疑难病例|青年男性大面积心梗合并右房血栓,CAD&AMI?肾病综合征?
34岁男性,因午餐后突然出现胸骨后憋闷、疼痛伴烦躁、大汗,症状持续不能缓解,急诊至当地县医院,诊断为“急性前壁心肌梗死”,给予相关药物后即刻转诊至当地市医院,并于当日行急诊PCI手术,术后患者自觉症状未见好转。
病例摘要
患者男性,34岁,主因胸闷憋气3周余于2015年12月22日入院。患者于2015年11月25日午餐后突然出现胸骨后憋闷、疼痛,呈压榨性,伴烦躁、大汗、恐惧,症状持续不能缓解,急诊至当地县医院,心电图提示:V2~V5导联ST段弓背向上抬高,诊断为“急性前壁心肌梗死”,给予阿司匹林300mg、氯吡格雷片600mg顿服,即刻向上级医院转诊;11月25日15点52分转入当地市医院,测血压70/40mmHg,给予多巴胺泵入,急查心肌酶升高,心电图提示:Ⅱ、Ⅲ、aVF及V2~V5导联ST段弓背向上抬高,诊断为“急性下壁、前壁心肌梗死”,于当日17时行急诊PCI手术,冠脉造影(图1)提示:左优势型,LAD开口完全闭塞,LCX粗大,远段完全闭塞,RCA未见明显狭窄,术中出现心源性休克,给予植入IABP支持,并给予LAD球囊扩张+血栓抽吸,LAD前向血流恢复TIMI 3级。术后常规抗凝、抗血小板治疗,血压稳定后给予拔除IABP(具体不详)。患者自觉症状未见好转,仍有胸闷,憋气,体力明显受限。



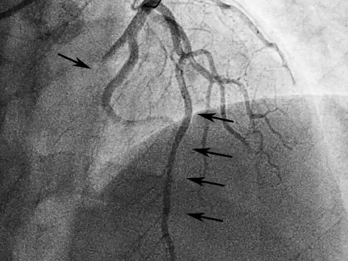
图1 当地心电图及急诊PCI结果
A.当地市医院急诊心电图提示:Ⅱ、Ⅲ、aVF、V2~V5导联ST段弓背向上抬高;B.急诊造影提示:LAD开口闭塞,回旋支远段栓塞;C.PCI术后,LAD TIMI 2级,LCX远段血流未恢复
既往:心肌梗死前10天查体时发现血浆白蛋白:25.1g/L,尿蛋白定量:5.81g/24h,总胆固醇7.74mmol/L,甘油三酯:2.19mmol/L,LDL-C 5.84mmol/L,诊断肾病综合征。血脂紊乱,给予醋酸泼尼松龙片60mg 1次/日,持续至今;高血压病史2年,最高180/120mmHg,未予控制。吸烟史18年,30支/日;饮酒8年,250ml/日。入院查体:血压91/55mmHg,BMI:26.2kg/m2,心界向左侧扩大,心率90次/min,律齐,各瓣膜听诊区未闻及杂音,双肺未闻及湿啰音,眼睑,面部,双下肢轻度水肿。
辅助检查:
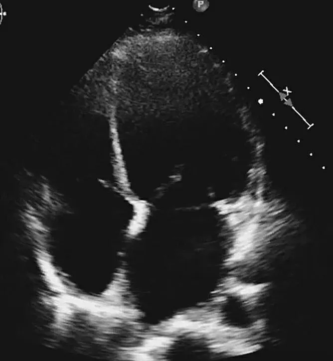
超声心动图:左心室舒张末内径64mm,LVEF 35%,右房内可见不规则条索状、团状等回声,随心脏摆动,舒张期可进入右心室,考虑右房内血栓可能,节段性室壁运动障碍(室间隔、左室心尖部、侧壁心尖段、前壁心尖段、下壁),心尖部室壁瘤形成。
Holter示:房性期前收缩,室性期前收缩,短阵室性心动过速,V1~V4导联呈QS型。
双肾超声示:双肾未见明显异常。
实验室检查:心肌酶正常范围,D二聚体10.81μg/ml,动脉血气分析正常,血清白蛋白24.8g/L,脑利钠肽前体4675.0pg/ml,肌酐59.9μmol/L,抗心磷脂抗体(ACL)阴性,蛋白S测定119%,蛋白C测定144%。
