柔韧之道,破闭塞之局:HighTrack微导管逆向穿越迂曲心外膜侧枝

柔韧之道,破闭塞之局:HighTrack微导管逆向穿越迂曲心外膜侧枝
患者病史
”
患者信息
胸痛3年,再发15天
患者于3年余前无明显诱因出现胸痛,位于剑突下,呈闷胀样疼痛,休息30分钟不能缓解。当时就诊于本院,心电图提示V1-V3导联Q波形成,心脏彩超提示心脏结构及功能异常,诊断为“冠状动脉粥样硬化性心脏病”。先后两次行冠状动脉造影提示LAD近端完全闭塞,尝试开通未果,后行冠脉旁路移植术(前降支搭桥),术后规律服用“阿司匹林肠溶片、硫酸氢氯吡格雷”等药物。半月前,患者于劳累时再次出现胸痛,部位同前,呈刺痛感,持续约5分钟,自行服药后可缓解。为求进一步治疗,急诊来院,门诊以 “不稳定型心绞痛” 收住入院。
-
消化性溃疡个人史
-
慢性萎缩性胃炎
-
否认高血压、糖尿病等疾病史
检查及诊断
实验室检查

心脏超声
· 阳性所见符合前间壁陈旧性心肌梗死
· 左室收缩功能正常、舒张功能减低
· 三尖瓣少量反流
临床诊断
冠状动脉粥样硬化性心脏病
· 不稳定型心绞痛
· 陈旧性前间壁心肌梗死
· 冠状动脉搭桥术后
心功能Ⅱ级
消化性溃疡
慢性萎缩性胃炎
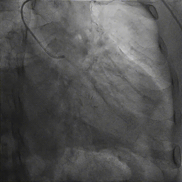
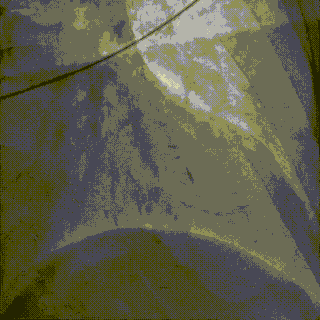
冠脉造影结果
LCA:
· LM:(-);
· LAD:无残端闭塞(CTO病变),TIMI血流0级;
· LCX:全程管壁不规则,OM1远段经心外膜向前降支提供侧枝,TIMI血流Ⅲ级。



