“被当作室间隔缺损”的主动脉窦瘤破裂一例--急性心衰背后的真相
主动脉窦瘤是一种少见的先天性心脏病,其发病率在我国比一般的西方国家要高。它是由于主动脉根部、主动脉窦基底的纤维环上的主动脉壁局部的发育不良,缺乏中层弹性组织,管壁薄弱,长期承受高血压的冲击逐渐向外膨出形成。主动脉窦和主动脉瘤多发于右冠状的动脉窦,其次是无冠状动脉窦。动脉瘤呈乳头状的囊袋,瘤体顶端最薄弱,最终被冲破发生破裂,多破入右心室,少数至右心房,有多个小口,约半数病人伴有室间隔高位缺陷,少数并发主动脉瓣关闭不全。
在窦瘤未破裂前,患者常无明显临床症状,但各种诱因下如导致窦瘤破裂,则对患者产生突发的严重的血液动力学不稳定,需要尽快通过手术的方式进行治疗。手术的成功率一般较高,且恢复期较短。在治疗期间,患者需要避免过度运动。
病例简介
基本情况:
患者女性,27岁,因慢性胆囊炎急性发作于当地医院住院治疗,住院治疗1周后患者突发病情恶化,急性心衰、肾功能不全、肝功能不全,胸腔腹腔积液,贫血。行超声心动图检查提示室间隔缺损。当地医院行对症治疗后无明显好转转诊至我院。
术前检查:
患者于我院行术前检查,患者Hb6.8g/L,给与输血后症状明显缓解。查体:心前区问及广泛的机械样双期杂音。超声心动图示:室间隔缺损(膜周部),左向右分流。多学科会诊意见先行治疗室间隔缺损,再进一步诊治其他基础病变。
手术过程
患者局麻后穿刺右股动脉及股静脉,经股动脉送入猪尾导管分别行左心室造影+主动脉根部行根部造影提示主动脉窦瘤破裂(无冠窦-右心房),持续大量左向右分流。明确病变位置后建立股动静脉轨道,经右侧股静脉送入输送鞘并送入先健12/14mm PDA封堵器。再次造影无分流,超声提示窦瘤破裂封堵完好,基本无残余分流,主动脉瓣未受影响。

超声心动图:提示室间隔缺损,膜周部,LVED 50mm

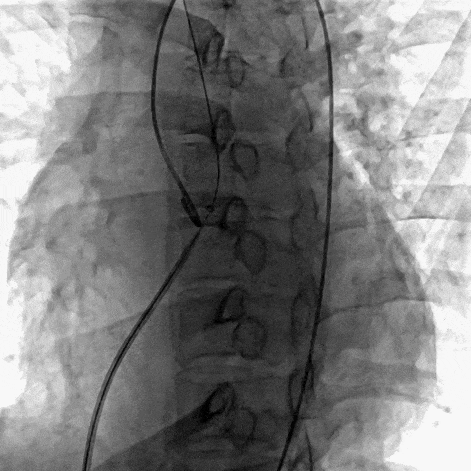
术前主动脉根部造影示:主动脉窦瘤破裂(无窦-右心房),大量左向右分流

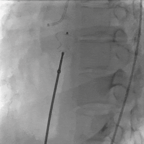
建立轨道后再次造影证实

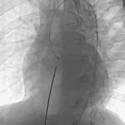
植入PDA 12/14封堵器后先行冠脉造影评价有无影响冠脉血流

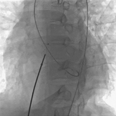
再次主动脉根部造影显示封堵良好,残余分流不明显

术后左心室造影评价有无合并室间隔缺损
经验总结
主动脉窦瘤破裂是临床少见的先天性心脏病,一旦破裂多数发生在压力较低的右心系统,对患者造成突发的大量左向右分流心脏负担,常以急性心衰为主要临床表现,极少部分破入心包导致心包填塞等灾难性后果。此外,该病并不少见同时合并室间隔缺损,且超声影像与室间隔缺损有一定相似,因此该病室间隔缺损相误诊。
但应注意主动脉窦瘤破裂听诊特点与室间隔缺损显著不同,由于多破入右心系统,窦瘤破裂的血液动力学为主动脉收缩期及舒张期均造成左向右分流,以为粗糙的机械样双期杂音为听诊特点,而室间隔缺损为较之更为柔和的收缩期杂音常为主。临床表现上同等尺寸的室间隔缺损症状要明显轻于窦瘤破裂,因为室间隔缺损为胚胎期开始携带的稳定血液动力学先天性心脏病,而窦瘤破裂为各种诱因导致的突发血液动力学变化。
此病例加深了临床大夫对于听诊这种传统基本临床技能的认识,听诊常为先天性心脏病的基本鉴别方法之一,对于突然发生的心衰及心脏杂音要能想到主动脉窦瘤破裂的可能。另外需要注意窦瘤破裂常合并室间隔缺损,窦瘤治疗后瘤体回缩后往往可能暴露室间隔缺损,因此,术后密切随访十分必要。
专家简介




-END-
专业的心血管医生学术交流平台


版权及免责声明:
本网站所发表内容知识产权归属医谱平台、主办方以及原作者等相关权利人,未经许可,禁止进行复制、传播、展示、镜像、转载、摘编等。经授权使用,须注明来源,否则将追究其法律责任。有关作品内容、版权和其他问题请与本网联系
发表留言
暂无留言
输入您的留言参与专家互动