术后6个月随访 | 可降解封堵器介入治疗合并脑梗小型房间隔缺损病例分享
在2025年MemoSorb可降解封堵器病例创新大赛中,武汉大学中南医院结构性心脏病中心卢瑞、郑璇教授分享一例无marker可降解封堵器治疗合并脑梗小型房间隔缺损一例。患者既往脑缺血病史,神经系统无异常,结合超声、右心声学造影等检查,怀疑为PFO相关反常栓塞,后TEE确诊为小房缺,缺损大小0.35cm。2020ESC指南推荐ASD合并反常栓塞,无论大小均建议封堵(IIa,C)。团队选用MemoSorb BDASD-II 10可降解封堵器精准植入。术后1个月、3个月随访封堵器形态完整,6个月随访时封堵器逐渐降解,“三明治”结构模糊。可降解封堵器的生物相容性和可降解特性契合青少年成长发育需求,提供了更符合其生理和心理双重获益的的远期方案。
患者信息
基本信息:患者男,18岁。
主诉:左手无名指及小指乏力2月。
现病史:患者2月前突发症状,外院MRI示右侧放射冠区急性脑梗死,治疗后好转;1月前右心造影提示大量右向左分流,疑为卵圆孔未闭相关反常栓塞。门诊TCD发泡试验潜在阳性,收入我院。
既往史:既往体健,军校在读,无烟酒史。
入院检查:查体生命体征平稳,神经系统及心肺腹未见异常,实验室检查(血常规、凝血、肝肾功能、免疫抗体及易栓症筛查)均无异常。
初步诊断:
脑梗个人史
卵圆孔未闭
辅助检查
-
经胸心脏超声描述:心脏结构正常,升主动脉、肺动脉及主动脉弓降段无增宽或狭窄;各房室腔大小正常,室间隔及左室后壁厚度正常,室间隔连续完整,瓣膜形态及活动未见异常,无心包积液。TDI显示二尖瓣环运动频谱E’/A’>1,E/E’=10(提示左室舒张功能尚可)。右心声学造影:静息状态左心系统少量微泡(<10个);Valsalva动作后:左心系统微泡显著增多(>30个)。
-
超声提示:静息及Valsalva状态下心房水平右向左分流。

-
TCD所见:静息状态可见微泡信号出现(<10个),Valsalva动作后微泡呈现雨帘状分流,符合右向左分流特征。
-
TCD提示:发泡试验阳性,支持心房水平右向左分流(固有型)。

-
头部CT:

未见明显异常
结合脑梗病史、无其余相关高危因素,ROPE反常栓塞评分10分(高危),高度提示卵圆孔未闭导致反常栓塞。
经食道心脏超声:四腔心切面缺口径宽约0.35cm,缺损边缘距二尖瓣环约2.1cm,距房顶约2.5cm,大动脉短轴切面缺口经宽0.36cm,主动脉后方无残边。双房切面缺口径约0.35cm,缺损边缘距上腔静脉约2.6cm,距下腔静脉约2.7cm。CDFI:房间隔连续中断处见左向右分流信号。


TEE可见房间隔中断出左向右分流
TEE测量缺损大小
肺动静脉CTA未见异常;经食道超声检查明确为小房缺,缺损直径约0.35cm。
临床策略
根据2020 ESC成人先天性心脏病管理指南建议,对于发生反常栓塞的ASD患者,无论缺损大小,均应考虑关闭缺损(IIa,C)。结合患者军校高强度训练需求及预防再发脑梗风险,选择于DSA和TTE引导下完成房间隔缺损封堵术。选用MemoSorb BDASD-II 10规格可降解封堵器及12F可降解封堵器介入输送系统实施封堵,兼顾生物相容性与远期组织修复优势。

手术过程
左盘展开


DSA下左盘展开
左盘面贴靠房间隔
右盘展开


固定钢缆,后撤鞘管展开右盘
超声多切面下确认封堵器双盘骑跨房间隔两侧
牵拉试验

DSA下牵拉试验
验证封堵器稳定夹持于缺损处
成型锁定


TTE多切面显示封堵器双盘稳固骑跨房间隔两侧,无移位、无残余分流
前顶钢缆和鞘管,牵拉成型线锁定封堵器
释放封堵器

DSA下逆时针旋转解脱钢缆,释放封堵器
释放后评估


TTE再次确认封堵器位置理想、双盘贴合紧密
术后随访
术后1个月及3个月复查时超声提示:房间隔可见封堵器回声,封堵器“三明治”结构完整,轮廓清晰,位置固定,无残余分流,无周围其他结构异常。


术后1月随访超声
术后3月随访超声
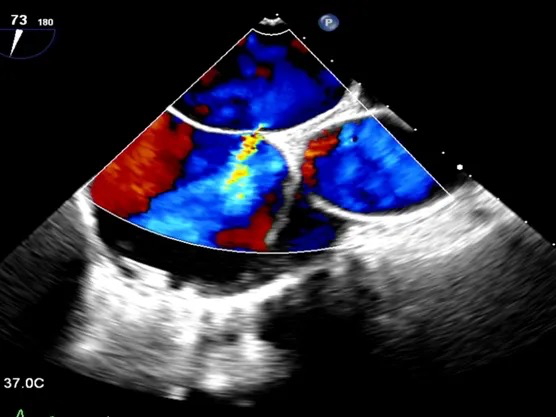
术后6个月复查超声显示:封堵器轮廓模糊,逐渐降解,“三明治”轮廓模糊。TCD发泡试验结果转为阴性,提示右向左分流消失,介入治疗效果显著。

术后6月随访超声


术后6月TCD发泡实验阴性
病例小结
该病例为一名18岁军校学员,曾因“右侧放射冠区急性脑梗死”接受治疗。进一步检查发现TCD发泡试验阳性,右心声学造影提示Valsalva动作后存在大量右向左分流,RoPE评分达10分,临床高度怀疑为卵圆孔未闭相关反常栓塞。经食道超声最终证实为小型房间隔缺损(ASD),其病理生理机制与卵圆孔未闭相似,均可因右向左分流导致反常栓塞引发脑梗死。
根据2020年ESC成人先天性心脏病管理指南建议,对于发生反常栓塞的ASD患者,无论缺损大小,均应考虑关闭缺损(Ila,C)。为降低术后残余分流风险,介入封堵中,房缺封堵器是小型ASD的首选方案。结合患者为军校年轻学员,日常训练强度大,为追求远期无异物留存,不影响军事职业发展,最终选择应用可降解房间隔缺损封堵器进行治疗。
术后随访显示封堵器形态及功能良好:术后1月、3月时结构完整;6个月时可见降解征象,“三明治“结构逐渐模糊。同期TCD发泡试验转阴性,证实右向左分流消失。患者神经功能恢复良好,无再发卒中。本例提示,对于青年不明原因脑卒中,应积极筛查右向左分流,小型ASD亦可为潜在病因,而可降解封堵器为此类患者提供了安全有效的治疗选择。
感谢武汉大学中南医院结构性心脏病中心张刚成教授团队,卢瑞、郑璇教授的病例分享
-END-

扫码观看可降解学苑精彩内容
专业的心血管医生学术交流平台


版权及免责声明:
本网站所发表内容知识产权归属医谱平台、主办方以及原作者等相关权利人,未经许可,禁止进行复制、传播、展示、镜像、转载、摘编等。经授权使用,须注明来源,否则将追究其法律责任。有关作品内容、版权和其他问题请与本网联系
发表留言
暂无留言
输入您的留言参与专家互动