RCA:右冠近段管壁不规则,远段经心外膜向LAD提供侧枝循环。


桥血管造影:LIMA-LAD桥血管完全闭塞。


手术方案
”
病变特点
LAD开口完全闭塞,开口位置不明确,闭塞段较长,正向开通困难;
RCA及LCX均经心外膜向LAD提供侧枝循环,RCA心外膜侧枝纤细,远端重度迂曲反折,导丝及微导管通过困难;
LCX心外膜侧枝迂曲程度较小,较RCA心外膜侧枝略粗,可作为逆行开通首选;
LAD闭塞时间长,远端可能存在废用,难以评估冠脉真实直径。
手术策略
入路选择右股动脉,左侧UBS 3.75指引导管,右侧应用JR4.0指引导管做逆向指引;
LAD开口及近端走行不明确,正向开通困难,首选正逆向结合开通闭塞段;
LCX心外膜侧枝迂曲程度较小,无明显转折,直径较RCA心外膜侧枝略粗,可作为逆行开通的首选;
采用正逆向结合、正逆向导丝升级、平行导丝等技术尝试开通LAD闭塞病变;
导丝及微导管通过心外膜侧枝时需谨慎,选择头端较软的SUOH03导丝及通过性良好的HighTrack微导管;
IVUS导管可置于LCX内指导LAD开口位置,闭塞段开通后可应用IVUS检查关注导管是否在真腔、有无夹层血肿等。
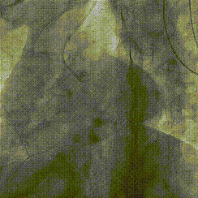
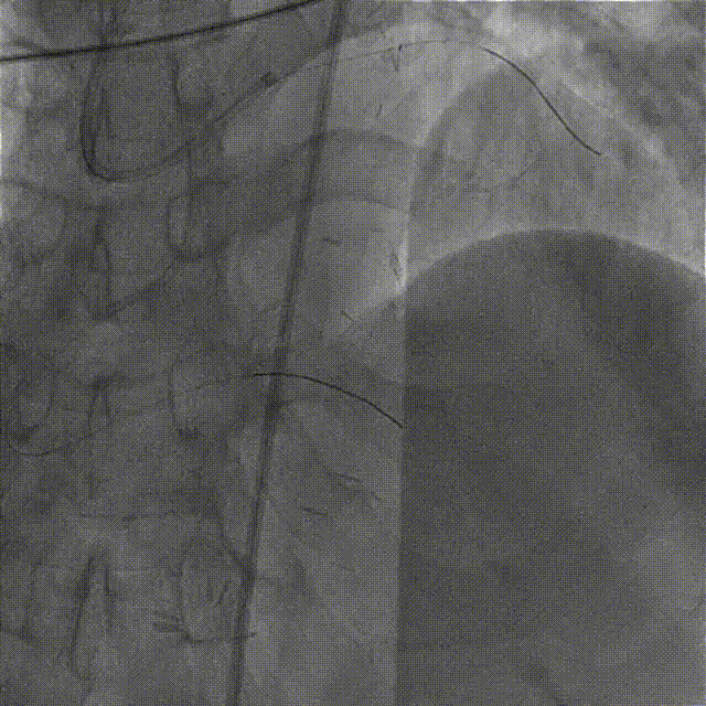
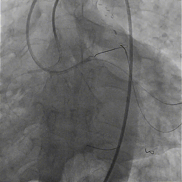
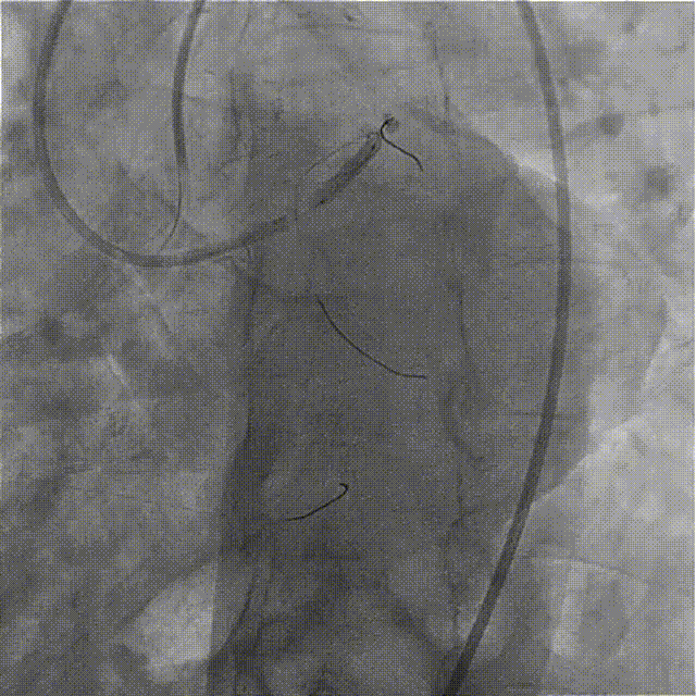
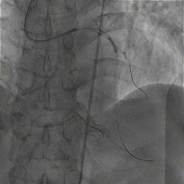
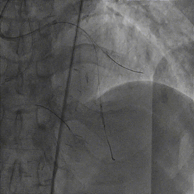
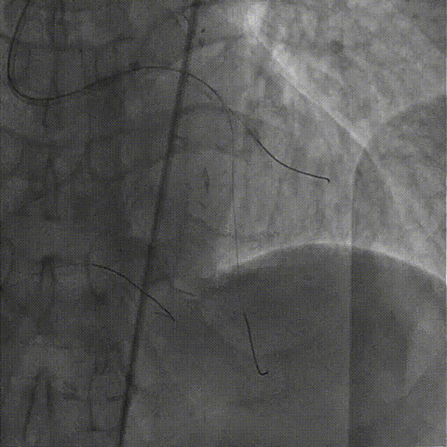
手术过程
”
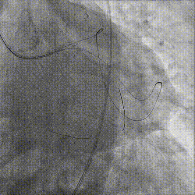
置7F UBS 3.75、6F JR 4.0指引导管至左右冠开口,分别送入Marvel导丝至LCX远段、RCA远端加强支撑,行双侧造影。


