JACC: Case Reports丨L-OPN技术:难治性多层支架内再狭窄的可行性选择
导语
多层支架内再狭窄(ISR)伴严重支架膨胀不全是一种极具挑战性的临床难题,有效治疗选择有限。近期,发表在JACC上的一篇病例报道提出,在血管内成像技术指导下,L-OPN技术——准分子激光冠状动脉粥样斑块切除术(ELCA)联合超高压(OPN)球囊血管成形术为多层ISR提供了一种可行的治疗选择,兼具较高的技术成功率与可靠的安全性表现。

病例信息
现病史:患者65岁男性,尽管介入术后进行了充分的药物治疗,但仍出现心绞痛(CCS 分级 III级)。患者曾进行过多次右冠状动脉(RCA)介入治疗:
· 2021年:患者因RCA中段和远段存在2层支架的ISR,在RFR指导下进行PCI治疗,切割球囊联合药物涂层球囊治疗取得了满意的生理学结果。
· 2024年:患者再次出现支架内再狭窄,经切割球囊与血管内碎石术(IVL)处理后,植入第3枚支架。
· 2025年:本次就诊中,OCT结果显示最近植入的第3枚支架较之前支架存在膨胀不全,可能是导致此次ISR的原因。
既往史:糖尿病、高血压、血脂异常等心血管疾病。曾行左前降支、回旋支PCI,支架通畅;多次RCA介入治疗,但仍反复出现ISR。
鉴别诊断:考虑到既往多次介入治疗史和复发症状,鉴别诊断包括先前置入支架内的新生动脉粥样硬化、新生内膜增生,以及因基础钙化或纤维组织导致的支架膨胀不全。血管内成像技术对于明确这些病理机制,并制定合适的治疗策略至关重要。
术前检查
经左侧桡动脉入路的冠状动脉造影显示:右冠状动脉优势型,左前降支和回旋支内支架通畅;RCA显示先前支架植入节段内,血管中段(90%)及远段(80%)出现严重再狭窄,TIMI血流分级2级。
OCT检查提供了关键诊断信息:RCA中段存在3层支架,伴有严重的支架膨胀不全。最小支架直径仅为1.6mm,而参考血管直径超过3mm,证实了支架膨胀不全是ISR的主要机制。在支架膨胀不全的节段周围可见钙化的新生内膜组织(图1)。

图1:OCT横截面显示存在严重管腔狭窄,多个同心支架层,支架层之间可见非均质性增生。
手术过程
常规介入尝试:对病变进行预处理。首先使用3.0× 20mm非顺应性球囊进行预扩张,随后成功实施切割球囊(3.0× 10mm,18 atm)扩张,但重复OCT仍显示支架严重膨胀不全,改善甚微。
实施L-OPN技术:鉴于病变的难治性,决定对患者实施准分子激光冠状动脉粥样斑块切除术(ELCA)联合超高压(OPN)球囊血管成形术——我们称之为L-OPN技术。
IVUS评估病变,最小管腔直径为1.8×1.9mm。
➤ 使用1.4mm导管以60-mJ/mm2能量密度,60 Hz频率进行ELCA。进行了6次激光治疗,期间使用标签外的造影剂,以最大限度地提高光力学性能,增强消融效果(图2)。
➤ 使用OPN球囊(3.0 mm,40 atm)进行积极预扩张(图3)。

图2

图3
➤ 术后IVUS证实显著改善:最小管腔直径[MLD]:2.6×3.1mm,最小管腔面积[MLA]:6.7mm2。
➤ 在治疗节段使用2个3.0×20mm药物洗脱球囊治疗,并于开口处成功放置一枚3.5×12mm支架。
手术顺利完成,无并发症发生。
术后评估与随访
采用L-OPN技术获得了极好的冠脉造影与血管内成像结果(图4)。