尿蛋白定量:5.80g/24h,复查6.65g/24h。血浆纤维蛋白原4.34g/L。
给予双联抗血小板、调脂、控制心率、抗心衰及泼尼松龙60mg每日1次,并皮下注射依诺肝素强化抗凝,1周后复查心脏超声(图2),发现右房内疑似血栓影完全消失,患者也无低氧、咯血等肺栓塞临床表现。后完成CAG +光学相干成像(OCT)检查(图3),提示:左优势型,前降支近段管腔不规则发白,考虑血栓影,管腔分支稀少,血流TIMI 3级;回旋支远段节段性狭窄达90%,血流TIMI 2级;右冠细小。


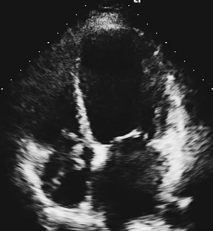
图2 抗凝前后超声心动图对比
A图为入院心脏超声心尖四腔切面,可见右房内疑似血栓影,舒张期可进入右心室内;B图为抗凝治疗1周后复查,可见右房内血栓消失


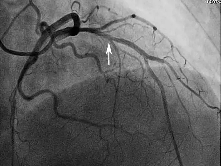
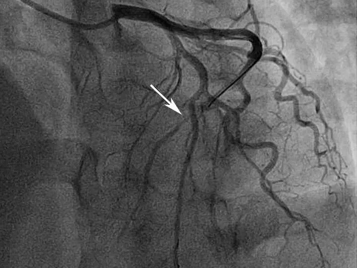
图3 冠脉造影结果
A图显示前降支血流稍慢,中段可见管腔发白,怀疑血栓影;B图提示回旋支远段重度狭窄90%,血流TIMI 2级
OCT(见彩图4)示:前降支远段三层结构清晰,近中段可见血栓影,最小管腔面积为2.67mm2,前降支近段及左主干内可见脂质斑块影,斑块表面侵蚀、血栓附着,未行支架植入。后完善超声右心声学造影:10ml手振生理盐水,经左上肢贵要静脉快速推入,右心房充分显影后未见微泡进入左心房,排除右向左分流的可能。

图4 前降支OCT影像
前降支OCT图像前降支远段三层结构清晰,近中段可见血栓影,最小管腔面积为2.67mm2,前降支近段及左主干内可见脂质斑块影,似可见斑块表面侵蚀、血栓附着
最后诊断:
1.冠心病,急性前壁、下壁心肌梗死,急诊PCI术后;
2.心功能不全,心功能Ⅳ级;
3.右房内血栓形成;
4.肾病综合征,低蛋白血症,高凝状态;
5.高血压病3级(极高危)。
治疗方案:
阿司匹林0.1g每日2次、氯吡格雷75mg每日2次、达比加群110mg每日2次,三联治疗3个月,后停用氯吡格雷,再联合应用1年,视肾病综合征治疗控制情况给予停用达比加群。此外,给予抗心衰“金三角”治疗,包括螺内酯、美托洛尔与培哚普利,及他汀类的标准治疗。
随访结果:
患者出院后坚持用药,至今症状控制尚可,生活可以自理,时有胸闷发作。
诊治思路
患者青年男性,有高血压、高脂血症、大量吸烟等危险因素,因急性前壁心肌梗死入地方医院,转院行急诊PCI手术,术前已合并出现下壁心肌梗死表现,结合急诊造影结果,判断先是前降支开口处血栓形成导致前壁心肌梗死,后部分血栓脱落至回旋支远段,导致同时发生下壁心肌梗死,这在临床实践中较常见。