名院大查房 | 复旦大学附属华山医院:诡异的非ST段抬高型心肌梗死
浏览量:2312
CCA TV金牌栏目“名院大查房”2025年将继续结合心血管病学专科医师规范化培训特点,为广大专培学员提供专业的临床教学查房培训,深入促进各基地间经验交流与病例分享,全面提升各基地教学能力,精进专培医师临床思维,为新形势下全国心血管病学专培工作注入新动力!每周三,约名院,大查房。

活动时间:2025年11月12日12:00-13:00
教学中心:复旦大学附属华山医院
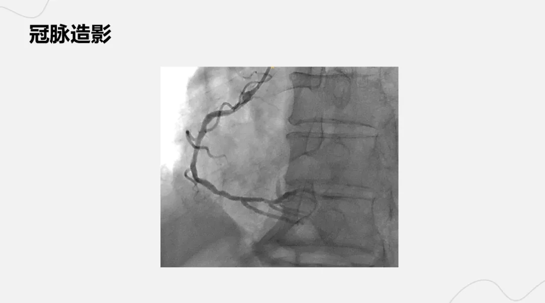
病例名称:诡异的非ST段抬高型心肌梗死
基地主任:李剑
指导老师:黄国倩,沈伟
专培学员:周鹏










讨论:
1、目前的诊断?下一步的检查和治疗计划
2、心肌标志物为何术后没有回落?进一步还需要做什么检查及治疗?
(欢迎大家评论区互动留言)
参与方式
1、远程学院科室可直接打开设备参与课程培训与互动讨论
2、扫描二维码进入直播界面,提前预约本期课程

↑扫码观看直播↑
-END-
专业的心血管医生学术交流平台


版权及免责声明:
本网站所发表内容知识产权归属医谱平台、主办方以及原作者等相关权利人,未经许可,禁止进行复制、传播、展示、镜像、转载、摘编等。经授权使用,须注明来源,否则将追究其法律责任。有关作品内容、版权和其他问题请与本网联系
发表留言
暂无留言
输入您的留言参与专家互动