里程碑 | 中国医学科学院阜外医院窦克非主任医师团队完成全球首款多通道“全程辅助”血管介入手术机器人PCI手术
2025年11月25日,由中国医学科学院阜外医院作为临床牵头单位研发的全球首款多通道“全程辅助”血管介入手术机器人,首次完成其全球临床应用,成功实施了经皮冠状动脉介入治疗(PCI)手术,并且顺利实现“三连台”。

首例实战:机器人“巧手”完成复杂双支病变介入
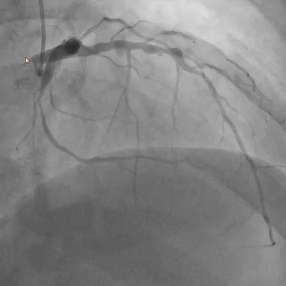
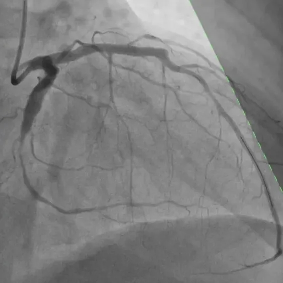
首例患者为一名患有冠心病的52岁男性,经术前冠脉造影检查显示左冠前降支和回旋支均有80%以上狭窄病变,需进行支架植入治疗,在与患者充分沟通并签署知情同意书后,手术顺利实施。


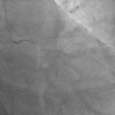
基线造影—左冠前降支
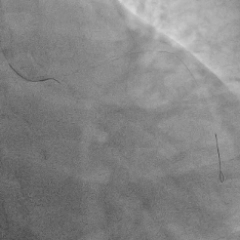
基线造影—左冠回旋支
本次手术涵盖了机器人辅助下的冠脉造影及支架植入全流程。窦克非主任医师通过机器人系统,成功完成了导管全程递送及钩冠、导丝通过病变、球囊预扩张、支架精准释放及球囊后扩张等关键步骤。手术中最引人注目的是机器人系统的全流程辅助和多通道多器械协同操控能力。医生可根据病变特点和手术需要,选择导丝和导管独立操控或同步联动,双导丝和双球囊/支架导管同时操控,大幅提升了操作效率。


1 导管全程递送
2 导管完成钩冠


3 左冠前降支导丝递送
4 左冠前降支支架植入


5 左冠回旋支导丝递送
6 左冠回旋支支架植入
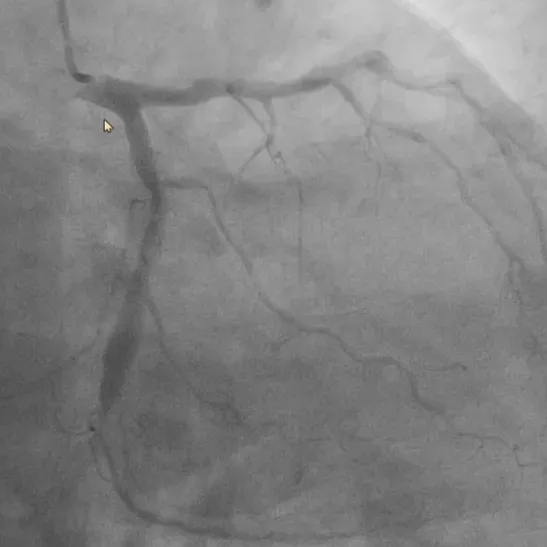
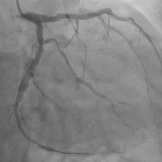
术后即刻造影显示,支架扩张、贴壁良好无残余狭窄,TIMI血流3级,手术效果显著。


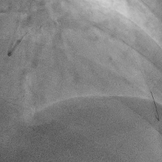
术后造影—左冠前降支
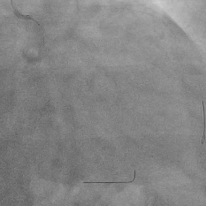
术后造影—左冠回旋支
技术突破:精准度与安全性的双重革命
该款由阜外医院临床牵头、由我国企业自主研发的血管介入手术机器人,在本次临床试验中,成功验证了其临床价值和差异化优势:
✦
•
手术体验和安全性全面提升。医生只需坐在导管室外的控制台前操作,完全避免辐射暴露,无需穿着沉重铅衣,显著降低了医生疲劳度,提高了手术专注力。
✦
•
操作精度和稳定性超越人手。机器人递送精度达到亚毫米级,支架释放过程实现零移位,在透视图像引导下完美覆盖病变部位,有望降低术后并发症概率,提升患者预后质量。
✦
•
全流程辅助与多通道多器械协同提升操作效率。从指引导管进入血管鞘开始,直到支架释放完毕,整个流程均由机器人辅助完成。系统可同时控制两根导丝、两根球囊/支架导管,原本需要多名医生配合的多器械操作,现在仅需一名医生控制机器人即可完成。


窦克非主任医师团队使用机器人开展手术
专家评价:迈向精准化、标准化、数智化的心血管介入新阶段
主导该手术的窦克非主任医师对此次手术给予高度评价:“血管介入手术机器人是推动PCI手术迈向精准化、标准化和数智化时代的关键平台。基于长期临床合作及本次PCI手术的成功,该款手术机器人在精准性、稳定性和全流程操控体验方面体现出明显优势,为下一步挑战更高难度手术奠定了基础。期待早日实现推广应用,提高介入手术同质化水平,推动优质医疗资源下沉,造福广大冠心病患者。”

窦克非主任医师团队术后合影
行业展望:从技术引领到生态构建
此次手术的成功开展,标志着由阜外医院临床需求驱动、整合产学研医协同创新力量,在我国血管介入手术机器人领域完成了从技术追赶到临床引领的历史性跨越。作为该项目的牵头与核心临床验证单位,阜外医院依托其丰富的复杂病例经验与顶尖临床专家团队,深度融合中国科学院自动化研究所等单位近二十年的前沿技术积累,主导推动了全球首款多通道全流程血管介入手术机器人的研发与临床转化。该项目已进入国家药监局创新医疗器械特别审查程序,并获国家重点研发计划、北京市科技计划等重点科研项目支持。
血管介入手术机器人的发展,不仅代表着手术精准性与安全性的飞跃,更是阜外医院践行优质医疗资源下沉、推动健康中国建设的重要实践。未来,阜外医院将积极探索血管介入手术的流程再造与远程手术新模式,致力将国家医学中心的精湛技术能力系统化、标准化地延伸至更广泛的医疗机构。
专家简介


-END-
转自:中国医学科学院阜外医院
专业的心血管医生学术交流平台


版权及免责声明:
本网站所发表内容知识产权归属医谱平台、主办方以及原作者等相关权利人,未经许可,禁止进行复制、传播、展示、镜像、转载、摘编等。经授权使用,须注明来源,否则将追究其法律责任。有关作品内容、版权和其他问题请与本网联系
发表留言
暂无留言
输入您的留言参与专家互动