mm超大瓣环TAVR极限
2025年9月2日,中国医学科学院阜外医院潘湘斌教授团队仅用20分钟,全程零放射线、零造影剂,为一名Type I型三叶瓣,33mm超大瓣环患者成功实施全麻下、单纯经超声引导的经导管主动脉瓣置换术(TAVR),术后患者恢复良好,安返病房。
此次手术首次将纯超声引导技术应用于超大瓣环TAVR,标志着超声引导TAVR(经导管主动脉瓣置换)技术正式实现"尺寸全覆盖、路径全覆盖、场景全覆盖",为高龄、肾功能不全、造影剂禁忌等高危患者提供更安全、更极简、更可及的“中国方案”。

病例基本资料
男性,66岁
主诉:间断胸痛1年
超声心动图:峰值流速5.0m/s,平均压差68mmHg,瓣口面积0.5cm2,EF值61%;主动脉重度狭窄并少量反流,二尖瓣少中量反流,室间隔及左室壁增厚,升主动脉扩张。
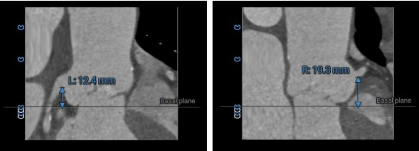
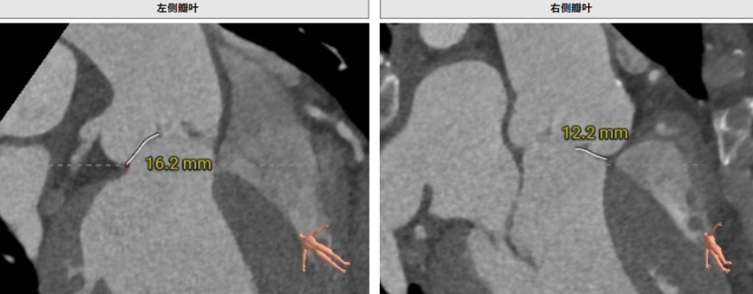
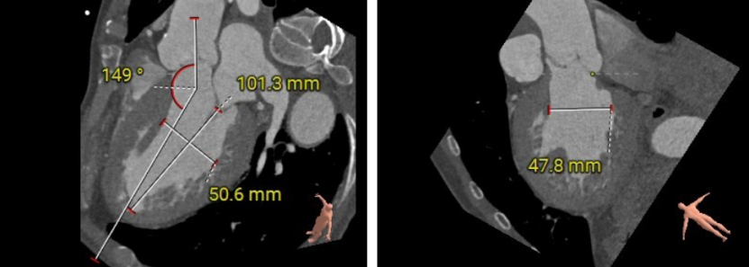
术前CT评估
Type I型三叶瓣,大瓣环,主动脉窦部扩张,近似横位心,双侧冠脉点状钙化。




(主动脉根部概览)



(主动脉瓣根部钙化概览)

双侧冠脉开口高度可,左侧瓣叶偏长,窦部空间可,无冠脉遮挡风险。

(入路概览)

输送器可调弯30°左右。
手术策略
TypeI型三叶瓣,近似横位心,大瓣环,采取全麻下,超声全程引导无放射线TAVR,超声下完成临起置入,导丝经心尖入路跨瓣入降主动脉,扩张鞘预扩,输送器顺导丝至主动脉窦上方,瓣膜定位及释放,术后功能评估等操作。
(Ken-Valve瓣膜尺寸图)



