可降解病例大赛优秀病例分享 | 脑梗背后藏“心”患:生物可降解封堵器治疗长隧道PFO合并26*12mm大型房间隔膨出瘤
在2025年MemoSorb可降解封堵器病例创新大赛中,青海省第五人民医院韩凯明医生分享了一例生物可降解PFO封堵术。患者男性,55岁,因“头晕伴肢体无力9月”就诊,最终诊断为PFO伴房间隔膨出瘤所致的隐源性脑梗死。在常规药物治疗后症状仍持续进展的情况下,患者成功接受了MemoSorb生物可降解PFO封堵器植入术,术后即刻及3个月随访显示,封堵器形态位置良好,无残余分流,术后随访患者头晕症状明显缓解,且未再发生脑梗,日常生活逐渐恢复正常。本病例凸显了对于隐源性卒中患者排查PFO的重要性,并证实了生物可降解封堵器在此类患者中实现精准介入、规避金属永久植入的可行性与显著优势。
患者信息
患者男,55岁,主诉头晕伴肢体无力9月。
现病史:
-
患者于2024年8月无明显诱因出现双下肢力弱,站立不稳,不能行走,伴有头晕不适,表现为双下肢不能迈步,无其他伴随症状,当时被家属送往外院就诊,完善头颅MRI提示右侧大脑大面积脑梗死并出血可能,家属为求进一步治疗来我院,急诊完善头颅CT,提示出血,支持诊断急性出血性脑梗死,收住神经内科。
-
行全脑血管造影术:双侧横窦血栓形成,左侧硬脑膜动静脉瘘可能,对症治疗后好转出院。院外规律口服“阿司匹林、阿托伐他汀钙、丙戊酸钠、盐酸多奈哌齐、盐酸美金刚”等药物
-
多次就诊外院均建议患者行手术治疗,患者因个人原因未行手术。患者病程中头晕、肢体无力症状出现进行性加重,今为求进一步行卵圆孔封堵术来我院就诊,并以“先天性心脏病:卵圆孔未闭,脑梗死后遗症”收住心血管内科。
术前检查
2024-9全脑血管造影:双侧横窦血栓形成,动静脉瘘可能


2025-4 经颅多普勒发泡试验(外院):
经颅多普勒增强试验及脑血流评估提示:TCD增强试验:阳性(提示存在右向左分流)。
2025-5颅脑磁共振:
较前2024年9月片比较:右侧大脑半球大面积脑梗死,部分趋于软化,其内伴出血可能,范围较前略缩小,脑水肿及蛛网膜下腔出血较前基本吸收;脑内散在缺血性白质病变(Fazekas 1级);扫及双侧筛窦、左侧上颌窦粘膜增厚。头颅MRA示:右侧大脑中动脉远端分支稀疏,右侧后交通动脉开放。


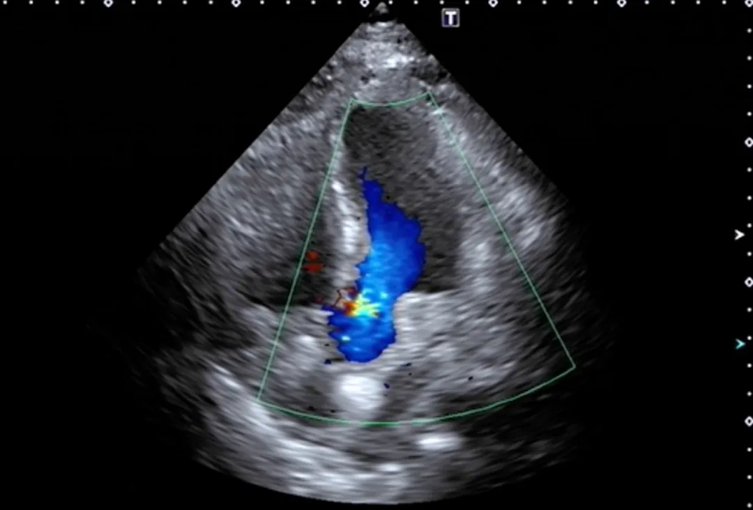
2025-5经食道超声心动图检查:
-
各角度探查左心耳内未见血栓回声。房间隔中段回声纤细,向右房侧膨凸,大小约26x12mm。
-
第二房间隔呈“搭错样”改变,通道宽约2.8mm,长约12mm。
-
CDFI:示房水平见左向右分流信号。室间隔连续完整。未见心包积液,无血栓及赘生物。余结构请参阅经胸超声心动图。



超声提示:
房间隔膨出瘤形成
卵圆孔未闭
房水平左向右分流
左心耳内未见血栓回声
2025-5超声右心声学造影检查:发泡实验阳性-心房水平可见右向左分流

术中策略
术中复测:PFO宽约2.8mm,长约12mm;膨出瘤大小约26X12mm。
选伞型号:BDPFO-I 3434可降解封堵器。
手术策略:右心室造影+卵圆孔封堵术。
手术操作
输送轨道建立

