新微创手术为高龄患者重启“心门”!福医附一医院心内科柴大军教授团队成功实施经导管二尖瓣置换术(TMVR)
一根细长的导管,一个崭新的人工瓣膜,无需开胸,心脏不停跳,就能让衰竭的生物瓣膜重获新生——这就是经导管二尖瓣置换术(TMVR)。
近日,福建医科大学附属第一医院心血管内科柴大军教授团队成功为一名二尖瓣人工瓣衰败的高龄患者实施了经导管二尖瓣置换术,通过微创小切口,解决患者严重二尖瓣返流的问题,术后患者心功能得到显著改善。
二尖瓣使用20年后衰败 高龄患者再遇“换瓣”难题
患者83岁男性。20年前,曾因为风湿性心脏病、二尖瓣狭窄,进行了二尖瓣置换术。然而近日,患者再次出现气喘、胸闷不适等症状,到医院检查后发现,原来是使用了20年的二尖瓣出现衰败,出现严重反流的情况,导致心力衰竭。
这种情况必须尽快手术干预,否则会导致更加严重的心力衰竭,危及生命。

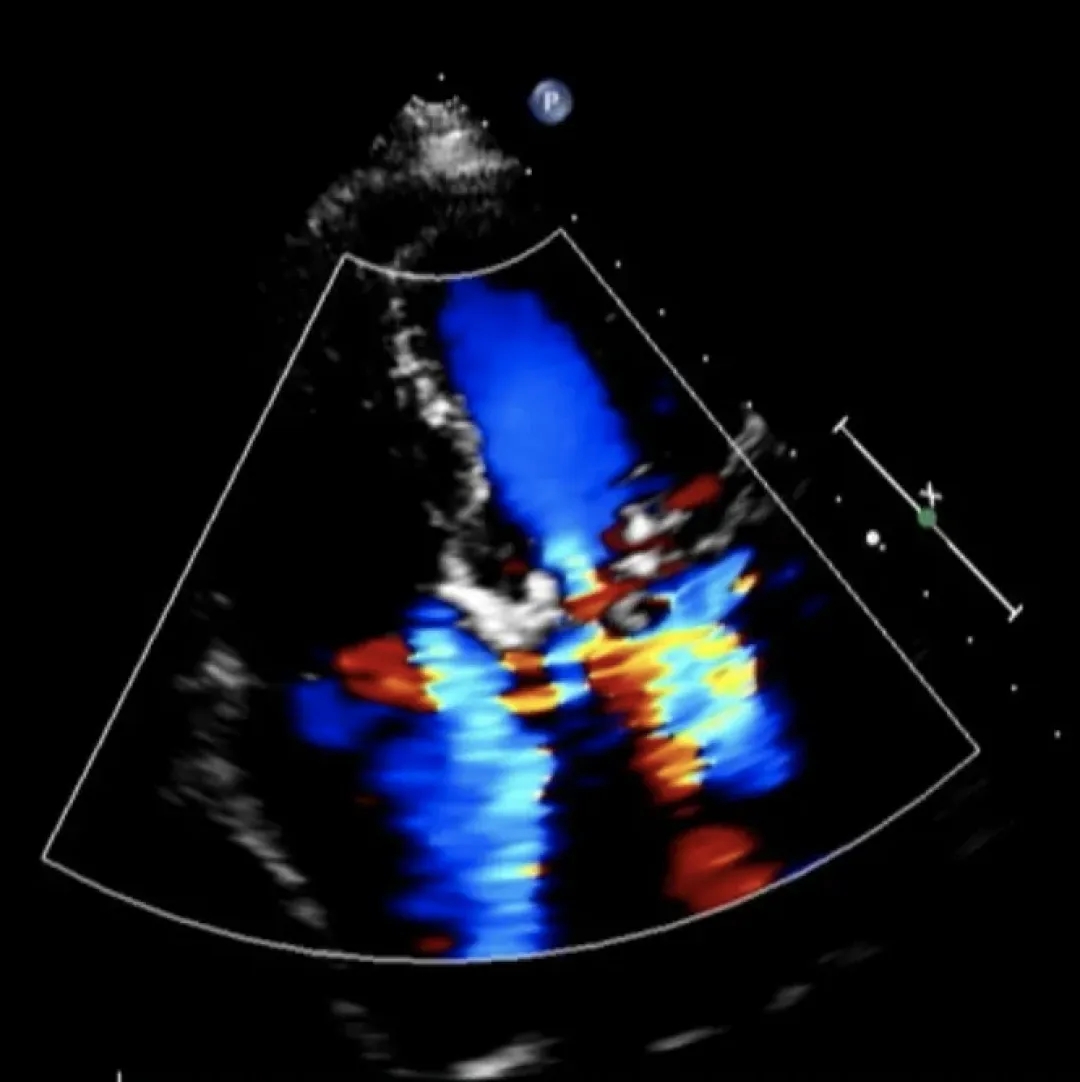
▲二尖瓣重度返流
对于生物瓣衰败的患者,传统的治疗方法需要再次进行开胸手术,拆除原来的生物瓣膜,再换上新的瓣膜。这种治疗方法操作复杂,耗时长达6-7小时,尤其对于高龄、体弱或合并多种疾病的患者来说,手术风险高,身体难以耐受,以往很多患者甚至因此不得不放弃手术,最终面临心衰不治的结局。
多学科协作护航 微创手术破困局
面对难题,柴大军教授经过详细评估,提出可以用“经导管二尖瓣置换术(TMVR)”来治疗该例患者衰败的二尖瓣。
TMVR是一种创新的微创治疗技术,通过导管将一个新的瓣膜输送到病变的二尖瓣部位,在心脏不停跳的状态下快速完成二尖瓣置换。
TMVR手术无需开胸、无需心脏停跳、无需体外循环,相对于传统手术,大大降低了手术创伤和风险,且手术操作时间短,能显著减少瓣膜反流等情况。
术前,患者接受了详细的心脏检查,包括经胸前及经食道心脏超声、心脏计算机断层扫描、心导管以及血液检查等。结合检查结果,柴大军教授带领心血管内科庄伟主任医师、陈鑫副主任医师、曾勇军主治医师、赵文香主治医师、高彦伟医师,以及超声科傅丽云主治医师等组成的瓣膜团队,进一步确定了患者适合TMVR手术,并精确计算了新瓣膜的大小和位置。
手术当天,在心内科、心外科、超声医学科、麻醉科等多学科团队的紧密协作下,团队顺利为患者植入了一枚崭新瓣膜。