在微导管支撑下,Sion导丝无法经OM1心外膜侧枝逆向至LAD远段,改送Fielder XT-R导丝逆向至LAD远段。


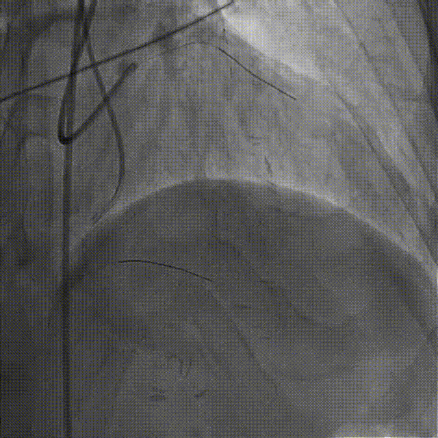
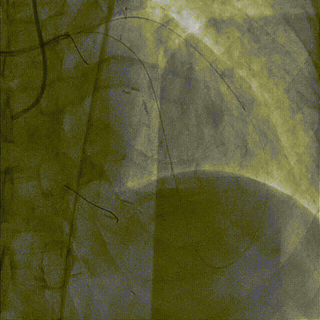
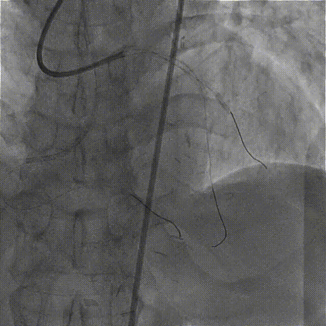
HighTrack微导管跟进至闭塞病变远端,正向工作导丝做指引,应用Fielder XT-A导丝逆向通过闭塞段至LM内,反复尝试调整导丝未能进入正向指引导管。
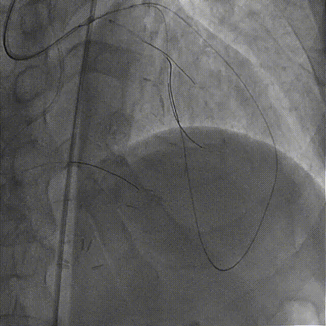
此病例心外膜侧枝迂曲纤细,可见明显成角,故选择通过性好,远端外径1.5Fr的在HighTrack微导管;此外,对比间隔侧枝,心外膜侧枝缺乏心肌保护,往往存在更高的穿孔等并发症风险,因此头端纤薄柔软的HighTrack微导管尤其适用于此类病例。



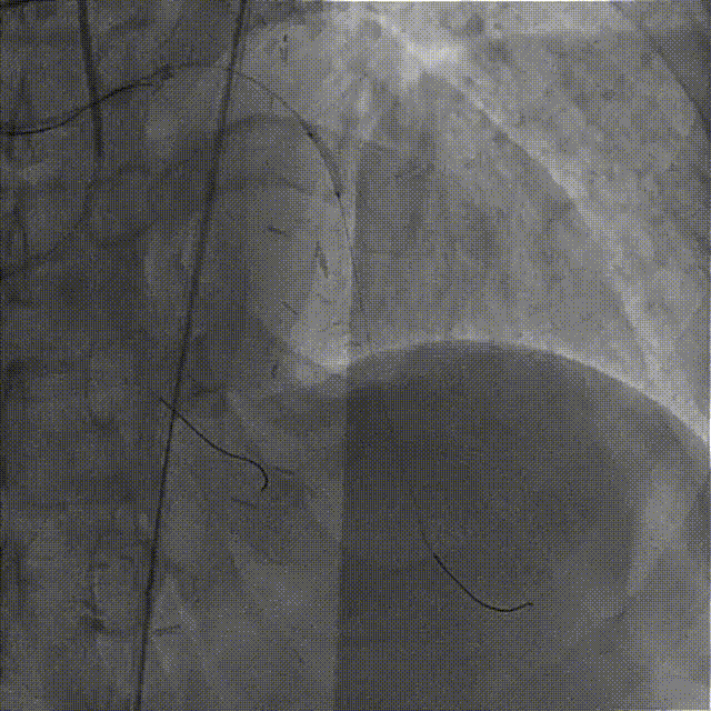
在HighTrack微导管的支撑下及逆向导丝的指引下,正向用Gaia First、Gaia Third、PILOT 200导丝反复尝试,均未能通过闭塞段进入血管真腔。



