梧州首例 | 可降解封堵器治疗22mm大型房缺合并肺高压的病例分享
近日,梧州红十字会医院心胸血管外科陈桂荣主任团队在广东省人民医院李俊杰教授的指导下,成功完成医院首例22mm大型房间隔缺损合并中度肺动脉高压的MemoSorb可降解封堵器植入术。该患者房缺直径达22mm,合并肺动脉高压,右心负荷显著增加,对封堵器要求较高。团队通过术前精确评估与术中缜密操作,植入BDASD-I 32可降解封堵器,实现了精准、稳固封堵。此次手术的成功,标志着可降解封堵器在复杂房缺应用中的又一次突破,不仅验证了其在大型房缺中应用的安全性与有效性,也为后续临床推广提供了重要的实践参考。
患者信息
基础信息:女,19岁。
主诉:3月前无诱因下出现头晕,呈头重脚轻、行走不稳感,呈阵发性,行走、活动时明显加重,休息可缓解,自觉呼吸促。
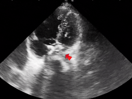
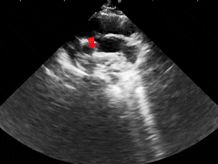
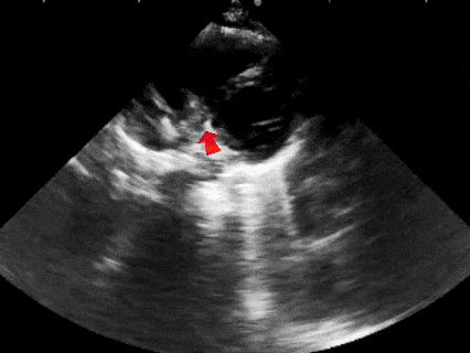
经胸超声提示:
先天性心脏病:房间隔缺损(中央型)。房水平左向右分流,右心增大,三尖瓣反流(轻度),肺动脉高压(中度),左室收缩功能正常。
初步诊断:房间隔缺损,肺动脉高压中度。
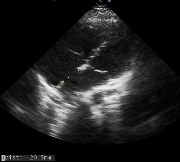
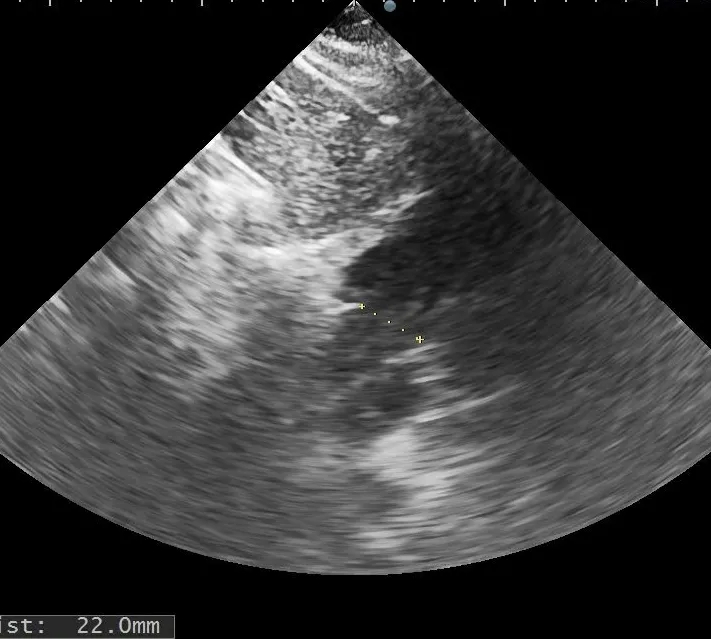
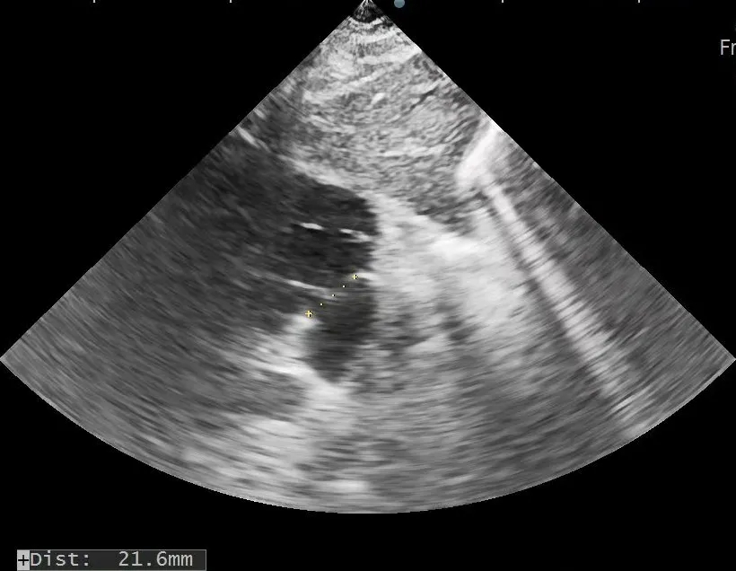
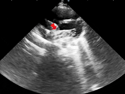
术前复测



多切面测量房间隔缺损直径为
20.5mm×22.0mm×21.6mm

多普勒下可见房水平左向右分流
临床策略
选伞考量
中央型房间隔缺损合并肺动脉高压。经术前测量房间隔缺损直径最大为22mm,综合考量选择BDASD-I 32可降解封堵器,配16F可降解封堵器输送系统施行介入封堵。
术式入径
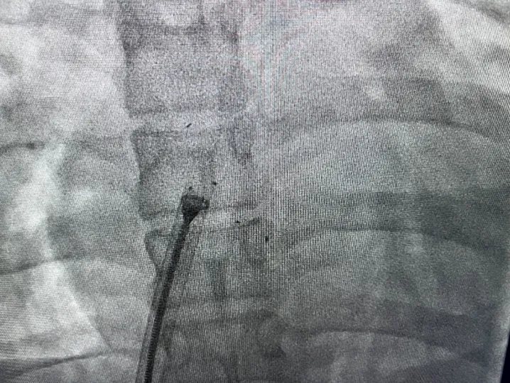
采取DSA+经胸超声引导经皮介入的方式。
手术操作
左盘展开


