双降解植入 | 双生物可降解ASD封堵器同期治疗双孔房缺
近日,南京医科大学第二附属医院邵峻教授团队成功救治一例解剖结构复杂的中央型多发ASD患者。患者术中经食道超声精确测量显示两处缺损(直径约8.06mm与5.63mm,间距约8.48mm),房间隔中部发育薄弱,经过讨论,治疗团队制定了序贯封堵策略,选用MemoSorb生物可降解封堵器,优先处理较大缺损,在第一个封堵器植入后,实时观察评估,迅速做出判断并调整第二个封堵器的型号选择,确保封堵器形态完美,精准封堵。术后超声证实封堵器位置稳定,无残余分流,患者症状显著改善。本病例为MemoSorb生物可降解封堵器在处理成人双孔ASD中的应用提供了宝贵的临床实践经验,凸显了其在实现精准、有效封堵兼顾远期治疗灵活性与安全性方面的独特价值。
患者信息
性别:女
年龄:54
现病史:患者于两年前体检时发现心脏杂音,于当地医院行心脏彩超后发现房间隔缺损,生长发育无明显异常,未予特殊治疗。近两年活动后有胸闷气短表现,为求手术治疗就诊于我院,拟“房间隔缺损”收治入院。
术前超声
2025-5经胸超声:
心脏位于左侧,心尖指向左下,房室连接正常,右室大,运动未见明显异常,各瓣膜形态结构未见明显异常。
CDFI:AR(-),MR(少量),TR(少中量)。房间隔中部见数处回声中断,较大者约6mm,房水平见左向右分流,室间隔连续完整,室水平未见明显分流。肺动脉内径不增宽。升主动脉显示不清,心包腔内未见明显液性暗区。
TDI:E’:0.07m/s:0.10m/s。

超声提示:
-
先天性心脏病:房间隔缺损(中央型多发)
-
二尖瓣轻度关闭不全
-
三尖瓣轻中度关闭不全
-
左室舒张功能轻度减退
2025-10经胸超声:
心脏位于左侧,心尖指向左下,房室连接正常。右心大,运动未见明显异常。各瓣膜形态结构未见明显异常。
CDFI:AR(-),MR(少量),TR(少中量)。房间隔总长45mm,房间隔中部发育薄弱,范围约20mm,内见多处回声中断,较大者约9mm,房水平见左向右分流。室间隔连续完整,室水平未见明显分流。肺动脉内径不增宽。升主动脉内径23mm。心包腔内未见明显液性暗区。
TDI:E':0.12m/s,A':0.09m/s。PASP:37mmHg。

超声提示:
-
先天性心脏病:房间隔缺损(中央型多发)
-
三尖瓣轻中度关闭不全
-
建议进一步TEE检查
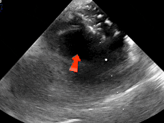
术中食道超声


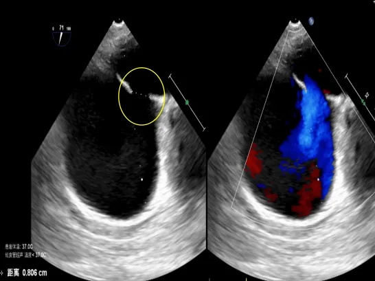
经食道超声可见
第一个缺损8.06mm
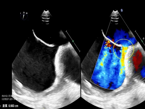
经食道超声可见
第二个缺损5.63mm

临床策略
术中超声:术中经食道超声可见有两个缺损,分别为8.06mm、5.63mm,和术前超声报告对比有所偏差,两缺损距离约8.48mm。
放伞策略:术中讨论植入双伞,由于封堵器腰部可能对周围组织产生挤压,进而导致邻近缺损口缩小,因此拟先行封堵较大缺损,再根据残余缺损情况选择第二个封堵器。术中首先选用BDASD-Ⅰ16封堵器封堵直径8.06mm缺损。植入后见第二处缺损直径仍约为5mm,遂选用BDASD-Ⅰ10封堵器予以成功封堵。
手术操作
植入第一个封堵器
建立输送轨道