但该患者在发作心肌梗死前10天诊断有肾病综合征,且入院后的常规检查发现D-二聚体高达10μg/ml,怀疑室壁瘤内血栓形成可能,然而,心脏超声提示:右房内可见多个团块、条索样回声,舒张期可以通过三尖瓣进入右室,需要鉴别右房内血栓与黏液瘤,但不符合分叶状、有蒂连接在房间隔上、常见于左房内等特点,初步考虑为血栓可能性大,结合患者肾病综合征病史,考虑血液高凝状态所致(患者血浆纤维蛋白原增高,4.27g/L也验证了这点),患者胸闷、气短的症状也可能由于血栓脱落导致的肺栓塞所致,但动脉血气分析、心电图均无典型表现,故未进行肺动脉CT排查。采用双抗基础上给予全量依诺肝素抗凝治疗1周,D-二聚体明显下降,复查超声心动图发现右房内的异常回声完全消失,证实了右房内血栓形成的诊断。到此处,仍存在一个讨论点,因患者仍间断有胸闷发作,右房内血栓消失,不排除肺栓塞可能,但考虑到造影剂用量、心功能差、肾功能限制、放射剂量等问题,此外患者动脉血气大致正常,且无论结果如何均不能改变治疗策略,所以选择没有给患者完善肺动脉CTA检查。
诊断思路在此面临关键抉择:应遵循“二元论”(即冠心病与急性心肌梗死合并肾病综合征高凝,共同导致右心房血栓)还是“一元论”(即肾病综合征高凝引发右心房血栓,进而通过矛盾栓塞或左心血栓导致冠脉栓塞)?这两种解释将导向不同的治疗决策——是否启动长期抗血小板治疗。当前,诊断需聚焦于:明确是否并存冠心病与冠脉原位血栓,以及探查心内异常通路以排除矛盾栓塞。
在患者心衰症状得到有效控制后,我们为其进行了冠状动脉造影联合光学相干断层成像(OCT)检查。结果显示前降支内仍存在血栓,近段前降支及左主干可见不稳定斑块,并存在斑块侵蚀与原位血栓形成的证据。后续通过右心声学造影检查,排除了矛盾栓塞的可能。至此,临床诊断支持“二元论”解释,治疗方案也据此双线展开:一方面针对冠心病与心力衰竭,给予双联抗血小板、他汀类药物及利尿剂联合“金三角”抗心衰治疗;另一方面针对肾病综合征与高凝状态,先后予以低分子肝素皮下注射与口服达比加群抗凝,并辅以激素冲击治疗。经上述综合干预,患者右心耳血栓消失,胸闷气短症状显著缓解,心率、血压趋于稳定,活动耐力明显改善,病情好转出院。
讨论
本例为年轻的心肌梗死患者,重点在于病因分析。针对年轻的心肌梗死患者,主要分为两大类:冠脉血管没有明显狭窄与冠脉血管明显狭窄。
(1)冠脉造影正常的年轻心肌梗死患者
心肌梗死的潜在病因包括冠状动脉内血栓形成、栓塞、痉挛或上述机制的共同作用。其中,冠状动脉内血栓形成可能与肾病综合征、抗磷脂抗体综合征、蛋白S或C缺乏等疾病状态相关。冠状动脉栓塞相对罕见,主要病因与感染性心内膜炎所致主动脉瓣赘生物脱落有关。而冠状动脉痉挛所致心肌梗死,则主要与可卡因滥用密切相关。此外,有报道称大量酗酒及苯丙胺滥用亦可能诱发冠脉痉挛,进而导致心肌梗死。
该患者有明确的肾病综合征病史,故首先考虑到冠脉正常的心肌梗死可能。肾病综合征引起的高凝状态:由于大量蛋白尿导致低分子蛋白丢失,影响到凝血因子的聚集与活化,凝血因子Ⅸ,Ⅺ与Ⅻ减少。同时由于低蛋白血症,肝脏代偿性的增加合成凝血因子Ⅱ,Ⅶ,Ⅷ,Ⅹ,ⅩⅢ与纤维蛋白原。抗凝血酶Ⅲ是肾病综合征中与血浆白蛋白水平直接相关的凝血抑制剂。当血浆白蛋白水平低于20g/L时,抗凝血酶Ⅲ的水平会明显降低。蛋白C与蛋白S也是肾病综合征导致动脉血栓形成的因素之一。当肾病综合征患者的血浆白蛋白水平低于25g/L时,将是动脉及静脉血栓形成的一个显著的影响因素。
