关注术后RCM, 房室瓣最优选 | 高州市人民医院曹勇教授带领团队成功完成一例疑难复杂三次换瓣病例的猪瓣瓣膜植入
三尖瓣位置的生物瓣膜置换术(TVR)越来越常见,因其可降低长期抗凝出血风险。然而,近期观察到部分患者在术中即出现生物瓣膜瓣叶活动受限(RCM, Restricted Cusp Motion),这一现象可能被临床低估。以往的报道多为个案,尚缺乏对RCM在术中即发生的系统研究。
本文结合权威临床研究和高难度手术案例,重点探讨了三尖瓣生物瓣膜置换术后瓣叶活动受限(RCM) 这一常见问题,并通过证据证明:采用独立瓣叶设计的猪瓣(如雅培Epic系列)因其更优的血流动力学表现与更低的RCM风险,将成为三尖瓣置换的更优解。
梅奥诊所的关键发现:术后瓣叶活动受限(RCM)直接影响生存率
来自梅奥(Mayo Clinic, Rochester)的Juan A. Crestanello教授团队在最近队生物瓣膜瓣叶活动受限(RCM)做了回顾性队列的研究(2012-2022): 评估RCM在新植入三尖瓣生物瓣膜中发生的频率;明确其相关危险因素;探讨对患者远期生存率的影响。
该研究纳入人群
在Mayo Clinic接受三尖瓣生物瓣膜置换术的成年患者,共纳入476例。共有两种FDA批准的猪瓣瓣膜:Medtronic Hancock II和Abbott Epic系列瓣膜
评估工具
-
所有病例的术后体外循环后经食道超声心动图(TEE)图像进行重新评估
-
将瓣叶运动情况分为:正常,部分受限,完全受限
统计方法
Logistic回归评估RCM发生的独立预测因子;Cox比例风险模型评估RCM对长期死亡率的影响;使用Kaplan-Meier绘制生存曲线。

研究结果(Results)
1. RCM发生率:476名患者中,150人(31.5%)发生RCM:其中出现单片瓣叶活动完全受限共63例(13.2%),部分瓣叶活动受限共87例(18.3%)。
2. 危险因素:经多因素回归分析发现,以下因素与RCM显著相关:瓣膜型号:Hancock II vs. Epic(OR=6.15,P<0.001);较大的瓣膜开口面积(GOA,OR=1.58,P=0.017);较小的体表面积(BSA)(OR=0.68,P=0.040); 较低的左心射血分数(LVEF)(OR=0.60,P=0.033)。

3. RCM对预后影响:RCM组的中位随访时间内死亡率更高;Cox回归模型显示,RCM是独立的死亡风险因素(HR=1.35,P=0.049);RCM还与更高的瓣膜血栓和再次手术风险相关。

三尖瓣因其血流速度慢、跨瓣压差低的血流动力学特点,在过往临床经验中发现,在三尖瓣生物瓣膜植入术中使用牛心包材质生物瓣相较于猪天然瓣叶材质生物瓣膜更容易出现钙化、瓣叶关闭不全等情况。从瓣叶组织学角度分析,牛心包组织主要分为纤维层及脂肪层,瓣叶呈现为厚且不透明;而猪主动脉瓣叶组织分为纤维膜层、海绵层及心室内膜层,胶原蛋白和弹性纤维更丰富,瓣膜开合速度更快且返流量少,更符合三尖瓣血流动力学特点。因此,猪瓣材质生物瓣膜更适用于三尖瓣生物瓣膜置换术。

猪瓣叶组织

牛心包组织
而生物瓣膜瓣叶活动受限(RCM)在三尖瓣生物瓣膜植入术中较为常见,发生比例约占30%,梅奥Juan A. Crestanello教授团队的研究发现并证明了瓣膜型号和尺寸、患者体型、心功能是主要影响RCM因素,并提醒术中识别出的RCM与长期死亡率、瓣膜血栓、再手术风险升高密切相关。
研究提示,瓣膜设计差异是可能导致RCM的因素之一:如采用完整猪瓣,瓣叶大小不均可能导致RCM;而若采用独立三瓣瓣叶匹配设计,更接近对称结构,则发生RCM的风险较低。
梅奥Juan A. Crestanello教授团队的研究不仅为小体型患者在术前选择合适的瓣膜型号与尺寸提供了重要指导意义,并为未来制定三尖瓣生物瓣膜选择与管理指南提供了重要证据。
临床案例的实践印证:再次换瓣术后8年患者重获“心”生
近日,高州市人民医院曹勇教授带领团队成功为一名既往2013年二尖瓣机械瓣置换、2017年行三尖瓣生物瓣置换手术史,现二尖瓣关闭不全、三尖瓣生物瓣功能衰竭患者,实施三尖瓣生物瓣置换术、三尖瓣生物瓣拆除术、心包粘连松解术,顺利完成一例房室瓣复杂病例的雅培Epic Plus系列生物瓣膜植入手术。为实现患者利益最大化,团队术前对患者病情进行细致评估,联合多学科力量开展综合研判,在确认患者符合手术指征且无禁忌症后,制定了周密的手术方案。术中,团队凭借丰富的临床经验与精湛技术,精准完成瓣膜置换操作。最终,手术在多科室密切协作下顺利完成,术后患者恢复良好,瓣膜功能优异。
患者基本信息
68岁女性患者,因“再次换瓣术后8年余,气促1年,加重1月”入院。
主诉:“二尖瓣机械瓣置换术后12年,三尖瓣生物瓣置换术后8年,气促1年,加重1月”。患者于2013年因“心脏瓣膜病”在我院行“二尖瓣机械瓣置换”手术治疗,于2017年行“三尖瓣生物瓣置换术”。于1年前出现活动后气促,间中心悸,双下肢无浮肿,无咳嗽、咳痰,无夜间阵发性呼吸困难,无头晕、头痛,经予休息可稍好转,活动能力渐下降。1月前上述症状加重。
术前心脏超声评估
1、二尖瓣位机械瓣功能良好;二尖瓣位机械架固定,瓣叶无异常回声附着,启闭灵活,瓣周未见明显异常回声。
2、 三尖瓣位生物瓣口中大量返流;三尖瓣位生物瓣架固定,瓣叶无异常回声附着,瓣叶开放尚可,关闭不拢,瓣周未见明显异常回声。

