攻坚“磐石”:超细微导管交换旋磨导丝攻克右冠弥漫性重度钙化

攻坚“磐石”:超细微导管交换旋磨导丝攻克右冠弥漫性重度钙化
患者病史
”
患者信息
-
10月前冠脉CTA提示冠脉狭窄,当地医院尝试2次PCI未成功。
-
2023年11月外院造影:RCA近中远段重度狭窄伴重度钙化,试行PCI,球囊和ELCA导管无法通过。
-
术后规律服药。
颈动脉硬化,陈旧性脑梗死
高血压病、高脂血症、2型糖尿病、吸烟
LV47mm,EF64%,主动脉窦部及升主动脉增宽
检查及诊断
外院RCA冠脉造影和PCI
造影显示右冠全程弥漫多处95%以上狭窄伴重度钙化,最重处次全闭塞,CTO导丝通过病变后,球囊及ELCA导管均无法通过,未能完成PCI治疗。


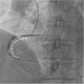
我院左冠基础造影
造影示:LM:(-);LAD:中段及远段轻度狭窄伴钙化;LCX:远端向RCA发出侧枝。



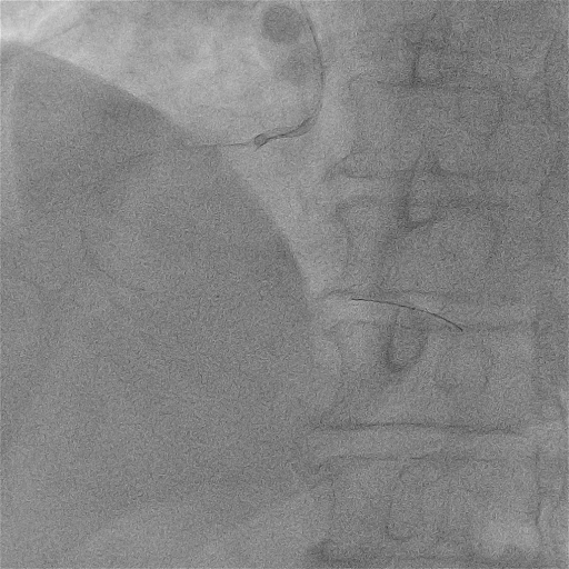
我院右冠基础造影
RCA:全程弥漫多处95%以上狭窄伴重度钙化,最重处次全闭塞,血流TIMI2级。

手术方案
”
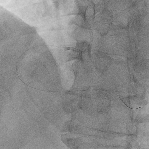
初始策略
外院导丝可以到达远端,但是ELCA无法通过
我院尝试SION blue工作导丝通过病变,阻力明显,Fielder XT-R导丝可到达远端
尝试2.0mm球囊近段病变无法通过
下一步?
启动旋磨

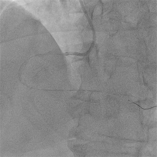
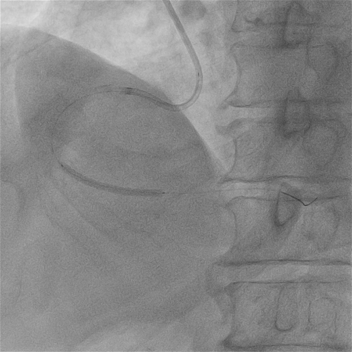
如何使旋磨导丝到达远端?
7F AL1.0指引导管,提供强支撑;
病变处狭窄及钙化严重,考虑普通微导管跟进困难,优先选择在纤细、迂曲的血管中通过性较好的“细径”微导管——HighTrack1.5Fr微导管,顺利通过病变后交换旋磨导丝至远端。


手术过程
”
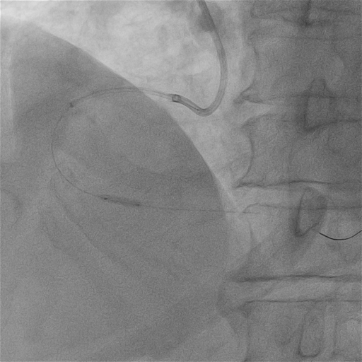
ROTA 1.5Burr首次旋磨



1.5mm旋磨头分段式旋磨RCA近、中、远段病变,轻进快退“啄米式”充分旋磨近端后再逐步前进,旋磨头顺利通过近中段病变并对病变处进行充分打磨。



1.5mm旋磨头通过中远段病变,对钙化病变充分进行旋磨抛光。
ROTA后评估
IVUS可见RCA近中段弥漫钙化病变,多>270°钙化环,3# 近端钙化壁较厚,可见旋磨后多重反射影;近中段病变扩张不充分,钙化环未见明显断裂,IVUS导管未能通过远端病变处。

