可降解封堵器在纯超声引导下成功封堵合并19.6*7mm膨出瘤房缺病例分享
近期,温州医科大学附属第二医院赵琦峰教授团队成功完成一例高难度继发孔型房间隔缺损(ASD)合并房间隔膨胀瘤(ASA)介入封堵手术。该39岁女性患者不仅存在复杂的ASA结构,且缺损的前缘(主动脉侧)残端近乎为零,对封堵器的锚定和自适应性要求极高。考虑到患者有金属过敏史,无法使用传统封堵器进行封堵,赵琦峰教授团队创新选用MemoSorb 可降解BDASD-II 24封堵器,在纯食道超声引导下完成手术,真正实现了“绿色介入”。不仅展示了团队在处理复杂先心的卓越实力,也充分体现了可降解封堵器在特殊体质及复杂解剖条件中的独特优势,为未来更多患者提供了安全、有效的解决方案。
患者信息
性别:女
年龄:39岁
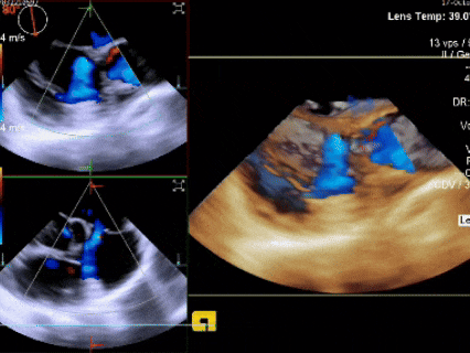
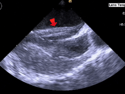
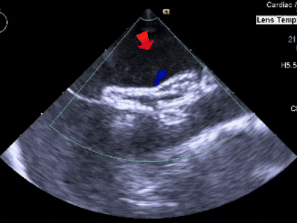
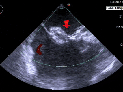
经食道超声所见:房间隔总长度约41mm。房间隔中部局部呈瘤样向右房膨出范围约11×19mm,房间隔中部回声中断约11×9mm,缺损上缘距房顶约17mm,缺损下缘距二尖瓣约10mm,缺损后下缘距下腔静脉约21mm,缺损后上缘距上腔静脉约13mm,短轴切面前残端0mm,后残端24mm。
CDFI示:房水平左向右分流。上、下腔静脉回流入右房正常。冠状静脉窦未见扩张。
超声提示:房间隔缺损(II孔型),房间隔膨胀瘤形成。


术中复测



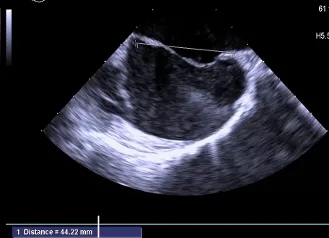
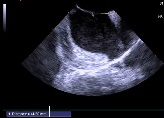
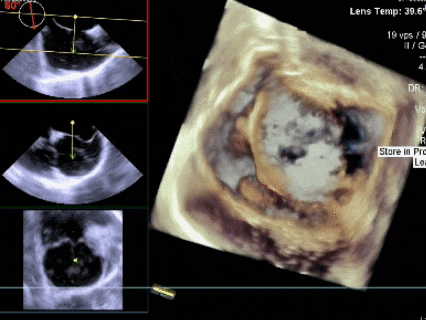
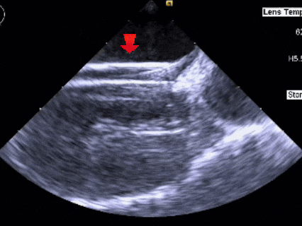
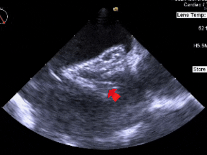
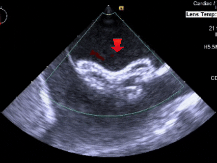
测量膨出瘤基底宽19.61mm,深7.00mm
房间隔总长44.22mm,缺损大小14.80mm


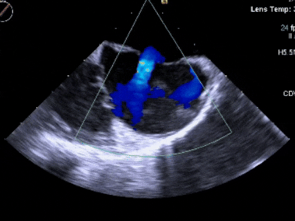
超声可见房间隔连续中断,彩色多普勒可见过隔血流


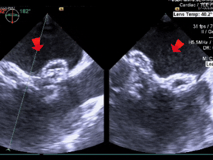
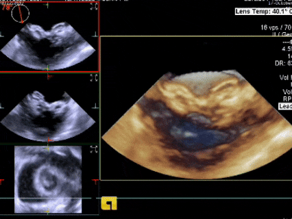
三维下可见房间隔缺损
临床策略
选伞考量:(分型)继发孔型房间隔缺损合并膨出瘤,房间隔中部局部呈瘤样向右房膨出范围约11×19mm,房间隔中部回声中断约11×9mm。术中复测膨出瘤基底宽19.61mm;房间隔总长44.22mm,缺损大小14.80mm。综合考量选择BDASD-II 24封堵器,配16F鞘管施行介入封堵。
术式入径:采取纯食道超声引导的方式
手术过程
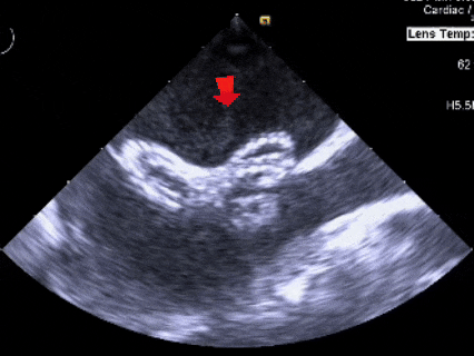
导丝过隔


