一箭三雕——前降支CTO合并三支病变治疗一例

一箭三雕——前降支CTO合并三支病变治疗一例
患者病史
”
患者信息
间断胸闷3月
患者于3个月前无明显诱因下出现间断性胸闷,与活动相关,活动时加重,休息后可自行缓解,夜间可平卧。无黑朦、晕厥、恶心呕吐等伴随症状。于当地医院行冠脉造影,提示“前降支(LAD)完全闭塞,左回旋支高度狭窄”。诊断为“冠心病”,予“替格瑞洛、阿司匹林、麝香保心丸”口服治疗后,胸闷症状较前好转。为求进一步诊治,来我院门诊,以“冠心病、不稳定型心绞痛、心功能II级”收治入院。
病程中,患者神志清,精神可,食纳睡眠可,大便正常,诉无小便,近期体重无明显变化。
高血压数十年,最高血压145/100mmHg,口服苯磺酸氨氯地平1片 QD,平素血压控制良好
消化性溃疡个人史
慢性萎缩性胃炎
否认糖尿病、脑卒中等疾病史
检查及诊断
心电图
1.窦性心动过缓;2.V1导联QS型;3.肢导低电压。

超声检查
超声所见:
LVOT:20.8mm;IVC:26.4mm;LVOT:0.94 m/s;TAPSE:22.3mm;TR EROA:0.49cm2 TR RV:46.85ml;TR VC:5.6 mm;反流面积比:43.3%;三尖瓣环内径:34.6mm
描述:
主、肺动脉连接关系正常,升主动脉、下腔静脉增宽。右心房、右心室扩大,左房室腔内径正常范围。房、室间隔可见回声中断,房间隔中段呈瘤样凸向右房面,范围约26.1mm*8.1mm。室壁未见增厚,运动协调,收缩幅度正常,未见明显节段性运动异常。主动脉瓣回声增强、增厚,开放关闭尚可,三尖瓣腱索冗长,瓣叶于收缩期凸向右心房侧,开放可,关闭时对合不良,余瓣膜未见回声增强、增厚及粘连,开放关闭尚可。心包腔未见明显异常。
彩色多普勒及频谱多普勒:肺动脉瓣轻微反流,主动脉瓣轻微反流,二尖瓣轻度反流,三尖瓣中度反流。房水平可疑分流,宽约4.2mm。
组织多普勒:二尖瓣环运动速度正常。
诊断结果:
升主动脉、下腔静脉增宽
主动脉瓣钙化
右心房、右心室扩大
三尖瓣假性脱垂伴中度关闭不全
卵圆孔未闭
可疑房间隔膨出瘤
二尖瓣轻度、三尖瓣中度反流
实验室检查





临床诊断
冠状动脉粥样硬化性心脏病
不稳定型心绞痛
心功能Ⅱ级(NYHA分级)
高血压病2级(极高危)
卵圆孔未闭、房间隔膨出瘤
三尖瓣中度关闭不全
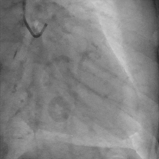
造影结果




LM(左主干):(-)
LAD(前降支):斑块浸润,近段完全闭塞,伴钙化。D1通过心外膜支发出侧枝(D1→心外膜支→D2→LAD)。
LCX(回旋支):斑块浸润,近段85%狭窄。



