逆向CTO开通:微导管破局迂曲侧枝的“最后一公里”

逆向CTO开通:微导管破局迂曲侧枝的“最后一公里”
患者病史
”
患者信息
因“劳力性胸痛、呼吸困难3月”入院
1. 起病缓,病程长。
2. 入院前3月,患者开始出现活动后胸痛、呼吸困难,常为爬坡上楼、劳动后诱发,表现为胸前区闷隐痛、胸闷,伴活动呼吸困难,休息后数分钟逐渐减轻。遂就诊于当地医院,诊断为“冠状动脉粥样硬化心脏病”,行冠脉造影+PCI提示:前降支近段重度狭窄并植入支架1枚,前降支远段CTO病变开通失败。给予阿司匹林、阿托伐他汀、硝酸异山梨酯等治疗。患者术后仍间断感胸部隐痛,上楼等活动仍感气促,活动耐量下降。
3. 胸廓未见异常,双侧呼吸运动均匀对称,无增强或者减弱,双侧乳房对称,未见异常,肺触觉语颤对称无异常,未触及胸膜摩擦感,双肺叩诊呈清音,双肺呼吸音清,未闻及干湿啰音,心界正常,心律齐,各瓣膜区未闻及杂音。
检查及诊断
心脏超声
二维及M型:LV48mm、LA29mm、RV20mm、 RA29mm
心功能:EF64%
检查所见:
· 普通超声心动图:各房室大小正常。主动脉窦部稍增宽,升主动脉及肺动脉内径正常。室间隔基底段稍增厚,左室后壁厚度正常,二者搏幅正常。静息状态下未见确切节段性左室壁运动异常,各瓣膜结构未见明显异常。房、室间隔连续。心包腔未见积液。主动脉弓降部近段未见明显异常。
· 多普勒检测:三尖瓣微量反流Vmax=2.3m/s,PG=21mmHg;二尖瓣微量反流。心内未见确切分流。
实验室检查
· 肌红蛋白 34.40 ng/ml
· 肌酸激酶同功酶MB质量 2.09 ng/ml
· 高敏肌钙蛋白T 8.9 ng/l
· B型钠尿肽前体 48 ng/l
临床诊断
冠状动脉闭塞
冠状动脉粥样硬化性心脏病
冠状动脉支架置入术后状态
造影结果



LM:(-)
LAD:近段50%狭窄;中段完全闭塞(CTO)
LCX:近中段可见瘤样扩张
RCA:近段50%狭窄;中段可见瘤样扩张;远段通过迂曲心外膜支向前降支逆向供血
手术方案
”
前降支中段于分出对角支后完全闭塞,闭塞残端为“平头”,闭塞段约15mm,但走行不明确,正向开通难度大。RCA远端通过心外膜侧枝为LAD提供侧枝循环,逆向开通手术风险较高,需谨慎操作
从对角支回撤IVUS明确CTO入口,尝试对侧造影指导下采用正向导丝升级、平行导丝等技术进行正向开通,可通过对角支导丝送入IVUS指引CTO导丝“进攻”方向
如未能正向开通进入真腔,可启动逆向开通方案,通过微导管Tip-injection显示远端侧枝循环路径,指导逆向导丝走行
正逆向结合开通LAD闭塞段病变,应用微导管强化导丝支撑,采用Reverse CART等技术重回真腔
手术过程
”
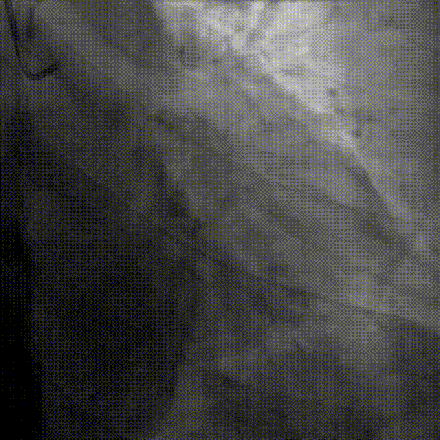
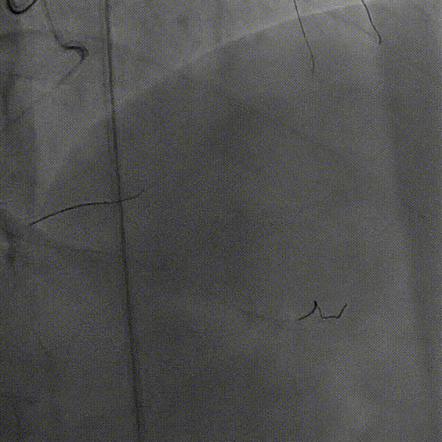
双侧造影后,尝试正向开通LAD闭塞病变

