西安交通大学第一附属医院陆港院区首次开展MitraClip手术
9月22日,西安交通大学第一附属医院国际陆港院区心血管内科联合多学科部门成功开展本院区首台MitraClip手术,为一例功能性二尖瓣反流(FMR)患者成功行TEER手术。手术的成功是交大一附院术者团队长期以来践行以患者为中心,以精湛技术为追求的真实体现,也标志着陆港院区在结构心脏病介入治疗领域的实现了跨越式发展!

此次手术由心血管内科瓣膜介入团队韩克教授、马云龙教授、何明俊教授;麻醉手术科邓斌教授团队;心脏重症团队任洁教授、罗永百教授、陈方圆教授;超声心动图团队王顺教授、卓小桢教授在介入手术室护士解登越、技师王一飞的配合下联合开展。



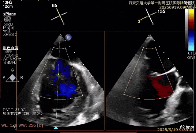
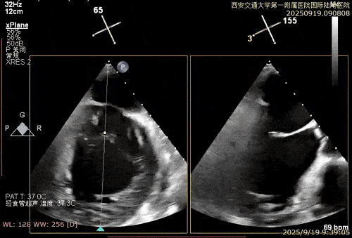
患者男性,69岁,术前TEE评估为FMR患者,因左室功能异常引发二尖瓣重度反流;后叶拴系,反流来源于整个2区,主要集中在2偏1、2偏3。患者瓣口面积约6.2cm²。房间隔可穿刺高度4.5cm。反流束宽度约19mm。AP径36.5mm。









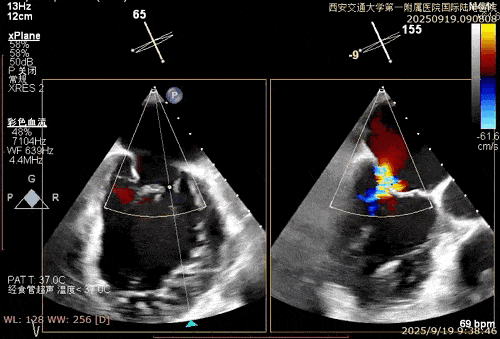
经专家团队评估后决定于2区正中位置先植入一把XTR,植入后评估反流改善情况,如仍有反流,可调整第一把夹子放置于2区偏内,再于第一把夹子外侧植入第二枚夹子,改善对合和反流。

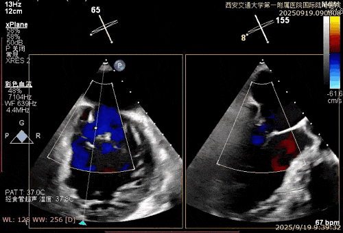
术中在超声引导下完成房间隔穿刺,将第一枚XTR在左房内完成终定位,2偏3区完成植入,夹合效果良好,即刻超声显示轻微反流,完成夹子释放,手术效果良好,手术圆满结束,患者术后6小时即实现床旁活动。




二尖瓣反流作为临床常见的心脏病之一,若病情进展至中重度,会导致患者出现心力衰竭、肺动脉高压等严重并发症,传统外科手术虽为治疗金标准,但对于高龄、合并多器官基础疾病的患者而言,手术创伤大、术后恢复周期长,手术风险显著升高。
经导管二尖瓣钳夹术作为近年来国际公认的微创治疗新技术,通过经血管介入路径,在食道超声与DSA影像引导下,利用特制钳夹将病变的二尖瓣叶边缘夹合,减少瓣口反流,从而改善心脏功能。
该技术具有创伤小、恢复快、安全性高等优势,已成为无法耐受外科手术或拒绝开胸手术患者的重要治疗选择。

-END-
专业的心血管医生学术交流平台


版权及免责声明:
本网站所发表内容知识产权归属医谱平台、主办方以及原作者等相关权利人,未经许可,禁止进行复制、传播、展示、镜像、转载、摘编等。经授权使用,须注明来源,否则将追究其法律责任。有关作品内容、版权和其他问题请与本网联系
发表留言
暂无留言
输入您的留言参与专家互动