拆除心脏“定时炸弹” | 广东省人民医院心内&心外科团队成功治疗一例慢性巨大血栓化左心室假性动脉瘤伴非阻塞性冠状动脉疾病
左心室假性动脉瘤(LVP)是一种罕见但可能致命的疾病,通常继发于既往急性心肌梗死(AMI)[1],在AMI 患者中的估计发病率<0.5%[1]。较少见的原因包括心脏手术、胸部创伤或感染[2,3]。它是心脏破裂的一种特殊形式,心室壁破裂处由粘连的心包或瘢痕组织包裹。LVP通常发生于后壁或侧壁心肌梗死后[2],而真性动脉瘤通常见于前AMI[4]。其临床表现多变且非特异性,使得早期诊断面临挑战。

DOI: 10.1186/s13019-025-03690-6
近期,广东省人民医院心内&心外科团队在《Journal of Cardiothoracic Surgery》杂志中报道了一则罕见病例,涉及一例因反复胸痛发现的慢性LVP,患者冠状动脉造影显示为非阻塞性冠状动脉疾病,且无明确心肌梗死病史。最终该患者成功接受手术治疗,表明手术是治疗慢性巨大LVP的安全有效选择。
病例介绍
患者男,50岁。
主诉:反复发作性胸痛8个月,加重半个月。
现病史:患者于8个月前开始出现反复胸痛,无特定诱因,每次发作持续数分钟至半小时,疼痛向左侧肩背部放射。近半个月来,胸痛发作频率及程度较前加重。无发热、呼吸困难、乏力、下肢水肿或晕厥等伴随症状。
既往史:2年前有“脑卒中”病史,治疗后未遗留明显后遗症。否认高血压、糖尿病、冠心病史,否认明确心肌梗死、心脏手术、胸部外伤及感染病史。
入院查体:
-
生命体征:体温36.5℃,脉搏55次/分,呼吸20次/分,血压 125/65mmHg。
-
心脏查体:心界向左扩大,心率55次/分,律齐,第一心音(S1)、第二心音(S2)正常,未闻及心包摩擦音、心脏杂音。
-
其他:颈静脉无怒张,双肺未闻及湿性啰音,双下肢无水肿。
外院辅助检查:
当地医院胸部CT提示:左心室后壁旁见一边缘钙化的异常团块影。
入院后初步检查(详见图1):
-
实验室检查:血常规、凝血功能、肝肾功能均未见明显异常。
-
心电图:窦性心律,一度房室传导阻滞(PR间期270ms),左心室高电压,偶发室性早搏。

图1:入院时18导联心电图,可见偶发室性早搏(箭头指示)
心电图显示窦性心律伴一度房室传导阻滞(PR间期 270ms),左心室高电压,以及偶发室性早搏(图1)。
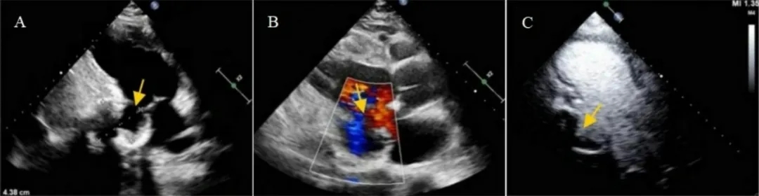
经胸超声心动图(TTE)显示一巨大的周边钙化囊腔,通过一狭窄颈部与左心室相通(图2A和B),同时伴有显著左心室扩大和射血分数降低。对比增强超声心动图确认存在一巨大腔室,边界钙化清晰,基底部下后壁段可见连续性中断(图2C)。

图2:影像学发现长轴切面显示假性动脉瘤(箭头)。(A)以及假性动脉瘤内的双向血流(箭头)。(B)腔内可见造影剂流动(箭头),伴有大范围充盈缺损,提示大量血栓形成(C)。
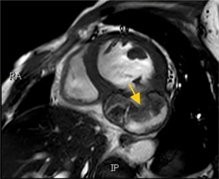
CMR显示基底部下壁、基底部下侧壁、中部下壁和中部下侧壁节段变薄和运动障碍,伴有相应心室壁膨出。此外,注意到周围心包明显延迟强化以及膨出腔内广泛血栓形成。然而,冠状动脉造影显示动脉无阻塞,左前降支和左回旋支狭窄20%至30%,右冠状动脉狭窄30%至40%。尽管心室造影有助于诊断LVP,但因存在完全破裂和栓塞的风险,操作需谨慎[1]。