XB 3.0指引导管送至左冠口,JR3.5指引导管送至右冠口;分别送至工作导丝对角支及RCA行双侧造影


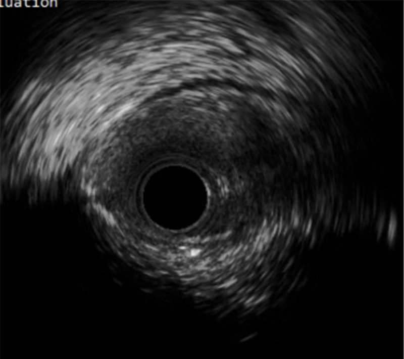
首先进行正向准备,对角支回撤IVUS明确CTO入口,Pilot200导丝进入

IVUS证实导丝进入CTO入口正确
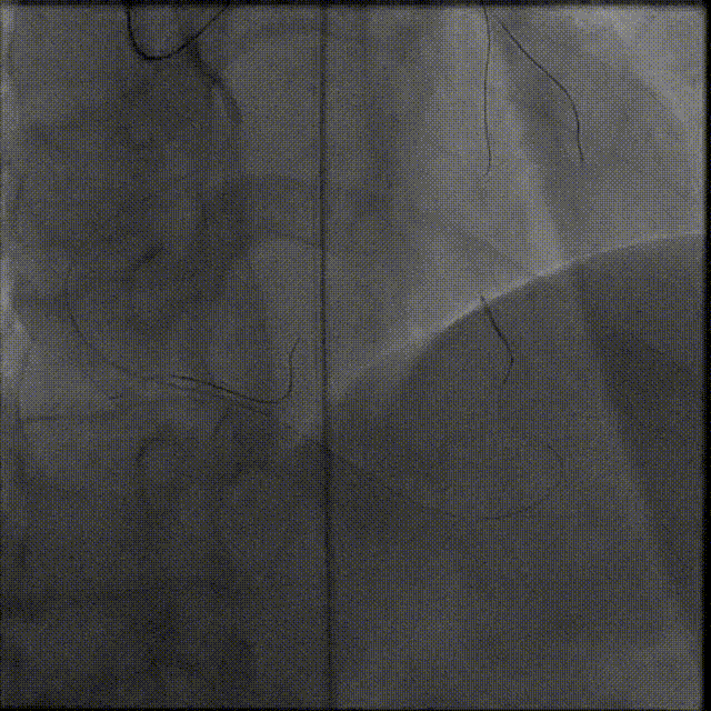
正向开通未果,启动逆向开通策略



正向导丝前行同时对侧造影发现与LAD路径差别较大,考虑可能存在血管迂曲,交换为FIELDER XT-A导丝,在内膜下利用Knuckle技术向前钝性分离,通过CTO体部直至CTO远端纤维帽,登陆区血管细小不考虑ADR策略,考虑启动逆向开通

