可降解病例大赛优秀病例分享 | 全降解封堵器成功治疗儿童长隧道、膜部瘤型室缺
在2025年MemoSorb可降解封堵器病例创新大赛中,西安交通大学第一附属医院王星烨医生分享了一例生物全降解封堵术。患者为7岁男性,因“发现心脏杂音7年”就诊,超声确诊为室间隔膜部瘤并缺损,术中DSA与超声复测发现解剖结构特殊且颇具挑战,呈“长隧道、大瘤底、小出口”的细腰形态,且瘤体紧邻主动脉瓣与三尖瓣。此类特殊形态对封堵器提出了极高要求,首次干预尝试因输送系统对心脏结构的刺激而中止,二次干预成功应用了MemoSorb全降解封堵器,凭借其卓越的自适应性,最终在实现完美封堵的同时,出色地保护了毗邻瓣膜的功能,为复杂VSD的介入治疗提供了更优的解决方案。
患者信息
性别:男
年龄:7岁2月
代诉:发现心脏杂音7年。
病史:7年前(出生后2月)患儿在当地医院查体时发现心脏杂音,行心动超声提示:室间隔缺损。因年龄较小,动态观察。日常活动不受限,发育较同龄儿童无异。1年前再次复查心动超声提示:室间隔膜部瘤并缺损,建议手术。
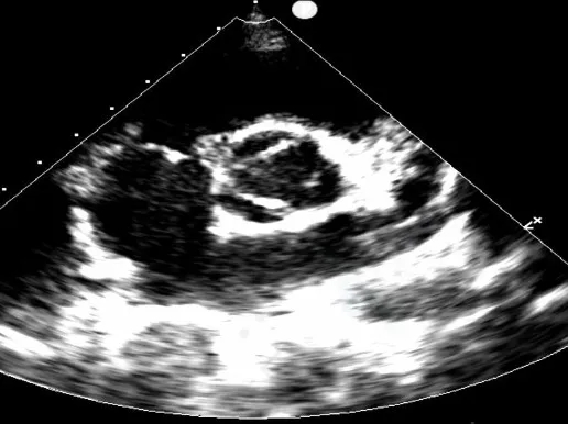
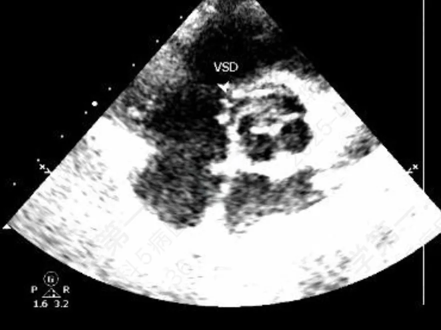
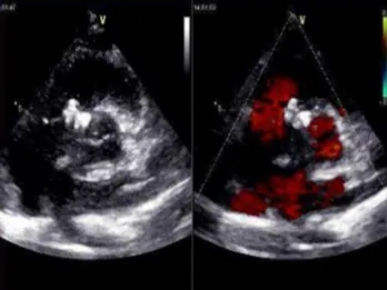
门诊心脏彩超提示:
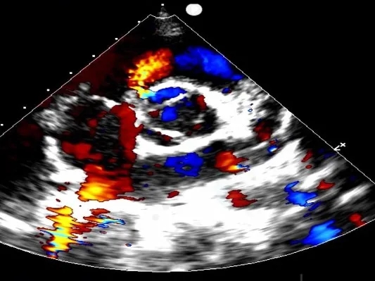
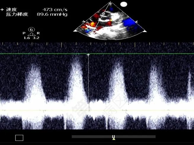
超声多切面示:室间隔膜周部可见连续中断,局部不规则向右室膨出,呈“囊袋状”,断端回声增强,测缺口大小:左室面6.5mm、右室面2.5mm,隔瓣下残缘5mm,彩色血流示:室水平左向右分流,Vmax 473cm/s,Pgmax 89 mmHg。
各房室腔大小及大血管内径未见异常。各瓣膜厚度、弹性、开放幅度正常,彩色血流示:三尖瓣反流(少量),长度1.51cm、面积1.4cm2,容积1.0ml,Vmax 216cm/s,PGmax 16mmHg。据三尖瓣反流法估测肺动脉收缩压为28 mmHg;左室收缩功能正常,EF为74%。
术前超声与DSA复测