RCA:斑块浸润,近段75%狭窄,近中段90%狭窄。RCA通过圆锥支向LAD发出侧枝循环。
病变特点
”
患者高龄,既往高血压病史,存在心力衰竭,造影提示冠脉三支病变,且前降支为CTO病变,病变血管众多,CABG手术风险大。PCI手术也存在操作难度大、处理时长较长等情况。
正向开通难度较大:前降支闭塞处未见明显残端,闭塞开口不明确,闭塞处存在对角支及间隔支多个分支,闭塞段较长,正向开通难度大。
逆向侧枝入路:RCA及D1#两只血管向LAD远端发出侧枝循环,D1侧枝循环通过心外膜支,远端重度迂曲难以通过。RCA通过圆锥支提供侧枝,侧枝直径相对较粗,且走行清晰,可作为对侧造影及尝试逆向通过;
患者三支病变,同时处理需考虑患者耐受性问题,包括支架反应性、术中造影剂用量、手术时长、心力衰竭等方面因素。
手术过程
”
患者平卧位,常规消毒,铺巾,1%利多卡因局麻,穿刺右股、左桡动脉成功后,分别置入7F鞘管,给肝素3000u,合贝爽4mg,硝酸甘油200ug,用6FJL4/JR4造影导管行左、右冠状动脉造影,显示:LM管壁规则;LAD斑块浸润,近段闭塞,伴钙化,LCX斑块浸润,近段85%狭窄,RCA斑块浸润,近段75%狭窄,近中段90%狭窄,伴钙化。经讨论并征得病人及家属同意行血管内超声指导下RCA、LAD、LCX介入治疗,术中共追加3900u肝素,选用7F SAL.75、7FEBU3.5指引导管,送入Runthrough导引导丝至RCA远端,用预扩球囊至RCA近中段病变处,预扩张多次,植入支架Tivoli 2.75*18mm至RCA近中段病变处,选用高压球囊至RCA支架内后扩张多次,造影结果无残余狭窄,TIMI 3级血流。在微导管支撑下,正向尝试送入Anyreach、Sion、SUOH03、Fielder XT-A、FielderXT-R、UB3、Gaia3导引导丝至LAD远端,成功通过闭塞段,交换Runthrough导引导丝至LAD远端,用预扩球囊至LAD近段病变处,预扩张多次,植入支架Tivoli 2.75*33mm至LAD近段病变处,选用高压球囊至LAD支架内后扩张多次,造影结果无残余狭窄,TIMI3级血流,无并发症。送入Sion导引导丝至LCX远端,用预扩球囊至LCX近段病变处,预扩张多次,植入支架XIENCEAlpine2.25*23mm至LCX近段病变处,选用高压球囊至LCX支架内后扩张多次,造影结果无残余狭窄,TIMI3级血流。手术顺利,术毕缝合股动脉,病人安返病房。
手术策略
患者高龄,三支病变,心肺功能欠佳,CABG手术风险大,LCX及RCA病变均为简单病变,向家属交代病情后家属选择PCI治疗。
患者冠脉分布为右优势型,RCA供应心肌面积较大,且同时向LAD发出侧枝循环,RCA近中段重度狭窄可能为患者心绞痛的罪犯血管,且为A型病变,可首先对RCA病变进行支架治疗。
RCA通过圆锥支向LAD发出侧枝循环,侧枝血管直径相对较粗且走行较为清晰,可先尝试通过此侧枝行逆向开通,但此侧枝为心外膜侧枝,操作应尽量轻柔,选用头端更为柔软的导丝及细径微导管谨慎操作。
RCA通过圆锥支向LAD发出侧枝循环,侧枝血管直径相对较粗且走行较为清晰,可先尝试通过此侧枝行逆向开通,但此侧枝为心外膜侧枝,操作应尽量轻柔,选用头端更为柔软的导丝及细径微导管谨慎操作。
若前降支CTO病变开通顺利,考虑患者高龄、心功能不全,可进一步对LCX病变进行处理,但应注意术中造影剂用量及手术时长问题。
处理RCA病变:



Runthrough导丝至RCA远端,预扩球囊扩张RCA近中段病变处
植入支架Tivoli 2.75*18mm一枚
高压球囊后扩张后,无残余狭窄,血流TIMI3级
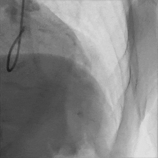
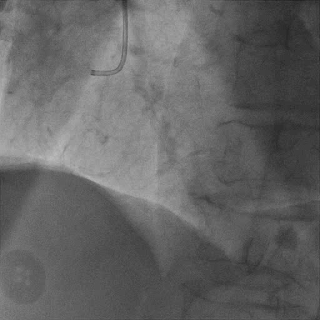
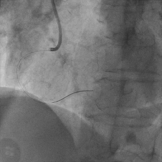
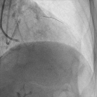
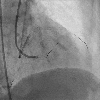
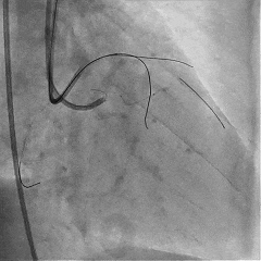
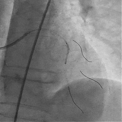
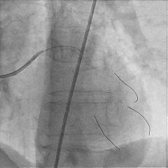
双侧造影,观察闭塞起始位置、长度、走行等


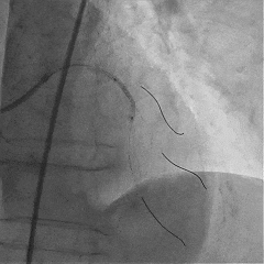
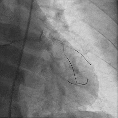
尝试通过RCA-圆锥支侧枝逆向开通LAD :



微导管辅助下,用SUOH03导丝尝试送入侧枝
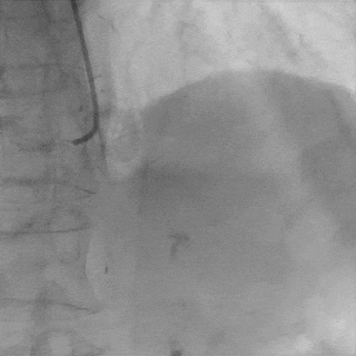
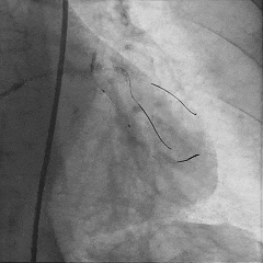
经微导管TIP injection可见侧枝重度迂曲