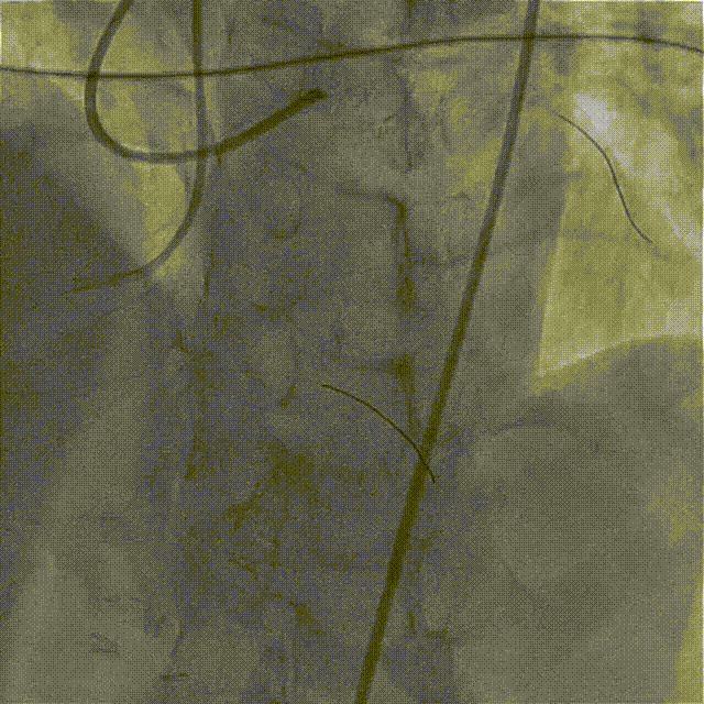
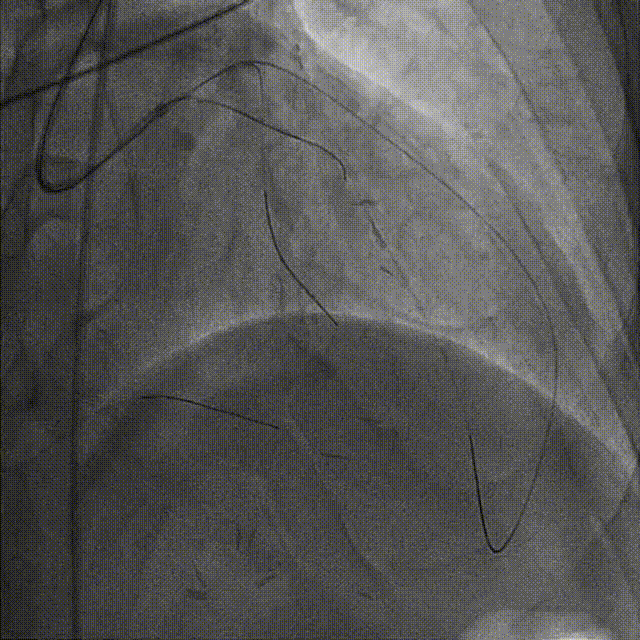
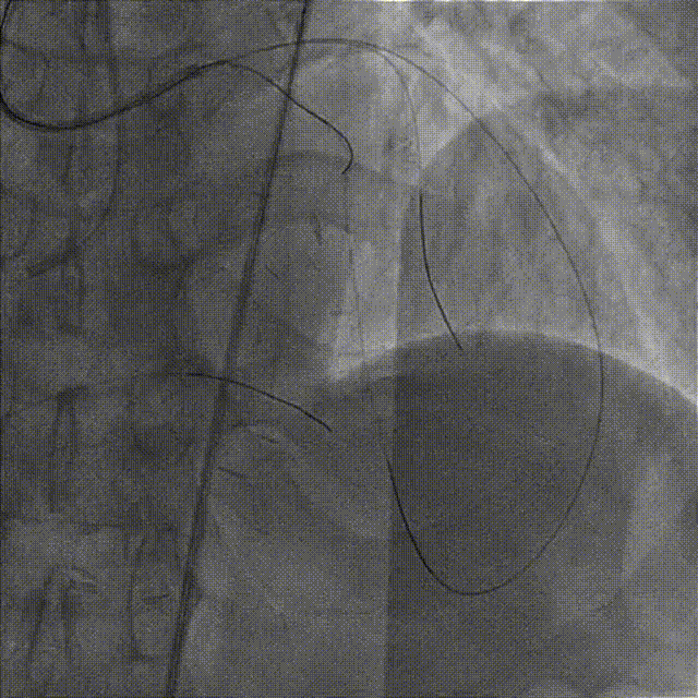
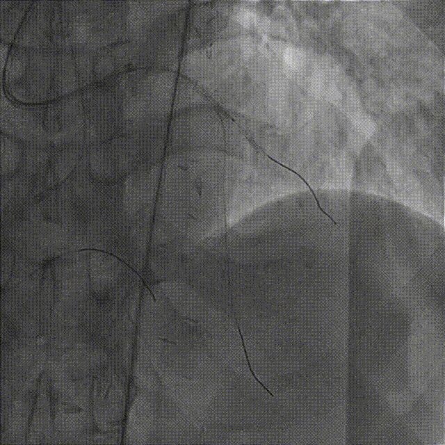
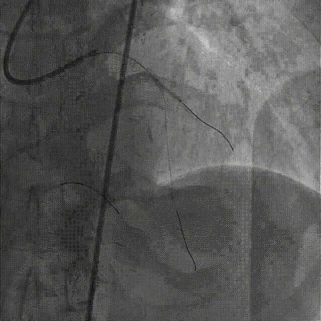
逆向重新送入一根SION Blue导丝反复尝试,最终进入正向指引导管内,推送逆向微导管至正向指引导管内,逆向送入RG3导丝至正向入口,正向沿RG3导丝推送微导管至LAD远段,撤出逆向导丝及微导管,交换一根SION Blue导丝至LAD远段。