手术过程
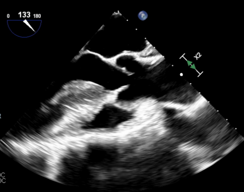
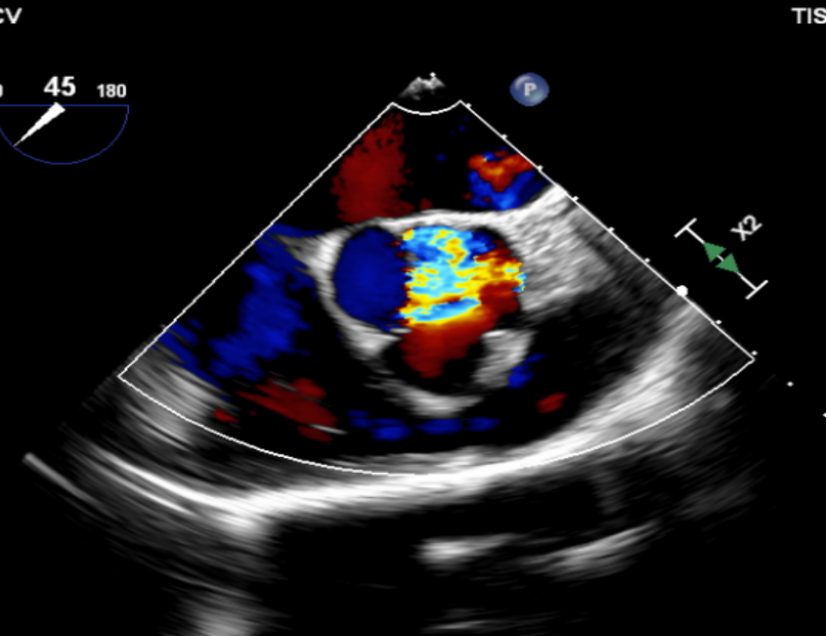
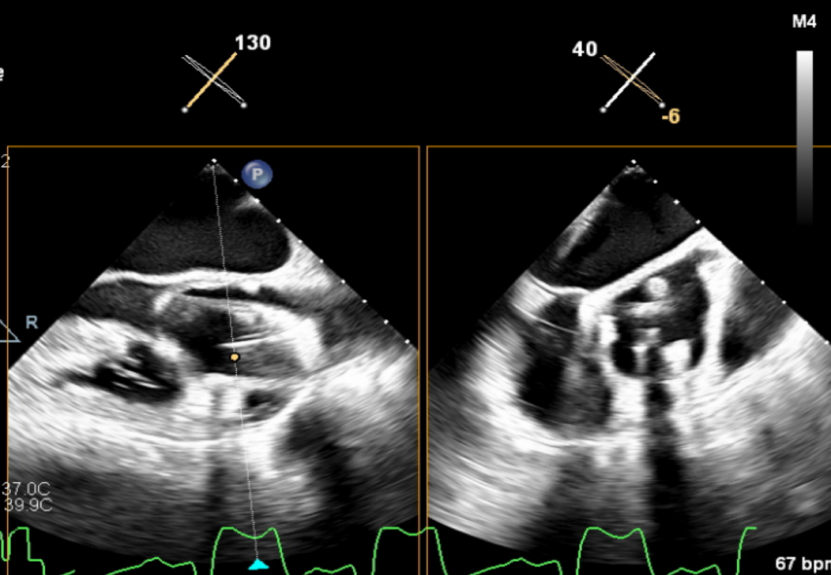
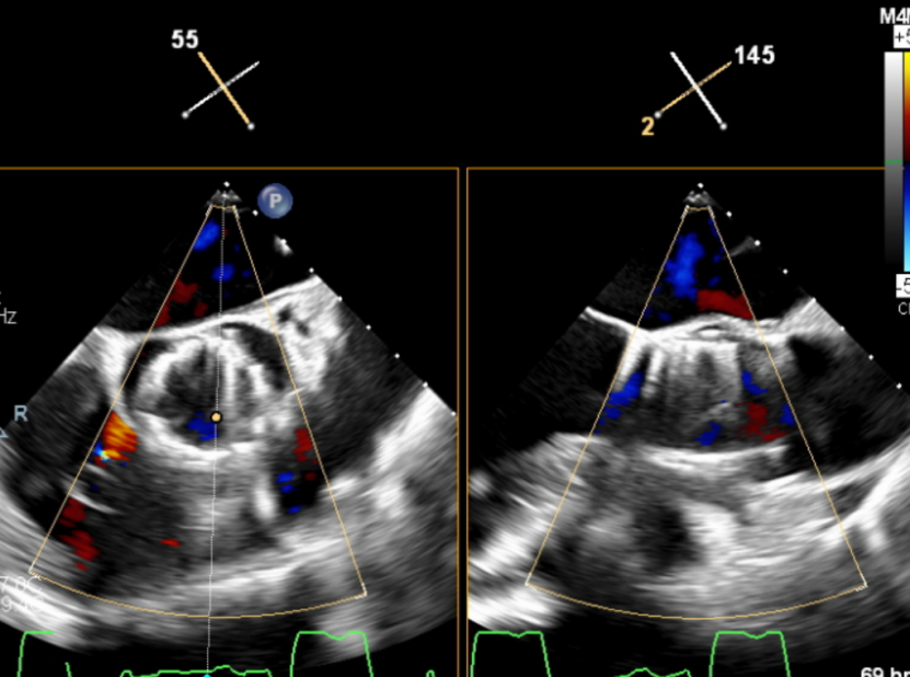
左室长轴切面可见流出道结构良好,短轴切面可见主动脉瓣大量反流。