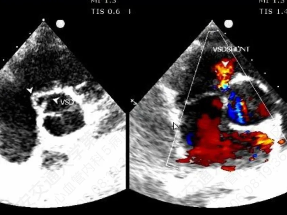
VSD(膜周部):室间隔膜部瘤,左室面6.5mm,右室面呈“瘤样”结构,瘤体深度7mm,出口2mm。



形态与术前超声差别:
该病灶呈现为“长隧道、大瘤底、小出口”的细腰形态,且位置紧邻主动脉瓣与三尖瓣,解剖结构较为复杂。此形态特征使得可降解封堵器在植入过程中的定位与释放面临较大挑战。
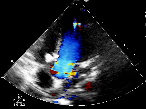
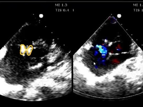
首次术中影像



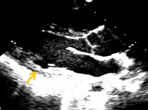
建立股动脉-VSD-股静脉轨道,沿泥鳅导丝送7F输送鞘至左室,患儿血压由90/50mmHg降至55/30mmHg,心率由100次/分升至120次/分左右,立即药物升压后血压不稳定,撤出导管后血压恢复至95/60mmHg,超声监测到右侧房室沟极少量心包积液2mm,随送入输送鞘管过程,心包积液游走于右侧房室沟-左侧心室侧壁,送入鞘管后血压下降心率增快,撤出鞘管后血压回升心率下降,反复3-4次相同情况,遂终止手术。
首次术后超声复查


TTE左室长轴显示:左室后壁心包积液(微~少量),2mm。
二次术中超声会诊


VSD(膜周部):左室面6.5mm,隔瓣下残缘5mm,基底形成5mm入口,右室面呈“瘤样”结构,出口孔2.5mm,三尖瓣隔瓣构成瘤壁的一部分。
二次术中影像
在术中进行二次超声会诊后,手术团队进行研判,调整了策略,并进行了二次尝试。
建立输送轨道



建立股动脉-VSD-股静脉轨道,沿泥鳅导丝送7F输送鞘至左室,选择6mm对称型、腰高7mm全降解封堵器。
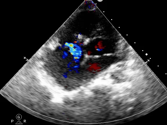
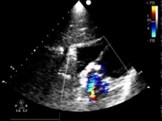
左右盘面展开并锁定


左侧伞盘出鞘为球状,牵拉成型线后形态佳,后展开右盘,封堵器呈现“长哑铃状”,主动脉瓣少量反流。
轻轻牵拉成型线使封堵器成型,牵拉后左伞盘被拉进瘤腔内。


左右盘展开后,封堵器未锁定时造影可见封堵器中间少量反流,主动脉瓣少量反流。
牵拉成型线锁定后,分流消失,主动脉瓣反流消失。


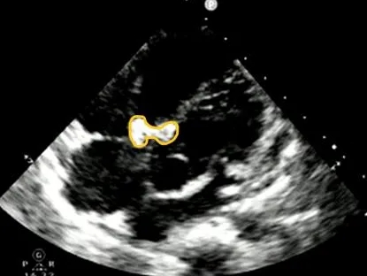
封堵器锁定后呈“蝴蝶状”明显盘状形态,室水平分流完全消失,主动脉瓣反流消失。
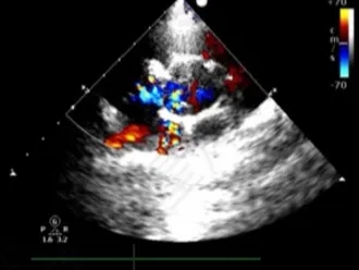
锁定后牵拉及释放