超声下导丝导管通过房间隔较大缺损,将导丝置于左上肺静脉,建立输送轨道
左盘展开


左盘展开与贴靠
右盘展开

固定钢缆,后撤鞘管,展开右盘
轻推鞘管,使右盘成型
锁定

确定封堵器骑跨房间隔后,锁定封堵器
锁定后牵拉

锁定后,牵拉试验
封堵器位置固定,未见明显位移及形变
成型良好

第一个封堵器形态良好

封堵器植入后,测量小缺损发现略微缩小,缺损约5mm,
随即选择可降解BDASD-Ⅰ10封堵器封堵5mm缺损
植入第二个封堵器
建立输送轨道

超声下导丝导管通过房间隔较小缺损,将导丝置于左上肺静脉,建立输送轨道
左右盘面展开


左盘右盘放出,骑跨房间隔
锁定

确定封堵器骑跨房间隔后,锁定封堵器
锁定后牵拉

锁定后,牵拉试验
封堵器位置固定,未见明显位移及形变
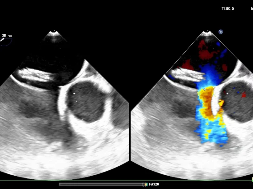
双封堵器释放后超声

出院前超声
超声所见:
心脏位于左侧胸腔,心尖指向左下。房室连接正常。右心较术前减小。左室壁不增厚,运动未见明显异常。主动脉瓣形态结构未见异常;二尖瓣形态结构未见异常;三尖瓣形态结构未见异常。
CDFI:AR(-),MR(少量),TR(少量)。房间隔中部探及两处封堵器回声,房水平未见明显分流。室间隔连续完整,室水平未见明显分流。肺动脉内径不增宽。升主动脉内径23mm。心包腔内未见明显液性暗区。
TDI:E’:0.08m/s,A’:0.06m/s。

病例小结
本病例为54岁女性患者,确诊房间隔缺损(中央型多发),并伴有右室增大、二尖瓣轻度、三尖瓣轻中度关闭不全及左室舒张功能轻度减退,提示长期分流已引发心脏结构及功能代偿性改变。多发性房缺需术中实时进行超声精准判断各缺损位置、大小及相互关系,以及需考虑选择合适的尺寸及形态,不对心脏其他结构产生影响。
《常见先天性心脏病介入治疗中国专家共识》指出:对于存在2个ASD,但缺损间距≤7mm,可选择1枚封堵器闭合;多个缺损的间距>7mm,无法采用1枚封堵器实施介入治疗,需要选择2~3枚封堵器分别闭合[1]。本例食道超声示两处缺损(回声中断8.06mm,分流束宽5.63mm),两个缺损之间相距8.48mm,术中通过超声精准指导,先植入BDASD-I16封堵器封堵8.06mm缺损,再测量第二个缺损约5mm后,植入BDASD-I10封堵器,术后即刻超声显示,两枚MemoSorb可降解封堵器位置形态理想,无残余分流,封堵成功。
相较于金属封堵器同期植入,“双降解”封堵器协同植入后,由于其材料为生物高分子材料,能够伴随房间隔组织的运动自行适应,避免了同期植入两个金属封堵器导致的心脏负担加重,在有效封堵的同时减少对周围组织的机械刺激,并且对二三尖瓣无磨损与压迫;另外,对于年龄>40岁的患者,封堵房间隔缺损并不能降低房颤或房扑的发生率,并且50岁以上人群房颤发生率随年龄增长显著上升,可能需要再行介入治疗,可降解封堵器可为远期再行介入治疗创造条件。
术后患者恢复顺利,胸闷气短症状显著改善,复查心脏超声提示封堵器位置稳定、无残余分流,右室负荷减轻,心脏功能指标(如舒张功能)趋向好转。该病例验证了可降解封堵器在双孔型房缺治疗中的临床价值——既克服了多发缺损定位与封堵的技术难点,又通过“短期有效、长期无害”的特性,为患者提供了更安全、可持续的治疗方案。
感谢南京医科大学第二附属医院邵峻教授团队的病例分享
参考文献:
[1] 中国医师协会心血管内科分会先心病工作委员会. 常见先天性心脏病介入治疗中国专家共识一、房间隔缺损介入治疗. 介入放射学杂志. 2011. 20(1): 3-9.

扫码观看可降解学苑精彩内容
-END-
专业的心血管医生学术交流平台


版权及免责声明:
本网站所发表内容知识产权归属医谱平台、主办方以及原作者等相关权利人,未经许可,禁止进行复制、传播、展示、镜像、转载、摘编等。经授权使用,须注明来源,否则将追究其法律责任。有关作品内容、版权和其他问题请与本网联系
发表留言
暂无留言
输入您的留言参与专家互动