可降解封堵器成功封堵距主动脉无缘且合并软缘的18mm房间隔缺损
近期,广元市中心医院心内科张邱兵教授团队应用 MemoSorb 可降解房间隔缺损封堵器,成功完成院内首例可降解 ASD 介入封堵手术。患者因反复头痛1年余就诊,经检查为18mm继发孔型房间隔缺损,主动脉侧几乎无残端且合并前下缘软缘。团队经全面评估选用BDASD-I 28可降解房间隔缺损封堵器,术中稳固封堵,术后超声显示封堵器形态及位置良好,未见残余分流,患者自述头痛症状显著缓解。该病例的成功实施,不仅验证了可降解封堵器在复杂边缘 ASD 中的安全性与有效性,也标志着医院在先心病介入治疗领域取得重要突破。
患者信息
基础信息:男性,35岁。
主诉:头痛1年余。
现病史:患者1年前无明显诱因出现头痛不适,主要表现为晨起后头顶部钝痛不适,每次持续约半小时左右,自行口服"芬必得"后,上述症状可缓解。于外院检测头颅平扫提示颅内脑实质未见明显异常。
经食道超声描述:四腔心切面观:房间隔总长约48mm,中部卵圆窝处菲薄。房间隔中部回声中断约12.6mm,残端距二尖瓣环约23mm(软缘,房间隔中部菲薄),距房顶部约13mm(硬缘)。双腔切面观:房间隔中部回声中断约14.6mm,残端距上腔静脉约15.8mm(硬缘),距下腔静脉约23.8mm(硬缘)。大动脉短轴切面观:房间隔回声中断约12mm,主动脉侧几乎无残端,距心房侧约18mm(硬缘)。CDFI: 房水平可见左向右分流血流信号。三尖瓣口见少量反流血流信号。
超声提示:继发孔型房间隔缺损,房水平左向右分流。


临床策略
封堵策略:超声下综合评估缺损合并软缘后最大直径约18mm,且主动脉侧几乎无残端,经术者综合考量后选择BDASD-I 28可降解房间隔缺损封堵器,配合16F可降解封堵器介入输送系统进行封堵。
手术过程
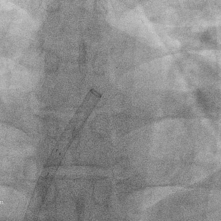
送入输送鞘

沿导丝送入输送鞘通过缺损,超声下可见鞘管呈“双轨征”
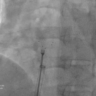
左盘展开


DSA下将前4个Mark点推出鞘管后,轻拉成型线使左盘面成型
再将输送系统整体后撤贴靠房间隔,超声下可见左盘贴合在房间隔上
右盘展开


固定钢缆,后撤鞘管展开右盘,将第五个Mark点推出
超声四腔心切面下可见封堵器双盘骑跨在房间隔两侧
锁定后超声多切面观察封堵器形态



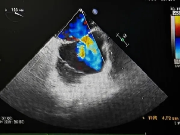
四腔心切面
主动脉短轴切面
五腔心切面
封堵器锁定成型后,超声下多切面确认封堵器盘面贴合,稳定夹持缺损。
封堵器释放

逆时针旋转钢缆释放封堵器,5个Mark点聚拢
封堵器最后形态


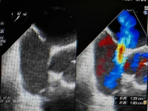
主动脉短轴切面
四腔心切面
超声下可见封堵器稳定夹持在房间隔两侧,呈“Y”字形牢牢抱住主动脉,盘面贴合,形态良好。
病例小结
本例患者因1年前出现无明显诱因出现头痛而入院。经食道超声检查后确诊为房间隔缺损,缺损最大直径约14.6mm,主动脉侧几乎无残端,且缺损前下缘(二尖瓣缘)为软缘。针对此类边缘不良的缺损,封堵术前与术中的评估尤为重要。超声综合评估缺损合并软缘后最大直径约18mm。为此,术者先行尝试输送24规格金属封堵器进行试封堵,通过观察其腰部展开状态以评估缺损实际大小,最终确定选用BDASD-I 28规格可降解房间隔缺损封堵器完成封堵。
在应对此类主动脉侧无残端且合并软缘的房间隔缺损时,若封堵器型号过小,可能无法获得稳定锚定,易发生封堵不全或移位风险;而选择偏大的封堵器虽能增加接触面积与摩擦力,但传统金属封堵器存在磨损主动脉、影响瓣膜功能甚至引起主动脉壁穿孔等风险。相较之下,MemoSorb可降解房间隔缺损封堵器凭借其专利降落伞成型锁定设计,相比金属封堵器有效提高1.8倍封堵器夹持力,即使面对缺损较大、边缘不良的情况,锁定后也可牢固夹持缺损。其采用的生物高分子材料,生物相容性更好,不易磨损主动脉根部。术后超声多切面显示封堵器形态良好,短轴切面下封堵器呈“Y”字形抱主动脉,盘面贴壁紧密,未见残余分流,术后患者自述头痛症状显著缓解。
此例手术为广元市中心医院成功开展的院内首例可降解房间隔缺损(ASD)封堵术。该技术的顺利实施,填补了本院在先心病生物可降解封堵器介入治疗领域的空白。不仅体现了医院心内科团队在处理复杂病例上的精准评估与临床突破能力,更标志着医院先心病介入迈入了“介入无植入,植入无残留”的全“心”时代,为区域内更多患者带来了远期预后更优的治疗方案。
感谢广元市中心医院张邱兵教授的病例分享
专家简介

-END-
可降解病例大赛优秀病例 | 解锁“紧箍咒”:一例儿童PFO合并偏头痛的治愈之路

扫码观看可降解学苑精彩内容
专业的心血管医生学术交流平台


版权及免责声明:
本网站所发表内容知识产权归属医谱平台、主办方以及原作者等相关权利人,未经许可,禁止进行复制、传播、展示、镜像、转载、摘编等。经授权使用,须注明来源,否则将追究其法律责任。有关作品内容、版权和其他问题请与本网联系
send a message
暂无留言
输入您的留言参与专家互动