(流出道结构观察)

(短轴切面观察)

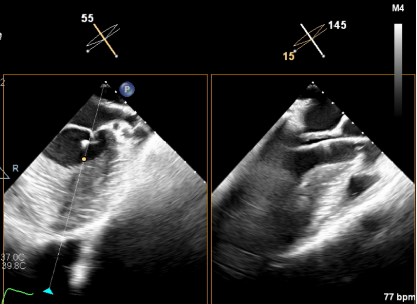
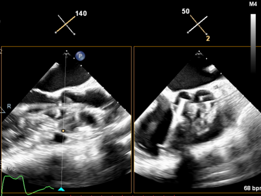
(加硬导丝跨瓣)

(确认导丝位置)
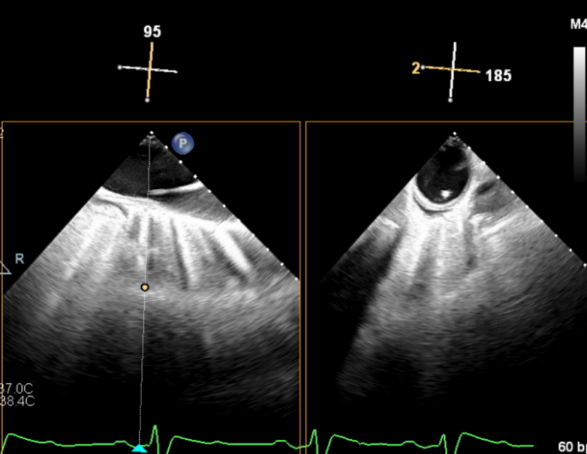
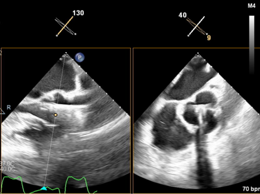
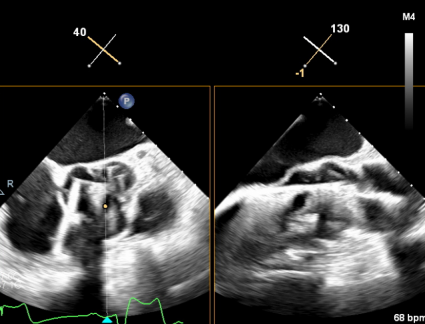
输送器顺利跨瓣,释放外鞘管,开始定位释放,超声评估可见定位件入窦可,后释放内鞘管,打开瓣架,瓣叶活动良好,无瓣周反流,综合考虑瓣膜稳定良好,脱钩释放。

(输送器跨瓣)

(瓣膜打开定位件)

(定位件入窦)

(定位件入窦)

