双剑合璧,封耳心安 | MemoLefort联合MemoCarna成功挑战巨大房缺合并左心耳一站式封堵
在心血管介入治疗领域,面对多重结构性心脏病并存的复杂情况,“一站式”介入手术正以其微创、高效、安全的优势,成为临床治疗的优选方案。本病例中,患者同时存在巨大房间隔缺损及左心耳高血栓风险因素,通过充分、系统的术前评估,最终应用MemoLefort左心耳封堵器与Memocarna氧化膜房间隔缺损封堵器的协同应用,实现了一次手术、双重获益,有效降低卒中风险的同时,纠正异常分流所致的血流动力学负担。本病例的成功实施,不仅展示了国产高性能封堵系统在处理复杂解剖结构时的稳定性与兼容性,也为合并多种结构性心脏病患者的规范化治疗提供了宝贵的临床参考。
患者基本信息
基础信息:男性,61岁。
主诉:因“双下肢水肿1月”收治入院。
诊断:1.房间隔缺损;2.冠心病 PCI术后 心脏扩大 窦性心律+完全性右束支传导阻滞;3.慢性心力衰竭;4.高血压2级,很高危组;5.2型糖尿病;6.中度肺动脉高压。
CHA2DS2-VASc评分3分,HAS-BLED评分2分。
超声诊断:房间隔中部组织薄弱,随整个心动周期膨向右房,膨出基底部宽29.7mm,膨出幅度8.1mm,中部组织见连续中断,断端回声增强,CDFI示:心房水平左向右分流,分流束宽14.7mm,分流峰速119cm/s,压差:6mmHg;剑下切面:缺口宽19.2mm,上腔残边12.7mm,下腔残边12.2mm,下腔边为膨出软边;胸骨旁四腔切面见两孔:其中一个孔宽7.9mm,另一个孔宽15.0mm,两孔间距8.4mm,前下残边7.1mm,后上残边6.2mm;大动脉短轴切面见两孔:其中一个孔宽9.6mm,另一个孔宽15.4mm,两孔间距6.3mm,大动脉残边无边,后下残边6.0mm。室间隔连续完整,CDFI示:未见过隔分流。
通过充分的术前资料评估,遂行左心耳封堵+房缺封堵一站式手术。
卒中风险评分和出血风险评分


左心耳封堵
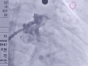
术中DSA肝位造影并测量心耳大小:菜花型左心耳
通过房间隔缺损位置建立轨道,无需再进行房间隔穿刺

心耳呈菜花状
心耳内无血栓
开口24.3mm,深度24.7mm
术中封堵策略
-
术中房缺位置可确保封堵器输送鞘轴向与左心耳轴向一致,故未额外穿刺,拟先行左心耳封堵后再进行房缺封堵。
-
该心耳为菜花型,此类心耳一般多为囊袋状多分叶,术前造影评估远端梳状肌较为发达,开口24.3mm,深度24.7mm,深度足够,建议选择LAFDQ-26封堵器进行封堵。
MemoLefort封堵器展开


输送输送鞘,确保轴向与心耳一致
确认轴向后,输送封堵器
封堵器展开后造影

封堵器完全展开,封堵器未露肩
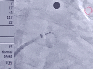
牵拉试验

调整封堵器后牵拉封堵器确认封堵器稳定
再次造影

封堵器稳定封堵,无残余分流
测量压缩比

压缩比10.95%
封堵器释放后造影评估


Lefort封堵器评估符合PASS原则,释放封堵器,封堵器位置稳定且未见残余漏
房间隔缺损封堵

将导管送入左上肺静脉
输送输送鞘

输送封堵器

在超声下观察房缺封堵器形态


双孔房缺,术前彩超报两孔分别7.9mm和15.0mm,孔距6.3-8.4mm,选择MemoCarna氧化膜房缺封堵器DMFQFDQ-I 28,封堵后仍有2-3mm残余分流,对血液动力学没有影响,术者评估在允许范围
释放房缺封堵器

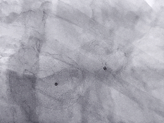
术后观察封堵器形态


左心耳封堵器稳定锚定在心耳内部
房缺封堵器稳定夹持房间隔
小结
菜花型左心耳由于其复杂的内部结构,血流容易在隐窝和分叶处形成涡流,导致血液淤滞,增加了血栓形成的风险。研究表明,这种形态的左心耳与栓塞事件的关联更为密切。在房颤患者中,菜花型左心耳是评估血栓风险和决定治疗策略的重要因素1。对于这类患者,建议优先考虑左心耳封堵术以降低血栓脱落导致中风的风险。
术前结合CT以及术中造影评估左心耳开口24.3mm,深度24.7mm,术中考虑心耳开口和深度充足,可利用心耳空间进行退鞘释放封堵器,使封堵器完全封堵左心耳。术中调整封堵器在心耳内的位置形态,确保封堵器放置位置合适,且牵拉稳固,术后封堵器形态完整,未见残余漏。本病例展开后即刻造影,平口封堵,上下缘不留残腔。封堵器压缩比为10%,压缩合适,术中符合PASS原则,释放封堵器,术后封堵器稳固锚定在心耳壁,封堵器与心耳紧密贴合,无过度扩张风险,显著提升封堵完整性。
考虑房缺患者本身患房颤风险较高,且患者已经存在慢性心力衰竭,并存在高卒中高出血风险,所以术者选择MemoLefort和MemoCarna强强联手进行左心耳合并房缺一站式封堵手术,一次性解除了因巨大房缺带了的血流动力学影响和房颤风险这两大健康威胁,真正实现“一种方案,双重获益”的最终目标。该手术不仅极大减轻了患者的创伤痛苦,缩短了康复周期,更展现了现代微创介入技术“高效、精准、安全”的核心理念。随着技术的不断成熟与推广,必将为更多患有复杂心脏疾病的患者提供一种更优的治疗选择,帮助他们以更小的代价,迎来更安心、更高质量的未来。
参考文献:1.王晨琛, 杨文波, 华玮, 陈晔芬, 苏秀秀, 龚俊世, 方跃华. 左心耳解剖形态、功能与非瓣膜性心房颤动患者脑卒中发生风险的相关性研究[J]. 诊断学理论与实践, 2020, 19(02): 151-156.
-END-
专业的心血管医生学术交流平台


版权及免责声明:
本网站所发表内容知识产权归属医谱平台、主办方以及原作者等相关权利人,未经许可,禁止进行复制、传播、展示、镜像、转载、摘编等。经授权使用,须注明来源,否则将追究其法律责任。有关作品内容、版权和其他问题请与本网联系
发表留言
暂无留言
输入您的留言参与专家互动