反流新“瓣”法 | 新疆心脑血管病医院符竣院长、陈琳教授团队应用ScienCrown完成一例高难度纯反流TAVR手术
单纯主动脉瓣反流TAVR存在瓣膜锚定困难、术中易出现瓣膜移位、瓣周漏等风险,手术难度高,挑战大。近日,新疆心脑血管病医院符竣院长、陈琳教授团队联合多学科协作,为一名重度AR患者实施经导管主动脉瓣置换术,针对瓣膜0钙化锚定困难、瓣环和左室流出道扩张等复杂解剖,创新性应用国产全可回收自膨短瓣ScienCrown,精准定位、稳定释放,术后反流即刻解除,血流动力学显著改善,为单纯主动脉瓣反流TAVR提供了新的可行路径。

患者基本情况
基础信息:男性,76岁。
术前超声
入院心脏彩超提示:
-
左房(前后径47mm)、左室(前后径61mm)扩大;右房、右室不大。
-
主动脉瓣增厚、回声增强、局部钙化,收缩期开放受限,前向血流速度增快,峰速2.8m/s,压差32mmHg,平均压差14mmHg,舒张期左室流出道侧可见中-重度反流信号。
-
左室射血分数(EF值:45%)。
超声提示:
-
左心扩大
-
左室壁整体运动幅度稍减低
-
左室收缩功能稍减低
-
主动脉瓣轻度狭窄并中-重度关闭不全

术前CT分析
-
三叶式主动脉瓣,微量钙化,瓣叶增厚;瓣环周长折算直径26.6mm,LVOT29.3mm。
-
左冠开口高度约为17.6mm,右冠开口高度约为16.3mm,双侧冠脉堵塞风险较低。
-
左室增大,瓣环夹角54°,非横位心。
-
外周血管入路良好,左侧股动脉min6.6mm,右侧股动脉min6.9mm。
主动脉根部测量



Annulus:26.6mm
LVOT:29.3mm
钙化积分:0



SOV:
32.1*34.4*33.8mm
STJ:27.4mm
AAO:33.8mm
瓣上结构测量


瓣上2mm:25.2mm
瓣上4mm:25.4mm


瓣上6mm:26.6mm
瓣上8mm:27.5mm
冠脉风险评估


LCA Height
RCA Height


LCA & Leaflet
RCA & Leaflet
左室测量


工作体位



右窦居中
左冠切线
左右重叠
外周入路评估

针对该高龄男性患者左心显著扩张、心功能不全伴严重主动脉瓣反流的复杂情况,陈琳教授团队在全面评估和多学科会诊后,制定了精准的手术策略方案——经导管主动脉瓣置换术(TAVR)进行治疗。面对反流病例特有的瓣膜定位和锚定技术难题,团队创新应用国产最新一代“全释放/全回收”瓣膜系统,其独特的全可回收特性为术中精细调整提供了可靠保障,显著提升了手术安全性和成功率。
手术策略
麻醉方式:全身麻醉
冠脉风险:低
球囊扩张策略:不预扩
瓣膜型号:ScienCrown TAVTF29mm,0位定位释放。
入路选择:22F大鞘置入;右侧股动脉主入路,超硬导丝支撑下植入大鞘。
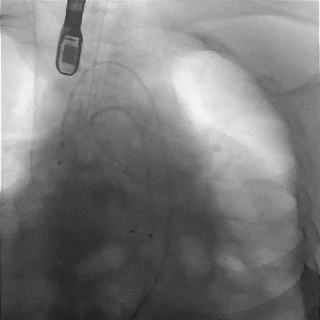
手术过程


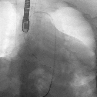
主动脉根部造影
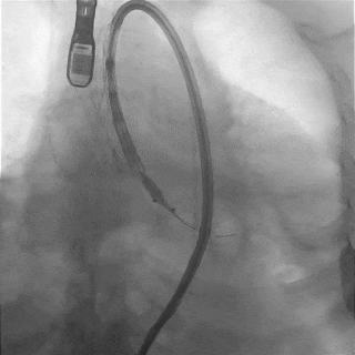
TF29瓣膜,0位定位释放


