全国首批!多中心成功开展ScienCrown 主动脉瓣膜系统上市后首批植入,技术革新优化AS解决方案!

吴永健
中国医学科学院阜外医院

赵杰
中国医学科学院阜外医院
术前评估










术前CT(上下滑动查看更多图片)
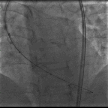
术中造影

瓣膜初始定位

全展开位造影

脱钩后造影

弓部造影


傅国胜
浙江大学医学院附属邵逸夫医院

俞飞成
浙江大学医学院附属邵逸夫医院
术前评估







术前CT(上下滑动查看更多图片)
术中造影

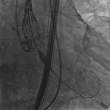
主动脉根部造影

瓣膜定位

全展开位造影

脱钩后最终造影


张新金
云南大学附属医院
术前评估






术前CT(上下滑动查看更多图片)
术中造影

主动脉根部造影

20 mm球囊预扩张

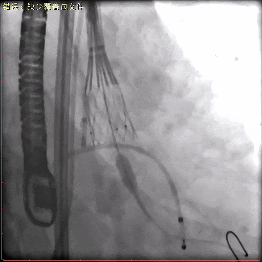
瓣膜微释放后造影确认位置

全展开位造影

23 mm球囊后扩张

脱钩后最终造影


梅举
合肥高新心血管病医院
上海新华医院心胸外科二级教授,博导。国家临床重点专科 · 心脏大血管外科主任。享受国务院特殊津贴,中国医师协会心血管外科医师奖(金刀奖)获得者,上海市"医务工匠",上海市优秀学科带头人。国家心血管病专家委员会微创外科委员会副主委,中国医师协会心血管外科医师分会常委,中国医师协会心血管外科医师分会房颤专委会首任主委,上海心脏大血管外科专委会副主委,中国民族医药学会外科分会副会长。
术前评估






术前CT(上下滑动查看更多图片)
术中造影

主动脉根部造影

20 mm球囊预扩张

瓣膜定位

全展开位造影

脱钩后最终造影


闫炀
西安交通大学第一附属医院
术前评估







术前CT(上下滑动查看更多图片)
术中造影

20 mm球囊预扩张

瓣膜定位

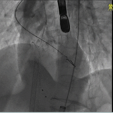
瓣膜稳定释放至全展开位

脱钩后最终造影


薛强
昆明市延安医院

陈志鹏
昆明市延安医院
主治医师,硕士研究生
主要从事心血管内科急重症、结构心脏病(瓣膜心脏病、先心病)、冠心病等诊疗工作。先后在心内CCU、心内科结构心脏病组(心内七病区)工作。业务专长:经导管主动脉瓣植入术(TAVI术)、冠心病介入术、左心耳介入封堵术等心内科微创手术治疗。
术前评估






术前CT(上下滑动查看更多图片)
术中造影

主动脉根部造影

20 mm球囊预扩张

瓣膜定位

全展开位造影

左冠切线位造影

脱钩后最终造影
术前评估





术前CT(上下滑动查看更多图片)
术中造影

主动脉根部造影

22 mm球囊预扩张

瓣膜定位

全展开位造影

23 mm球囊后扩张

脱钩后最终造影


朱鹏
南方医科大学南方医院
术前评估








术前CT(上下滑动查看更多图片)
术中造影

主动脉根部造影

20 mm球囊预扩张

第一次瓣膜全展开后造影评估

瓣膜100%全回收

第二次瓣膜全展开后造影评估
9脱钩后最终造影


袁义强
河南省胸科医院

王磊
河南省胸科医院
术前评估








术前CT(上下滑动查看更多图片)
术中造影

20 mm球囊预扩张

第一次瓣膜全展开后造影评估

瓣膜100%全回收

第二次瓣膜全展开后造影评估

20 mm球囊后扩张

脱钩后最终造影


吴永健
中国医学科学院阜外医院

尹春琳
首都医科大学宣武医院

王宇彬
首都医科大学宣武医院

张洪亮
中国医学科学院阜外医院
术前评估






术前CT(上下滑动查看更多图片)
术中造影

主动脉根部造影

18 mm球囊预扩张

瓣膜定位

全展开位造影

脱钩后最终造影


吴连拼
温州医科大学附属第二医院

张新民
温州医科大学附属第二医院

吴道珠
温州医科大学附属第二医院
术前评估







术前CT(上下滑动查看更多图片)
术中造影

主动脉根部造影

25 mm球囊预扩张

瓣膜定位

瓣膜全展开位造影

25 mm球囊后扩张

脱钩后最终造影


李健洪
清远市人民医院
主任医师,副教授,硕士研究生导师,岭南名医,国家基层介入培训基地导师,广东省健康科普促进会心脑血管疾病健康管理分会副主任委员,清远市医学会冠脉介入学分会主任委员,广东省基层医药学会心血管专业委员会常务委员,⼴东省介⼊性⼼脏病学会冠脉影像与功能学分会常务委员,广东省老年保健协会老年医学专业委员会常务委员,广东省医学教育协会泛血管疾病专业委员会常务委员,广东省医学会心血管病学分会胸痛学组成员,清远市医学会心血管病学分会常务委员

李捷
广东省人民医院
术前评估







术前CT(上下滑动查看更多图片)
术中造影

主动脉根部造影

20 mm球囊预扩张

瓣膜定位

全展开位造影

脱钩后最终造影


罗建方
广东省人民医院

李捷
广东省人民医院

郭志强
广东省人民医院南海医院

何文飞
广东省人民医院南海医院
术前评估









术前CT(上下滑动查看更多图片)
术中造影

主动脉根部造影

20 mm球囊预扩张

第一次全展开位造影

瓣膜回收调整

瓣膜回收后重新定位

第二次全展开位造影

22 mm球囊后扩张

脱钩后最终造影


刘志平
内蒙古医科大学附属医院

王坚
内蒙古医科大学附属医院
术前评估









术前CT(上下滑动查看更多图片)
术中造影

主动脉根部造影

20 mm球囊预扩张

瓣膜定位

全展开位造影

20 mm球囊后扩张

脱钩后最终造影
• 自膨直筒设计,兼具较强顺应性和稳定支撑力,提供更大瓣口面积,有效降低压差,减少远期并发症;
• 12钩全挂连接(专利号CN111821068B、CN118490419B)+预过弯定型专利设计(专利号CN116236322B)过弓顺畅,同轴释放,可稳定全回收和重复定位,操作便利安全;
• 经股动脉、经心尖多入路设计,为临床治疗提供更多介入路径选择。


扫码观看可降解学苑精彩内容
发表留言
暂无留言
输入您的留言参与专家互动