短瓣心研 反流新径 | 长沙市中医医院罗亦斌、曾向辉教授团队应用ScienCrown完成一例高难度纯反流TAVI手术
近日,长沙市中医医院(长沙市第八医院)罗亦斌、曾向辉教授团队,成功应用国产全可回收自膨式短瓣膜系统ScienCrown,经股动脉路径为一名重度主动脉瓣反流(AR)患者完成经导管主动脉瓣置换术(TAVI)。术后患者反流即刻消失,血流动力学显著改善,圆满达成预期治疗目标。
此次手术进一步验证了ScienCrown瓣膜系统在治疗主动脉瓣反流中的安全性和有效性,术者团队精湛的临床技艺与创新器械的完美协同,为该类患者提供了安全可行的国产微创治疗新方案。

患者基本情况
男性,69岁
主诉:反复胸闷气促1月余,加重3天。
既往史:“高血压”病史10余年。既往有“主动脉瓣关闭不全、二尖瓣关闭不全、高尿酸血症”等病史。
入院诊断:
1.急性心力衰竭
2.冠状动脉粥样硬化性心脏病
缺血性心肌病
心功能Ⅲ级
3.高血压病3级(极高危)
4.主动脉瓣关闭不全
5.二尖瓣关闭不全
6.高尿酸血症
术前超声
超声描述:
二尖瓣收缩期可见蓝色反流束,反流束达左房中部,三尖瓣收缩期可见轻度蓝色反流束,肺动脉瓣舒张期可见轻度红色反流束,主动脉瓣舒张期可见重度反流,反流速度约419cm/s。
超声提示:
左心增大、右房增大、主动脉窦部、升主动脉增宽;
右冠瓣似可见膜状结构与主动脉窦部相连,不排除主动脉窦部局部夹层可能;
主动脉流速增高,不排除主动脉瓣轻度狭窄可能;
主动脉瓣重度反流,二尖瓣中度反流、三尖瓣、肺动脉瓣轻度反流;

术前CT分析
主动脉根部测量



Annulus 27.2mm
LVOT:26.5mm
钙化积分:0



SOV
52.3*54.9*52.1mm
STJ:45mm
AAO:48mm
-
纯反流三叶瓣,瓣环内径27.2mm
-
流出道近直筒型
-
瓣叶无增厚、无钙化
-
瓦氏窦、STJ、升主明显扩张
瓣上结构测量



瓣上2mm
28.5mm
瓣上4mm
29.9mm
瓣上6mm
30.9mm



瓣上8mm
33.7mm
瓣上10mm
35.2mm
瓣上12mm
36.3mm
-
瓣上空间逐渐增大,仅瓣上2mm左右可提供锚定
冠脉风险评估


LCA Height
RCA Height


LCA & Leaflet
RCA & Leaflet
-
冠脉开口高度可,瓣叶不长,冠脉阻挡风险不高
左室测量


-
舒张期大左室,典型关闭不全引起的心室扩张
外周入路评估

-
双侧股-髂入路部分钙化附着,整体入路轻微迂曲,血管内径可
-
主动脉弓角、弓距可,非横位心
该类单纯性重度反流合并根部扩张的病例,一直是TAVI手术中的难点。
瓣膜锚定困难、植入后易移位或瓣周漏风险高,对器械性能及术者技术提出极大挑战。
手术策略制定
-
麻醉方式:全身麻醉
-
冠脉风险:低
-
球囊扩张策略:不预扩
-
瓣膜型号:ScienCrown TAVTF29mm(oversize6.62%)
-
入路选择:右侧股动脉主入路,超硬导丝支撑下植入大鞘
-
手术操作:该患者窦部明显扩张,瓣上结构逐渐增大,根部可参与锚定空间有限,仅瓣环附近可提供锚定,术中需充分确保瓣膜轴向,切勿提拉输送器,保证导丝张力,同时瓣膜需精准定位,0位附近释放,确保瓣膜在瓣环位置锚定。在瓣膜完全展开后需多角度评估,观察瓣膜的形态及位置,确保稳定后再行脱钩释放。
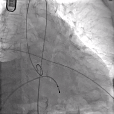
手术过程


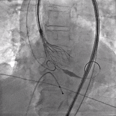
主动脉根部造影
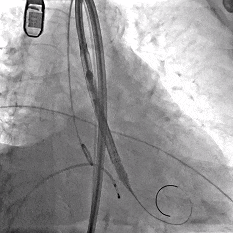
TF29瓣膜,0位定位释放


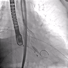
瓣膜稳定释放至全展开
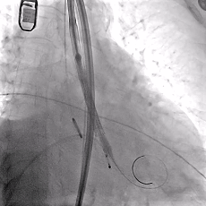
造影观察
瓣膜位置可,形态佳


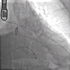
左冠切线观察,瓣膜位置可,冠脉灌注良好
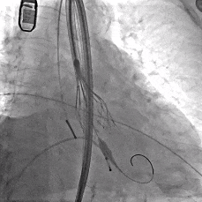
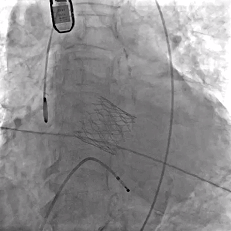
缓慢脱钩
瓣膜无位移


脱钩后造影
瓣膜位置可,无瓣周漏
左冠切线造影,瓣膜同轴性佳,位置可,无瓣周漏
术中最关键环节在于瓣膜的精准定位与稳定释放。ScienCrown瓣膜系统的“全释放/全回收”功能,允许术者在最终释放前,更充分地评估调整瓣膜的定位与稳定性,极大提升手术容错率与安全性。
术后超声检查
超声提示:
主动脉瓣置换术后;
左房、右房稍大;
主动脉窦部及升主动脉内径增宽;
左室室壁运动幅度欠协调;
二尖瓣、三尖瓣、主动脉瓣轻度反流。


ScienCrown自膨短瓣在PAR中的核心优化:
-
短瓣架设计:更短的释放行程,快速锚定贴靠
-
直筒型设计:直筒形态,多节段参与锚定,提供更平衡的径向支撑力
-
双层裙边设计:PET内外双裙边设计,提供更大摩擦力,保障瓣膜稳定
-
全释放/全回收设计:100%全展开,瓣膜整体参与锚定,评估更精准更安心
-
预弯型设计:瓣膜装载后胶囊段自带30°弯型,瓣膜释放过程更同轴
-
管榫挂钩设计:12个挂钩设计,逐一释放,分散脱钩张力,实现零张力脱钩
专家简介


-END-
专业的心血管医生学术交流平台


版权及免责声明:
本网站所发表内容知识产权归属医谱平台、主办方以及原作者等相关权利人,未经许可,禁止进行复制、传播、展示、镜像、转载、摘编等。经授权使用,须注明来源,否则将追究其法律责任。有关作品内容、版权和其他问题请与本网联系
发表留言
暂无留言
输入您的留言参与专家互动