图3:CMR(短轴)灌注扫描显示中部下壁和下侧壁节段变薄及相应心室壁膨出(箭头)
治疗策略
经多学科团队会诊评估,该病例的突出特点在于患者冠状动脉病变轻微,却合并存在巨大且广泛血栓形成的假性动脉瘤。为降低操作相关出血风险,在完成冠状动脉造影后,立即停用了所有抗血栓药物。鉴于假性动脉瘤存在极高的完全破裂风险及栓塞潜在风险,并且已对左心室收缩功能产生明确损害,会诊一致决定施行紧急外科手术修补。
术中经食管超声心动图检查提示,因部分后乳头肌腱索断裂及二尖瓣前叶受牵拉,导致中度二尖瓣反流。据此,在体外循环下施行了包括假性动脉瘤切除术、左心室缺损牛心包补片修补术以及人工二尖瓣置换术的一站式手术。体外循环时间和主动脉阻断时间分别为352分钟与213分钟。术中所见证实左心室下侧壁存在一大小约70×80mm的巨大假性动脉瘤,其内充满泥沙样钙化物质(图4)。术后病理检查显示:瘤壁组织由大量增生胶原纤维构成,心肌细胞稀少,伴多灶性钙化及表面附壁血栓形成。

图4:术中直接见于左心室下侧壁的充满沉积物样钙化物质的巨大假性动脉瘤。
患者术后恢复过程顺利。出院前经胸超声心动图复查示左心室内径已恢复至正常范围,但射血分数仍遗留轻度下降。本次住院总天数为25日,其中术前于重症监护室监护5日,术后监护4日。
术后对患者进行了系统随访。截至目前,患者日常活动未再诉明显胸痛或呼吸困难。于术后6个月、1年及1.5年多次复查经胸超声心动图,均提示左心室内径正常,心功能维持在轻度减低水平(左心室射血分数42%–43%)。
讨论
本研究报告了一例表现为反复胸痛、伴发巨大广泛钙化假性动脉瘤的中年男性患者。心脏影像学检查共同证实了左心室扩大及收缩功能受损。本病例的特殊性在于,其左心室假性动脉瘤并非由典型的透壁性心肌梗死所引发。综合心电图、超声心动图、心脏磁共振及冠状动脉造影的发现,高度提示病因为无梗阻性冠状动脉疾病背景下的隐匿性心肌梗死。最终,手术直观地证实了左心室下侧壁破裂及钙化假性动脉瘤的形成。
据文献回顾,与此类似的病例报道极为罕见。Naseerullah FS等人的研究曾描述一例老年女性患者,同样伴有非阻塞性冠状动脉疾病及栓塞性脑卒中史,无明确心肌梗死史,因间歇性胸痛就诊,确诊为左心室假性动脉瘤后接受了外科修补[9]。与本病例不同之处在于,其假性动脉瘤位于心尖部,且因术前已接受抗凝治疗,瘤体内未见血栓形成。本病例的诊治经验进一步拓宽了我们对慢性巨大左心室假性动脉瘤临床管理的认知。
首先,需要认识到左心室假性动脉瘤患者虽面临心源性猝死风险,但早期血流动力学状态仍可保持稳定。其临床表现中,胸痛、呼吸困难及充血性心力衰竭最为常见[2],而全身性栓塞与症状性心律失常相对少见。亦可出现诸如肩背部或手臂疼痛、咯血、精神状态改变等非特异性症状。值得注意的是,部分左心室假性动脉瘤可无任何症状,系列病例报道中此类无症状患者的比例在12%至48%之间[2, 10]。
本病例中,患者以反复发作的胸痛为首要表现,且入院后应用硝酸酯类及尼可地尔等抗心绞痛药物后,症状缓解不明显。这表明其胸痛性质属于非典型类型。冠状动脉造影已排除血流动力学显著的狭窄病变,因此,其胸痛症状更可能源于日益增大的假性动脉瘤对周围组织的机械性压迫与刺激,此种机制在既往文献中亦有阐述[11,12]。
另一重要发现是假腔内形成了广泛血栓,提示了全身性栓塞事件风险。患者于入院前2年有卒中史,外院头颅影像学检查曾提示急性右侧大脑梗死。遗憾的是,当时未进行动态心电图或经胸超声心动图(包括或不包括声学造影)检查以明确栓子来源。根据“一元论”的临床思维,患者既往的卒中事件高度怀疑与心源性栓塞有关。
关于左心室假性动脉瘤患者的抗凝治疗策略,目前仅有少量研究予以探讨[2,13]。有数据显示,对于接受保守治疗的患者,其1年及4年缺血性卒中发生率分别可达10%与32.5%[14]。这些数据支持考虑采用抗凝治疗以降低栓塞风险,尽管这理论上可能增加动脉瘤破裂及出血的风险。
