MemoSorb可降解PFO封堵器在ICE引导下介入封堵巨量分流PFO

患者信息
性别:女
年龄:37岁
现病史:患者1年前无明显诱因出现失眠,头昏,伴焦虑,多思,发热、头痛、呕吐,无黒朦、视物成双,无耳鸣、听力减退,无言语不清、饮水呛咳、吞咽困难、口眼歪斜、肢体感觉及活动障碍,今为求进一步诊治,遂来我院进一步就诊。
查2025-04-29磁共振平扫(颅脑)T1WI序列脑干左侧份异常结节影。左侧半卵圆中心及右侧侧脑室后角旁见结节状腔隙性梗死/缺血灶。门诊拟“腔隙性脑梗死”收住入院。
超声描述:经左侧肘正中静脉注入造影剂后:右房、右室顺序显影,右心充盈良好,静息状态下左心未见气泡影;嘱咐患者Valsalva动作,右房显影即刻放松,连续观察15个心动周期,3个心动周期内,左心可见过性“云雾状”微泡进入左房(>50个/帧)。
超声提示:右心声学造影:阳性(心内水平右向左分流,巨量)。


临床策略
术中测得,PFO开口约为3.2mm,隧道长度约为9mm,结合右心声学造影巨量分流,综合考虑,选择对称型封堵器,BDPFO-I 2828(配14F可降解封堵器介入输送系统)。

术中操作
导丝过隔,送入封堵器

过隔


撤出扩张管
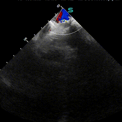
ICE下可见双轨征
送入封堵器
左盘展开及贴靠



展开及贴靠
右盘展开、成型及牵拉

右盘展开,轻推钢缆,右盘成型


后撤鞘管,牵拉钢缆
可见仅封堵器右盘随牵拉活动
牵拉试验
可见仅右盘mark点移动
锁定

前推外套管和钢缆,抵住封堵器,进行锁定
封堵器释放


释放后观察

即刻阻流,无残余分流
病例小结
多项研究表明 PFO 与头晕存在关联。一项大型单中心、前瞻性、对照研究发现,在不明原因头晕组中 PFO 的发生率高达 64.7%,显著高于可解释头晕组的 27.4%,且 PFO 患者的右向左分流程度越高,头晕的风险越大,年龄和 PFO 是不明原因头晕的独立危险因素[1] 。目前认为其可能机制是微栓子和血管活性物质通过 PFO 异常通道绕过肺循环直接进入脑部,作用于前庭系统引发头晕,或由未引起脑血管栓塞的微气泡栓塞导致局部前庭皮层受抑而致晕。
患者1 年前无明显诱因出现失眠、头昏,伴焦虑、多思,磁共振平扫(颅脑)MRI 示脑干左侧份异常结节影,左侧半卵圆中心及右侧侧脑室后角旁见结节状腔隙性梗死 / 缺血灶,超声检查提示右心声学造影阳性,存在心内水平右向左分流(巨量)。综合考虑病情,经充分沟通后,患者主动选择可降解PFO封堵器进行封堵手术,术后患者头晕症状明显缓解。
可降解封堵器植入一年左右可安全降解,最终分解成二氧化碳和水排出体外,克服了金属封堵器可能存在的一些局限性,如封堵器相关血栓形成、感染性心内膜炎等远期并发症风险等。同时,其良好的生物相容性可促进心房间隔缺损处正常组织的修复和再生,使心脏恢复正常解剖结构,为患者提供了一种更安全、有效且远期疗效更佳的治疗选择。此外,本次手术同时使用ICE(心腔内超声)引导进行,封堵器在ICE下显影清晰,为术者提供准确位置参考,辅助实现精准植入操作。
感谢达州市第一人民医院刘江渝教授的病例分享
[1].Cao Q, Shen Y, Hou Z, Li D, Tang B, Xu L, Li Y. The Relationship Between Patent Foramen Ovale and Unexplained Dizziness: A Prospective Analysis in China. Neuropsychiatr Dis Treat. 2022 Jul 26;18:1495-1505.
发表留言
暂无留言
输入您的留言参与专家互动