IVUS无法通过远段

球囊扩张
在Guidezilla支撑下,用1.5mm、2.0mm扩张远端病变处。

1.5*15mm

2.0*15mm

Guidezilla支撑
ROTA 1.5Burr再次旋磨远段



再次送入1.5mm旋磨头对远端病变进行旋磨,顺利通过病变处并进行充分打磨。
球囊扩张
2.0mm高压球囊充分扩张远端病变;造影示RCA远端病变处扩张效果良好,近、中段病变扩张不充分。



ROTA后评估远段
IVUS结果:远端钙化处可见360°钙化环断裂,多重反射影;远端血管直径约2.5mm。


IVL+球囊扩张
近端钙化病变扩张不充分,用3.5mm震波对近段及中段钙化病变处进行扩张,可见近端狭窄明显改善;2.5mm切割球囊对远端病变进行充分扩张。




3.5mmIVL球囊+3.5*15mmNC球囊
2.5mm切割球囊
再次IVUS评估
IVUS结果:可见近段及中段多处钙化环断裂,管腔狭窄明显改善;远端钙化环较厚未见明显断裂,管腔扩张不充分。

球囊扩张+远段IVUS评估
用2.5mm高压球囊对远端病变进行充分扩张后,行IVUS可见明显钙化环断裂。

2.5*10mmNC球囊

前后IVUS对比
支架植入
于RCA病变处由远及近依次植入2.75*38mm、3.5*38mm、4.0*18mm支架各一枚。

2.75*38mm

3.5*38mm

4.0*18mm
后扩张
用3.0mm、3.5mm及4.0mm高压球囊充分对支架进行后扩张。

3.0*15mmNC

3.5*15mmNC

4.0*15mmNC
最终CAG和IVUS
术后造影及IVUS可见支架膨胀及贴壁良好,支架远近端未见夹层血肿。



病例小结
-
冠脉钙化病变显著增加了冠脉介入治疗的手术难度和风险,尤其是严重的内膜钙化病变及钙化结节,常常导致器械通过困难、支架膨胀及贴壁不良、病变处夹层及穿孔等并发症。支架植入前合理应用冠脉旋磨术、激光消蚀术、震波等技术对钙化病变进行充分的预处理至关重要。本病例患者右冠全程钙化病变,多处重度狭窄,普通导丝无法顺利通过,球囊和ELCA均无法通过,旋磨势在必行。
-
严重的钙化病变大多伴有冠脉的迂曲、僵硬、成角,特别是钙化结节可导致管腔内壁凹凸不平,导丝如走行“砂石路”感而难以通过,导致微导管无法通过而无法交换旋磨导丝,此时可尝试以下方案:
①选择支撑力强、远端细且薄、通过性较好的“细径”微导管(本例应用HighTrack1.5Fr微导管)旋转通过病变;
②应用强支撑指引导管、延伸导管、球囊锚定等强化支撑;
③小球囊掘进、爆破技术;
④新一代旋磨导丝增加了一定操控性,可尝试旋磨导丝直接通过,但应谨慎操作,避免导丝嵌顿、断裂等。
-
对于弥漫长钙化病变的旋磨应注意采用轻进快退的“啄米式”方法,旋磨过程中应时刻注意旋磨头的方向、转速等;采用分段式旋磨,一段磨通打磨光滑后,再前进旋磨头进行下一段旋磨,以避免出现旋磨头嵌顿。
-
冠脉旋磨术后联合震波球囊扩张可以进一步强化对重度冠脉钙化病变的预处理,特别是同时存在>270°环形钙化以及钙化结节的患者。首先通过冠脉旋磨技术对钙化结节进行打磨,削减环形钙化的斑块厚度,增加器械通过性;对于高压球囊、棘突或切割球囊仍无法突破的钙化环,震波球囊扩张可进一步松解“紧箍咒”,使得钙化环断裂。
-
对于钙化病变要合理应用IVUS、OCT等腔内影像学手段,对钙化病变进行充分评估,在旋磨或震波扩张术后均应进行评估,明确严重钙化病变的预处理效果,不要急于盲目植入支架。
术者介绍

高国峰
中国医学科学院阜外医院
-END-
专业的心血管医生学术交流平台


版权及免责声明:
本网站所发表内容知识产权归属医谱平台、主办方以及原作者等相关权利人,未经许可,禁止进行复制、传播、展示、镜像、转载、摘编等。经授权使用,须注明来源,否则将追究其法律责任。有关作品内容、版权和其他问题请与本网联系
发表留言
暂无留言
输入您的留言参与专家互动