一丝多用,高效过隔——应用PannaWire®多功能导丝高效过隔封堵房间隔缺损一例
近日,上海长海医院心血管内科郭志福主任团队秦永文、白元教授成功应用乐普心泰医疗研发的PannaWire®多功能导丝高效过隔,为一例房间隔缺损(ASD)患者完成了高效过隔与精准封堵治疗。该导丝凭借其独特的梭形头端设计与分段式结构,集“探查”、“支撑”、“防脱”、“显影”、“输送”五大功能于一体,术中实现了零交换过隔,显著简化操作步骤,缩短手术时间;同时,其梭形头端可固定在肺静脉处,避免导丝脱出,建立稳定输送轨道,提升手术效率;遇阻形变的梭形头端有效避免组织损伤,提升复杂解剖结构下的操作安全性。该病例的顺利实施,充分验证了PannaWire®多功能导丝在ASD介入治疗中简化流程、提升效率、保障安全、建立稳定输送轨道的临床价值,为结构性心脏病介入治疗的器械创新与术式优化提供了有力支持。
患者信息
基础信息:女,56岁。
彩超报告:
1、心脏各房室大小正常。
2、房间隔中部回声缺失,四腔心观缺损间距约1.08cm。彩色血流可见红色为主的花色血流从左房通过房间隔中断处进入右房,呈左向右分流,多普勒流速曲线呈以舒张期为主的双期湍流高速血流。
3、主肺动脉内径正常。肺动脉瓣回声正常,开放良好,彩色显示瓣下未见反流。
4、主动脉内径正常,瓣叶启闭良好,彩色显示瓣下未见明显反流。
5、二尖瓣回声正常,启闭正常,舒张期二尖瓣下血流流速曲线呈E、A双峰,E大于A峰。彩色血流显示缩期瓣上未见反流。
6、三尖瓣回声正常,开放正常,彩色血流显示收缩期瓣上见少量反流,瞬时量2ml。最大反流速度243cm/s,压差24mmHg,估测肺动脉收缩压29mmHg。
7、室间隔、左室后壁厚度正常,二者呈同向运动。
8、左心室收缩功能正常。
超声提示:
先天性心脏病,房间隔缺损
-
房间隔缺损(继发孔1.08cm)
-
心脏各房室大小正常
-
三尖瓣少量反流
-
左心室收缩功能正常
氧化膜ASD封堵器植入策略
彩超报告显示,房间隔中部回声缺失,四腔心观缺损间距约1.08 cm。彩色血流可见红色为主的花色血流从左房通过房间隔中断处进入右房,呈左向右分流,多普勒流速曲线呈以舒张期为主的双期湍流高速血流。术前复测缺损1.2 cm,患者有明显右心扩大,经综合考虑,最终植入22规格MemoCarna氧化膜ASD封堵器。
手术过程
右心导管检查明确肺动脉压力

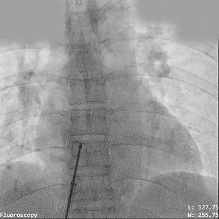
导丝过隔
PannaWire多功能导丝“让过隔更简单”


选择1224S规格导丝过缺损,PannaWire多功能导丝配合MPA导管通过ASD送至左心房
导丝通过ASD固定在肺静脉处

梭形头端可固定在肺静脉处,稳定防脱,建立稳定输送轨道
输送系统通过导丝送至左心房

将PannaWire多功能导丝作为加硬导丝,沿导丝加硬段送入输送鞘系统,导丝提供稳固支撑的同时减少加硬导丝器械交换,提高手术效率
释放氧化膜封堵器左右盘面

牵拉试验封堵器稳定


释放封堵器

封堵器稳固夹持
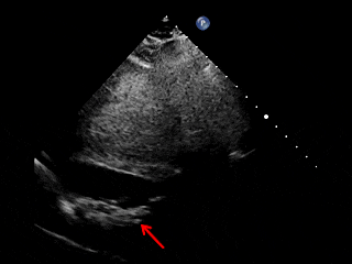
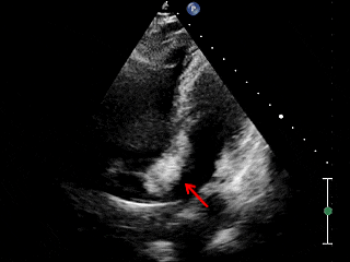
释放后超声