DSA下前推钢缆,后撤鞘管,使左盘面3个Mark点及腰部Mark点推送至鞘管外
牵拉成型线使左盘面成型,并后撤钢缆和鞘管使左盘面贴靠在房间隔
右盘展开


随后固定钢缆不动,回退鞘管,右盘展开
封堵器骑跨房间隔两侧


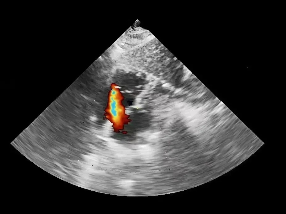
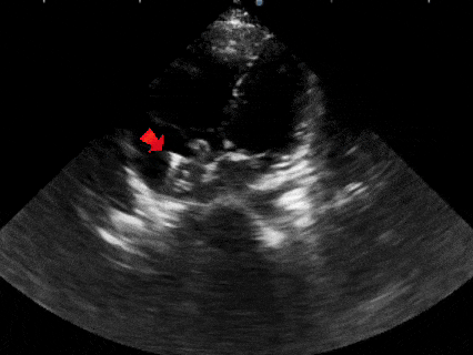
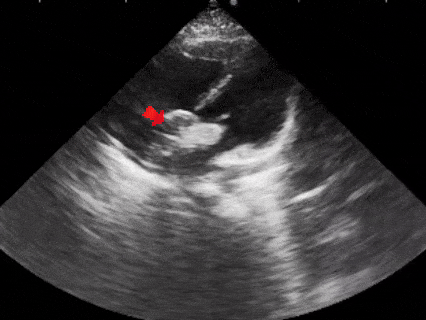
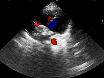
超声下观察封堵器,左右盘面在房间隔两侧,彩超下无残余分流
成型


牵拉成型线使得封堵器双盘扣合住间隔,封堵器骑跨于缺损左右两侧
多普勒观察封堵器成型后无残余分流
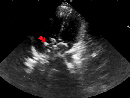
锁定


锁定后,超声下观察封堵器盘面平整贴壁,成型良好
多普勒观察无残余分流
锁定后牵拉

牵拉试验时,超声下观察封堵器,封堵器结构稳定无散开,锁定成功
释放封堵器

DSA下观察5个Mark点整体移动,封堵器形态良好,封堵成功
病例小结
本例患者为19岁女性,因头晕入院,心脏超声提示房间隔缺损(直径22mm),左向右分流,并合并中度肺动脉高压。22mm的较大房缺导致长期左向右分流,肺循环血量显著增加,肺血管床受损,若不及时干预,中度肺高压可能进展为不可逆性重度肺高压(艾森曼格综合征),从而丧失手术机会[1];同时,右心长期容量负荷过重可导致右室扩大、心功能下降,封堵治疗后有望减少右心前负荷,逆转右心重构,改善患者活动耐力。
对于年轻患者而言,可降解封堵器具有避免金属异物终身留存体内的优势,其降解后房间隔组织结构或可恢复自然弹性,有助于减少远期并发症(如房性心律失常)的发生风险。然而,目前临床实践中,对于可降解封堵器能否安全有效地封堵直径大于15mm甚至大于20mm的较大缺损仍存在顾虑,主要原因在于较大缺损的边缘情况往往更为复杂,对手术操作技巧和封堵器的稳定性均提出了更高要求,手术难度及术后残余分流的风险也相应增大。
针对这一顾虑,本例所使用的可降解封堵器通过其独特的专利降落伞式锁定结构设计,能够在封堵较大缺损时确保对周围组织的稳固夹持。 该设计在封堵器释放后,通过牵拉成型线形成力学补偿,锁定后其拉脱力可达传统金属封堵器的1.8倍,从而有效抵抗左心高压血流的冲击,降低了封堵器移位的风险。本病例的成功封堵,直接证明了可降解封堵器在严格选择病例和精准操作下,能够安全有效地应用于此类较大缺损的治疗中,为这类患者的治疗方案选择提供了有力的临床依据。
本例是梧州红十字会医院首例应用可降解封堵器治疗22mm房缺合并中度肺动脉高压的病例,同时也是梧州地区首例可降解房间隔缺损封堵器植入患者。该病例的成功不仅体现了微创介入技术在结构性心脏病治疗中的精准应用,为类似年轻患者的治疗积累了宝贵经验,也彰显了医院在心血管介入领域取得的技术突破。
感谢梧州红十字会医院心胸血管外科陈桂荣教授的病例分享
感谢广东省人民医院李俊杰教授的指导
参考文献
[1].Brida M, Chessa M, Celermajer D, Li W, Geva T, Khairy P, Griselli M, Baumgartner H, Gatzoulis MA. Atrial septal defect in adulthood: a new paradigm for congenital heart disease. Eur Heart J. 2022 Jul 21;43(28):2660-2671.
-End-

扫码观看可降解学苑精彩内容
-END-
专业的心血管医生学术交流平台


版权及免责声明:
本网站所发表内容知识产权归属医谱平台、主办方以及原作者等相关权利人,未经许可,禁止进行复制、传播、展示、镜像、转载、摘编等。经授权使用,须注明来源,否则将追究其法律责任。有关作品内容、版权和其他问题请与本网联系
发表留言
暂无留言
输入您的留言参与专家互动