左盘展开

将输送系统整体回撤贴靠间隔
右盘展开

双盘扣合住房间隔
锁定前牵拉测试

封堵器稳定夹持在房间隔两侧
成型锁定

封堵器锁定成型,DSA下牵拉测试,造影确认无残余分流
释放封堵器

剪线并抽出线后解脱钢缆
术后用药策略
-
阿司匹林肠溶片 每次用量:0.1g 用法:口服,频次:每日一次
-
硫酸氢氯吡格雷片 每次用量:75mg 用法:口服,频次:每日一次
-
阿托伐他汀钙片 每次用量:20mg 用法:口服,频次:每晚一次
术后随访
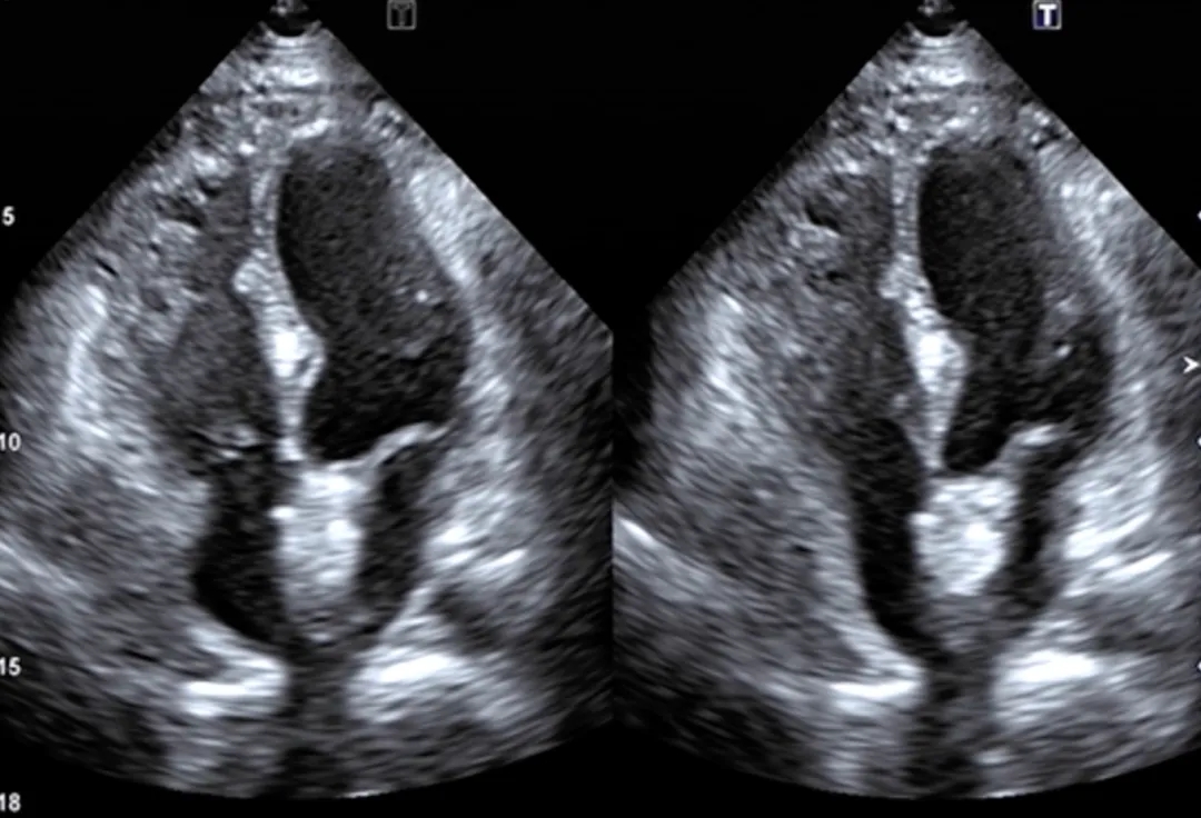
出院前心脏彩超:


PFO封堵术后,未见异常分流,房间隔膨出瘤,二尖瓣少量反流,三尖瓣少量反流,左室室壁运动正常,左室收缩功能正常,左室舒张功能不全I级。
术后3个月复查心脏彩超:


PFO封堵术后,未见异常分流,二尖瓣少量反流,三尖瓣少量反流,左室室壁运动正常,左室收缩功能正常,左室舒张功能不全I级。
三个月随访期间,患者头晕症状显著改善,且未再发生脑梗事件。
病例小结
本病例为一例不明原因脑梗死患者,经系统检查确诊为卵圆孔未闭(PFO)合并房间隔膨出瘤。该病例提示,对隐源性脑卒中患者,应积极完善心脏超声及经食道超声检查,以排除卵圆孔未闭等潜在结构性心脏病。此类心脏“小洞”可能长期隐匿存在,是脑梗死等重要临床事件的潜在病因。早期发现并通过微创介入技术封堵PFO,可有效控制相关风险。
本例患者为55岁男性,因长期头晕伴肢体无力就诊,经系统检查确诊为PFO合并ASA所致隐源性脑梗死。患者在常规药物治疗后症状持续进展,提示仅药物治疗难以有效控制卒中风险。行MemoSorb生物可降解PFO封堵器植入术后,术中及术后复查均显示封堵器形态位置良好,无残余分流,术后随访3个月期间患者症状明显缓解,未再发生脑梗事件。可降解PFO封堵器采用生物可降解材料研制,植入人体后1年左右逐步降解为水和二氧化碳,降解过程中可促进房间隔自体修复,减少血栓形成及长期抗凝依赖性风险;对于高危隐源性卒中患者,生物可降解PFO封堵器不仅能够实现精准封堵,有效缓解卒中相关症状,同时规避金属植入的长期潜在风险,为PFO相关卒中患者提供了更安全的治疗新选择。
感谢青海省第五人民医院韩荣胜主任团队的病例分享
-End-

扫码观看可降解学苑精彩内容
-END-
专业的心血管医生学术交流平台


版权及免责声明:
本网站所发表内容知识产权归属医谱平台、主办方以及原作者等相关权利人,未经许可,禁止进行复制、传播、展示、镜像、转载、摘编等。经授权使用,须注明来源,否则将追究其法律责任。有关作品内容、版权和其他问题请与本网联系
发表留言
暂无留言
输入您的留言参与专家互动