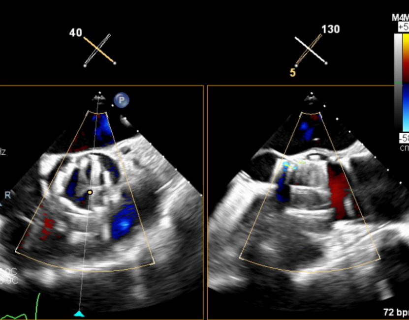
(瓣膜展开)

(瓣膜脱钩)
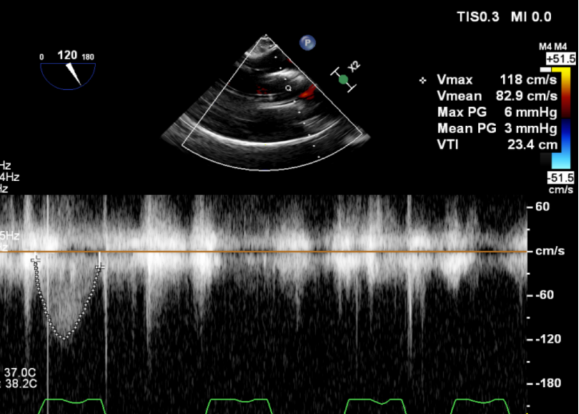
脱钩后输送器回收,瓣膜无位移及形变,确认瓣膜完全脱钩,回撤输送系统,超声再次评估,瓣膜位置及形态良好,无瓣周漏,峰值流速1.18m/s,平均压3mmHg,患者未诉不适,入路缝合后返回病房。

小结
手术成功突破传统TAVR尺寸限制,并以纯超声引导取代放射线与造影剂;潘湘斌教授团队以原创技术路径,把“不可能”写成“可能”,为中国方案落下一行温暖注脚——生命至上,创新无界!
中国医学科学院阜外医院团队首创的无放射线经皮介入技术,通过单纯超声引导器械从外周血管进入心脏,远距离操作器械治疗心脏病。实现了“不开刀,无放射线,甚至在患者清醒状态下治疗心脏病”。目前团队可以通过无放射线治疗主动脉瓣狭窄、房间隔缺损、动脉导管未闭、二尖瓣关闭不全、心房颤动、心律失常等多种复杂手术,还实现了手术车上门手术、机器人远程手术。
该技术不但消除放射线等医源性损伤,而且提高了医疗服务的可及性,将心脏手术从要到大城市、大医院找大医生做的“重大手术”转变成“门诊手术”,甚至“上门手术”,为医疗资源贫瘠的国家和地区解决了致命的可及性问题。高度契合联合国可持续发展目标中对人类生命健康保护的呼吁。
目前,该技术以“降低成员国医疗服务能力差异”的巨大贡献获得“世界卫生组织科技创新奖”、“国家技术发明奖”,被联合国评选为全球可持续发展计划的推广项目,获得联合国资金及全球体系的支持,已在“一带一路”沿线国家广泛推广,服务国家战略,惠及全球民生健康福祉。2024年10月1日,中央电视台在庆祝建国75周年的大型纪录片《中国式现代化之路》之《国之重器》篇章中。将“超声引导心血管病介入技术”作为大国重器的杰出代表进行展示,充分彰显了阜外团队凭借中国技术促进民心相通,有力服务国家重大战略的专业实力。团队已经到法国、德国、英国、加拿大、俄罗斯、肯尼亚、坦桑尼亚、乌兹别克斯坦等30余个国家开展现场手术并传授中国技术。
专家简介
潘湘斌 教授
中国医学科学院阜外医院
-END-
专业的心血管医生学术交流平台


版权及免责声明:
本网站所发表内容知识产权归属医谱平台、主办方以及原作者等相关权利人,未经许可,禁止进行复制、传播、展示、镜像、转载、摘编等。经授权使用,须注明来源,否则将追究其法律责任。有关作品内容、版权和其他问题请与本网联系

发表留言
暂无留言
输入您的留言参与专家互动