成功过隔


三维下看到导丝成功过隔
送入鞘管


鞘管配合加硬导丝顺利通过缺损,可见双轨征
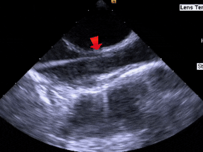
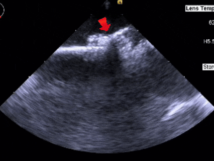
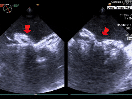
左盘展开


左盘展开后牵拉成型线使盘面成型,后撤鞘管和钢缆,使封堵器左盘贴靠房间隔
右盘展开

随后固定钢缆不动,回退鞘管,右盘展开
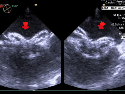
成型锁定


鞘管抵住封堵器后,前顶钢缆,
固定钢缆和鞘管,牵拉成型线锁定
锁定后牵拉试验


锁定后,封堵器形态良好,进行牵拉试验,
超声下可见封堵器整体移动,右盘面未被拉开
锁定后评估


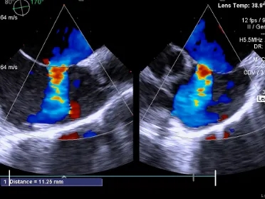
彩色多普勒血流成像显示无残余分流存在
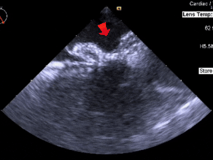
释放


超声下可见封堵器形态良好,封堵成功
释放后评估

彩色多普勒血流成像显示无残余分流存在
封堵成功


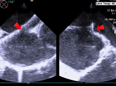
释放后多切面下观察
封堵器位置正确、形态良好
术后1个月随访

超声所见:
1、内脏正位,心房正位,心室右袢,各房室内径正常。房间隔可见封堵器回声,未见分流。右肺静脉流速0.59m/s,上腔静脉流速0.53m/s。
2、室间隔及左室后壁厚度正常,增厚率正常,静息状态下可见各室壁运动协调,未见明显节段性运动异常。
3、各瓣膜形态活动正常,二尖瓣口可见轻微反流。三尖瓣口可见轻微反流。
4、心包未见增厚,心包腔未见明显液暗区。
5、灰阶:三维超声示左室壁运动协调。
超声提示:
ASD封堵术后,未见分流
二尖瓣轻微反流
病例小结
本例患者为继发孔型房间隔缺损(ASD)合并房间隔膨出瘤(ASA)。此类病变因房间隔组织本身薄弱、瘤体活动度大,使得房间隔的支撑结构不稳定,不利于封堵器稳定且术后残余分流风险高。尤为特殊的是,本例患者缺损的主动脉侧边缘缺如进一步加大了封堵器锚定的难度和对封堵器选择的要求,对术者操作技巧和超声引导的精准性提出了更高挑战。
本例手术在纯食道超声心动图(TEE)实时精准引导下完成,有效避免了X线辐射暴露及其潜在风险,尤其适用于对辐射敏感的人群。同时患者存在金属过敏史,拒绝植入金属封堵器,并强烈要求选用可降解房间隔缺损封堵器,这是因为该封堵器在完成其即时封堵使命后,可在体内逐渐降解吸收,最终被自身组织替代,不仅避免了传统金属封堵器长期留存体内可能带来的远期并发症,还为患者提供了更为个体化和优化的治疗选择。
术前超声显示(分型)继发孔型房间隔缺损合并膨出瘤,房间隔中部局部呈瘤样向右房膨出范围约11×19mm,房间隔中部回声中断约11×9mm。术中超声复测膨出瘤基底宽19.61mm,深7.00mm,房间隔总长44.22mm,缺损大小14.80mm。结合患者需求,综合考量选择BDASD-II 24封堵器,配16F鞘管施行介入封堵。随后通过TEE精确引导,术者成功完成了鞘管及封堵器的输送、定位与释放,并对封堵效果进行了仔细评估,确保了手术的成功。术后即刻TEE显示封堵效果确切,无残余分流及严重并发症发生。术后1个月随访时房间隔可见封堵器回声,未见分流。其长期疗效及降解特性有待进一步随访观察。
感谢温州医科大学附属第二医院赵琦峰教授团队的病例分享
术中风采


专家简介

-END-
23.9mm大型房缺 | 可降解封堵器成功治疗主动脉侧无缘ASD一例

扫码观看可降解学苑精彩内容
专业的心血管医生学术交流平台


版权及免责声明:
本网站所发表内容知识产权归属医谱平台、主办方以及原作者等相关权利人,未经许可,禁止进行复制、传播、展示、镜像、转载、摘编等。经授权使用,须注明来源,否则将追究其法律责任。有关作品内容、版权和其他问题请与本网联系
发表留言
暂无留言
输入您的留言参与专家互动