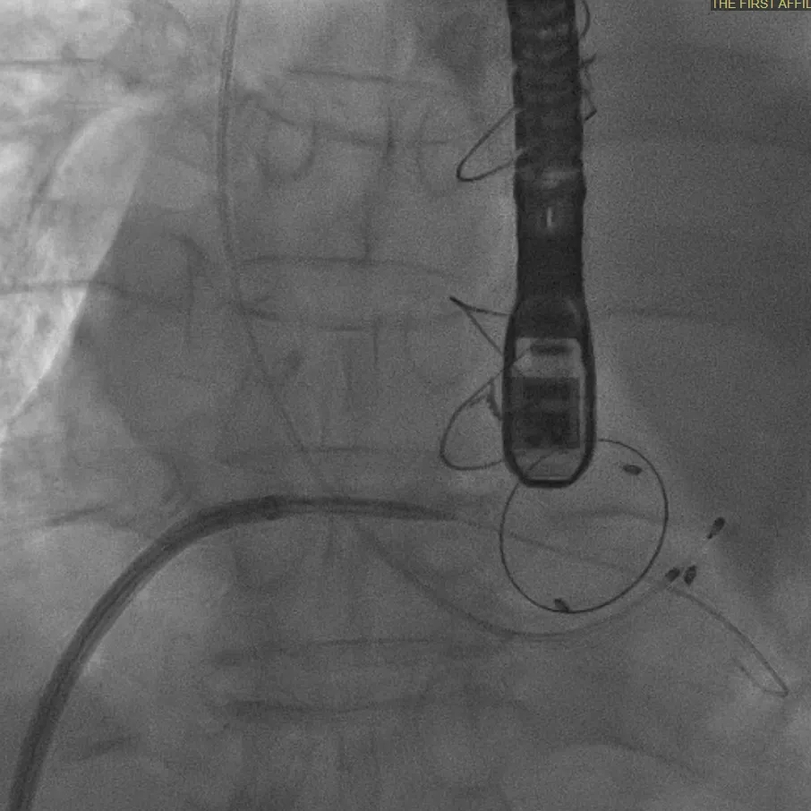
▲穿刺房间隔

▲瓣膜释放瞬间
手术过程很顺利完成,新植入的瓣膜工作良好,且无任何反流情况出现。术后第二天,患者就顺利下床行走,随后顺利出院。

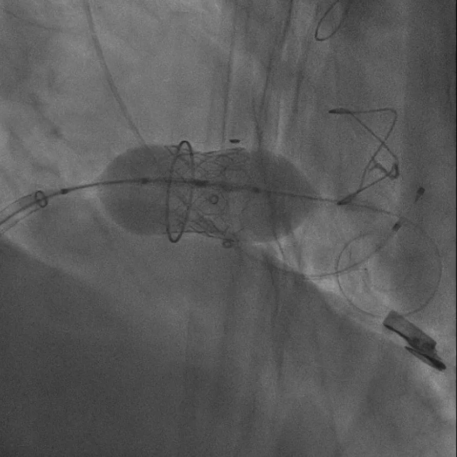
▲术中造影,提示瓣膜形态良好,未见瓣膜反流
该手术的成功,标志着福建医科大学附属第一医院心脏介入技术再攀新高,大大提升了医院在心血管疾病领域的综合救治能力,也为更多患者带来了生命的新希望。目前,医院心内科瓣膜团队已成熟开展包括主动脉瓣置换、二尖瓣嵌夹、二尖瓣置换、肺动脉瓣置换等全系列高难度心脏瓣膜微创手术,实现了对心脏瓣膜疾病的全面技术覆盖。未来,团队将继续紧跟国际前沿,以微创化、精准化的治疗理念,为心脏瓣膜病患者提供更安全、更有效的治疗选择,为区域内心脏疾病患者带来更多健康福音。
-END-
专业的心血管医生学术交流平台


版权及免责声明:
本网站所发表内容知识产权归属医谱平台、主办方以及原作者等相关权利人,未经许可,禁止进行复制、传播、展示、镜像、转载、摘编等。经授权使用,须注明来源,否则将追究其法律责任。有关作品内容、版权和其他问题请与本网联系
发表留言
暂无留言
输入您的留言参与专家互动