侧枝重度迂曲,反复尝试未能通过



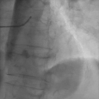
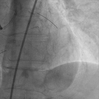
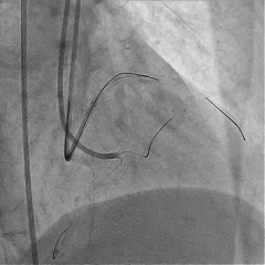
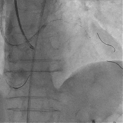
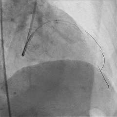
对角支送入IVUS导管,在IVUS实时指引下用尝试穿刺闭塞段
导丝未能进入闭塞段,导丝进入间隔支


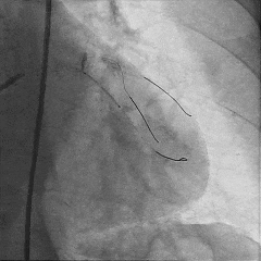
逆向造影指引下继续尝试穿刺闭塞段


导丝远端与逆向造影不重叠,未在血管真腔


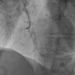
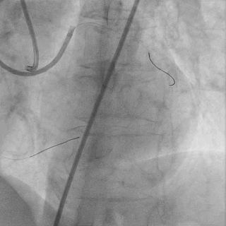
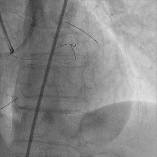
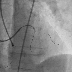
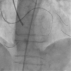
反复调整导丝最终进入D2#,可见导丝远端与D2侧枝重叠,证明远端位于真腔



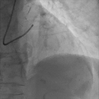
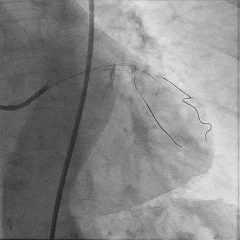
微导管交换工作导丝至D2#远端
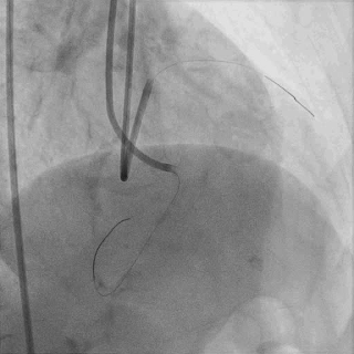
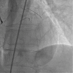
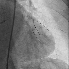
双腔微导管辅助下,导丝在逆向造影指引下成功通过LAD闭塞段,逆向造影显示导丝走行于LAD真腔内
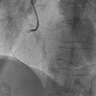
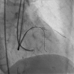
交换工作导丝至LAD远端



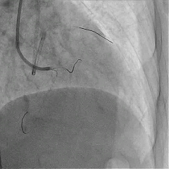
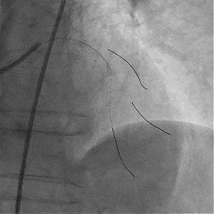
预扩球囊依次扩张LAD近中段病变处,造影可见远端血管显影,导丝位于真腔。



于LAD近中段植入Tivoli 2.75*33mm支架一枚,高压球囊后扩张后,血流TIMI3级



Sion导丝至LCX远端,预扩球囊扩张后,植入支架XIENCEAlpine 2.25*23mm支架一枚


术后造影支架膨胀良好,血流TIMI3级
手术小结
1.本例患者三支病变,RCA及LCX为简单病变,LAD为CTO病变,本例患者成功开通前降支CTO病变,在合理评估患者冠脉病变的基础上,同时对RCA及LCX病变进行了治疗,“一箭三雕,毕其功于一役”,减少了患者进行介入手术次数及残余风险。
2.对于前降支CTO病变,本例患者首先尝试逆向开通,发现逆向侧枝循环均重度迂曲导丝无法通过。尝试逆向开通未果后,在逆向造影指引下,采用平行导丝、正向导丝升级技术进行正向开通,顺利送入D2#进而通过LAD闭塞段,通过逆向造影证实远端位于真腔,成功完成前降支CTO病变的治疗。
3.对于CTO病变且逆向侧枝良好、侧枝上升高度高的患者,无论是否尝试逆向开通,均应进行双侧造影,通过逆向造影指引可极大提高开通成功率及安全性。
4.对于无可用逆向侧枝的CTO病变,应合理应用前向导丝升级(AWE)技术、平行导丝技术进行正向攻坚;对于近端纤维帽模糊不清并有较大分支时,可考虑在IVUS指导下穿刺纤维帽;对于闭塞段长而迂曲,远端血管条件好的CTO病变,也可尝试ADR技术。
5.对于冠脉三支病变患者的PCI治疗,应充分评估患者的冠脉特点、手术时长、造影剂用量、患者耐受情况等多个因素,制定合理安全的PCI治疗策略,既要减少患者的住院次数、经济负担等,也要充分考虑安全性。
-END-
专业的心血管医生学术交流平台


版权及免责声明:
本网站所发表内容知识产权归属医谱平台、主办方以及原作者等相关权利人,未经许可,禁止进行复制、传播、展示、镜像、转载、摘编等。经授权使用,须注明来源,否则将追究其法律责任。有关作品内容、版权和其他问题请与本网联系
发表留言
暂无留言
输入您的留言参与专家互动