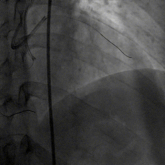
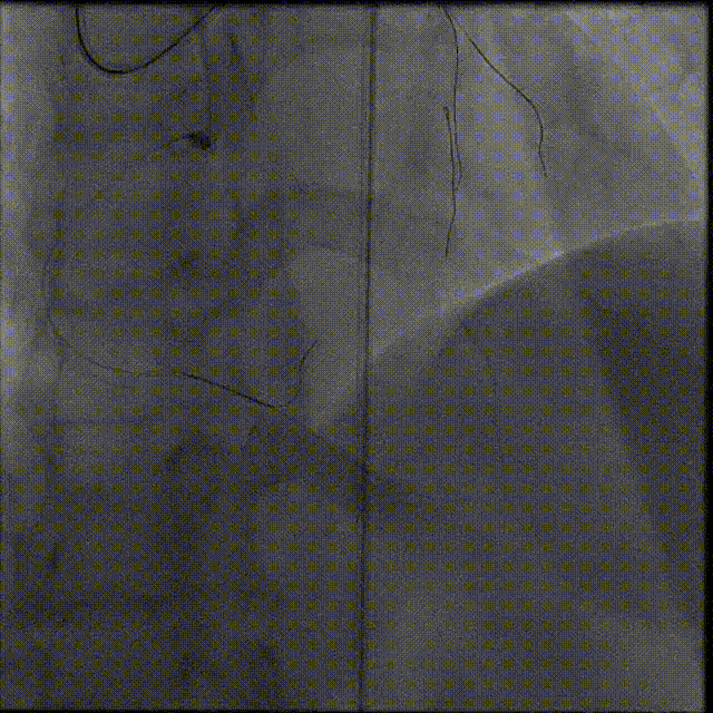
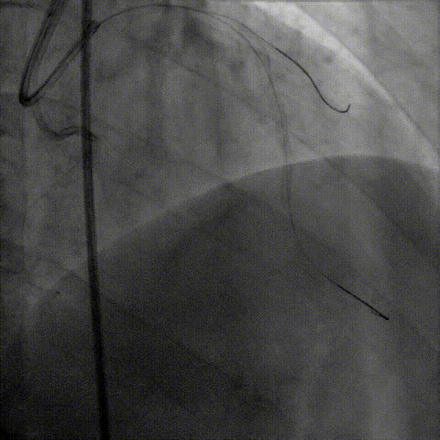
微导管高选择性造影(tip injection)显示远端心外膜侧枝迂曲


Caravel微导管支撑下,SUOH 03导丝通过心外膜侧枝送至LAD闭塞段远端
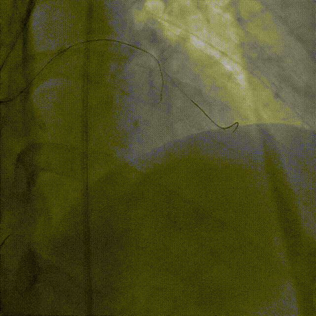
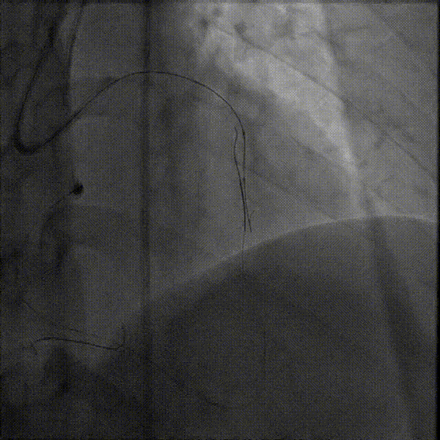
微导管“升级”通过侧枝

因侧枝血管严重迂曲,Caravel微导管无法通过侧枝,遂更换为1.5F HighTrack微导管顺利通过侧枝进入LAD远端

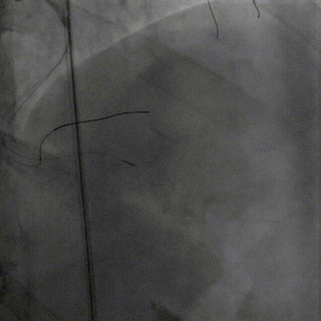
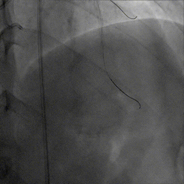
HighTrack微导管支撑逆向导丝前推至CTO病变体部,并跟进导丝进入CTO病变

