封耳心安 | MemoLefort封堵大开口菜花型左心耳一例
近期,西安国际医学中心医院梁小平医生团队成功应用MemoLefort封堵器挑战一例32.2mm大开口菜花型左心耳的病例。团队通过精准操作,充分利用封堵器自适应高回弹骨架的径向支撑与贴壁成角倒刺设计,实现了稳定封堵,为复杂解剖形态的左心耳介入治疗提供了宝贵经验。
患者基本信息
基础信息:男性,63岁。
主诉:发作性胸闷、气短3天
诊断:
1.不稳定型心绞痛
2.冠状动脉粥样硬化性心脏病 心功能II级(NYHA分级)
3.高血压3级(极高危)
4.心房颤动
卒中风险评分和出血风险评分

-
CHA2DS2-VASc评分3分,HAS-BLED评分1分。
-
符合左心耳介入指征,拟行左心耳封堵手术。
术前检查
术前心电图

心电图诊断结论:心房颤动
术前超声

左房前后径:49mm
左室舒张末径:58mm
LVEF:58%
术前食道超声测量:
-
0°开口约13mm、深度29mm
-
45°开口约19.6mm、深度33mm
-
90°开口约27mm、深度47mm
-
135°开口约24mm、深度36mm
-
左心耳、左心房内未见明显异常回声
房间隔穿刺


房间隔靠后靠下进行穿刺后造影确认穿刺位点合适
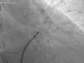
术中DSA肝位造影


心耳呈菜花状,梳状肌发达
心耳内无血栓
开口32.2mm,深度超过22.4mm
封堵策略
穿刺位点及鞘管轴向决定封堵轴向。

输送鞘轴向封堵外口
根据术前超声及术中DSA测量结果,综合判断后选择LAFDQ-32的封堵器进行封堵。


-
心耳的形态判断:结合肝位测量及术前TEE四个角度数据判断该心耳开口椭圆形;

-
心耳内梳状肌分布判断:DSA造影判断心耳内梳状肌发达;

-
基于MemoLefort封堵器的设计特点:自适应高回弹镍钛合金骨架可提供径向支撑和贴壁成角倒刺稳定挂靠心耳内部,最终选用LAFDQ-32封堵器,在DSA指导下保持鞘管张力将鞘管维持向上轴向进行封堵。
保持输送系统张力,退鞘使封堵器展开,封堵器锚定位置良好


封堵器骨架和鞘管、心耳长轴的同轴性良好,持续退鞘,封堵器充分展开
封堵器展开后造影

封堵器展开后肝位造影,封堵器完全封堵,无残余分流
牵拉试验

回弹明显,封堵器稳定锚定在心耳内部
释放后评估,封堵器位置稳定且未见残余漏


封堵器在心耳内展开后造影,显示无残余分流,
且在超声下封堵器完全堵住心耳
术后总结与思考
-
良好的穿刺轴向是高效成功封堵的必要条件,本例心耳所需穿刺位点靠后靠下,实际穿刺后轴向位置良好。
-
术前需运用食道超声充分探查四个角度开口大小,判定心耳开口形状(如是否为椭圆形);术中DSA进一步判断心耳形态,梳状肌分布,分叶数量等综合评估,选择合适的封堵器。
-
如果“椭圆型”的心耳最大开口处于封堵器大小的临界值,考虑到心耳的弹性和封堵器本身的径向支撑力特点,可以在综合判断后尝试使用塞式封堵器,只要最后器械牢固,符合PASS原则,即为手术成功。当心耳内部的梳状肌比较发达时,可以为左心耳封堵器倒刺挂钩提供有利的锚定条件,从而为大开口心耳的封堵提供稳定支撑。
-
理论上,塞式封堵器对于直径大于31mm的心耳封堵有一定难度,但MemoLefort封堵器利用左心耳口部椭圆解剖结构,通过封堵器贴壁成角倒刺钩挂住远端梳状肌使封堵器稳定在心耳内,并配合封堵器自适应高回弹骨架提供二次稳定,形成稳定封堵。同时心耳开口较大时,退鞘展开封堵器时需缓慢,等待封堵器自膨贴合上下缘,保持逆时针张力,减少下缘露肩可能。本例封堵器释放后未露肩。
专家简介


· END ·
专业的心血管医生学术交流平台


版权及免责声明:
本网站所发表内容知识产权归属医谱平台、主办方以及原作者等相关权利人,未经许可,禁止进行复制、传播、展示、镜像、转载、摘编等。经授权使用,须注明来源,否则将追究其法律责任。有关作品内容、版权和其他问题请与本网联系
发表留言
暂无留言
输入您的留言参与专家互动