剑下双房心切面
四腔心切面

主动脉短轴切面
病例小结
本例为一例房间隔缺损(ASD)患者,术前彩超显示房间隔中部回声缺失,四腔心观缺损间距约1.08 cm,彩色多普勒可见左向右分流,流速曲线呈双期湍流,术前复测缺损为1.2 cm,经综合考虑,最终植入22规格MemoCarna氧化膜ASD封堵器。术中应用PannaWire®多功能导丝实现高效过隔,该导丝凭借其独特的梭形头端与分段结构设计,过程充当“泥鳅导丝+加硬导丝”功能,一丝多用,实现零交换操作,显著减少器械交换步骤,提升了手术效率;同时,梭形头端可固定在肺静脉处,避免出现导丝脱出导致重新建立输送轨道。封堵器展开后形态良好,稳定夹持于房间隔两侧,无残余分流。该病例充分验证了PannaWire®多功能导丝在简化ASD封堵流程、提升操作安全性及效率方面的临床优势。
感谢上海长海医院心血管内科郭志福主任团队秦永文、白元教授的病例分享
关于PannaWire®多功能导丝
PannaWire®多功能导丝由乐普心泰医疗科技(上海)股份有限公司自主研发,是一款专为结构性心脏病介入治疗设计的创新器械。该导丝采用独特的梭形头端与分段式结构设计,起到“探查”、“支撑“、“防脱”、“显影”、“输送”多功能[1-3],可在术中实现“零交换”操作,有效简化手术流程、缩短操作时间。其梭形头端可固定在肺静脉处,有效防脱,建立稳定输送轨道;遇阻可主动形变,在提升过隔成功率的同时,显著降低组织损伤及心律失常等并发症风险[3],尤其适用于PFO及ASD等复杂解剖结构下的介入治疗。此外,PannaWire®多功能导丝还可应用于二尖瓣缘对缘修复术(TEER)及主动脉缩窄支架植入术等更多临床场景,展现出广泛的临床适应性与应用价值。PannaWire多功能导丝的临床应用,为术者提供了更高效、更安全的操作选择。
参考文献:
[1]新型导丝系统在超声引导房间隔缺损封堵术中的应用价值
[2]新型导丝在单纯经胸超声心动图引导下经皮房间隔缺损封堵术中的应用
[3]Novel Panna Guide Wire Facilitates Percutaneous and Nonfluoroscopic Procedure for Atrial Septal Defect Closure
专家简介

-
心血管内科主任医师,教授,医学博士,博士研究生导师。
-
中华医学会心血管内科专委会第六、七届委员。上海心血管内科专业委员会委员,全军医学科学技术委员会心血管内科专业委员会常委,全军先心病专业组组长,担任中国介入心脏病学杂志,介入放射学等杂志编委。
-
主持国家863课题一项,国家自然科学基金课题六项,973以及重大项目分课题多项。获得上海市科技进步二等奖和山东省科技进步二等奖各一项,获上海市科技进步一等奖和上海市医学科学一等奖各一项。 2009和2011分别两次获国家科技进步二等奖。享受国务院特殊津贴。

-
上海长海医院心血管内科副主任,副主任医师,副教授,硕士生导师,住培医师导师,国家卫健委和全军心血管病介入诊疗培训基地导师。 长期从事心血管疾病的诊疗工作,并以结构性心脏病介入治疗作为主要专业方向,2017年赴德国学习心血管介入技术。
-
荣立个人三等功一次,享受军队优秀专业技术人才岗位津贴。被评为全国住培优秀带教老师、上海市住培优秀带教老师和第二军医大学吴孟超式优秀青年,获上海市医学科技奖二等奖一项,军队科技进步二等奖一项,中国出生缺陷干预救助基金会科学技术奖一项,军队教学成果二等奖一项,海军优秀课程二等奖一项,海军教学成果奖一项,第二军医大学银听诊器奖,两次获得东方心脏病学大会优秀论文一等奖,参编专著30余部,发表论文50余篇,授权专利7项。曾入选中国医师协会心血管内科医师分会“未来之星”计划资助和长海医院优秀青年人才“苗子”库和“沧浪”名医扶持计划资助。
-
中华医学会心血管病分会结构性心脏病学组委员
-
中国医师协会心血管内科医师分会瓣膜性心脏病学组委员
-
中国人体健康科技促进会结构性心脏病专业委员会副主任委员
-
国家心血管病中心老年心血管病委员会委员
-
全军心血管疾病介入诊疗质量控制委员会第四届委员会先心及结构性心脏病介入工作组组员
-
上海市医学会心血管病分会青年委员兼结构性心脏病学组副组长
-
上海市医师协会心血管内科医师分会结构与瓣膜工作组副组长
-
《中国心血管病研究》杂志第三届青年编委
-
中国房颤中心联盟第一届左心耳封堵工作委员会委员
-
中国医疗保健国际交流促进会心血管分会委员
-
亚太结构性心脏病青年俱乐部理事会理事及黄金会员
-END-

扫码观看可降解学苑精彩内容
专业的心血管医生学术交流平台


版权及免责声明:
本网站所发表内容知识产权归属医谱平台、主办方以及原作者等相关权利人,未经许可,禁止进行复制、传播、展示、镜像、转载、摘编等。经授权使用,须注明来源,否则将追究其法律责任。有关作品内容、版权和其他问题请与本网联系
发表留言
暂无留言
输入您的留言参与专家互动