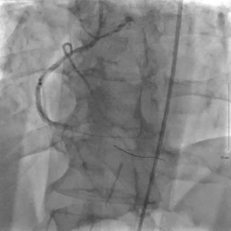
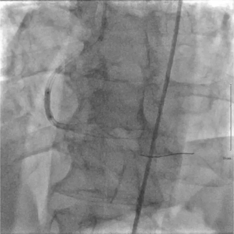
图4:(A)术前冠脉造影显示血管中段重度狭窄(≥90%)伴远段重度狭窄(≥80%),导致TIMI血流分级2级。(B)ELCA+OPN球囊处理后血管造影显示管腔改善,血管轮廓恢复平滑。

术后4周随访:患者心绞痛症状完全缓解,无主要不良心血管事件(包括心肌梗死、靶病变血运重建或支架内血栓形成)发生。患者继续接受双联抗血小板治疗,无出血或缺血并发症,恢复正常日常活动。
支架膨胀不全是支架内血栓形成和ISR的明确预测因子。采用血管内成像进行评估,20%-30%的PCI病例报告了支架膨胀不全。持续存在的支架膨胀不全会使不良事件的风险显著升高,当存在多层支架时,该问题会进一步加剧,且纤维钙化组织会限制常规球囊后扩的有效性。
本病例展示了处理难治性多层ISR的系统性方法——L-OPN技术。本例患者在转诊中心接受了包括IVL、切割球囊、OPN球囊在内的积极治疗,但膨胀不全支架周围的钙化纤维组织仍阻止了充分的扩张。该模式与已发表的文献一致,表明具有抵抗性的瘢痕和纤维化组织(不仅仅是钙化)可能会导致常规治疗失败。
ELCA提供了一种独特的机制来改变斑块和血管的顺应性。当使用标签外的造影剂进行ELCA,激光产生的流体空化气泡可使钙化及纤维化组织破裂。本例病例中,使用1.4mm导管,在60-mJ/mm2能量密度,60 Hz频率下,进行了6次造影剂增强治疗,对病变进行了充分的修饰,使得OPN球囊得以扩张至40 atm。
L-OPN技术结合了ELCA和OPN球囊的高压扩张能力。ELLEMENT注册研究数据表明,使用ELCA治疗支架膨胀不全的成功率高(最小支架面积增加≥1mm2)。最近对16名接受ELCA联合造影剂灌注法的系列研究显示,平均最小支架面积增加了2.34±1.57mm2,且无技术相关并发症。本例手术结果(支架严重膨胀不全的基线约1.4mm2→最终获得MLA达5mm2,根据MLD1.5×1.2mm计算)与已发表的结果和安全性数据相符。
血管内成像技术在本病例中起到了至关重要的作用。OCT和IVUS明确了基线支架膨胀不全的严重程度与机制,并记录了L-OPN术后管腔尺寸的显著改善,这些结果若仅靠血管造影可能并不明确。虽然旋磨介入或轨道旋磨术被认为是一种有效处理钙化性单层支架膨胀不全的方法,但多层支架结构限制了其有效性并增加了嵌顿风险,因此使得造影剂增强ELCA成为此临床情况下的首选方法。
本例患者在接受最佳药物治疗情况下仍表现为CCS III级心绞痛,替代治疗策略也值得思考。考虑到其为局限性RCA病变,未涉及左主干及广泛多支血管病变,因此冠状动脉旁路移植术(CABG)获益有限,而血管内近距离放疗(IVBT)虽然是复发性ISR的有效治疗手段,但可及性受限。在本病例中,成功的L-OPN联合药物洗脱球囊,为患者提供了有效的治疗,且无需进行转诊。
原文链接:
https://www.jacc.org/doi/10.1016/j.jaccas.2026.107058
· END ·
专业的心血管医生学术交流平台


版权及免责声明:
本网站所发表内容知识产权归属医谱平台、主办方以及原作者等相关权利人,未经许可,禁止进行复制、传播、展示、镜像、转载、摘编等。经授权使用,须注明来源,否则将追究其法律责任。有关作品内容、版权和其他问题请与本网联系
发表留言
暂无留言
输入您的留言参与专家互动