河南省胸科医院心内科张由建教授团队成功完成冠脉高风险Type 0二叶瓣重度主动脉瓣狭窄TAVR一例
河南省胸科医院心血管内科八病区张由建教授团队在院内超声科、麻醉科、护理科等团队通力协作下,成功完成一例冠脉高风险挑战手术。在团队专业、默契的配合下手术顺利完成,TAVR瓣膜植入良好,患者血流动力学得到明显改善,为患者带来更长久生存期受益和更高生活质量。
病例概况
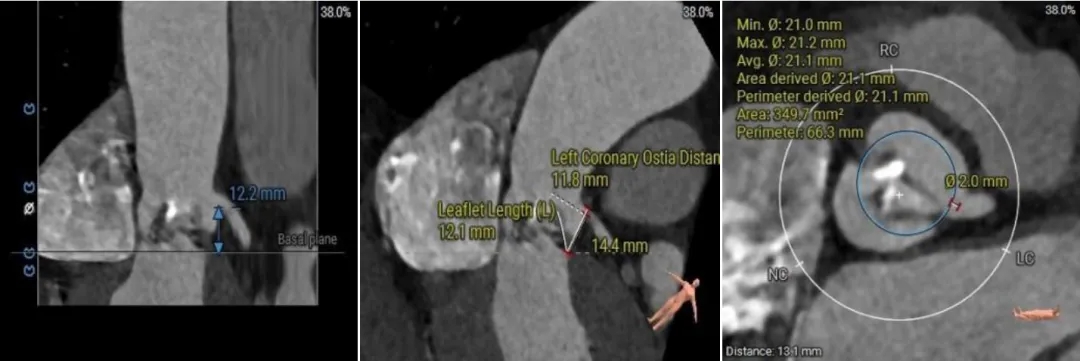
术前检查:










经验分享
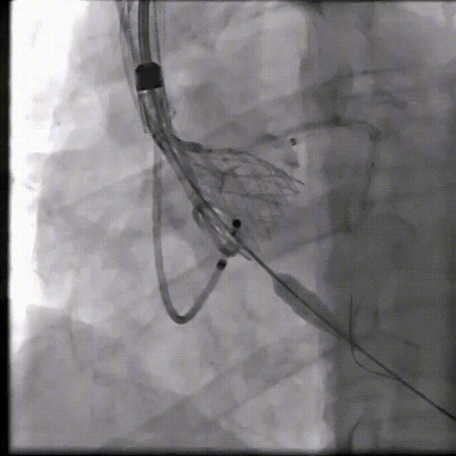
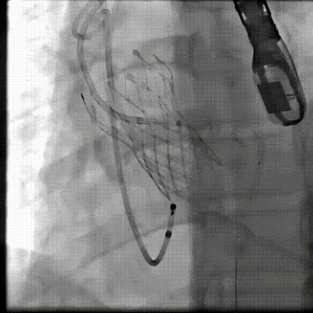
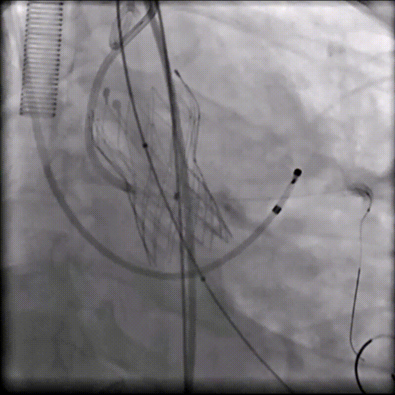
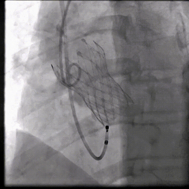
1.手术难点
(1)Type 0二叶式主动脉瓣,瓣环适中,中度钙化,Type 0二叶瓣受瓣口形态及钙化影响,瓣架呈非理想椭圆形展开,对瓣架支撑力与顺应性提出了更高要求,同时该病例合并升主扩张,对同轴性和释放的稳定性提出了更高的要求。因此优先选择支撑性和顺应性兼具的瓣膜,以及较柔软花冠的瓣膜,降低对升主动脉的损伤,小锥角的设计进一步提升了瓣膜在释放的稳定性

(2)窦部空间较小,左侧瓣叶冗长,且开口位置在短轴平面,左冠冠脉风险较高,优先选择有收腰设计的瓣膜,降低冠脉风险并保留术后足够的VTC

2.手术策略
综合病例解剖特点及患者年纪,决定使用第二代可回收的自膨瓣,可回收提高容错空间,为了降低冠脉阻挡风险,决定采用平衡收腰设计的TaurusElite 的瓣膜,先使用大鞘鞘芯进行预扩,然后上20F大鞘。
麻醉医师:患者本次因间断胸闷3年,再发伴加重2月就诊于我院,拟行经导管主动脉瓣置换术,麻醉选择气管插管全身麻醉,备体外循环,术中密切监测生命体征,维持血流动力学,考虑到冠脉风险,球囊预扩和瓣膜释放之后,严格监测血压和心率的变化。
超声医师:患者为重度主动脉瓣狭窄,术前超声充分评估,心腔大小,心腔容量是否充分,各瓣叶活动程度,该病例左侧冠脉风险较高,工作位以及最终释放超声下充分评估原生瓣叶到左冠侧瓣叶距离,进一步评估冠脉风险。







小结
专家简介
-END-
专业的心血管医生学术交流平台


版权及免责声明:
本网站所发表内容知识产权归属医谱平台、主办方以及原作者等相关权利人,未经许可,禁止进行复制、传播、展示、镜像、转载、摘编等。经授权使用,须注明来源,否则将追究其法律责任。有关作品内容、版权和其他问题请与本网联系
发表留言
暂无留言
输入您的留言参与专家互动