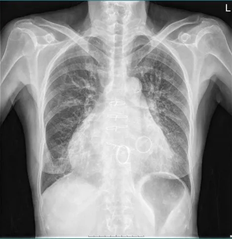
术前胸部CT评估
心脏瓣膜病术后:双肺纹理增多、增粗,双下肺野见少许斑片状模糊影;双肺门不大,主动脉结不宽,肺动脉段平直,心影增大,心胸比率:0.68。双侧膈面光整,双侧肋膈角锐利。心影内见术后环形金属密度影。 胸骨见术后内固定钢丝影,未见断裂、松动征象。

术前心电图提示
1、窦性心率
2、一度房室传导阻滞
3、左心室肥大待查
4、T波改变

高州市人民医院曹勇教授团队细致评估,确认患者符合手术指征且无手术禁忌症,遂拟行三尖瓣生物瓣置换术、三尖瓣生物瓣拆除术、心包粘连松解术、心脏表面临时起搏导线安置术(体外循环下)。
手术经过
1.施麻成功后,患者取仰卧平位,取原胸骨正中切口、左侧腹股沟切口,术野常规消毒铺巾。先右侧腹股沟切口,游离显露左股动、静脉备用。胸骨正中切口,自切口处依次切开皮肤、皮下组织,剪断并拨出原固定胸骨4根钢丝,摇摆锯正中逐步锯开胸骨,仔细游离胸骨后粘连,逐步撑开胸骨,游离升主动脉、上腔静脉、右心房、下腔静脉、右心室。全身肝素化后,升主动脉、上腔静脉、左股静脉插管,建立体外循环。
2、并行循环,降温,阻断升主动脉,冷血停跳液顺灌灌停心脏,心脏表面放置冰屑。显露三尖瓣位生物瓣,探查生物瓣瓣叶衰退导致重度返流,予拆除生物瓣,6*14涤纶线双头针带垫间断缝合16针植入31号Epic Plus生物瓣(E200-31M),试瓣启闭良好。5/0prolene线连续缝合右心房切口。
3、置心外膜临时起搏导线2根于心外膜。辅助循环,充分还氧,待血压,心率平稳,逐步停体外循环,拔除各管道,鱼精蛋白中和肝素,术野渗血严重,反复仔细止血。
4、仔细检查术野无明显出血点,不缝合心包。
5、术程顺利,术后返ICU。
手术所见:
胸骨后粘连明显,主动脉:肺动脉约30:28mm,生物瓣瓣叶衰退导致重度返流,左侧腹股沟区股动脉未触及斑块,股静脉充盈。
术后超声
患者三尖瓣生物瓣二次置换术后超声
三尖瓣位生物瓣置换术后,生物瓣功能良好。人工三尖瓣血流速度141cm/s,跨瓣压差8mmHg。

患者术后一个月复查心脏超声
1、二尖瓣位机械瓣置换术后,二尖瓣位机械瓣功能良好。
2、 三尖瓣位生物瓣置换术后,生物瓣功能良好。
3、心功能:左室整体收缩功能尚好(LVEF:59.0%)。右室整体收缩功能尚好(RV FAC:39%)。

术后总结
本次手术中,曹勇教授团队面对一位有过两次心脏瓣膜置换术手术史,且心功能Ⅲ级患者,术前通过心脏超声、三维TEE等检查精准评估病情,结合患者复杂病史制定个性化手术方案。术中,团队克服组织胸骨后粘连明显、三次开胸风险高等挑战,成功实施三尖瓣生物瓣二次置换术,有效改善心脏血流动力学。术后,患者恢复情况良好,未见明显反流及瓣周漏,心功能显著提升。
此次手术的成功,不仅体现了高州市人民医院在复杂瓣膜疾病领域的精湛技术与丰富经验,也验证了雅培全新一代生物瓣膜Epic Plus系列生物瓣膜在房室瓣复杂病例中的卓越性能——优选独立三瓣瓣叶组合和FlexFit聚合物支架带来最优瓣叶对合的同时提供最大化有效瓣口面积,为房室瓣二次瓣膜置换患者提供了更可靠的远期预后保障。未来,团队将持续深耕心血管疾病微创治疗与复杂病例管理,推动新一代瓣膜技术的临床应用,为更多瓣膜病患者带来高质量的治疗选择。
参考文献
-END-
专业的心血管医生学术交流平台


版权及免责声明:
本网站所发表内容知识产权归属医谱平台、主办方以及原作者等相关权利人,未经许可,禁止进行复制、传播、展示、镜像、转载、摘编等。经授权使用,须注明来源,否则将追究其法律责任。有关作品内容、版权和其他问题请与本网联系
发表留言
暂无留言
输入您的留言参与专家互动