瓣膜稳定释放至全展开
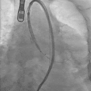
造影观察:瓣膜位置可,形态佳


左冠切线观察,瓣膜位置可
冠脉灌注良好
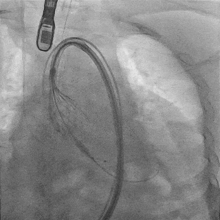
缓慢脱钩,瓣膜无位移


脱钩后造影
瓣膜位置可,无瓣周漏
外周造影检查,血管无损伤
专家简介

符竣 教授
新疆心脑血管病医院
新疆心脑血管病医院院长,主任医师;
从事心脏外科临床工作20余年,于华中地区率先开展各种复杂大血管疾病的镶嵌治疗及双极钳Mazelv治疗房颤,国内率先开展微创大血管手术、双轨道技术保留主动脉瓣治疗急性主动脉夹层。
中国心血管病专家委员会血管外科专业委员会(NSVS)全国委员;
非公立医疗专家委员会委员;
主持和参与各类心脏外科手术7000余例;完成胸主动脉置换、全弓置换+象鼻支架等各种类型的大血管手术约1000余例;
在国家级、国际外科学杂志发表《改良主动脉全弓置换术的临床应用》、《腔内吻合技术在Bentall手术中的应用》等学术文章20篇;荣获2019年孙氏手术突出贡献奖;荣获2020年大血管手术年度人物奖。领衔开展国内,微创大血管手术、双轨道技术保留主动脉瓣治疗急性主动脉夹层,领衔开展华中地区“复杂大血管疾病镶嵌治疗及双极钳MazelV治疗房颤”。

陈琳 教授
新疆心脑血管病医院
医学硕士,副主任医师;
新疆心脑血管病医院(武汉亚洲心脏病医院新疆医院)心内科主任、介入中心主任;
湖北胸痛中心预审认证专家组成员;
湖北省支付方式改革专家;
武汉市微循环学会委员;
新疆维吾尔自治区结构性心脏病质控专家;
擅长腔内影像学及功能学指导复杂PCI及结构性心脏病介入治疗,常规开展钙化旋磨、正逆向CTO的介入治疗、主动脉瓣及二尖瓣介入治疗、肥厚型心肌病的化学消融等术式;目前带领团队年PCI量2000台以上,年完成CTO病例超过300台,年TAVR及TEER手术量超过50台。
发表《经导管主动脉置入术研究现状及适应症的拓展空间》、《主支支架和分支药物球囊联合处理冠状动脉真性分叉病变的安全性和有效性》等文章20余篇,参编著作6部,主持及参与省市级课题4项。

李波 教授
新疆心脑血管病医院
副主任医师,超声科主任。
中国非公立医疗协会超声专业委员会常务委员,亚太基层卫生协会心脏超声专业委员会常务委员,中国超声医学工程学会非公医疗超声专业委员会常务委员,中国民族卫生协会心脏超声委员,中国超声心动图学会理事,新疆医学超声工程学会理事,新疆医学会第五届超声医学专业委员会委员。
从事心脏超声临床诊断工作21年。擅长于各种先天性心脏病、瓣膜性心脏病、心肌病、冠心病、大血管疾病等的超声诊断,尤其对于复杂性先天性心脏病有丰富的诊断经验。与内、外科配合完成结构性心脏病的微创手术,在疆内率先开展超声引导下的简单先心的封堵手术。熟练掌握常规食道超声及术中食道超声的监护技术,为各种心脏手术的成功提供了有力保障。除此以外,带领科室不断开展新技术、新业务,解决了临床很多实际问题;不断学习学科的前沿,努力与国内其他先进同行保持一致。
-END-
专业的心血管医生学术交流平台


版权及免责声明:
本网站所发表内容知识产权归属医谱平台、主办方以及原作者等相关权利人,未经许可,禁止进行复制、传播、展示、镜像、转载、摘编等。经授权使用,须注明来源,否则将追究其法律责任。有关作品内容、版权和其他问题请与本网联系
send a message
暂无留言
输入您的留言参与专家互动