除前述因素外,高凝状态的其他危险因素还包括血小板增多症以及血小板聚集与黏附能力增强。值得注意的是,血小板的高聚集性与血浆胆固醇水平存在关联。基于上述认识,在完成冠状动脉造影及OCT检查前,我们更倾向于采用肾病综合征引发急性心肌梗死的"一元论"解释。
(2)冠脉造影狭窄的年轻心肌梗死患者
目前,临床上心肌梗死的发生有年轻化的趋势。在一个纳入760例15~34岁的尸检研究中,在15~19岁年龄段,只有2%的男性存在严重的冠状动脉粥样硬化改变,而同年龄段女性没有;30~34岁年龄段,20%的男性和8%的女性存在严重的冠状动脉粥样硬化改变。基于这些数据,可得出针对30~34岁青年人冠心病并不罕见的结论。
家族性高胆固醇血症的患者可在年轻时出现严重的冠状动脉粥样硬化病变。其他因素包括大量吸烟、高血压、胰岛素抵抗、肥胖及家族早发冠心病史。其他早发缺血性心脏病的病因包括:自发夹层、冠状动脉瘤样扩张(川崎病)、冠状动脉起源异常等。
该患者冠脉造影及OCT检查确认有冠状动脉粥样硬化破裂斑块及血栓形成的表现,属于第二类冠脉造影有狭窄的年轻心肌梗死患者。该患者同时患有肾病综合征与冠心病,冠状动脉粥样硬化斑块破裂,引发血栓形成,阻塞前降支;而肾病综合征引起高凝状态、低蛋白血症等,导致右房内血栓形成,加剧了血小板的聚集及黏附,使冠脉内血栓体积增加,并导致脱落入回旋支远段继发下壁心肌梗死。治疗也需要针对两元论,进行全面的治疗。
小结
这是一个疑难少见病例,诊疗过程中存在疑问,针对这类年轻的肾病综合征合并心肌梗死的患者,应根据具体的情况进行细致的分析推理,有助于早期诊断及正确治疗方案的制定,有利于提高患者的生活质量,改善患者长期预后。
点评
肾病综合征患者合并缺血性心脏病的病例最早见于1969年的报道,该文献描述了4例肾病综合征患者发生急性心肌梗死。学术界对此关联性存在不同观点:部分学者认为长期肾病综合征可能增加缺血性心脏病的发生风险,而另一些专家则认为二者之间缺乏必然联系。目前尚缺乏大规模前瞻性临床研究证实这一关系,故该争议仍未定论。现有研究发现,在平衡高血压、吸烟等危险因素后,肾病综合征患者发生缺血性心脏病的风险较正常人群增加了5.5倍。
本病例的诊疗重点在于病因鉴别——应遵循"一元论"还是"二元论"解释。通过逐步推进的临床推理、针对性检查及结果验证,最终获得明确诊断,这正是本病例的精髓所在。年轻肾病综合征患者合并心肌梗死的病例十分罕见,通过对此病例的深入研究和回顾,有助于我们掌握科学的诊疗思路与方法,具有重要的临床借鉴价值。
END
专业的心血管医生学术交流平台


版权及免责声明:
本网站所发表内容知识产权归属医谱平台、主办方以及原作者等相关权利人,未经许可,禁止进行复制、传播、展示、镜像、转载、摘编等。经授权使用,须注明来源,否则将追究其法律责任。有关作品内容、版权和其他问题请与本网联系
发表留言
暂无留言
输入您的留言参与专家互动