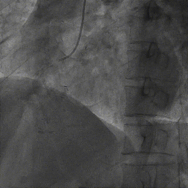
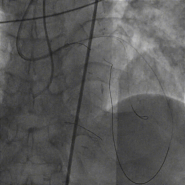
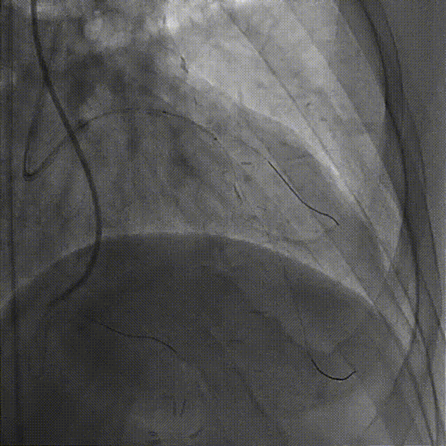
依次用Pinoeer 2.0mm x 15mm、Pinoeer 2.5mm x 15mm球囊至病变处反复扩张,送入Marvel导丝至D1远段做保护,LAD行IVUS检查。

IVUS检查示:可见导丝全程走行与血管真腔,近中段重度纤维增生斑块伴局部钙化,远段血管床废用性萎缩。

于LAD病变处由远及近依次植入XIENCE Alpine 2.5mm x 18mm和XIENCE Alpine 3.0mm x 23mm支架各一枚。


造影示支架定位良好,D1开口受压90%狭窄,交换一根SION导丝穿支架网眼至D1远段,用Pinoeer1.5mm x 15mm、Pinoeer 2.0mm x 15mm球囊至D1开口处扩张。



FOXTROT NC 2.5mm x 15mm、FOXTROT 3.0 mm x 15mm后扩球囊后扩球囊至支架内后扩,以实现支架的充分贴壁,并对LAD远段进行球囊扩张,造影显示TIMI血流III级。



术后行IVUS检查示:支架定位贴壁扩张良好,LAD开口MSA:7.43mm2。

术后体会
-
本例为一例陈旧性心肌梗死、冠脉搭桥术后再发胸痛男性患者,造影提示桥血管及LAD均完全闭塞,造影可见LAD起始段闭塞,开口位置不明确,闭塞段较长,LCX及RCA均通过心外膜为LAD提供了丰富侧枝,考虑血管的迂曲程度,本例最终通过LCX逆行心外膜桥侧枝顺利开通闭塞病变。
-
头端外径低,柔顺性高的微导管可在术中轻松通过迂曲细小的通道,对于心外膜侧枝的通过性和安全性较高。
-
逆行导丝通过闭塞段顺利进入LM,但未能进入正向指引导管,本例灵活转换正逆向策略,最终逆向导丝进入正向指引导管,应用RG3体外化技术顺利完成导丝交换。
术者介绍

张 斌
宝鸡市中医医院
-END-
专业的心血管医生学术交流平台


版权及免责声明:
本网站所发表内容知识产权归属医谱平台、主办方以及原作者等相关权利人,未经许可,禁止进行复制、传播、展示、镜像、转载、摘编等。经授权使用,须注明来源,否则将追究其法律责任。有关作品内容、版权和其他问题请与本网联系
发表留言
暂无留言
输入您的留言参与专家互动