结合本病例的具体情况,当前关于MINOCA的共识指出,除非存在明确的斑块破裂证据,否则抗血小板药物的应用尚存争议[15]。考虑到患者卒中病因很可能为栓塞性,且已计划行外科手术,术前选择抗凝治疗而非抗血小板治疗具有一定理论基础。然而,经过全面风险评估,团队认为预防性抗凝所带来的动脉瘤破裂风险,超过了其潜在的抗栓塞获益,因此最终未予实施。
最后,关于无症状或病情稳定的慢性左心室假性动脉瘤,其确切的手术指征与最佳干预时机目前仍未明确。临床上常根据急性心肌梗死后至确诊的时间,将左心室假性动脉瘤划分为急性期(2周内)、亚急性期(2周至3个月)及慢性期(超过3个月)[1,16]。此分类有助于预后判断与治疗抉择。对于临床医师而言,手术决策的核心在于权衡保守治疗相关的致命性破裂风险与拟行手术的预期死亡率[1, 14]。
一项来自梅奥诊所的小规模队列研究提示,接受单纯药物治疗的左心室假性动脉瘤患者长期死亡率可高达60%[10]。值得注意的是,这些死亡病例均非直接归因于心脏破裂,此发现与另一项保守治疗队列的研究结果相吻合[14]。一项纳入290例患者的回顾性分析显示,药物治疗者在此后第一周内的死亡率达48%[2]。然而,若能安全度过疾病早期阶段,患者的中位生存时间可达156周。
总体而言,完全破裂的风险与假性动脉瘤的形成时间及其形态特征密切相关。瘤体巨大或发生于急性心肌梗死3个月内的假性动脉瘤,通常被认为具有高破裂风险;反之,瘤体较小(直径<3cm)、瘤壁纤维化程度高的慢性假性动脉瘤,则破裂风险较低[1,3]。此外,若同时存在心功能不全或系统性栓塞事件,往往提示预后不良[1,14]。目前尚不明确,在心力衰竭治疗中被证实有效的优化药物治疗方案,对于合并巨大左心室假性动脉瘤的心力衰竭患者是否具有同等程度的获益。
外科手术的死亡率在不同病例系列报告中差异较大,介于7%至35.7%之间[10,17,18],若手术同时包含二尖瓣置换,则死亡率可能进一步攀升[2]。有限的数据提示手术时机与围术期死亡风险存在关联。一项针对45例因心肌梗死后左心室假性动脉瘤接受手术患者的研究表明,急性期手术的院内死亡率显著高于非急性期手术(61.5%vs. 15.6%,p=0.0066)[16]。自2004年首例经皮左心室假性动脉瘤封堵术成功报道以来,对于解剖结构合适的患者,经皮介入治疗已成为外科修补术的一种可行且安全的替代选择[19]。
本病例属慢性左心室假性动脉瘤,其手术风险显著低于急性期病例。基于其瘤体巨大、钙化严重且毗邻心脏基底部等重要结构的解剖特点,传统外科手术被视为比经皮封堵更优的治疗策略。这些解剖特征也直接影响了具体手术技术的选择[20]。慢性假性动脉瘤通常具有钙化、坚韧瘤颈的特点,允许使用带垫片缝线进行直接缝合。鉴于本病例瘤腔巨大且位置靠近心基底部,术中选择采用牛心包补片进行修补,以更好地恢复左心室的正常几何形态,避免对瓣下结构产生过度牵拉[20,21]。在同期行二尖瓣置换术时,经左心房径路行假性动脉瘤内部修补术可提供更佳的瓣下结构显露视野,常作为优先选择[1,22]。
结论
得益于外科技术的长足发展与经皮封堵术在高危患者中的成熟应用[19,23],左心室假性动脉瘤的手术死亡率已显著下降[6,20]。结合现有有限报道及本病例的成功经验,我们建议,对于伴有充血性心力衰竭、栓塞事件、瘤体巨大或存在扩张证据的慢性左心室假性动脉瘤患者,外科手术应作为首选治疗方案[1,9,17]。
原文链接:
https://link.springer.com/article/10.1186/s13019-025-03690-6#Sec5
-END-
专业的心血管医生学术交流平台


版权及免责声明:
本网站所发表内容知识产权归属医谱平台、主办方以及原作者等相关权利人,未经许可,禁止进行复制、传播、展示、镜像、转载、摘编等。经授权使用,须注明来源,否则将追究其法律责任。有关作品内容、版权和其他问题请与本网联系
发表留言
暂无留言
输入您的留言参与专家互动