牵拉试验,封堵器稳定无移位,释放封堵器后超声下确认无残余分流,无主动脉瓣反流,三尖瓣反流同术前无增加。

大动脉短轴切面,封堵器释放后双盘紧贴间隔,呈现完美“工字形蝴蝶形”,顺应VSD形态及瓣膜形态。
MemoSorb全降解VSD封堵器展现了极佳的顺应性,在通过长隧道、小出口的VSD后,能顺利从“长哑铃”形态展开并固定为贴壁良好的“蝴蝶”形态。术后即刻超声评估显示,伞盘封堵完全,对相邻瓣膜无任何影响,主动脉瓣及三尖瓣均未出现反流。
术后用药及随访
术后药物治疗:氯吡格雷25mg/日
术后观察5日:心电图未见室内传导阻滞及房室传导阻滞。
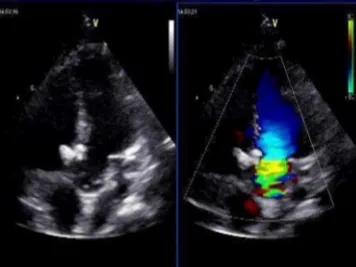
术后24小时随访:


超声提示:
室缺封堵术后:
封堵器位置固定,室水平未见明显分流
左室整体收缩功能正常
右室收缩功能正常
术后1个月随访:


超声提示:
先天性心脏病,室间隔缺损封堵术后:
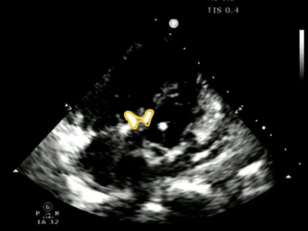
可降解封堵器位置固定,形态正常
左室收缩功能正常;
彩色血流提示:室水平未见分流;三尖瓣反流(少量)
两次随访中,MemoSorb全降解封堵器形态稳定、无位移、无残余分流、无主动脉瓣反流,三尖瓣反流与术前无明显差异。
讨论及总结
1.可降解VSD封堵器的最大优势为顺应性强,可自如顺应长隧道小出口型VSD形态,“长哑铃形态”锁定成型后成为“蝴蝶形态”,伞盘紧贴间隔,彩色血流主动脉瓣无反流,三尖瓣反流无增加,瓣膜启闭丝毫无影响。
2.封堵过程中,左盘成型紧贴住左室侧入口,右盘被拉出瘤体,锁定后右盘顺利成型,卡住右室侧上方稍大分流口,封堵器从“长哑铃形”变化成“蝴蝶形”,左盘贴紧左室侧后完全阻挡多出口分流。全降解封堵器的自适应性使其能够被拉长形变,适应曲折长隧道结构,同时成型锁定设计也能够使盘面稳定成盘状形态,卡住分流口。



3.传统镍钛合金封堵器为组织适应封堵器,大型号封堵器存在瓣膜磨损风险,且可能导致主动脉瓣反流,三尖瓣反流增加,而小型号封堵器,封堵器伞腰长度不够,伞盘不够拉出隧道。全降解封堵器为封堵器适应组织,结合其成型锁定装置,即可适应复杂VSD形态,又可保证封堵稳定。


感谢西安交通第一附属医院张玉顺教授团队的病例分享
-End-

扫码观看可降解学苑精彩内容
-END-
专业的心血管医生学术交流平台


版权及免责声明:
本网站所发表内容知识产权归属医谱平台、主办方以及原作者等相关权利人,未经许可,禁止进行复制、传播、展示、镜像、转载、摘编等。经授权使用,须注明来源,否则将追究其法律责任。有关作品内容、版权和其他问题请与本网联系
发表留言
暂无留言
输入您的留言参与专家互动