襄城县人民医院刘鸣教授团队首例ScienCrown TAVR攻克升主扭转+横列式Type0型二叶瓣主狭挑战
近日,襄城县人民医院心内科刘鸣教授团队,在阜外华中心血管病医院刘煜昊教授、陈同峰教授、吴亚辉教授支持下,成功应用ScienCrown瓣膜完成一例横列式Type0型二叶瓣重度狭窄合并升主扭转的复杂TAVR。该患者82岁女性,多次心衰,心功能储备差,无法耐受外科开胸,经多学科团队全面评估与患者及家属充分沟通后,为其实施经股入路TAVR。术后主动脉瓣狭窄解除,跨瓣压差显著下降,血流动力学指标明显改善,心功能获得即刻提升,手术达到预期血运重建与功能改善目标。

患者基本情况
患者:女性,82岁。
主诉:胸闷5年,气喘3年,加重3天。
现病史:5年前急性前壁ST段抬高型心梗,急诊造影前降支根部闭塞,术中室颤20余次,IABP辅助下急诊开通前降支,残存狭窄30%,未植入支架,一直药物治疗。近3年反复心衰入院,彩超提示主动脉瓣狭窄,狭窄程度进行性加重。3天前气喘加重,日常活动明显受限,为进一步治疗入院。
术前检查
体格检查:T:36.1℃ P:60次/分,BP:144/76 mmHg。
化验检查:
NT-proBNP 1920.14pg/ml (1.22检查)
NT-proBNP 4756.21pg/ml (1.15检查)
冠脉CT检查:前降支近段原闭塞部位轻度狭窄。
心电图:

2026.1.26 超声提示:主动脉瓣重度狭窄,PK:4.2M/S,PPG:71mmHG

术前CT分析
主动脉根部测量



Annulus
23.8mm
LVOT
22.4mm
钙化积分
535



SOV
STJ
28.5mm
AAO
42.4mm
-
横列式Type0型二叶瓣,瓣环内径23.8mm
-
流出道收口型
-
瓣叶显著增厚、重度偏心钙化
-
升主扩张
瓣上结构测量



瓣上2mm
21.6mm
瓣上4mm
21.9 mm
瓣上6mm
21.7 mm



瓣上8mm
21.7mm
瓣上10mm
21.1mm
瓣下2mm
22.2mm
-
瓣上限制较重,可见明显左窦瓣叶偏心钙化,限制最重区域为瓣上4-8mm。
冠脉风险评估


LCA Height
RCA Height

LCA & Leaflet
RCA & Leaflet
-
冠脉开口高度可,瓣叶未见冗长,冠脉阻挡风险不高。
左室测量


-
收缩期可见明显心肌增厚。
外周入路评估

-
双侧股-髂入路部分钙化附着,整体入路轻微迂曲,血管内径可、偏小;
-
横位心、患者释放体位(双窦展开位)角度极大。
本例手术面临多重解剖与技术挑战,针对性的器械方案选择是手术成功的关键。
1、复杂根部解剖:患者为Type 0型二叶瓣,且伴有重度钙化。这种解剖结构常导致瓣膜展开不对称、锚定困难,并增加术后瓣周漏的风险。
2、升主动脉扭曲:增加了输送系统过弓、跨瓣的操作难度及血管损伤风险。
综合风险评估:上述解剖因素叠加,使得手术面临瓣周漏风险、传导阻滞风险以及血管并发症风险等多重挑战。
手术策略制定
对此复杂情况,手术团队经过多学科会诊和远程术前讨论,制定了周密的手术方案,并选用全可回收自膨短瓣ScienCrown系统进行植入。
-
麻醉方式:全身麻醉;
-
冠脉风险:低;
-
球囊扩张策略:18mm球囊预扩;
-
瓣膜型号:ScienCrown TAVTF23mm;
-
入路选择:左侧股动脉主入路,超硬导丝支撑下植入大鞘 ;
-
手术操作:该患者窦部偏心钙化且延伸至流出道,瓣上结构锚定充足,术中需充分确保瓣膜轴向,切勿提拉输送器,保证导丝张力,同时瓣膜需精准定位,高位或0位附近释放,确保瓣膜在瓣环以下锚定。在瓣膜完全展开后需多角度评估,观察瓣膜的形态及位置,确保稳定后再行脱钩释放。
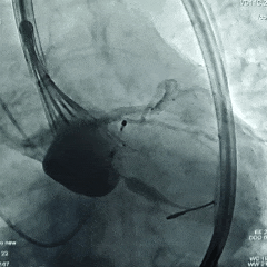
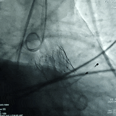
术中情况回顾


主动脉根部造影
18mm球囊预扩张


瓣膜初始定位
瓣膜展开至工作位


瓣膜工作位评估
瓣膜工作位多角度评估


瓣膜稳定脱钩
瓣膜脱钩后造影,瓣膜形态不佳决定后扩张


20mm球囊后扩张
瓣膜后扩后造影测压,无压差
术后超声检查

超声提示:
主动脉瓣术后
二尖瓣退行性变
三尖瓣轻度反流
小结
本台手术顺利开展,是襄城县人民医院心内科应对高难度TAVR的成功实践,展现了团队在病例评估、影像分析、围术期管理、多学科协作及复杂解剖处理等方面的综合能力,为基层开展此类技术提供了宝贵“破冰”经验和信心,对落实分级诊疗、实现“大病不出县”具有积极示范作用。
基层开展TAVR必须直面两大现实:一是医生经验不足,技术门槛相对高;二是患者就医成本高。此次手术是中原地区县域医院首例ScienCrown应对“升主动脉扭转+横列式Type 0型二叶瓣”复杂解剖的TAVR手术,也是破局县域TAVR发展痛点的解决方案之一:
-
100%全释放全回收:全释放后仍可回收调整,高容错率赋予术者“纠错”空间,有助于实现最佳植入深度并降低移位风险;
-
直筒短瓣架:均匀的径向支撑力保障瓣膜精准锚定,即便面对重度钙化等挑战性解剖仍能稳定植入,不位移,同时短瓣架设计为后续可能的冠脉再介入保留了空间,真正做到患者的全生命周期管理;
-
同轴性优化:预弯型输送系统提高了器械通过性及同轴性,简化操作流程,缩短手术时间,降低对术者操作熟练度的依赖,助力基层TAVR临床经验积累。
该器械方案显著提升了手术的安全性、可控性和成功率,其“技术友好性”推动先进术式的进一步普及,促使TAVR技术从核心大城市的三甲医院逐步向地市级基层医疗机构延伸,从而更好地满足目前未被覆盖的治疗需求。



专家简介




· END ·
专业的心血管医生学术交流平台


版权及免责声明:
本网站所发表内容知识产权归属医谱平台、主办方以及原作者等相关权利人,未经许可,禁止进行复制、传播、展示、镜像、转载、摘编等。经授权使用,须注明来源,否则将追究其法律责任。有关作品内容、版权和其他问题请与本网联系
发表留言
暂无留言
输入您的留言参与专家互动