应用Reverse CART技术成功通过闭塞病变


逆向导丝送至LAD近端,沿正向导丝送入2.0mm球囊扩张,在HighTrack微导管支撑下应用Gaia Third、Conquest pro 12导丝尝试Reverse CART成功
Reverse CART技术
Reverse CART是于2000年代中期,由日本介入治疗专家Osamu Katoh改进CART技术发展而来,其主要原理是正向送入导丝和球囊,在CTO病变处扩张,继而操控逆向导丝通过前向球囊产生的通道最终进入CTO近端的血管真腔。若闭塞段长度较长、迂曲、预期闭塞段内解剖结构复杂且其他CTO介入技术成功率较低,建议尽早行R-CART

Reverse CART的技术要点
(1)正向准备: 将正向导丝(及微导管)送至CTO病变近端,并尽可能进入病变内或内膜下。逆向准备: 逆向导丝(在微导管支撑下)通过侧支循环到达CTO病变远端,并进入病变内或内膜下。在多个投照体位(特别是垂直角度)下确认正、逆向导丝在CTO段内实现纵向重叠,也是后续操作的基础。
(2)在实际操作过程中,冠脉CTA可以协助评估血管形态,导丝对吻、Knuckle技术、Carlino技术、导丝升级则可以帮助导丝前进,同时联合应用血管内超声检查可以明确管腔和导丝的位置关系。
(3)扩张球囊的选择:根据IVUS测量的血管直径和斑块性质,选择最合适的球囊尺寸,应避免过分扩张。临床上一般直径为2.0mm-2.5mm的球囊最常用。
(4)正向球囊扩张后,应避免正向注射对比剂,以免造成正向夹层或血肿向血管远段延展。





远端导丝位于真腔内;中段可见夹层及血肿;CTO段部分位于假腔
逆向微导管进入正向指引导管,交换RG3导丝,
成功置入支架2枚


逆向导丝顺利通过CTO病变进入正向指引导管,交换RG3导丝,顺利于LAD闭塞病变植入2.25mm×16mm、2.5mm×32mm支架各一枚
术后造影明确支架及心外膜侧枝情况

远端心外膜侧枝未见异常
术后体会
-
CTO病变是冠状动脉介入手术治疗的难点之一,正向导丝通过技术、逆向导丝通过技术、逆向和正向内膜下重回真腔技术(ADR)的联合策略可以提高手术效率及CTO开通成功率。
-
心外膜侧枝较间隔支侧枝更常见,但通常以路径长、走形迂曲,呈螺旋状为特点,操作风险大,术中更应谨慎操作。
-
位于右室表面的心外膜侧枝比较僵硬、迂曲,因此需要选择柔韧性好、顺应性佳、推送性佳的微导管,并注意动作轻柔。
-
Reverse CART技术显著提高了CTO PCI的成功率,但在操作过程中应注意其技术要点:
① 多个体位确认前向和逆向导丝尽量重合;
② 正向球囊完成扩张后禁止前向造影;
③ 重视IVUS在CTO病变中的重要指导作用。
参考文献
Matsuno, Shunsuke, Etsuo Tsuchikane, Scott A. Harding, Eugene B. Wu, Hsien-Li Kao, Emmanouil S. Brilakis, Kambis Mashayekhi, Gerald S. Werner. “Overview and Proposed Terminology for the Reverse Controlled Antegrade and Retrograde Tracking (reverse CART) Techniques.” EuroIntervention, vol. 14, no. 1, 2018, pp. 94-101, DOI: 10.4244/EIJ-D-17-00867.
术者介绍

周名纲
四川大学华西医院
-END-
专业的心血管医生学术交流平台


版权及免责声明:
本网站所发表内容知识产权归属医谱平台、主办方以及原作者等相关权利人,未经许可,禁止进行复制、传播、展示、镜像、转载、摘编等。经授权使用,须注明来源,否则将追究其法律责任。有关作品内容、版权和其他问题请与本网联系
发表留言
暂无留言
输入您的留言参与专家互动